The tactics of managing children and adolescents when twisting the uterine appendages from the position of international standards
- Authors: Batyrova Z.K.1, Kumykova Z.K.1, Uvarova E.V.1, Chuprynin V.D.1, Buralkina N.A.1, Kiseleva I.A.1, Mamedova F.S.1, Chundokova M.A.2,3
-
Affiliations:
- Kulakov National Medical Research Center for Obstetrics, Gynecology and Perinatology
- Pirogov Russian National Research Medical University
- Filatov Children’s City Clinical Hospital №13
- Issue: Vol 22, No 3 (2020)
- Pages: 39-41
- Section: ORIGINAL ARTICLE
- Published: 09.07.2020
- URL: https://gynecology.orscience.ru/2079-5831/article/view/34979
- DOI: https://doi.org/10.26442/20795696.2020.3.200148
- ID: 34979
Cite item
Full Text
Abstract
Background. Adnexal torsion (AT) takes fifth place among all emergency gynecological conditions. Suspicion of AT requires immediate diagnosis and urgent surgical treatment. The most common causes of AT are various volumetric formations, such as functional or dermoid ovarian cysts, contributing to an increase in its volume and/or anomalies in the development of the ligamentous apparatus. Timely diagnosis and detorsion contributes to the full restoration of impaired venous outflow and lymphatic drainage of the ovarian tissue, preventing the development of severe ischemia and necrosis. Over the past few decades, a surgical organ-preserving approach in managing patients with AT has been the “gold standard” of care.
Materials and methods. The article describes the results of a retrospective study of cases of AT in children and adolescents treated at the Department of Pediatric and adolescent gynecology Kulakov National Medical Research Center for Obstetrics, Gynecology and Perinatology with an assessment of the clinical and anamnestic features of this cohort of patients and the choice of therapeutic tactics.
Conclusion. A multidisciplinary approach is critical to optimizing the delivery of care in cases of AT, including minimally invasive detorsion and preserving the functionality of the ovary as a treatment standard that should be used in the management of children and adolescents.
Keywords
Full Text
Перекручивание придатков матки (ППМ) является одной из причин обращения к гинекологам детского и юношеского возраста девочек с жалобами на острые или длительно существующие боли в области живота, слабость, тошноту и рвоту [1, 2]. В основном частичное или полное ППМ с нарушением кровообращения происходит у девочек препубертатного возраста и подростков, что требует проведения срочного хирургического лечения в том числе с целью сохранения овариального резерва. Однако недооценка жалоб пациенток, выбор выжидательной тактики и применение консервативной терапии даже при обнаружении объемного образования в структуре яичника по данным ультразвукового контроля зачастую приводят к отсроченному лечению или проведению овариоэктомии [3, 4].
Согласно обновленным в 2019 г. рекомендациям Американского колледжа акушеров и гинекологов [5]:
- Ведение детей и подростков с ППМ может сопровождаться техническими особенностями, не характерными для взрослых женщин, поэтому в операционной бригаде желательно присутствие гинеколога детского и юношеского возраста.
- Наиболее распространенным клиническим симптомом ППМ является внезапно возникающая боль в животе, которая носит прерывистый характер без иррадиации и связана с тошнотой и рвотой.
- Не существует клинических или визуальных критериев, достаточных для подтверждения дооперационного диагноза перекручивания придатков.
- Допплерометрия не может являться единственным критерием для принятия клинического решения по ведению пациенток с подозрением на ППМ.
- Несмотря на то, что ППМ обнаруживается более чем у 1/2 детей и подростков на фоне наличия объемного образования, рак в данной возрастной группе – крайне редкая причина ППМ.
- Подозрение на ППМ является показанием для ускоренного проведения диагностической лапароскопии с целью сохранения овариальной функции и фертильности в будущем.
- При ППМ рекомендовано проведение минимально инвазивного хирургического лечения в объеме деторсии и сохранения яичника независимо от его внешнего вида.
- Офорэктомия должна производиться лишь в случае наличия некротически «разваливающейся» ткани яичника, во всех иных случаях следует отдавать предпочтение органосохраняющей тактике.
- Цистэктомия после деторсии повышает риск дополнительной травматизации ткани яичника. При сохранении кистозной структуры в яичнике после деторсии возможно проведение разреза и/или дренирования его с последующим ультразвуковым контролем в динамике через 6–12 нед после вмешательства.
- Подростки – это уникальная возрастная группа с особыми потребностями, что требует уделять особое внимание размещению троакаров и созданию более низкого давления при инсуффляции.
