Особенности эндометриальной экспрессии FOX-белков (FOXA1 и FOXA2) у женщин репродуктивного возраста при различной толщине эндометрия
- Авторы: Аганезова Н.В.1, Аганезов С.С.1, Гогичашвили К.Э.1, Артемьева А.С.2, Нюганен А.О.2
-
Учреждения:
- ФГБОУ ВО «Северо-Западный государственный медицинский университет имени И.И. Мечникова» Минздрава России
- ФГБУ «Национальный медицинский исследовательский центр онкологии имени Н.Н. Петрова» Минздрава России
- Выпуск: Том 25, № 3 (2023)
- Страницы: 328-336
- Раздел: ОРИГИНАЛЬНАЯ СТАТЬЯ
- Статья опубликована: 04.10.2023
- URL: https://gynecology.orscience.ru/2079-5831/article/view/356627
- DOI: https://doi.org/10.26442/20795696.2023.3.202358
- ID: 356627
Цитировать
Полный текст
Аннотация
Цель. Оценить экспрессию FOX-белков (FOXA1 и FOXA2) в эндометрии в период «окна имплантации» у женщин с репродуктивными дисфункциями в анамнезе при различной толщине эндометрия.
Материалы и методы. Проведено проспективное когортное сравнительное исследование. В основную группу исследования включены пациентки с «тонким» эндометрием (<7 мм по данным ультразвукового исследования – УЗИ в преовуляторные дни; n=52), в группу сравнения – женщины с нормальной величиной М-эхо (≥7 мм по данным УЗИ; n=62; женщины обеих групп с нарушениями репродукции неясного генеза), в контрольную – 16 здоровых фертильных женщин. Через 6–8 дней после овуляции выполняли аспирационную биопсию эндометрия, а также венепункцию с получением образца периферической крови для определения уровней половых стероидов (эстрадиола – E2 и прогестерона – P). Проводили сочетанное гистологическое и иммуногистохимическое исследование эндометриальных биоптатов.
Результаты. У всех женщин определены овуляторные значения прогестерона – P≥16,1 нмоль/л (6–8-й день после овуляции) и нормоэстрогенемия (Е2, пмоль/л) в крови. Е2/Р являлось сходным во всех группах (p>0,05). У женщин с «тонким» эндометрием достоверно чаще (p<0,05) отмечали выраженную экспрессию FOXA1 при различных гормон-рецепторных характеристиках эндометрия (42%; n=22 из 52) в сравнении со здоровыми участницами (0%; n=0). На 6–8-й день после овуляции сниженная экспрессия FOXA2 в слизистой тела матки достоверно чаще определялась у женщин с «тонким» эндометрием (56%; n=29 из 52), чем при нормальной толщине эндометрия, как у женщин из группы сравнения, так и у здоровых женщин из группы контроля (p<0,05). При обобщенном анализе экспрессии FOX-белков в эндометрии на 6–8-й день после овуляции в целом выявлено, что у каждой 2-й (50%; n=57 из 114) женщины с нарушениями репродукции в анамнезе (при сниженном и нормальном показателе М-эхо) экспрессия протеомных маркеров отличалась от здоровых женщин. В случае «тонкого» эндометрия более чем у 2/3 пациенток (71%; n=37 из 52) выявлены различия эндометриальной экспрессии FOX-белков по сравнению с женщинами без отягощенного репродуктивного анамнеза.
Заключение. У большинства (71%) женщин с «тонким» эндометрием и репродуктивными дисфункциями в анамнезе экспрессия FOX-белков в эндометрии отличалась от контрольной группы. В целом, вероятно, отличные от показателей у здоровых женщин варианты эндометриальной экспрессии FOX-белков у пациенток с репродуктивными дисфункциями неясного генеза являются существенными предикторами репродуктивных неудач. В то же время такой изолированный показатель, как величина М-эхо<7 мм по данным УЗИ, не является абсолютным прогностическим маркером нарушений рецептивности эндометрия.
Полный текст
Введение
Среди репродуктивных проблем в современном мире значимое место занимают бесплодие и невынашивание беременности неясного генеза [1]. В Европейском руководстве «Привычная потеря беременности» (Recurrent pregnancy loss. Guideline of the European Society of Human Reproduction and Embryology, 2023) указано, что досрочно прерывается каждая 5-я беременность [2]. В Российской Федерации частота репродуктивных дисфункций колеблется от 17 до 24% в разных регионах и не имеет тенденции к снижению [1]. Известно большое количество причин нарушений фертильности у женщин, однако наименее изученными остаются вопросы, связанные с эндометриальной дисфункцией [3, 4].
Все более пристальное внимание ученых уделяется проблеме недостаточной толщины эндометрия в период «окна имплантации». Считается, что при средней длительности менструального цикла 28–30 дней на 11–13-й день величина М-эхо должна быть больше или равна 7 мм. «Тонким», или гипопластическим, считается эндометрий, толщина которого в преовуляторные дни составляет <7 мм по данным ультразвукового исследования (УЗИ) [5–7]. Остаются актуальными и крайне недостаточно изученными вопросы: является ли гипопластический эндометрий самостоятельным маркером нарушений репродуктивной функции у женщин? как соотносятся уменьшение толщины эндометрия и его рецептивность?
На 6–8-й дни после овуляции (д.п.о.) слизистая тела матки претерпевает изменения, необходимые для имплантации бластоцисты. В этот период эндометрий обладает наибольшей рецептивностью и создаются наилучшие условия для имплантации плодного яйца [8–10]. В специальной литературе представлены результаты изучения механизмов гормон-рецепторных взаимодействий в эндометрии при его нормальной толщине [3, 10, 11]. Однако в доступной литературе практически нет информации о характеристиках рецептивности гипопластического эндометрия.
Для осуществления нормальных гормон-рецепторных взаимодействий в слизистой тела матки необходимы протеомные маркеры, такие как цитокины, факторы роста, интерлейкины (в том числе наиболее изученный маркер – лейкемияинигибирующий фактор – ЛИФ), а также пионер-факторы семейства FOX-белков, в частности FOXA1 и специфичный для эндометрия FOXA2 [12–14].
В литературе имеются данные, что FOXA1 связывается с определенным участком ядерной ДНК и обеспечивает связь ядерных эстрогеновых рецепторов (ER) с молекулой гормона, что важно для нормального гормон-рецепторного ответа [14, 15]. FOXA1 необходим для обеспечения оптимальной экспрессии примерно 50% генов, связанных с ER [15]. Исходя из известных данных о значении эстрогенов для обеспечения пролиферации эндометрия, предположительно, можно рассматривать FOXA1 как опосредованный значимый фактор, необходимый для пролиферации и дифференцировки слизистой оболочки матки, однако достоверных данных в литературе об этом нет. Можно также гипотетически полагать, что недостаточное количество FOXA1-белков и/или некорректная «работа» данного протеомного маркера могут иметь значение в случае недостаточной пролиферации и дифференцировки эндометрия. В доступной литературе представлены данные об изучении FOXA1 в генезе рака молочной железы, рака простаты и органов желудочнокишечного тракта [15, 16]. Так, опубликованы результаты исследования о положительной корреляции экспрессии FOXA1 с избыточной пролиферацией клеток люминального эпителия при раке молочной железы [15]. Возможно, имеет значение определенный необходимый уровень экспрессии FOXA1 для оптимальной (но не избыточной) активности пролиферативных процессов в эстроген-чувствительных тканях. Работ, в которых изучали значение FOXA1 для рецептивности слизистой тела матки, не представлено.
