Trophoblastic disease of the placental bed in the practice of a gynecologist. Case report
- Authors: Fadeev I.E.1,2,3, Sotnikova T.N.2, Bruzgin Е.A.2, Poletova T.N.1, Polushkina T.V.2
-
Affiliations:
- Russian Medical Academy of Continuous Professional Education
- Davidovsky City Clinical Hospital
- Research Institute for Healthcare Organization and Medical Management
- Issue: Vol 26, No 3 (2024)
- Pages: 292-296
- Section: CLINICAL CASE
- Published: 20.09.2024
- URL: https://gynecology.orscience.ru/2079-5831/article/view/530652
- DOI: https://doi.org/10.26442/20795696.2024.3.202824
- ID: 530652
Cite item
Full Text
Abstract
Trophoblastic disease is a rare condition. Obstetrician-gynecologists are usually aware of simple hydatidiform mole, invasive mole, and chorioepithelioma. Practitioners are significantly less aware of diseases associated with tumor transformation of the intermediate trophoblast. Such rare forms of trophoblastic disease are almost impossible to diagnose clinically. The morphological differential diagnosis is also quite challenging. Attention to detail and methodical examination of the specimen using various methods ranging from routine staining methods to immunohistochemistry and molecular and cytogenetic typing make it possible to establish the correct diagnosis and choose an effective therapeutic strategy. The article describes a rare clinical case of successfully morphologically diagnosed placental bed involvement, which was manifested by abnormal uterine bleeding in a 26-year-old patient.
Full Text
Введение
Трофобластическая болезнь (ТБ) включает различные формы опухолевой трансформации плацентарной ткани. По данным одного из самых крупных в Европе трофобластических центров (Шеффилд, Великобритания), распространенность различных форм ТБ составляет: полный и частичный пузырный занос (ПЗ) – 77,2%, хориокарцинома – 17,5%, другие формы – 5,3% [1]. Опухоли трофобласта встречаются нечасто, составляя всего около 1% случаев в онкогинекологической практике. С учетом распространенности различных форм ТБ акушеры-гинекологи обычно имеют представление о простом ПЗ как о доброкачественной опухоли с определенным потенциалом малигнизации, а также о злокачественных новообразованиях (ЗНО) – инвазивном ПЗ и хорионэпителиоме. Заболевания манифестируют преимущественно в репродуктивном возрасте, характеризуются высокой степенью злокачественности и ранним метастазированием. Несмотря на это ЗНО трофобласта обычно хорошо поддаются химиотерапии (ХТ) с высокой вероятностью излечения и с последующим сохранением репродуктивной функции даже при наличии отдаленных метастазов [2]. Однако о редких трофобластических неоплазиях – опухолях плацентарного участка (ПУ) и эпителиоидных трофобластических опухолях – информации у практикующих врачей значительно меньше. Приведенные опухоли также могут возникать после любого типа предшествующей беременности: маточной, эктопической или молярной. Различия начинаются с клеточного состава: редкие формы ТБ связаны с опухолевой трансформацией промежуточных трофобластических клеток – элементов цитотрофобласта. Считается, что дублирование отцовской Х-хромосомы вызывает аномальную генетическую передозировку и играет роль в пролиферации трофобластов, а в 85% случаев предшествовала беременность плодом женского пола [3].
Помимо трудности клинической и морфологической диагностики рассматриваемые опухоли значительно менее чувствительны к ХТ, чем другие формы гестационной трофобластической неоплазии, представленные трансформированным синцитиотрофобластом. Они не реагируют на монотерапию актиномицином D или метотрексатом, которыми лечат ПЗ и хориокарциному, поэтому пациенткам с данными поражениями, локализованными в матке, чаще всего в качестве основного лечебного вмешательства рекомендуют гистерэктомию [4–6]. Кроме того, основа стандартизации выбора типа ХТ – прогностическая система оценки от Международной федерации акушеров и гинекологов, разработанная на базе результатов лечения наиболее распространенных форм ТБ, которая в подобных случаях плохо коррелирует с прогнозом. Указанные обстоятельства приводят к непропорционально высокой летальности в данной подгруппе пациенток [7, 8].
