Pregravid preparation and pregnancy management of women with endometriosis in the in vitro fertilization program: a clinical case
- Authors: Tetelyutina F.K.1, Shestakova O.V.2, Dolgova O.N.3, Shirobokova L.M.1
-
Affiliations:
- Izhevsk State Medical Academy
- Reproductive Health Center
- First Republican Clinical Hospital
- Issue: Vol 22, No 1 (2020)
- Pages: 29-32
- Section: CLINICAL CASE
- Published: 01.05.2020
- URL: https://gynecology.orscience.ru/2079-5831/article/view/33966
- DOI: https://doi.org/10.26442/20795696.2020.1.190754
- ID: 33966
Cite item
Full Text
Abstract
The presented clinical case of a patient with infertility and a combination of various forms of endometriosis was the basis for discussing the optimal choice of tactics for managing these patients.
Full Text
По мнению ряда авторов, эндометриоз в структуре гинекологических заболеваний занимает 3-е место после воспалительных заболеваний органов малого таза и новообразований женских репродуктивных органов. Наиболее часто эндометриоз встречается у женщин репродуктивного возраста, составляя от 2 до 27% (в среднем 10–12%). Эндометриоз у многорожавших отмечается реже (27%), чем у бесплодных пациенток (30–40%) [1, 2].
Одной из основных причин, часто нарушающих репродуктивную функцию у молодых женщин, является аденомиоз, который выявляется у 40–45% женщин, страдающих первичным бесплодием, и у 50–58% – вторичным [3]. В настоящее время частота наступления беременности после программы экстракорпорального оплодотворения (ЭКО) у этих пациенток составляет около 25,6% в расчете на перенос эмбрионов, что существенно ниже, чем средний статистический показатель по данным Российской ассоциации репродукции человека.
Влияние ранних стадий аденомиоза на частоту успеха ЭКО на сегодняшний день остается дискуссионным, как и оценка его возможного влияния на эмбриональный фактор и имплантационный потенциал эндометрия [3, 4]. Наличие исходных иммунных дисфункций в системе цитокинов при аденомиозе нацеливает на целесообразность введения иммуномодуляторов в прегравидарную подготовку к циклу ЭКО, в том числе и ранних степеней.
При аденомиозе в миометрии появляются разрастания эндометриоидной ткани. Они могут быть двух типов:
- В виде слепых разветвленных углубляющихся карманов, сообщающихся с эндометриальным слоем матки. В таких случаях в заключении ультразвукового исследования (УЗИ) обычно указывается на неоднородную ячеистую эхоструктуру миометрия. При тяжелых степенях болезни отмечается прорастание всей толщи миометрия, что сопровождается формированием свищеподобных образований между маточной полостью и другими структурами малого таза.
- В виде узлов – замкнутых округлых очагов с неравномерной центральной полостью, заполненной кровью или жидкой массой шоколадного цвета. Они обычно множественные, разного размера, с неравномерным распределением в стенке матки. При таком варианте заболевания в заключении эхографического исследования обычно отмечается, что миометрий неоднородный с признаками аденомиоза [1–3, 5].
Любые эндометриоидные образования подвергаются повторяющимся изменениям в соответствии с овариально-менструальным циклом женщины и приводят к воспалительному процессу. Под действием половых гормонов клетки аномально расположенного эндометрия разрастаются и отторгаются так же, как и в слизистой оболочке матки. Это и приводит к появлению клинических симптомов заболевания.
В данной статье представлен клинический случай, наблюдаемый нами на фоне применения диеногеста у пациентки с эндометриозом.
Пациентка К., 33 года. В 2012 г. женщина обратилась в центр ЭКО. Из анамнеза: альгодисменорея с менархе (13 лет), половая жизнь с 16 лет, первичное бесплодие в течение 7 лет. В анамнезе контрацепция низкодозированным оральным контрацептивом в течение 6 лет. В 2010 г. произведено хирургическое вмешательство по поводу эндометриоза левого яичника лапароскопическим доступом. В ходе операции произведены разъединение спаек, цистэктомия слева в связи с доброкачественным образованием яичника и коагуляция эндометриоидных очагов брюшины. Обе маточные трубы проходимы. Гистологическое заключение: эндометриоидная киста яичника с кровоизлияниями в капсулу кисты и в ткань яичника. Выписана с диагнозом: наружный генитальный эндометриоз (эндометриоз левого яичника, тазовой брюшины). Цистэктомия слева. Коагуляция очагов эндометриоза. Спаечная болезнь 2-й степени. Адгезиолизис. Гормональная терапия в послеоперационном периоде не проводилась.