FOXA2 в свою очередь известен тем, что в эндометрии экспрессируется в маточных железах, в том числе регулируя экспрессию ЛИФ в эндометриальных железах, являясь специфичным для эндометрия белком [17, 18]. Данный протеомный маркер также участвует в пролиферации и дифференцировке слизистой оболочки тела матки. В экспериментальных исследованиях на мышах доказано, что при делеции в гене FOXA2 резко снижена экспрессия ЛИФ в эндометрии, и у таких мышей слизистая оболочка тела матки оказалась невосприимчива к бластоцисте [19, 20]. Эти исследования доказывают важную роль семейства FOX-белков для процессов имплантации плодного яйца, а также подтверждают взаимодействие FOXA2 и ЛИФ в слизистой оболочке матки. Однако такого рода данных о протеомных маркерах в гипопластическом эндометрии у женщин в литературе не найдено.
Причиной углубленного изучения образцов эндометрия у пациенток обычно являются неоднократные эпизоды репродуктивных неудач при использовании вспомогательных репродуктивных технологий. В доступной литературе нет достаточных данных о рецептивности «тонкого» эндометрия, а также нет данных о роли протеомных маркеров в гипопластическом эндометрии у женщин в естественном менструальном цикле. Важным остается вопрос, является ли недостаточная величина М-эхо в преовуляторный период у женщин с нарушениями репродуктивной функции самостоятельным показанием к сочетанному гистологическому и иммуногистохимическому исследованиям биоптатов эндометрия.
Цель исследования – оценить экспрессию протеомных маркеров FOXA1 и FOXA2 в эндометрии в период «окна имплантации» у женщин с нарушениями репродукции при нормальной толщине эндометрия и при «тонком» эндометрии (<7 мм по данным УЗИ) в сравнении со здоровыми женщинами.
Материалы и методы
Проведено проспективное когортное сравнительное исследование. В исследовании сформировано 3 группы участниц: основная группа (1-я; n=52) – женщины с «тонким» эндометрием, группа сравнения (2-я; n=62) – женщины с нормальным по толщине эндометрием (женщины обеих групп с невынашиванием беременности и бесплодием неясного генеза в анамнезе); контрольная группа (3-я; n=16) – здоровые фертильные женщины.
Для основной группы и группы сравнения установлены следующие критерии включения: репродуктивный возраст (20–40 лет); подписанное добровольное информированное согласие на участие в исследовании; нарушение репродуктивной функции неясного генеза в анамнезе; нормогонадотропное нормопролактинемическое состояние, эутиреоз; овуляторный менструальный цикл. Дополнительные критерии включения: для основной группы – величина М-эхо (по данным УЗИ) <7 мм на 11–13-й день менструального цикла – д.м.ц. (при его длительности 28–30 дней); для группы сравнения – нормальная толщина эндометрия (М-эхо≥7 мм) в преовуляторный период по данным УЗИ.
Критерии включения в контрольную группу: возраст участниц 20–40 лет, наличие информированного согласия, отсутствие бесплодия и/или невынашивания беременности, воспалительных заболеваний гениталий и внутриматочных инструментальных вмешательств в анамнезе.
Критерии исключения для всех женщин: обострение соматической патологии (стадия декомпенсации или нестойкой ремиссии); системные аутоиммунные заболевания (за исключением аутоиммунного тиреоидита при эутиреозе); онкологические процессы в анамнезе и/или в настоящее время; гормон-продуцирующие опухоли в настоящем/прошлом; ожирение (индекс массы тела ≥30 кг/м2); наличие генетических маркеров наследственных тромбофилий; аномалии развития органов мочеполовой системы; эндометриоз; наличие инфекционно-воспалительного процесса урогенитального тракта в период инвазивного внутриматочного вмешательства; наличие миоматозных узлов диаметром 30 мм и более (в том числе наличие субмукозной миомы матки); прием препаратов половых гормонов менее чем за 3 мес до включения в исследование.
Местом проведения исследования стали клинические базы кафедры акушерства и гинекологии ФГБОУ ВО «СЗГМУ имени И.И. Мечникова».
С целью определения уровней гормонов в образцах периферической крови использованы иммуноферментный и хемилюминесцентный методы. Для последующего изучения уровней фолликулостимулирующего гормона (ФСГ), лютеинизирующего гормона (ЛГ) в крови проводили венепункцию из локтевой вены на 2–3-й день д.м.ц.; для определения концентрации пролактина и тиреотропного гормона (ТТГ) – образец крови получали в любой д.м.ц. Для проведения гормонального обследования использовали следующие тестсистемы: «АлкорБио» (ФСГ, ЛГ, пролактин и ТТГ); Beckman Coulter, США (эстрадиол, прогестерон).
В двух менструальных циклах подряд и в менструальном цикле, в котором выполняли внутриматочное вмешательство, всем женщинам проводили УЗИ органов малого таза (мониторировали толщину эндометрия, рост фолликула и овуляцию). Нормальной толщиной эндометрия считали величину М-эхо≥7 мм (по данным УЗИ на 11–13-й д.м.ц. при его длительности 28–30 дней) [5–7].
Через 6–8 д.п.о. всем пациенткам проводили вакуумаспирационную биопсию эндометрия. В течение всего менструального цикла, когда выполняли внутриматочное инструментальное вмешательство, женщины использовали барьерный метод контрацепции (мужской презерватив). Получение образцов слизистой тела матки проводили на фоне нормобиоценоза урогенитального тракта у всех участниц. Для биопсии эндометрия использовали специальный урогенитальный зонд типа Pipelle (Jiangsu Suyun Medical Materials Co. Ltd., Китай).
В день проведения биопсии слизистой матки получали образец периферической крови для определения уровней эстрадиола (Е2) и прогестерона (Р).
Лабораторной базой для изучения эндометриальных биоптатов с помощью гистологического и иммуногистохимического (экспрессия ER и прогестероновых рецепторов – PR) методов стал ФГБУ «ВЦЭРМ имени А.М. Никифорова». С помощью гистопроцессора Leica ASP200 (Германия) из образцов эндометрия сформированы парафиновые блоки, с которых в дальнейшем при помощи микротома (Microm HM340E, Thermo Scientific, США) выполняли срезы толщиной 3–5 мкм. В качестве красителей для проведения гистологического исследования использовали общепринятый эозин и гематоксилин.
Применяли иммуногистохимический метод с использованием полимерного EnVision-метода с помощью системы визуализации (DakoCytomation, Дания) для оценки экспрессии рецепторов половых стероидов в железах и в строме эндометрия. В качестве красителя использовали моноклональные мышиные антитела к ER (clone 1D5, RTU, DakoCytomation, Дания), моноклональные антитела к PR (clonePgR 636, RTU, DakoCytomation, Дания).