Длительный временной промежуток между манифестацией опухоли в виде аномального кровотечения и предшествующей беременностью (месяцы и даже годы), относительно низкий или даже нормальный уровень β-хорионического гонадотропина человека (β-ХГЧ) в крови, необычная микроскопическая картина часто приводят к диагностическим ошибкам (новообразования могут ошибочно принимать за метастатическую меланому, опухоль гладкой мускулатуры или плоскоклеточный рак шейки матки – ШМ) [6, 7, 9].
Сложна и дифференциальная диагностика трофобластической опухоли ПУ с неопухолевой избыточной инвазией цитотрофобласта в миометрий – патологических состояний, которые и клинически, и микроскопически очень похожи, но существенно различны по характеру патологического процесса, прогнозу и подходам к лечению [10].
ТБ плацентарного ложа (ПЛ) имеет ряд морфологических особенностей, которые можно обнаружить при рутинном исследовании препаратов, окрашенных гематоксилин-эозином.
Образование имеет хорошо очерченную полиповидную форму, обладает инфильтративным характером роста и состоит из скоплений или слоев крупных, полигональных или округлых клеток, представленных промежуточными мононуклеарными трофобластическими клетками, а также рассеянными многоядерными клетками в месте имплантации. Данные клетки часто объединяются в сливающиеся пласты, однако инвазивный компонент на периферии представлен единичными клетками трофобласта или в виде их тяжей и гнезд, которые инфильтрируют подлежащий слой миомет- рия путем разделения отдельных мышечных волокон [11].
Часто присутствует сосудистая инвазия с замещением клетками трофобласта стенок сосудов миометрия. Данные трансформированные кровеносные сосуды уникальны и являются диагностическими для ТБ ПЛ.
Трофобластический эпителий содержит обильную амфофильную (иногда и эозинофильную или прозрачную) цитоплазму с крупными ядрами неправильной, полигональной формы и выраженной гиперхромазией. Большинство опухолей имеют низкую митотическую активность: 1–2 митоза/мм2 (что соответствует 2–4 митозам / 10 полям высокой мощности диаметром 0,5 мм и площадью 0,2 мм2) [12].
Для достоверной верификации диагноза используют иммуногистохимию (ИГХ), поскольку из-за выраженного ядерного полиморфизма, наличия очаговых некрозов, которые также могут быть обнаружены при исследовании, дифференциальная диагностика в первую очередь проводится с хориокарциномой, что может вызывать диагностические трудности при световой микроскопии.
Для ТБ ПЛ наиболее характерен невысокий индекс пролиферативной активности (Ki-67<40%) с негативной или очаговой положительной реакцией с β-ХГЧ [13].
Существуют и более дорогостоящие молекулярные методы, цитогенетическое тестирование. Диагноз ставят на основании наличия Х-хромосомы, полученной от отца, и отсутствия Y-хромосомы [14].
Клинический случай
Приведем описание клинического случая успешно диагностированной ТБ ПУ.
В сентябре 2022 г. в клинику по вызову скорой медицинской помощи поступила пациентка 26 лет, русская, уроженка Ставропольского края, проживающая в Московской области, работающая офисным сотрудником в г. Москве, с жалобами на обильное влагалищное кровотечение в течение 1,5 сут до госпитализации. Накануне поступления в стационар осмотрена гинекологом амбулаторно, проведена неспецифическая гемостатическая терапия (прием транексамовой кислоты внутрь по 1000 мг 3 раза в течение суток), которая оказалась неэффективной – выделения усилились. Рекомендована экстренная госпитализация для проведения хирургического гемостаза.
Anamnesis vitae. Пациентка болела острыми респираторными вирусными инфекциями, детскими инфекциями, в раннем возрасте перенесла аппендэктомию. Гемотрансфузий не было. ВИЧ, гепатиты, сифилис, хронические заболевания в анамнезе, контакты с инфекционными больными, курение, злоупотребление алкоголем, прием наркотиков больная отрицает. Аллергических реакций в течение жизни не отмечала, лекарственных средств постоянно не принимала. Семейный анамнез не отягощен.
Менструации начались в 13 лет, установились сразу продолжительностью по 5 дней с интервалом 28 дней, по объему кровопотери умеренные, безболезненные. Последняя менструация пришла за 19 дней до госпитализации в ожидаемые сроки, прошла обычно. Половая жизнь с 18 лет, регулярная, в браке. Контрацепцию не использовала. Единственная беременность 1,5 года назад закончилась самопроизвольным абортом в I триместре вне лечебного учреждения (патоморфологическое исследование не проводили). В дальнейшем несмотря на отсутствие контрацепции беременность не наступала. Гинекологических заболеваний и операций не отмечено.