- Мультидисциплинарный подход имеет решающее значение для оптимизации оказания медицинской помощи при ППМ, в том числе минимально инвазивной деторсии и сохранения функциональности яичника как стандарта лечения, который должен применяться при ведении детей и подростков.
Все перечисленное стало основной причиной, сформировавшей цель нашего исследования: оценить клинико-анамнестические особенности девочек с ППМ.
Материалы и методы
Ретроспективно были проанализированы 132 истории болезни девочек в возрасте от 5 до 18 лет, госпитализированных и оперированных в отделении детской и подростковой гинекологии ФГБУ «НМИЦ АГП им. акад. В.И. Кулакова» с диагнозом: «Объемное образование яичника, болевой синдром в период 2015–2017 гг.». Анализу подвергались случаи ППМ с уточнением спектра предъявляемых жалоб, данных анамнеза, лабораторных и инструментальных методов исследования, а также данных о сроках и объеме оперативного лечения. Полученные результаты обрабатывались при помощи статистических методов.
Статистическая обработка полученных результатов была проведена на персональном компьютере при помощи программного пакета «SPSS Statistics 17.0 for Windows», программы Biostat. При анализе качественных или полуколичественных признаков (данные по наличию или выраженности клинических симптомов и т.п.) оценивали частоту встречаемости в процентах и распределение по стратам. Для оценки значимости различий в распределении соответствующих признаков между группами использовали критерий χ2, для вычисления которого прибегали к построению «сетки 2×2»,а также точный критерий Фишера (F) для небольших выборок. Значения считались достоверными при p<0,05, высокодостоверными p<0,001, недостоверными p>0,05.
Результаты
ППМ было диагностировано у 24 пациенток. При этом 30% из их числа были ранее госпитализированы в стационары по месту жительства в связи с острым болевым синдромом, в том числе и гинекологического профиля, без проведения им хирургического лечения, даже несмотря на наличие объемных образований в области придатков матки, установленных по данным ультразвукового исследования (УЗИ). Повторное обращение этих пациенток к другим специалистам составляло от 7 до 25 дней после выписки из предыдущего стационара, в том числе на фоне использования рекомендованных анальгетических средств. Основной жалобой у 94% были сохраняющиеся тянущие и схваткообразные боли внизу живота разной интенсивности. Отмечали появление рвоты у ребенка при первом болевом приступе 43% опрошенных родителей. Интересно, что острофазные маркеры крови были показательны лишь у 47% пациенток.
Все 24 (100%) ребенка, госпитализированные в стационар с подозрением на ППМ, характеризовались наличием косвенных признаков перекручивания по данным ректоабдоминального исследования и/или УЗИ, в том числе по результатам проведенного допплерометрического исследования сосудов и/или обнаружения симптома «пружинки» на амбулаторном этапе (рис. 1, 2), что вкупе с данными анамнеза и жалобами явилось причиной для ускоренного проведения оперативного лечения.
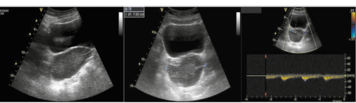
Рис. 1. Ультразвуковая картина при ППМ. Пациентка А., 6 лет: а – яичник увеличен в объеме, контуры четкие, неровные, эхогенность стромы неоднородно повышена, дифференцировка фолликулов снижена, определяются единичные по периферии; б – трансабдоминальное сканирование, поперечное сечение; левый яичник увеличен, расположен срединно, позади мочевого пузыря; дифференцировка снижена за счет отека стромы; в – при цветовом допплеровском картировании кровоток резко обеднен, определяется единичный артериальный сосуд в проекции ворот яичника.
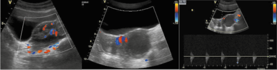
Рис. 2. Ультразвуковая картина при ППМ – «симптом пружинки». Пациентка Г., 8 лет: а – перекрут сосудистой ножки правого яичника в виде спирали, при цветовом допплеровском картировании определяется разнонаправленный кровоток; яичник увеличен в объеме, однако контуры и структура яичника не изменены, кровоток в строме сохранен; определяется небольшое скопление свободной жидкости. Пациентка В., 10 лет: б – трансабдоминальное продольное сканирование, перекрут сосудистой ножки кистозно-измененного левого яичника; в – в режиме импульсного допплера определяется высокорезистентный артериальный кровоток питающего сосуда.