По данным фолликулометрии все циклы овуляторные. В 2011 г. проводилась однократно внутриматочная инсеминация спермой мужа, результат отрицательный.
В 2012 г. по данным УЗИ органов малого таза выявлены эндометриома правого яичника и правосторонний гидросальпинкс. Проведено повторное оперативное вмешательство лапароскопическим доступом. Произведены цистэктомия правого яичника с шоколадным содержимым и двустороннее удаление маточных труб по поводу гидросальпинксов. По данным гистероскопии эндометриальных ходов не выявлено. Выписана с диагнозом: наружный генитальный эндометриоз (эндометриоз правого яичника, тазовой брюшины, крестцово-маточной связки). Цистэктомия справа. Коагуляция очагов эндометриоза. Спаечная болезнь 3-й степени. Адгезиолизис. Гормональная терапия по поводу эндометриоза не проводилась.
Обратилась в ООО «Центр репродуктивного здоровья» по поводу ЭКО. Брак первый. При обследовании супруга патологии спермы не выявлено. При первичном осмотре гинекологом выявлено: индекс массы тела 18 кг/см2, фолликулостимулирующий гормон 11 мМЕ/л, лютеинизирующий гормон 6,5 мМЕ/л, эстрадиол 41 пг/мл, антимюллеров гормон 0,9 нг/мл, по три антральных фолликула в каждом яичнике. При гинекологическом обследовании выявлено утолщение задней части шейки матки. У пациентки подвижность матки и яичников затруднена, при осмотре она испытывает острую боль, результат на онкомаркер СА-125 – 3,8 Е/мл.
В феврале 2013 г. проведена базовая программа ЭКО в протоколе с антагонистами гонадотропин-рилизинг-гормонов со стартовой дозой гонадотропинов 300 Ме, стимуляция суперовуляции продолжалась в течение 10 дней, в результате программы получено два эмбриона. Результат цикла ЭКО отрицательный. Рекомендована гормонотерапия диеногестом по 2 мг 1 раз в день в течение 6 мес.
В сентябре 2013 г. проведена повторная программа ЭКО в коротком протоколе с агонистами гонадотропин-рилизинг-гормонов. Стартовая доза гонадотропинов – 300 Ме, получено два эмбриона. Результат программы ЭКО отрицательный.
В последующем в течение 2 лет пациентка провела еще 3 программы ЭКО с собственными ооцитами в клиниках ЭКО Российской Федерации с отрицательным результатом.
В 2015 г. терапевт центра ЭКО выявил на основании тестов Смольновой и Кадуриной недифференцированную дисплазию соединительной ткани средней степени выраженности. Назначено лечение соединительнотканной дисплазии на 6 мес. Одновременно пациентка получала лечение диеногестом 2 мг/сут на ночь. По мнению P. Vercellini, P. Crosignani (2009 г.), прогестины эффективны для лечения эндометриоза, так как они создают устойчивое гормональное состояние без физиологического колебания уровня половых стероидов, которые отвечают за связанные с эндометриозом симптомы.
В декабре 2015 г., через 6 мес лечения эндометриоза и недифференцированной дисплазии соединительной ткани, начата шестая программа ЭКО с низкой долей стимуляции. Следует отметить, что во время лечения произошло снижение овариального резерва. Получены эмбрионы с собственными ооцитами, перенесено два эмбриона в полость матки, через 12 дней беременность подтвердилась наличием хорионического гонадотропина в крови. Имплантация хориона произошла по задней стенке матки.
В феврале 2016 г. по данным УЗИ на фоне приема микронизированного прогестерона в дозе 600 мг интравагинально диагностирована неразвивающаяся беременность в сроке 6–7 нед в результате недостаточности лютеиновой фазы.
Через 6 мес после указанной беременности (2016 г.) у женщины появились жалобы на обильные и болезненные менструации, мажущие темно-кровянистые выделения из половых путей в течение 3 дней до и после менструации. У пациентки выявлены экзема кисти рук, высокая степень эмоциональной тревожности, страха, чувство неполноценности и отсутствие доверия врачам. Психологом проведена интенсивная работа со страхами, чувством недоверия к лечащему врачу, неуверенности в себе.