Status praesens при поступлении. Температура тела составляла 36,6ºC, рост – 162 см, вес – 60 кг. Индекс массы тела – 22,8 кг/м2. Общее состояние оценено как удовлетворительное. Сознание ясное. Положение пациентки активное. Больная ориентировалась в месте, во времени, в собственной личности. Кожные покровы бледно-розовые, сухие, тургор кожи нормальный, подкожно-жировая клетчатка умеренного развития, видимые слизистые розовые. Периферических отеков не отмечено. Лимфатические узлы при пальпации не увеличены. Дыхательные движения с частотой 17 в минуту оценивали как симметричные. Грудная клетка конической формы, при пальпации безболезненная, при сравнительной перкуссии определен ясный легочный звук. Дыхание аускультативно везикулярное, глубокое, ритмичное, проводилось во все отделы. Тоны сердца ритмичные, ясные. Пульс составил 76 уд/мин, артериальное давление – 120/80 мм рт. ст. Живот симметричен, участвует в акте дыхания, мягкий и безболезненный. Симптомов раздражения брюшины не выявлено. При перкуссии печеночная тупость сохранена. При аускультации живота выслушивалась нормальная перистальтика кишечника. Грыжевых выпячиваний не выявлено. Печень пальпировалась на уровне правой реберной дуги. Притупления перкуторного звука в отлогих местах не отмечено. Селезенка не пальпировалась. Физиологические отправления не нарушены.
Гинекологический осмотр. Наружные половые органы правильно развиты с оволосением по женскому типу. ШМ при осмотре в зеркалах была цилиндрической, плотной, не эрозированной. Наружный зев закрыт. Отмечались обильные кровяные выделения из половых путей. При бимануальном исследовании тело матки представлялось не увеличенным, плотным, при этом подвижным, безболезненным при пальпации. Придатки с обеих сторон не увеличены и безболезненны.
В анализах крови гемоглобин составил 131 г/л, β-ХГЧ – 4,58 мЕД/мл (референсные интервалы лаборатории 0–5,00 мЕД/мл: отрицательный тест).
Ультразвуковое исследование (УЗИ) органов малого таза (МТ) не дало существенной дополнительной информации.
УЗИ органов МТ трансвагинально и трансабдоминально (аппарат Toshiba Aplio MX). Тело матки расположено в срединном положении, размер 41×34×47 мм. Миометрий однородный, средней эхогенности, с расширенными венами по задней стенке. Полость матки (ПМ) не расширена, не деформирована. Эндометрий 10 мм однородной структуры (кровоток не определялся). ШМ нормальных размеров, симметричная. Правый яичник 32×18 мм с желтым телом 10 мм. Левый яичник 21×14 мм фолликулярной структуры. В позадиматочном пространстве жидкости не выявлено. Отмечаются единичные расширенные вены в проекции МТ.
Заключение. УЗ-признаки расширения вен миометрия.
Диагноз по Международной классификации болезней «аномальное маточное кровотечение неуточненное N93.9».
В гинекологическом отделении пациентке с гемостатической и диагностической целью под внутривенным наркозом в экстренном порядке проведена операция, включающая расширение шеечного канала, гистероскопию, раздельное диагностическое выскабливание цервикального канала (ЦК) и ПМ.
Описание операции. Длина ПМ по зонду 9 см. ЦК расширен до №8. Введен гистероскоп, обнаружен эндоцервикс обычного строения. После удаления сгустков крови и отмывания ПМ не расширена, не деформирована. Эндометрий бледно-розового цвета, неоднородный, не утолщен, частично десквамирован, с нитями фибрина. Устья маточных труб визуализируются с обеих сторон. Визуально подозрительные признаки в отношении опухолевого роста не определены. Произведено выскабливание ЦК кюреткой №4 – соскоб скудный, а также выскабливание ПМ кюреткой №6 – соскоб умеренный.
Контрольная гистероскопия: стенки ЦК и ПМ гладкие. Устья маточных труб визуализируются с обеих сторон. Полученный материал отправлен на гистологическое исследование. Кровотечение значительно уменьшилось. Осложнений не выявлено, кровопотеря составила 15 мл.