Для оценки выраженности экспрессии ER и PR в слизистой тела матки использовали микроскопический метод (микроскоп Leica DM200) и применяли формулу количественной оценки H-score (Histochemical Score): H-score = 1 × (процент клеток со слабо окрашенными ядрами) + 2 × (процент клеток с умеренно окрашенными ядрами) + 3 × (процент клеток с сильно окрашенными ядрами). Возможный диапазон значений H-score – от 0 до 300 [3, 10].
Иммуногистохимическое исследование экспрессии FOX-белков проводили на базе патологоанатомического отделения ФГБУ «НМИЦ онкологии имени Н.Н. Петрова». С использованием установки TMA Grand Master (3D Histech, Венгрия) из парафиновых блоков сформированы TMAматрицы (мультиблоки). Для окрашивания микропрепаратов использовали моноклональные кроличьи антитела anti-FOXA1 и anti-FOXA2 – с применением автоматизированной системы Ventana BenchMark ULTRA (Ventana, США). В установке Pannoramic 250 (3D Histech, Венгрия) полученные препараты эндометрия сканировали; цифровые изображения TMA-матриц оценивали c использованием программного обеспечения Case Viewer 3D (Histech, Венгрия).
Для оценки выраженности экспрессии FOX-белков в слизистой оболочке тела матки использовали визуально-количественную шкалу. Оценку экспрессии протеомных маркеров проводили полуколичественно: 0 – отсутствие окрашивания, 1 – умеренное окрашивание, 2 – выраженное окрашивание. Для статистического анализа экспрессию FOXA1 и FOXA2 определяли как выраженную (выраженное окрашивание) или сниженную (умеренное окрашивание или его отсутствие).
Дизайн исследования утвержден Локальным этическим комитетом ФГБОУ ВО «СЗГМУ имени И.И. Мечникова» (протокол №8 от 11.11. 2020).
Для обработки полученных результатов использовали программу Statistica portable v.13.5 (TIBCO Software Inc., США). Количественные показатели оценивали при помощи непараметрических (критерии Краскела–Уоллиса, Манна–Уитни) методов. Количественные данные представлены в формате M±m. Качественные показатели оценивали двусторонним критерием Фишера. Для изучения статистических взаимосвязей между показателями использовали непараметрический коэффициент корреляции Спирмена. Различия считали значимыми при p<0,05.
Результаты
Средний возраст участниц всех групп не имел достоверных различий: 32,5±0,6 года (1-я группа) vs 33,1±0,6 года (2-я) vs 32,5±0,6 года (3-я); все женщины от 20 до 40 лет (p>0,05). Средний возраст менархе у всех пациенток соответствовал среднепопуляционному, являлся сопоставимым и не имел достоверных различий (p>0,05). Длительность менструального цикла достоверно не различалась во всех группах: в основной группе – 31,0±0,6 дня, в группе сравнения – 30,2±0,8 дня, в группе контроля – 30,9±0,9 дня (p>0,05).
Все женщины, включенные в исследование, имели нормальные значения уровней гипофизарных гормонов: ФСГ (МЕ/мл) – 8,3±0,3 (I) vs 7,6±0,3 (II) vs 6,2±0,5 (III); ЛГ (мМЕ/мл) – 6,1±0,3 (I) vs 5,3±0,3 (II) vs 5,3±0,4 (III); пролактин (мМЕ/мл) – 290,6±14,4 (I) vs 286,8±18,2 (II) vs 285,4±25,7 (III); ТТГ (мМЕ/мл) – 1,3±0,1 (I) vs 1,5±0,1 (II) vs 1,5±0,3 (III); для всех сравнений p>0,05. Овуляторный менструальный цикл и нормальный уровень эстрадиола выявлены у всех женщин. При сравнительном анализе E2 и Р не выявлено достоверных различий (табл. 1).
Таблица 1. Содержание половых стероидных гормонов (E2, P) в периферической крови в цикле биопсии эндометрия (6–8-й д.п.о.) Table 1. Sex steroid hormone (E2, P) levels in peripheral blood during the endometrial biopsy cycle (days 6–8 after ovulation) in study subjects | ||||
Показатели, M±m | Группы | Референсные значения | ||
основная (М-эхо<7 мм; n=52) | группа сравнения (М-эхо≥7 мм; n=62) | контрольная (М-эхо≥7 мм; n=16) | ||
E2, пмоль/л | 595,2±36,2 | 685,9±40,3 | 707,4±66,1 | 180–1070 |
P, нмоль/л | 47,7±3,4 | 44,2±2,6 | 39,1±4,9 | 16,1–59,1 |
E2/P | 14,2±0,9 | 15,9±1,3 | 19,9±1,8 | |
Примечание. Для сравнений всех показателей p>0,05. | ||||
На 6–8-й д.п.о. всем женщинам выполняли внутриматочное вмешательство (вакуум-аспирационную биопсию) для получения образцов эндометрия с последующим гистологическим и иммуногистохимическим исследованиями (экспрессия ER, PR, FOX-белков) биоптатов. В связи с недостаточным количеством субстрата в ТМА-матрицах у 1 женщины контрольной группы отсутствовала возможность оценить экспрессию FOXA1, а еще у 1 участницы этой же группы – экспрессию FOXA2.
Проводили сравнительный анализ характеристик экспрессии FOX-белков в эндометрии (рис. 1–4) в соотношении с толщиной слизистой оболочки тела матки.
Достоверно чаще определяли выраженную экспрессию FOXA1 у женщин с репродуктивными дисфункциями в целом, чем у здоровых женщин из группы контроля (p<0,05). Достоверных различий в экспрессии FOXA1 между женщинами с гипопластическим эндометрием из основной группы и женщинами с нормальной по толщине слизистой тела матки из группы сравнения не выявлено (p>0,05); табл. 2; см. рис. 1, 2.
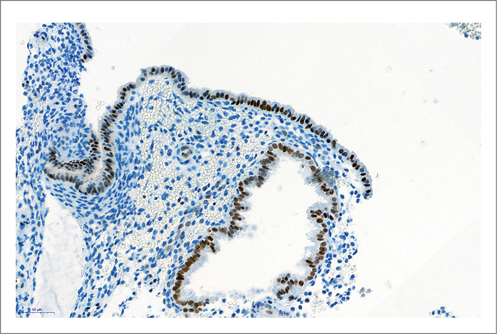
Рис. 1. Иммуногистохимическое исследование эндометриального образца: сниженная экспрессия FOXA1 в эндометрии (6–8-й д.п.о.), увеличение ×34,4.
Fig. 1. Immunohistochemical examination of the endometrial specimen: decreased FOXA1 endometrial expression (days 6–8 after ovulation); ×34.4 magnification.
Рис. 2. Иммуногистохимическое исследование эндометриального образца: выраженная экспрессия FOXA1 в эндометрии (6–8-й д.п.о.), увеличение ×27,9.
Fig. 2. Immunohistochemical examination of the endometrial specimen: high FOXA1 endometrial expression (days 6–8 after ovulation); ×27.9 magnification
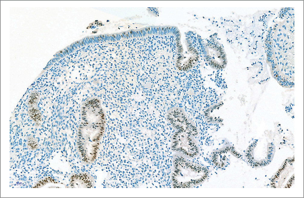
В группе женщин с «тонким» эндометрием достоверно чаще выявляли сниженную экспрессию FOXA2, чем у женщин из группы сравнения с нормальной толщиной эндометрия и у здоровых женщин из группы контроля (p<0,05); см. табл. 2; см. рис. 3, 4.