Клиническую эффективность лечения женщины оценили на основании полученных результатов: динамики жалоб на наличие болевого синдрома, субъективных симптомов, динамики качества жизни. Снижение депрессивного и тревожного состояний (от 9,3 и 8,8 до 6,0 и 5,6 балла соответственно) установлено с применением шкалы депрессии и тревоги. По данным теста Спилбергера–Ханина показатели личностной и ситуативной тревожности снизились с 47,7 до 40,8 и 48,7 до 42 баллов соответственно. По результатам опросника SF-36 увеличились показатели физического и психологического компонента здоровья с 55,2 до 60,0 и с 50,4 до 61,2 балла соответственно.
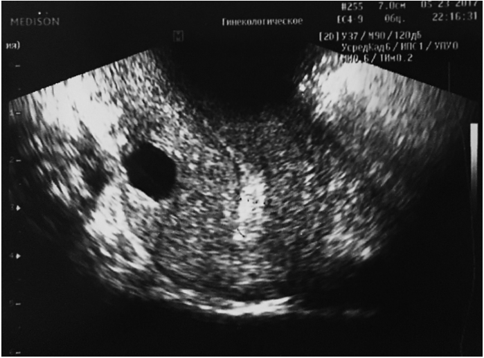
В октябре 2016 г. при УЗИ тела матки обнаружена кистозная анэхогенная полость с четким контуром диаметром 10 мм в толще миометрия задней стенки матки в первую фазу менструального цикла, которая увеличилась до 20 мм в динамике к июню 2017 г. на фоне лечения диеногестом 2 мг/сут в непрерывном режиме (рис. 1).
Рис. 1. Узловая форма аденомиоза.
Fig. 1. Nodular form of adenomyosis.
При проведении гистероскопии в I фазу менструального цикла по задней стенке внутренней поверхности матки обнаружено множество эндометриоидных ходов по 1–2 мм в диаметре на фоне бледно-розовой слизистой оболочки. При оценке овариального резерва выявлены повышенный уровень фолликулостимулирующего гормона 25 мМЕ/мл, лютеинизирующий гормон 3,2 мМЕ/мл, эстрадиол 76 пг/мл, низкая концентрация антимюллерова гормона 0,3 нг/мл, по одному антральному фолликулу в каждом яичнике.
Одной из причин возникновения эндометриоза матки считаются кюретаж полости матки при несостоявшейся беременности, что согласуется с мнением ряда авторов. Выскабливание полости матки по поводу прерывания беременности способствует нарушению обменных процессов в зоне гистобиологического барьера и деградации коллагенового комплекса между базальной мембраной и прилегающим к ней миометрием [1–3, 6].
Другим важным моментом в прогрессировании эндометриоза и возникновении аденомиоза является относительная гиперэстрогения, которая оказывает стимулирующее влияние на пролиферативную активность клеток миометрия, приводящее к застойному полнокровию. В результате нарушается микроциркуляция в миометрии, что приводит к лимфостазу, тканевой гипоксии, мембраногенным отекам, раздражению нервных окончаний, активации тканевых протеаз [7, 8].
На основании этиологии и патогенеза назначено непрерывное и продолжительное применение прогестина IV поколения – микронизированного диеногеста (2 мг), который вызывает начальную децидуализацию ткани эндометрия, т.е. послойное отслаивание пораженных покровов с последующей атрофией эндометриоидных очагов. Важно отметить, что диеногест воздействует на эндометриоз путем подавления трофических эффектов эстрогенов в отношении эутопического и эктопического эндометрия в результате снижения продукции эстрогенов в яичниках и уменьшения их концентрации в плазме [2, 3, 7, 9]. По данным литературы, высокая эффективность диеногеста в лечении эндометриоза заключается в способности подавлять неоангиогенез, давать выраженный антиэстрогенный, антипролиферативный и противовоспалительный эффект в эндометриоидных гетеротопиях [1, 2, 9]. У пациентки на фоне приема диеногеста наступила аменорея. Лечение диеногестом женщина переносила хорошо, из побочных эффектов беспокоили незначительные акне на лице и плечевом поясе тела.