Пациентка переведена из операционной в гинекологическое отделение, проведены рутинные реабилитационные мероприятия: контроль артериального давления (110/70, 120/80 мм рт. ст.), пульса (ритмичный, 70–76 уд/мин), диуреза (1250 мл/сут), рекомендовано ношение компрессионных чулок. На 1-е сутки кровотечение прекратилось, больную выписали в удовлетворительном состоянии под наблюдение гинеколога женской консультации с рекомендацией явки за результатами гистологического исследования через 10 дней.
Гистологическое исследование
Макроскопическое описание
- ЦК: взвесь хлопьев в крайне скудном объеме. Проводка материала крайне сомнительна.
- ПМ: сгустки крови с примесью фрагментов ткани серого цвета общим объемом 2 см.
Микроскопическое описание
- Крупный фрагмент слизистой оболочки влагалищной порции ШМ, представленный типичным многослойным плоским неороговевающим эпителием со слабо выраженной субэпителиальной лимфоцитарной инфильтрацией, а также мелкие обрывки цилиндрического эпителия ЦК.
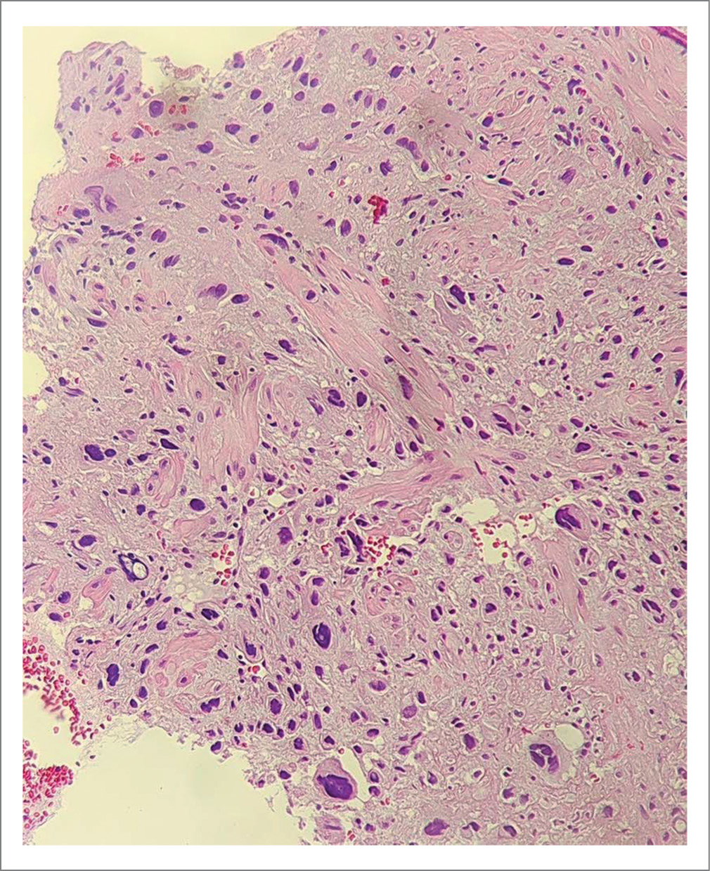
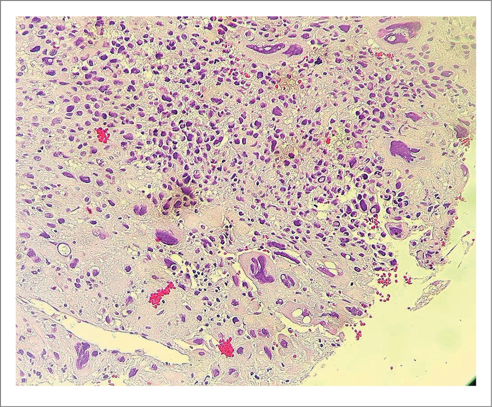
- Свертки крови, представленные частично лизированными и неизмененными эритроцитами, эндометрий без четких признаков стадии менструального цикла, с признаками очаговых гиперпластических изменений, без атипии. На этом фоне обнаружены крупные фрагменты эндометрия с ростом полиповидной опухолеподобной ткани, инфильтрирующей прилежащие части миометрия, построенной из крупных многогранных, преимущественно мононуклеарных, клеток, а также многочисленных сливающихся пластов клеток трофобласта с гигантскими гиперхромными ядрами с резко выраженным полиморфизмом. В пределах доставленного материала фокусов некрозов достоверно не обнаружено, признаков лимфоваскулярной инвазии также не выявлено (рис. 1, 2).