Рис. 3. Иммуногистохимическое исследование эндометриального образца: сниженная экспрессия FOXA2 в эндометрии (6–8-й д.п.о.), увеличение ×18,8.
Fig. 3. Immunohistochemical examination of the endometrial specimen: decreased FOXA2 endometrial expression (days 6–8 after ovulation); ×18.8 magnification
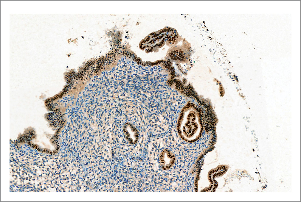
Рис. 4. Иммуногистохимическое исследование эндометриального образца: выраженная экспрессия FOXA2 в эндометрии (6–8-й д.п.о.), увеличение ×18,6.
Fig. 4. Immunohistochemical examination of the endometrial specimen: pronounced FOXA2 endometrial expression (days 6–8 after ovulation); ×18.6 magnification.
Таблица 2. Характеристики эндометриальной экспрессии FOX-белков (6–8-й д.п.о.) в соотношении с толщиной эндометрия Table 2. Endometrial expression of FOX proteins (days 6–8 after ovulation) in relation to endometrial thickness in study subjects | ||||
Экспрессия FOX-белков | Группы | p | ||
основная (n=52), абс. (%) | группа сравнения (n=62), абс. (%) | контрольная (n=16), абс. (%) | ||
Экспрессия FOXA1 | ||||
n=52 | n=62 | n=15 | ||
Сниженная (0–1) | 30 (58) | 45 (72,5) | 15 (100) | p1–2=0,1 p1–3=0,002 p2–3=0,02 |
Выраженная (2) | 22 (42) | 17 (27,5) | 0 (0) | |
Экспрессия FOXA2 | ||||
n=52 | n=62 | n=15 | ||
Сниженная (0–1) | 29 (56) | 5 (8) | 1 (6,7) | p1–2=0,0003 p1–3=0,0007 p2–3=0,9 |
Выраженная (2) | 23 (44) | 57 (92) | 14 (93,3) | |
Все женщины контрольной группы имели полноценную секреторную трансформацию эндометрия при гистологическом исследовании. Сходные гистологические характеристики оказались у 25% женщин (n=13 из 52) с «тонким» эндометрием и у 39% участниц из группы сравнения (n=24 из 62). В остальных образцах слизистой тела матки от женщин основной группы и группы сравнения выявлены несоответствия гистологических характеристик эндометрия и дней менструального цикла [21].
Первым этапом иммуногистохимического исследования стала оценка эндометриальной экспрессии ER, PR. В образцах эндометрия от здоровых фертильных женщин отмечены следующие характеристики: низкая экспрессия ER, PR в железах, снижение ER в строме, высокая экспрессия PR в строме эндометрия, что определено как полноценный вариант гормон-рецепторных характеристик слизистой тела матки (иммунофенотип-1 – ИФТ-1) [22]. Такие же показатели экспрессии рецепторов половых стероидов имели 21% участниц основной группы (n=11 из 52) и 32% участниц из группы сравнения (n=20 из 62). Соответственно, у 79% (n=41) пациенток основной группы и у 68% (n=42) пациенток группы сравнения варианты гормон-рецепторных характеристик эндометрия не соответствовали таковым у здоровых женщин контрольной группы (выявлены изолированная или сочетанная гиперэкспрессия стероидных рецепторов в железах и/или строме слизистой тела матки – ИФТ-2, 3, 4) [21, 22].
Второй этап иммуногистохимического исследования включал в себя оценку характеристик экспрессии FOX-белков в соотношении с вариантом гормон-рецепторного ответа в эндометрии.
Выраженная экспрессия FOXA1 достоверно чаще выявлялась у женщин с «тонким» эндометрием (42%; n=22 из 52; независимо от варианта гормон-рецепторного ответа), чем у здоровых женщин из группы контроля (0%; n=0; p<0,05). Также достоверно чаще выраженная экспрессия FOXA1 выявлялась у женщин с гипопластическим эндометрием и ИФТ-2, 3, 4, чем у женщин группы сравнения с нормальным гормон-рецепторным ответом эндометрия (p<0,05). У женщин из группы сравнения с ИФТ-2, 3, 4 выраженная экспрессия FOXA1 выявлялась достоверно чаще, чем у женщин контрольной группы (p<0,05); табл. 3.
Число случаев сниженной экспрессии FOXA2 оказалось достоверно больше у женщин с «тонким» эндометрием при различных вариантах гормон-рецепторного ответа (56%; n=29 из 52), чем у женщин с нормальной толщиной эндометрия как из группы сравнения, так и из группы контроля (p<0,05); см. табл. 3.
Таблица 3. Характеристики эндометриальной экспрессии FOX-белков (6–8-й д.п.о.) в соотношении с характеристиками гормонрецепторного статуса эндометрия Table 3. Endometrial expression of FOX proteins (days 6–8 after ovulation) in relation to endometrial hormone-receptor status in study subjects | ||||||
Экспрессия FOX-белков | Группы | p | ||||
основная (n=52), абс. (%) | группа сравнения (n=62), абс. (%) | контрольная (n=16), абс. (%) | ||||
М-эхо<7 мм + ИФТ 1 (n=11) | М-эхо<7 мм + ИФТ 2, 3, 4 (n=41) | М-эхо≥7 мм + ИФТ 1 (n=20) | М-эхо≥7 мм + ИФТ 2, 3, 4 (n=42) | М-эхо≥7 мм + ИФТ 1 (n=16) | ||
1 | 2 | 3 | 4 | 5 | ||
Экспрессия FOXA1 | ||||||
n=11 | n=41 | n=20 | n=42 | n=15 | ||
Сниженная (0–1) | 8 (73) | 22 (54) | 17 (85) | 28 (67) | 15 (100) | p1–2=0,2 p1–3=0,4 p1–4=0,7 p1–5=0,03 p2–3=0,02 p2–4=0,2 p2–5=0,001 p3–4=0,1 p3–5=0,1 p4–5=0,01 |
Выраженная (2) | 3 (27) | 19 (46) | 3 (15) | 14 (33) | 0 (0) | |
Экспрессия FOXA2 | ||||||
n=11 | n=41 | n=20 | n=42 | n=15 | ||
Сниженная (0–1) | 6 (53) | 23 (56) | 1 (5) | 4 (9,5) | 1 (6,7) | p1–2=0,8 p1–3=0,001 p1–4=6×10-4 p1–5=0,006 p2–3=1×10-4 p2–4=1×10-4 p2–5=0,001 p3–4=0,5 p3–5=0,8 p4–5=0,7 |
Выраженная (2) | 5 (45) | 18 (44) | 19 (95) | 38 (90,5) | 14 (93,3) | |
В группе контроля (n=16) отмечено 100% эндометриальных образцов с полноценными для 6–8-го д.п.о. секреторными преобразованиями слизистой тела матки и рецепторными характеристиками эндометрия, соответствующих ИФТ-1 [22]. В основной группе и группе сравнения в ряде случаев выявлены несоответствия показателей экспрессии рецепторов половых стероидов и заключения гистологического исследования [21]. Для более подробного изучения характеристик экспрессии FOX-белков в эндометрии участницы исследования разделены на подгруппы в зависимости от гистологических характеристик слизистой оболочки матки и варианта гормон-рецепторных характеристик эндометрия.