На фоне приема диеногеста через каждые 50–60 дней появлялась фолликулярная киста правого яичника 18–20 мм в диаметре. При этом кистозная анэхогенная полость увеличивалась на 2 мм в диаметре. Через 2 мес функциональная киста исчезала, но кистозная полость в толще матки не уменьшалась. При гипоэстрогенном состоянии, вызванном приемом препарата в течение 9 мес, размер кистозной полости с анэхогенным содержимым в толще миометрия посередине задней стенки матки увеличился до 20 мм в диаметре (рис. 2).
Рис. 2. Узловая форма аденомиоза.
Fig. 2. Nodular form of adenomyosis.
Через 9 мес приема диеногеста было решено провести диагностическую гистероскопию, во время которой не обнаружено эндометриоидных ходов. Проведена магнитно-резонансная томография органов малого таза. Матка расположена в ретрофлексии, тело матки размерами 48¥52¥60 мм. Форма матки обычная, контуры четкие ровные. Полость органа не расширена. Отмечается неравномерное утолщение переходного слоя задней стенки с наличием участков низкоинтенсивного сигнала в толще миометрия без четких контуров и кисты по задней стенке размером до 20 мм. Эндометрий 3 мм, однородный. Заключение: магнитно-резонансная картина узлового аденомиоза. При осмотре онкогинекологом онкопатология исключена.
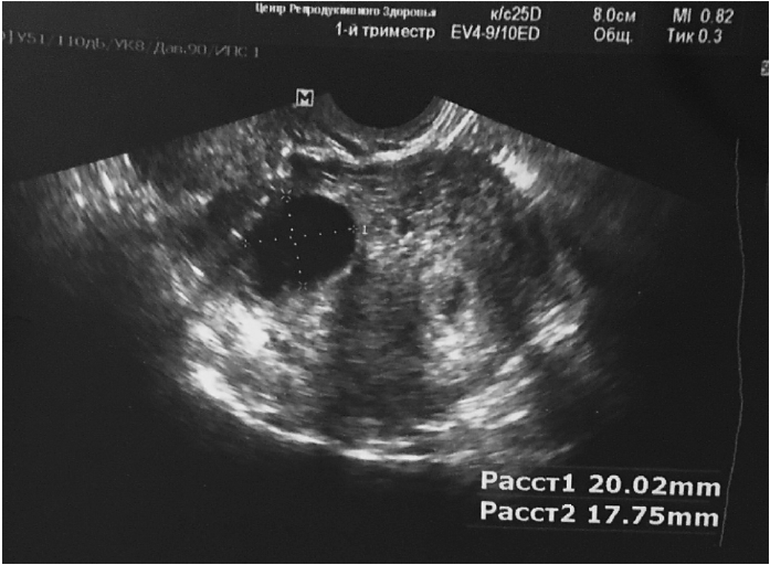
Пациентке проведена программа ЭКО с нативными донорскими ооцитами. Заместительная гормональная терапия в цикле ЭКО с использованием донорских ооцитов у пациентки с яичниковой недостаточностью состояла из трансдермальных эстрогенов 2 мг/сут в течение 12 дней под ультразвуковым контролем за пролиферацией эндометрия. При толщине эндометрия 8 мм и трехслойной структуре к терапии добавлен микронизированный прогестерон 600 мг/сут интравагинально. На 4-й день терапии микронизированным прогестероном в стерильных условиях произведен скретчинг эндометрия по передней стенке внутренней поверхности матки. В месте скретчинга эндометрия появляются повышенное кровоснабжение и гиперкоагуляция. На 5-й день терапии микронизированным прогестероном под контролем УЗИ перенесен эмбрион в полость матки. Через 12 дней после переноса получен рост хорионического гонадотропина. Через 10 дней проведено УЗИ органов малого таза, констатирована клиническая беременность с прикреплением хориона по передней стенке внутренней поверхности матки. В толще миометрия задней стенки матки сохранилась кистозная анэхогенная полость с четким округлым контуром в диаметре 20 мм (рис. 3).
Рис. 3. Беременность при узловой форме аденомиоза.
Fig. 3. Pregnancy in nodular form of adenomyosis.
На фоне гормональной поддержки микронизированным прогестероном 600 мг/сут интравагинально до 20 нед беременности была угроза выкидыша. Со сроком гестации кистозное анэхогенное образование по задней стенке матки уменьшилось и исчезло к 20 нед беременности. Беременность протекала с явлениями хронической фетоплацентарной недостаточности.