Рис. 1. Клетки трофобласта с крупными гиперхромными ядрами, «раздвигающие» мышечные волокна миометрия. Окраска гематоксилин-эозином. ×20.
Fig. 1. Trophoblast cells with large hyperchromic nuclei, separating muscle fibers of the myometrium. Hematoxylin and eosin staining. ×20.
Рис. 2. Сливающиеся клетки трофобласта с формированием пластов, демонстрирующие выраженный ядерный полиморфизм. Окраска гематоксилин-эозином. ×20.
Fig. 2. Fused trophoblast cells with formation of layers, demonstrating pronounced nuclear polymorphism. Hematoxylin and eosin staining. ×20.
Заключение. ТБ ПЛ.
Комментарии к заключению и рекомендации. Для достоверной верификации патологического процесса, дифференциальной диагностики с хориокарциномой рекомендуется проведение дополнительной ИГХ в специализированном онкологическом патологоанатомическом отделении, в первую очередь оценки реакции с антителом β-ХГЧ и определения Ki-67.
По запросу авторов статьи выполнен пересмотр первичных препаратов и ИГХ-срезов соответствующих блоков с целью дифференциальной диагностики в патологоанатомическом отделении ФГБУ «НМИЦ хирургии им. А.В. Вишневского». Обнаружены:
- участки слизистой оболочки ШМ, представленные пластами многослойного плоского неороговевающего эпителия со слабой лимфоцитарной инфильтрацией субэпителиальной зоны, отдельные обрывки цилиндрического цервикального эпителия;
- свертки крови, комки слизи, обрывки пролиферативного эндометрия с очаговыми признаками гиперплазии, без признаков атипии, отдельно – фрагменты образования, построенного из крупных полигональных с обильной эозинофильной цитоплазмой и крупными гиперхромными ядрами клеток, расположенных среди васкуляризированной стромы и очагов фибриноидного некроза, немногочисленные гигантские клетки с крупными уродливыми ядрами.
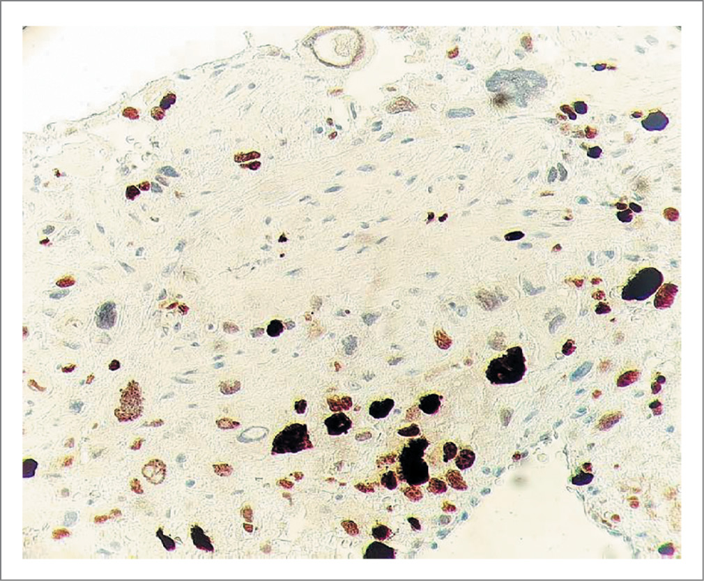
При ИГХ обнаружены следующие реакции: Ki-67 (клон MIB-1 DAKO) – ядерная экспрессия в 30%; клетки образования, негативные к CD57 (клон TB01, DAKO), SALL4 (клон 6E3, Cell Marque), p63 (клон 4A4, Ventana).
Заключение. Морфологическая картина более всего соответствует ТБ ПЛ (рис. 3).
Рис. 3. Ki-67 (клон MIB-1 DAKO), который оценивали в «горячих точках», составил 30%. ×40.
Fig. 3. Ki-67 (MIB-1 DAKO clone) evaluated in “hot spots” was 30%. ×40.