Число случаев с выраженной экспрессией FOXA1 в слизистой тела матки достоверно больше оказалось у женщин с гипопластическим эндометрием (42%; n=22 из 52) при различных сочетаниях вариантов секреторной трансформации эндометрия и экспрессии ER, PR в слизистой тела матки, чем у здоровых женщин из группы контроля (0%; n=0; p<0,05). Также выраженная экспрессия FOXA1 чаще выявлялась у женщин с «тонким» эндометрием, чем у некоторых подгрупп женщин с нормальной толщиной эндометрия из группы сравнения (табл. 4). В группе женщин с репродуктивными дисфункциями и нормальной толщиной эндометрия (при соответствии экспрессии ER, PR и гистологических характеристик эндометрия) чаще определяли выраженную экспрессию FOXA1, чем у здоровых фертильных женщин контрольной группы (p<0,05); см. табл. 4.
Сниженная экспрессия FOXA2 достоверно чаще выявлялась у женщин с «тонким» эндометрием (56%; n=29 из 52; независимо от варианта гормон-рецепторных характеристик и фазовой трансформации эндометрия), чем у всех женщин группы сравнения и группы контроля (при нормальной толщине слизистой оболочки тела матки); p<0,05 (см. табл. 4).
Таблица 4. Характеристики эндометриальной экспрессии FOX-белков (6–8-й д.п.о.) в соотношении с вариантами гормон-рецепторного статуса эндометрия и гистологическими характеристиками Table 4. Endometrial expression of FOX proteins (days 6–8 after ovulation) in relation to endometrial hormone-receptor status variants and histological characteristics in study subjects | |||||||||
Экспрессия FOX-белков | Группы | ||||||||
основная (n=52), абс. (%) | группа сравнения (n=62), абс. (%) | контрольная (n=16), абс. (%) | |||||||
М-эхо<7 мм + ИФТ 1 + полноцен. (n=10) | М-эхо<7 мм + ИФТ 2,3,4 + неполноцен. (n=38) | М-эхо<7 мм + ИФТ 1 + неполноцен. (n=1) | М-эхо<7 мм + ИФТ 2,3,4 + полноцен. (n=3) | М-эхо≥7 мм + ИФТ 1 + полноцен. (n=16) | М-эхо≥7 мм + ИФТ 2,3,4 + неполноцен. (n=34) | М-эхо≥7 мм + ИФТ 1 + неполноцен. (n=4) | М-эхо≥7 мм + ИФТ 2,3,4 + полноцен. (n=8) | М-эхо≥7 мм + ИФТ 1 + полноцен. (n=16) | |
1 | 2 | 3 | 4 | 5 | 6 | 7 | 8 | 9 | |
Экспрессия FOXA1 | |||||||||
n=10 | n=38 | n=1 | n=3 | n=16 | n=34 | n=4 | n=8 | n=15 | |
Сниженная (0–1) | 6 (60) | 22 (58) | 0 (0) | 2 (67) | 10 (62,5) | 23 (68) | 4 (100) | 8 (100) | 15 (100) |
Выраженная (2) | 4 (40) | 16 (42) | 1 (100) | 1 (33) | 6 (37,5) | 11 (32) | 0 (0) | 0 (0) | 0 (0) |
p | p1–2=0,9; p1–3=0,2; p1–4=0,8; p1–5=0,9; p1–6=0,6; p1–7=0,1; p1–8=0,04; p1–9=0,007; p2–3=0,2; p2–4=0,8; p2–5=0,7; p2–6=0,4; p2–7=0,1; p2–8=0,02; p2–9=0,003; p3–4=0,2; p3–5=0,2; p3–6=0,2; p3–7=0,02; p3–8=0,003; p3–9=2×10-7; p4–5=0,9; p4–6=0,9; p4–7=0,2; p4–8=0,09; p4–9=0,02; p5–6=0,7; p5–7=0,1; p5–8=0,04; p5–9=0,008; p6–7=0,2; р6–8=0,06; p6–9=0,01; p7–8=1,0; p7–9=1,0; p8–9=1,0 | ||||||||
Экспрессия FOXA2 | |||||||||
n | n=10 | n=38 | n=1 | n=3 | n=16 | n=34 | n=4 | n=8 | n=15 |
Сниженная (0–1) | 7 (70) | 19 (50) | 0 (0) | 3 (100) | 2 (12,5) | 2 (6) | 0 (0) | 1 (12,5) | 1 (6,7) |
Выраженная (2) | 3 (30) | 19 (50) | 1 (100) | 0 (0) | 14 (87,5) | 32 (94) | 4 (100) | 7 (87,5) | 14 (93,3) |
р | p1–2=0,2; p1–3=0,2; p1–4=0,3; p1–5=0,003; p1–6=1×10-6; p1–7=0,01; p1–8=0,01; p1–9=0,0009; p2–3=0,04; p2–4=0,1; p2–5=0,01; p2–6=1×10-5; p2–7=0,04; p2–8=0,04; p2–9=0,003; p3–4=0,03; p3–5=0,7; p3–6=0,8; p3–7=1,0; p3–8=0,7; p3–9=0,8; p4–5=0,002; p4–6=1×10-6; p4–7=0,008; p4–8=0,007; p4–9=0,0004; p5–6=0,4; p5–7=0,4; p5–8=1,0; p5–9=0,6; p6–7=0,6; р6–8=0,5; p6–9=0,9; p7–8=0,5; p7–9=0,6; p8–9=0,6 | ||||||||
В основной группе и группе сравнения проведен обобщенный анализ числа случаев с эндометриальной экспрессией FOX-белков (6–8-й д.п.о.), отличной от здоровых женщин без отягощенного репродуктивного анамнеза (выраженная экспрессия FOXA1, сниженная экспрессия FOXA2 или их сочетание). Отличающиеся от группы контроля характеристики экспрессии FOX-белков выявлены у 71% (n=37 из 52) пациенток с «тонким» эндометрием и у 35,5% (n=22 из 62) женщин с нормальным по толщине эндометрием из группы сравнения. В целом у каждой 2-й (50%; n=57 из 114) женщины с репродуктивными дисфункциями в анамнезе имела место отличная от здоровых фертильных женщин эндометриальная экспрессия FOX-белков.
Обсуждение
В литературе представлено множество данных о том, что недостаточная толщина эндометрия в преовуляторные дни может быть прогностическим маркером репродуктивных нарушений [4]. «Тонким» считается эндометрий, величина которого на 11–13-й д.м.ц. (при его длительности 28–30 дней) по данным УЗИ составляет менее 7 мм [5–7]. Однако в литературе описаны клинические случаи наступления беременности в естественном цикле зачатия у женщин при толщине эндометрия менее 7 мм, и даже при величине Мэхо 4–5 мм [23, 24]. Данная информация позволяет предположить, что толщина эндометрия по результатам УЗИ, по всей вероятности, не является единственным маркером прогнозирования возможности реализации репродуктивной функции у женщин.