В декабре 2017 г. на машине скорой помощи пациентка доставлена в Перинатальный центр БУЗ УР «Первая республиканская клиническая больница». Диагноз: преждевременные роды первые в 30 нед. Первый период родов. Преждевременная отслойка нормально расположенной плаценты. Острая гипоксия плода. Лапаротомия по Пфанненштилю. Кесарево сечение в нижнем маточном сегменте. Масса тела новорожденного мальчика составил 1214 г, длина – 39 см. Оценка по шкале Апгар на 1-й минуте 6–7, на 5-й – 7–8 баллов. Операция прошла без осложнений. Новорожденный был переведен в детский стационар городской клинической больницы №4 на II этап выхаживания, откуда выписан через 5 нед.
Таким образом, для эндометриоза характерны парадоксальные аспекты этиопатогенеза и клинические контрасты течения, не нашедшие пока объяснения. Непрерывное воздействие диеногестом 2 мг/сут подавляет заболевание. Однако некоторые вопросы активируют дальнейшее изучение фундаментальных и клинических исследований по всем направлениям проблемы эндометриоза.
Конфликт интересов. Авторы заявляют об отсутствии конфликта интересов.
Conflict of interests. The authors declare that there is not conflict of interests.
About the authors
Faina K. Tetelyutina
Izhevsk State Medical Academy
Author for correspondence.
Email: faina.tetelyutina@mail.ru
D. Sci. (Med.), Prof.
Russian Federation, IzhevskOlga V. Shestakova
Reproductive Health Center
Email: shestakova23@mail.ru
Cand. Sci. (Med.)
Russian Federation, IzhevskOlga N. Dolgova
First Republican Clinical Hospital
Email: faina.tetelyutina@mail.ru
obstetrician-gynecologist
Russian Federation, IzhevskLiudmila M. Shirobokova
Izhevsk State Medical Academy
Email: faina.tetelyutina@mail.ru
Graduate Student
Russian Federation, IzhevskReferences
- Авраменко Н.В. Эндометриоз: патогенез, классификация, диагностика, современные аспекты терапии. Патологiя. 2014; 2: 4–11. [Avramenko N.V. Endometrioz: patogenez, klassifikatsiia, diagnostika, sovremennye aspekty terapii. Patologiia. 2014; 2: 4–11 (in Russian).]
- Орлова С.А., Балан В.Е., Левкович Е.А. Современные тенденции медикаментозного лечения эндометриоза. Мед. совет. 2015; 20: 28–33. [Orlova S.A., Balan V.E., Levkovich E.A. Sovremennye tendentsii medikamentoznogo lecheniia endometrioza. Med. sovet. 2015; 20: 28–33 (in Russian).]
- Адамян Л.В. и др. Эндометриоз. Диагностика, лечение и реабилитация. Клинические рекомендации по ведению больных. 2013; c. 9–37. [Adamyan L.V. et al. Endometriosis. Diagnosis, treatment and rehabilitation. Clinical guidelines for patient management. 2013; p. 9–37 (in Russian).]
- Kodaman P. Current strategies for endometriosis management. Obstet Gynecol Clin North Am 2015; 42 (1): 87–101.
- Кузнецова И.В. Эндометриоз и тазовая боль. Эффективная фармакотерапия. Акушерство и гинекология. 2014; 3: 18–27. [Kuznetsova I.V. Endometrioz i tazovaia bol’. Effektivnaia farmakoterapiia. Akusherstvo i ginekologiia. 2014; 3: 18–27 (in Russian).]
- Practice Committee of the American Society for Reproductive Medicine. Endometriosis and infertility: a committee opinion. Fertil Steril 2012; 98 (3): 591–8.
- De Ziegler D, Borghese B, Chapron C. Endometriosis and infertility: pathophysiology and management. Lancet 2010; 376 (9742): 730–8.
- Mansour G, Aziz N, Sharma R et al. The impact of peritoneal fluid from healthy women and from women with endometriosis on sperm DNA and its relationship to the sperm deformity index. Fertil Steril 2009; 92 (1): 61–7.
- Koninckx PR, Ussia A, Adamyan L et al. Deep endometriosis: definition, diagnosis, and treatment. Fertil Steril 2012; 98 (3): 564–71.
Supplementary files