Таким образом, в представленном неординарном случае имела место ТБ ПЛ, имитировавшая ЗНО, которая для врача – акушера-гинеколога являлась обычным вариантом аномального маточного кровотечения дисфункционального характера со следующими признаками: 17 мес после прерывания единственной беременности, отсутствие нарушений менструального цикла в этот период, первичный эпизод обильного аномального маточного кровотечения (решение о хирургическом, а не о гормональном гемостазе у нерожавшей пациентки в 26 лет выглядит спорным, однако именно это обстоятельство ускорило постановку диагноза), отсутствие подъема β-ХГЧ, практически нормальная эхографическая картина, неспецифические изменения при гистероскопии. Как мы видим, не было ни малейшей возможности заподозрить ТБ до этапа патоморфологической диагностики.
На морфологическом этапе возникли определенные трудности в плане дифференциальной диагностики. Патолого- анатомы крайне редко встречаются с ТБ, поэтому важно не упускать значимые детали, тщательно изучать доставленный материал на всех возможных этапах, начиная от рутинных методов окраски и заканчивая ИГХ, а при сомнительных результатах следует использовать молекулярное и цитогенетическое типирование.
После обследования больная направлена для дальнейшего ведения в специализированное учреждение экспертного уровня по лечению трофобластических заболеваний. Перспективы лечения не очевидны. Гистерэктомию – наиболее эффективный лечебный фактор – изначально не рассматривали в связи с молодым возрастом и нулевым паритетом пациентки. Показано выполнение тщательного радиологического обследования (сканирование МТ, брюшной полости, легких и головного мозга), а в дальнейшем, по-видимому, будет проведена поли-ХТ с последующей попыткой реализации репродуктивной функции, что, согласно данным литературы, в ряде наблюдений является возможным [5].
Осторожный оптимизм в представленном клиническом случае связан с благоприятными факторами прогноза, среди которых молодой возраст женщины, очаговый характер процесса (небольшие размеры очага по негативным данным гистероскопии), промежуток до начала лечения <48 мес после прервавшейся беременности [7].
Таким образом, можно констатировать, что согласованное междисциплинарное взаимодействие специалистов высокого уровня является ключевым фактором достижения благоприятных исходов для пациенток с данной редкой и опасной патологией.
Раскрытие интересов. Авторы декларируют отсутствие явных и потенциальных конфликтов интересов, связанных с публикацией настоящей статьи.
Disclosure of interest. The authors declare that they have no competing interests.
Вклад авторов. Авторы декларируют соответствие своего авторства международным критериям ICMJE. Все авторы в равной степени участвовали в подготовке публикации: разработка концепции статьи, получение и анализ фактических данных, написание и редактирование текста статьи, проверка и утверждение текста статьи.
Authors’ contribution. The authors declare the compliance of their authorship according to the international ICMJE criteria. All authors made a substantial contribution to the conception of the work, acquisition, analysis, interpretation of data for the work, drafting and revising the work, final approval of the version to be published and agree to be accountable for all aspects of the work.
Источник финансирования. Авторы декларируют отсутствие внешнего финансирования для проведения исследования и публикации статьи.
Funding source. The authors declare that there is no external funding for the exploration and analysis work.
Информированное согласие на публикацию. Пациентка подписала форму добровольного информированного согласия на публикацию медицинской информации.
Consent for publication. Written consent was obtained from the patient for publication of relevant medical information and all of accompanying images within the manuscript.
About the authors
Igor E. Fadeev
Russian Medical Academy of Continuous Professional Education; Davidovsky City Clinical Hospital; Research Institute for Healthcare Organization and Medical Management
Author for correspondence.
Email: iefadeev@mail.ru
ORCID iD: 0000-0002-0881-0740
SPIN-code: 2732-0602
Cand. Sci. (Med.), Russian Medical Academy of Continuous Professional Education, Davidovsky City Clinical Hospital, Research Institute for Healthcare Organization and Medical Management
Russian Federation, Moscow; Moscow; MoscowTatiana N. Sotnikova
Davidovsky City Clinical Hospital
Email: docsotnikova@mail.ru
ORCID iD: 0000-0002-6482-1110
SPIN-code: 4609-6164
Department Head
Russian Federation, MoscowЕvgenii A. Bruzgin
Davidovsky City Clinical Hospital
Email: dr.bruzgin@yandex.ru
ORCID iD: 0000-0003-2189-8975
SPIN-code: 1068-0112
Department Head
Russian Federation, MoscowTatiana N. Poletova
Russian Medical Academy of Continuous Professional Education
Email: iefadeev@mail.ru
ORCID iD: 0000-0003-1131-477X
SPIN-code: 2947-5215
Cand. Sci. (Med.)