Известно, что для успешной имплантации бластоцисты необходимы адекватные рецептивные свойства эндометрия [8–10]. Считается, что в период «окна имплантации» эндометрий обладает наибольшей рецептивностью, когда происходит полноценная реализация эффектов половых стероидов с точки зрения обеспечения оптимальной фазовой трансформации эндометрия, а также достаточная экспрессия в нем протеомных маркеров [11, 12]. Однако в доступной литературе нами не обнаружено данных о рецептивности «тонкого» эндометрия в естественном менструальном цикле.
В литературе описано влияние FOX-белков на ядерные рецепторы половых стероидов, в том числе в эндометрии, что позволяет предположить их непосредственное участие в реализации рецептивности слизистой тела матки [14, 15].
FOXA1 взаимодействует с определенным участком ДНК и реализует связь эстрогеновых ядерных рецепторов с молекулой гормона. Наиболее часто FOXA1 исследуют как маркер в генезе онкологических процессов в органах желудочно-кишечного тракта, простате и молочной железе, однако можно предположить, что FOXA1 участвует в процессах пролиферации и дифференцировки эндометрия [14, 16]. Не исключено, что недостаточное количество и/или некорректная «работа» данного протеомного маркера могут приводить к нарушению пролиферации эндометрия в первой половине менструального цикла.
FOXA2 – это специфический для эндометрия протеомный маркер, который так же, как и FOXA1, участвует в пролиферации и дифференцировке слизистой тела матки. В эндометрии FOXA2 действует взаимозависимо с ЛИФ, регулируя его экспрессию и участвуя в подготовке эндометрия к возможной имплантации бластоцисты. В доступной литературе описаны эксперименты неудачного оплодотворения мышей с делецией в гене FOXA2 и сниженной экспрессией ЛИФ, что доказывает важную роль данных протеомных маркеров для успешного наступления беременности [17, 19, 20].
Углубленное исследование образцов эндометрия, сочетающее гистологический и иммуногистохимический методы, позволило нам более детально изучить эндометриальную экспрессию FOX-белков при различных гормон-рецепторных взаимодействиях в эндометрии с полноценной/неполноценной фазовой эндометриальной трансформацией, а также при различной толщине слизистой оболочки матки.
Нами проведен сравнительный анализ экспрессии белков FOXA1 и FOXA2 в эндометрии при различной величине М-эхо у женщин с репродуктивными нарушениями неясного генеза в анамнезе и у здоровых фертильных женщин; также проведен углубленный анализ при делении участниц исследования на подгруппы при различных вариантах секреторной трансформации эндометрия и гормон-рецепторных характеристик слизистой тела матки в соотношении с величиной М-эхо.
Исследование проведено при сходных уровнях половых стероидов в крови (все участницы имели овуляторные значения прогестерона и нормоэстрогенемию) без достоверных различий у женщин с репродуктивными дисфункциями в анамнезе при различной толщине эндометрия и у здоровых женщин.
Мы выявили, что в целом у женщин с репродуктивными дисфункциями чаще встречаются характеристики экспрессии FOX-белков, отличные от здоровых фертильных женщин, что подтверждает важность этой группы протеомных маркеров для успешного наступления беременности.
Получение образцов эндометрия для последующего иммуногистохимического исследования проводилось на 6–8-й д.п.о., в период предполагаемого «окна имплантации». Нами выявлена сниженная эндометриальная экспрессия FOXA1 у 100% здоровых женщин контрольной группы. Данные результаты позволяют полагать, что в фазу средней секреции в эндометрии в норме имеет место сниженная экспрессия FOXA1 на фоне преобладающего действия прогестерона, который тормозит экспрессию ER в железах и строме эндометрия и в целом процессы пролиферации слизистой оболочки матки. По-видимому, наибольшая экспрессия FOXA1 должна определяться в пролиферативную фазу трансформации эндометрия, когда обеспечивается максимально интенсивный процесс взаимодействия молекул эстрадиола с гормон-ответным участком эстрогеновых ядерных рецепторов. FOXA1 способствует деконденсации хроматина в соответствующих последовательностях ДНК, что создает условия для максимально эффективного взаимодействия эстрадиола с ядерными рецепторами [14, 15], запуска активных процессов транскрипции ядерной ДНК и в конечном итоге образования специфических белков, необходимых для пролиферации эндометрия.
В дизайне нашего исследования не предусмотрено изучение образцов эндометрия в I фазу менструального цикла. Исходя из описанных в литературе данных о роли FOXA1-белка для пролиферации эндометрия, есть основание предполагать снижение экспрессии FOXA1 в пролиферативную фазу «эндометриального» цикла у женщин с «тонким» эндометрием.
В секреторную фазу менструального цикла, когда процессы пролиферации тормозятся, значение FOXA1, вероятно, снижается, в связи с чем у здоровых женщин экспрессия данного протеомного маркера снижена. В настоящее время нет очевидно доказанных фактов, объясняющих полученные нами результаты. Однако в единичном исследовании у женщин с раком эндометрия выявлена выраженная экспрессия FOXA1 в слизистой тела матки [25]. Возможно, снижение экспрессии FOXA1 в фазу секреции «эндометриального» цикла является регуляторным механизмом, препятствующим избыточной пролиферации эндометрия.
В то же время закономерно возникает вопрос – почему у части женщин с «тонким» эндометрием в среднюю фазу секреции экспрессия FOXA1 выраженная? Возможно, это связано с десинхронизацией динамики экспрессии FOXA1 и фазовой трансформации эндометрия в ряде случаев. Не исключено, что в фазу пролиферации у женщин с «тонким» эндометрием экспрессия FOXA1 недостаточна, что приводит в итоге к формированию гипопластического эндометрия как проявления недостаточного эстрогенового эффекта в слизистой тела матки при нормоэстрогенемии в крови. Полагаем, что у части женщин запоздалая увеличенная экспрессия FOXA1 в среднюю секреторную фазу трансформации эндометрия (как это выявлено в 42% образцов слизистой тела матки у женщин основной группы с «тонким» эндометрием в нашем исследовании) не может компенсировать недостаточную пролиферацию в I фазу менструального цикла в связи с противодействующими эффектами прогестерона при овуляторном менструальном цикле.
Еще одним фактором нарушений реализации репродуктивной функции у женщин является снижение экспрессии FOXA2 в секреторную фазу трансформации эндометрия. FOXA2 считается более специфичным протеомным маркером для обеспечения рецептивности эндометрия, эффекты которого взаимосвязаны с ЛИФ [17, 18]. Снижение экспрессии FOXA2 в период «окна имплантации» уменьшает шансы на имплантацию плодного яйца. В нашем исследовании мы получили результаты, что сниженная экспрессия FOXA2 чаще встречается у женщин с гипопластическим эндометрием, чем у здоровых фертильных женщин и у женщин с нарушениями репродуктивной функции при нормальной толщине эндометрия. Это еще раз доказывает, что FOXA2 может быть важным маркером в процессах пролиферации слизистой оболочки матки, а также позволяет предположить важную роль именно FOXA2 в эндометрии и процессах имплантации и развития плодного яйца.