Все 24 девочки, у которых было заподозрено ППМ, прооперированы лапароскопически. У 87,4% произведена деторсия придатков матки, и лишь у трех выполнена овариоэктомия в связи с запущенным перекручиванием и явлениями некроза и распада тканей. Следует указать, что сочетание ППМ с объемным образованием яичника или мезосальпинкса было обнаружено в 84,8%.
Таким образом, наличие болевого синдрома у девочки требует обязательного проведения комплексного клинико-диагностического поиска с проведением не только ректоабдоминального исследования, но и УЗИ с допплерометрией сосудов органов малого таза. При этом обнаружение объемного образования в области придатков матки у девочки с жалобами на болевой синдром в настоящий момент и/или в анамнезе требует обязательного проведения допплерометрии сосудов придатков матки и при невозможности исключения ППМ – ускоренного оперативного лечения с предпочтением органосохраняющей тактики.
About the authors
Zalina K. Batyrova
Kulakov National Medical Research Center for Obstetrics, Gynecology and Perinatology
Author for correspondence.
Email: linadoctor@mail.ru
ORCID iD: 0000-0003-4997-6090
канд. мед. наук, ст. науч. сотр. 2-го гинекологического отд-ния (гинекологии детского и юношеского возраста)
Russian Federation, MoscowZaira K. Kumykova
Kulakov National Medical Research Center for Obstetrics, Gynecology and Perinatology
Email: zai-kumykova@yandex.ru
ORCID iD: 0000-0001-7511-1432
канд. мед. наук, ст. науч. сотр. 2-го гинекологического отд-ния (гинекологии детского и юношеского возраста)
Russian Federation, MoscowElena V. Uvarova
Kulakov National Medical Research Center for Obstetrics, Gynecology and Perinatology
Email: elena-uvarova@yandex.ru
ORCID iD: 0000-0002-3105-5640
чл.-кор. РАН, д-р мед. наук, проф., зав. 2-м гинекологическим отд-нием (гинекологии детского и юношеского возраста)
Russian Federation, MoscowVladimir D. Chuprynin
Kulakov National Medical Research Center for Obstetrics, Gynecology and Perinatology
Email: v_chuprynin@oparina4.ru
канд. мед. наук, зав. хирургическим отд-нием
Russian Federation, MoscowNatalya A. Buralkina
Kulakov National Medical Research Center for Obstetrics, Gynecology and Perinatology
Email: n_buralkina@oparina4.ru
ORCID iD: 0000-0001-5109-6725
д-р мед. наук, зав. приемным отд-нием, ст. науч. сотр. хирургического отд-ния
Russian Federation, MoscowIrina A. Kiseleva
Kulakov National Medical Research Center for Obstetrics, Gynecology and Perinatology
Email: i_kiseleva@oparina4.ru
канд. мед. наук, зав. по клинической работе 2-го гинекологического отд-ния
Russian Federation, MoscowFatima Sh. Mamedova
Kulakov National Medical Research Center for Obstetrics, Gynecology and Perinatology
Email: fmamedova@yandex.ru
канд. мед. наук, врач ультразвуковой диагностики отд. ультразвуковой диагностики в неонатологии и педиатрии
Russian Federation, MoscowMadina A. Chundokova
Pirogov Russian National Research Medical University; Filatov Children’s City Clinical Hospital №13
Email: cmadina@yandex.ru
D. Sci. (Med.), Prof.
Russian Federation, MoscowReferences
- Childress KJ, Dietrich JE. Pediatric Ovarian Torsion. Surg Clin North Am 2017; 97 (1): 209–21. doi: 10.1016/j.suc.2016.08.008
- Ripatti L, Taskinen M, Koivusalo A, Taskinen S. Surgically treated ovarian lesions in preadolescent girls. Acta Obstet Gynecol Scand 2019. doi: 10.1111/aogs.13717
- Geimanaite L, Trainavicius K. Pediatric ovarian torsion: Follow- up after preservation of ovarian tissue. J Pediatr Surg 2019; 54 (7): 1453–6. doi: 10.1016/j.jpedsurg.2019.02.004
- Muralidharan CG, Krishna S, Jose T. Pediatric ovarian torsion: a diagnostic challenge. Radiol Bras 2018; 51 (4): 274–5. doi: 10.1590/0100-3984.2016.0227
- Adnexal Torsion in Adolescents: ACOG Committee Opinion No, 783. Obstet Gynecol 2019; 134 (2): e56–e63. doi: 10.1097/AOG.0000000000003373
Supplementary files