Russian Federation, MoscowTatiana V. Polushkina
Davidovsky City Clinical Hospital
Email: drpolushkina@mail.ru
ORCID iD: 0000-0001-7458-991X
pathologist
Russian Federation, MoscowReferences
- Steigrad SJ. Epidemiology of gestational trophoblastic diseases. Best Pract Res Clin Obstet Gynaecol. 2003;17(6):837-47. doi: 10.1016/s1521-6934(03)00049-x
- Мещерякова Л.А., Карселадзе А.И., Козаченко В.П., и др. Практические рекомендации по лекарственному лечению злокачественных трофобластических опухолей. Злокачественные опухоли: Практические рекомендации RUSSCO. 2019;9(3s2):233-42 [Meshcheriakova LA, Karseladze AI, Kozachenko VP, et al. Prakticheskie rekomendatsii po lekarstvennomu lecheniiu zlokachestvennykh trofoblasticheskikh opukholei. Zlokachestvennye Оpukholi: Prakticheskie Rekomendatsii RUSSCO. 2019;9(3s2):233-42 (in Russian)].
- Hui P, Parkash V, Perkins AS, Carcangiu ML. Pathogenesis of placental site trophoblastic tumor may require the presence of a paternally derived X chromosome. Lab Invest. 2000;80(6):965-72. doi: 10.1038/labinvest.3780099
- Ngan HYS, Seckl MJ, Berkowitz RS, et al. Diagnosis and management of gestational trophoblastic disease: 2021 update. Int J Gynaecol Obstet. 2021;155(Suppl. 1):86-93. doi: 10.1002/ijgo.13877
- Zhao J, Lv WG, Feng FZ, et al. Placental site trophoblastic tumor: A review of 108 cases and their implications for prognosis and treatment. Gynecol Oncol. 2016;142(1):102-8. doi: 10.1016/j.ygyno.2016.05.006
- Moutte A, Doret M, Hajri T, et al. Placental site and epithelioid trophoblastic tumours: diagnostic pitfalls. Gynecol Oncol. 2013;128(3):568-72. doi: 10.1016/j.ygyno.2012.11.010
- Abu-Rustum NR, Yashar CM, Bean S, et al. Gestational Trophoblastic Neoplasia, Version 2.2019, NCCN Clinical Practice Guidelines in Oncology. J Natl Compr Canc Netw. 2019;17(11):1374-91. doi: 10.6004/jnccn.2019.0053
- Frijstein MM, Lok CAR, van Trommel NE, et al. Management and prognostic factors of epithelioid trophoblastic tumors: Results from the International Society for the Study of Trophoblastic Diseases database. Gynecol Oncol. 2019;152(2):361-7. doi: 10.1016/j.ygyno.2018.11.015
- Burkett WC, Soper JT. A Review of Current Management of Placental Site Trophoblastic Tumor and Epithelioid Trophoblastic Tumor. Obstet Gynecol Surv. 2022;77(2):101-10. doi: 10.1097/OGX.0000000000000978
- Katebi Kashi P, Hopkins MR, Stone RL. Placental site trophoblastic tumor versus exaggerated placental site: a diagnostic dilemma. Int J Gynecol Cancer. 2021;31(10):1391-2. doi: 10.1136/ijgc-2021-003021
- Blaustein's Pathology of the Female Genital Tract. Edition by RJ Kurman, LH Ellenson, BM Ronnett. Springer. 2019.
- Young RH, Scully RE. Placental-site trophoblastic tumor: current status. Clin Obstet Gynecol. 1984;27(1):248-58. doi: 10.1097/00003081-198403000-00032
- Shih IeM. Trophogram, an immunohistochemistry-based algorithmic approach, in the differential diagnosis of trophoblastic tumors and tumorlike lesions. Ann Diagn Pathol. 2007;11(3):228-34. doi: 10.1016/j.anndiagpath.2007.04.001
- Hui P, Wang HL, Chu P, et al. Absence of Y chromosome in human placental site trophoblastic tumor. Mod Pathol. 2007;20(10):1055-60. doi: 10.1038/modpathol.3800941
Supplementary files