В данном исследовании мы получили результаты, что у каждой второй женщины с нарушениями репродуктивной функции в анамнезе (50%; n=57 из 114) выявлена эндометриальная экспрессия FOX-белков (на 6–8-й д.п.о.), отличная от здоровых женщин из группы контроля; среди пациенток с «тонким» эндометрием таких случаев выявлено более чем 2/3 (71%; n=37 из 52). В прошлых наших исследованиях мы получили результаты, что каждая 5-я женщина с «тонким» эндометрием и нарушениями репродуктивной функции в анамнезе имела сходные со здоровыми женщинами варианты гормон-рецепторных взаимодействий в слизистой тела матки [21]. Примерно у такого же числа женщин с «тонким» эндометрием экспрессия FOX-белков в слизистой тела матки сопоставима со здоровыми женщинами. Подобные результаты косвенно согласуются с немногочисленными литературными наблюдениями успешной имплантации бластоцисты у женщин с величиной М-эхо менее 7 мм [23, 24].
В целом результаты данной работы подтвердили наши предыдущие выводы о том, что наиболее важной характеристикой эндометрия является его рецептивность, а не отдельно взятая величина М-эхо [21, 23]. Именно наличие нарушений репродуктивной функции неясного генеза в анамнезе является показанием к проведению комплексного гистологического и иммуногистохимического исследований эндометрия с изучением экспрессии протеомных маркеров. Такой изолированный ультразвуковой показатель, как «тонкий» эндометрий, без соответствующего анамнеза не является абсолютным показанием для изучения его биоптатов.
Заключение
«Тонкий» эндометрий (<7 мм на 11–13-й д.м.ц. по данным УЗИ при его длительности 28–30 дней) не является единственным предиктором нарушений репродуктивной функции у женщин. У большинства пациенток при «тонком» эндометрии (71%; n=37 из 52) экспрессия FOX-белков отличается от показателей здоровых фертильных женщин.
Комплексное исследование эндометрия на разных уровнях рецептивности (гистологический и протеомный) позволяет оценить основные характеристики рецептивности «тонкого» эндометрия при анамнезе репродуктивных неудач неясного генеза.
Раскрытие интересов. Авторы декларируют отсутствие явных и потенциальных конфликтов интересов, связанных с публикацией настоящей статьи.
Disclosure of interest. The authors declare that they have no competing interests.
Вклад авторов. Авторы декларируют соответствие своего авторства международным критериям ICMJE. Все авторы в равной степени участвовали в подготовке публикации: разработка концепции статьи, получение и анализ фактических данных, написание и редактирование текста статьи, проверка и утверждение текста статьи.
Authors’ contribution. The authors declare the compliance of their authorship according to the international ICMJE criteria. All authors made a substantial contribution to the conception of the work, acquisition, analysis, interpretation of data for the work, drafting and revising the work, final approval of the version to be published and agree to be accountable for all aspects of the work.
Источник финансирования. Авторы декларируют отсутствие внешнего финансирования для проведения исследования и публикации статьи.
Funding source. The authors declare that there is no external funding for the exploration and analysis work.
Информированное согласие на публикацию. Пациенты подписали форму добровольного информированного согласия на публикацию медицинской информации.
Consent for publication. Written consent was obtained from the patients for publication of relevant medical information and all of accompanying images within the manuscript.
Соответствие принципам этики. Протокол исследования был одобрен локальным этическим комитетом ФГБО ВО «СЗГМУ имени И.И. Мечникова» (протокол №8 от 11.11.2020). Одобрение и процедуру проведения протокола получали по принципам Хельсинкской конвенции.
Ethics approval. The study was approved by the local ethics committee of Mechnikov North-Western State Medical University (protocol №8 dated 11.11.2020). The approval and procedure for the protocol were obtained in accordance with the principles of the Helsinki Convention.
Благодарность. Коллектив авторов выражает благодарность кандидат медицинских наук В.Н. Эллиниди (на момент проведения данного исследования – заведующий патологоанатомическим отделением ФГБУ «ВЦЭРМ А.М. Никифорова») за методологическую помощь и исследование эндометриальных биоптатов при проведении данного исследования.
Acknowledgements. Authors express gratitude to VN Ellinidi, Ph.D. (at the time of this study, she was the head of the pathology department of the Nikiforov's All-Russian Center for Emergency and Radiation Medicine) for methodological assistance and examination of endometrial samples during this study.
Об авторах
Наталия Владимировна Аганезова
ФГБОУ ВО «Северо-Западный государственный медицинский университет имени И.И. Мечникова» Минздрава России
Автор, ответственный за переписку.
Email: aganezova@mail.ru
ORCID iD: 0000-0002-9676-1570
SPIN-код: 2961-5377
доктор медицинских наук, доц., профессор, каф. акушерства и гинекологии
Россия, Санкт-ПетербургСергей Станиславович Аганезов
ФГБОУ ВО «Северо-Западный государственный медицинский университет имени И.И. Мечникова» Минздрава России
Email: aganezov@mail.ru
ORCID iD: 0000-0002-3523-9922
SPIN-код: 8186-6778
кандидат медицинских наук, доц., доц. каф. акушерства и гинекологии
Россия, Санкт-ПетербургКсения Эдуардовна Гогичашвили
ФГБОУ ВО «Северо-Западный государственный медицинский университет имени И.И. Мечникова» Минздрава России
Email: kseniagogichashvili@mail.ru
ORCID iD: 0000-0002-5430-7118
SPIN-код: 8683-2954
аспирант каф. акушерства и гинекологии
Россия, Санкт-ПетербургАнна Сергеевна Артемьева
ФГБУ «Национальный медицинский исследовательский центр онкологии имени Н.Н. Петрова» Минздрава России
Email: oinochoya@gmail.com
ORCID iD: 0000-0002-2948-397X
SPIN-код: 5760-5463
кандидат медицинских наук, зав. патологоанатомическим отделением, рук. научной лаб. морфологии опухолей
Россия, Санкт-ПетербургАнна Олеговна Нюганен
ФГБУ «Национальный медицинский исследовательский центр онкологии имени Н.Н. Петрова» Минздрава России
Email: annanyuganen@gmail.com
ORCID iD: 0000-0003-2685-5093
SPIN-код: 2357-6059
врач-патологоанатом патологоанатомического отделения ФГБУ
Россия, Санкт-ПетербургСписок литературы
- Женское бесплодие (современные подходы к диагностике и лечению). Клинические рекомендации (протокол лечения). М.: МЗ РФ, 2021 [Zhenskoie besplodiie (sovremennyie podkhody k diagnostike i lecheniiu). Klinicheskiie rekomendatsii (protokol lecheniia). Moscow: MZ RF, 2021 (in Russian)].
- Recurrent pregnancy loss. ESHRE early Pregnancy Guideline Development Group Guideline of European Society of Human Reproduction and Embryology. 2023.
- Пономаренко К.Ю. Характеристика гормон-рецепторного аппарата эндометрия у женщин с нарушениями репродуктивной функции: дис. … кандидат медицинских наук. СПб., 2018 [Ponomarenko KIu. Kharakteristika gormon-retseptornogo apparata endometriia u zhenshchin s narusheniiami reproduktivnoi funktsii: dis. … kand. med. nauk. Saint Petersburg, 2018 (in Russian)].
- Попова М.В., Луцик В.В., Рыкова Д.В., и др. Тонкий эндометрий как причина репродуктивных потерь и неудачных попыток ЭКО (обзор литературы). Медико-социальные проблемы семьи. 2020;25(1) [Popova MV, Lutsik VV, Rykova DV, et al. Tonkii endometrii kak prichina reproduktivnykh poter' i neudachnykh popytok EKO (obzor literatury). Mediko-sotsial'nyie problemy sem'i. 2020;25(1) (in Russian)].
- Оразов М.Р., Радзинский В.Е., Хамошина М.Б., и др. Тайны репродуктивных неудач: «тонкий» эндометрий. Оперативная гинекология. 2018;2(35):7-17 [Orazov MR, Radzinskii VE, Khamoshina MB, et al. Tainy reproduktivnykh neudach: “tonkii” endometrii. Operativnaia ginekologiia. 2018;2(35):7-17 (in Russian)].
- Zhang J, Sun Y, Xu Y, et al. Effect of endometrium thickness on clinical outcomes in luteal phase short-acting GnRH-a long protocol and GnRH-Ant protocol. Front Endocrinol (Lausanne). 2021;12:578783. doi: 10.3389/fendo.2021.578783
- Mouhayar Y, Franasiak JM, Sharara FI. Obstetrical complications of thin endometrium in assisted reproductive technologies: a systematic review. J Assist Reprod Genet. 2019;36(4):607-11. doi: 10.10007/s10815-019-01407-y
- Fox C, Morin S, Jeong J-W, et al. Local and systemic factors and implantation: what is the evidence? Fertil Steril. 2016;105(4):873-84. doi: 10.1016/j.fertnstert.2016.02.018
- Richard J. Introduction: Endometrial receptivity: evaluation, induction and inhibition. Fertil Steril. 2019;111:609-10. doi: 10.1016/j.fertnstert.2019.02.029
- Кузьмина А.В. Характеристика протеомного уровня рецептивности эндометрия у женщин с нарушениями репродуктивной функции: дис. … кандидат медицинских наук. СПб, 2020 [Kuz'mina AV. Kharakteristika proteomnogo urovnya retseptivnosti endometriia u zhenshchin s narusheniiami reproduktivnoi funktsii: dis. … kand. med. nauk. Saint Petersburg, 2020 (in Russian)].
- Мелкозерова О.А., Башмакова Н.В., Есарева А.В. Проблемы коммуникации эмбриона и эндометрия: маркеры нарушений и механизмы влияния. Российский вестник акушера-гинеколога. 2016;16(5):29-36 [Melkozerova OA, Bashmakova NV, Esareva AV. Problems of embryo/endometrium communication: Markers of dysfunction and mechanisms of action. Russian Bulletin of Obstetrician-Gynecologist. 2016;16(5):29-36 (in Russian)].
- Шарфи Ю.Ж. Цитокины и факторы роста как маркеры имплантационной способности эндометрия в циклах экстракорпорального оплодотворения (ЭКО). Журнал акушерства и женских болезней. 2013;62(4):88-93 [Sharfi YuZh. Tsitokiny i faktory rosta kak markery implantatsionnoi sposobnosti endometriia v tsiklakh ekstrakorporal'nogo oplodotvoreniia (EKO). Zhurnal akusherstva i zhenskikh boleznei. 2013;62(4):88-93 (in Russian)].
- Левиашвили М.М., Мишиева Н.Г., Назаренко Т.А., Коган Е.А. Лейкемия-ингибирующий фактор и рецептивность эндометрия. Проблемы репродукции. 2012;3:17-21 [Leviashvili MM, Mishieva NG, Nazarenko TA, Kogan EA. Leukemia inhibitory factor and endometrial receptivity. Russian Journal of Human Reproduction. 2012;3:17-21 (in Russian)].
- Fu X, Pereira R, De Angelis C, et al. FOXA1 upregulation promotes enhancer and transcriptional reprogramming in endocrine-resistant breast cancer. Proc Natl Acad Sci USA. 2019;116:26823-34. doi: 10.1073/pnas.1911584116
- Thorat MA, Marchio C, Morimiya A, et al. Forkhead box A1 expression in breast cancer is associated with luminal subtype and good prognosis. J Clin Pathol. 2008;61(3):327-32. doi: 10.1136/jcp.2007.052431
- Yang YA, Yu J. Current perspectives on FOXA1 regulation of androgen receptor signaling and prostate cancer. Genes Dis. 2015;2(2):144-51. doi: 10.1016/j.gendis.2015.01.003
- Kelleher AM, Peng W, Pru JK, et al. Forkhead box a2 (FOXA2) is essential for uterine function and fertility. Proc Natl Acad Sci USA. 2017;114:1018-26. doi: 10.1073/pnas.1618433114
- Kelleher A, Behura S, Burns G, et al. Integrative analysis of the forkhead box A2 (FOXA2) cistrome for the human endometrium. FASEB J. 2019;33(7):8543-54. doi: 10.1096/fj.201900013R
- Cha J, Dey SK. Hunting for Fox(A2): Dual roles in female fertility. Proc Natl Acad Sci USA. 2017;6:1226-8. doi: 10.1073/pnas.1620648114
- Jeong JW, Kwak I, Lee KY, et al. Foxa2 is essential for mouse endometrial gland development and fertility. Biol Reprod. 2010;83(3):396-403. doi: 10.1095/biolreprod.109.083154
- Аганезова Н.В., Аганезов С.С., Гогичашвили К.Э. Характеристики рецептивности эндометрия у женщин с различной толщиной эндометрия. Акушерство, Гинекология и Репродукция. 2022;16(2):108-21 [Aganezova NV, Aganezov SS, Gogichashvili KE. Characteristics of endometrial receptivity in women with different endometrial thickness. Obstetrics, Gynecology and Reproduction. 2022;16(2):108-21 (in Russian)].
- Аганезов С.С., Эллиниди В.Н., Пономаренко К.Ю., и др. Особенности гормон-рецепторного взаимодействия в эндометрии при овуляторном менструальном цикле у женщин с нарушением репродуктивной функции. Вестник Российской военно-медицинской академии. 2018;20(2):63-7 [Aganezov SS, Ellinidi VN, Ponomarenko KIu, et al. Osobennosti gormon-retseptornogo vzaimodeystviia v endometrii pri ovuliatornom menstrual'nom tsikle u zhenshchin s narusheniiem reproduktivnoi funktsii. Vestnik Rossiiskoi voienno-meditsinskoi akademii. 2018;20(2):63-7 (in Russian)].
- Sundström P. Establishment of a successful pregnancy following in-vitro fertilization with an endometrial thickness of no more than 4 mm. Human Reprod. 1998;13(6):1550-2. doi: 10.1093/humrep/13.6.1550
- Check JH, Dietterich C, Check ML, Katz Y. Successful delivery despite conception with a maximal endometrial thickness of 4 mm. Clin Exp Obstet Gynecol. 2003;30(2-3):93-4.
- Qiu M, Bao W, Wang J, et al. FOXA1 promotes tumor cell proliferation through AR involving the Notch pathway in endometrial cancer. BMC Cancer. 2014;14:78. doi: 10.1186/1471-2407-14-78
Дополнительные файлы







