The effect of laser and dynamic quadripolar radiofrequency therapies on the expression of collagenogenesis proteins in the vaginal epithelium and tissue elasticity in women with genital prolapse
- Authors: Dobrokhotova Y.E.1, Kareva E.N.1,2, Grishin I.I.1, Kochina N.A.1, Krasnoshchok E.V.1,2, Komagorov V.I.1
-
Affiliations:
- Pirogov Russian National Research Medical University
- Sechenov First Moscow State Medical University (Sechenov University)
- Issue: Vol 25, No 2 (2023)
- Pages: 228-233
- Section: ORIGINAL ARTICLE
- Published: 14.07.2023
- URL: https://gynecology.orscience.ru/2079-5831/article/view/546115
- DOI: https://doi.org/10.26442/20795696.2023.2.202114
- ID: 546115
Cite item
Full Text
Abstract
Background. Genital prolapse dramatically affects the quality of life of patients. Various sources show that the relapse rate after surgical treatment is 30 to 60%.
Aim. To determine and compare the expression levels of collagen metabolism proteins before and after exposure to laser and radio frequency in the postoperative period in postmenopausal patients and to compare ultrasound elastography data to justify using these exposure methods as a rehabilitation program.
Materials and methods. Histological specimens were collected from 54 patients with postmenopausal POP-Q grade 3 genital prolapse, and an ultrasound examination was made before surgery and after rehabilitation therapy. A real-time polymerase chain reaction method was used to assess the expression level of type I collagen, matrix metalloproteinases (MMP-2, MMP-9), and tissue inhibitors of metalloproteinases (TIMP-1, TIMP-2). Ultrasound examination was performed using the technology of compression elastography with the analysis of the color scale and the coefficient of tissue deformation.
Results. Data were obtained on the increase in the expression of TIMP-1 by 7 times and TIMP-2 by 4 times in the radiofrequency therapy group compared to the group before treatment, as well as a 64-fold decrease in TIMP-2 expression in the vaginal tissue of women in the group after laser therapy compared to the group before treatment. A significant increase in the expression of TIMP-1 and TIMP-2 genes in vaginal tissue after radiofrequency exposure and a decrease in TIMP-2 after laser exposure demonstrate the compensatory effect of biological markers in response to energy therapy, as well as the remodeling effect of these methods. According to ultrasound, tissue elasticity in patients increased after laser and radiofrequency exposure.
Conclusion. The results support using radiofrequency and laser therapy in the postoperative period as rehabilitation methods.
Full Text
Введение
Пролапс гениталий (ПГ) – патологическое состояние, при котором происходит опущение тазового дна и органов малого таза изолированно или в сочетании [1, 2]. ПГ представляет собой актуальную медико-социальную проблему ввиду широкой распространенности, высокой частоты рецидивирования и значительного влияния на качество жизни пациенток. Распространенность генитального пролапса колеблется от 2,9 до 97,7% в мире и составляет около 30% от всех гинекологических заболеваний [3].
В этиопатогенезе ПГ играет роль множество факторов: возраст пациенток, менопауза, увеличенный индекс массы тела, растяжение и травмы тканей во время вагинальных родов, масса тела новорожденного, а также сопутствующие заболевания женщины, которые могут приводить к резкому повышению внутрибрюшного давления (болезни кишечника и легких, сопровождающиеся хроническими запорами и кашлем) [4]. Однако обсуждаемой проблемой остается вероятность развития ПГ у молодых нерожавших женщин со стабильным гормональным фоном и без повышения внутрибрюшного давления. В работах многих авторов показано, что опущение и полное выпадение внутренних половых органов у женщин является проявлением дисплазии соединительной ткани, которая выявляется у 78,8–98,3% пациенток с ПГ [5].
По данным многочисленных исследований, несостоятельность соединительной ткани при ПГ, а именно снижение ее прочности и упругости, формируется в результате качественных преобразований, связанных с нарушением метаболизма белков и изменением соотношения коллагенов [6]. Из этого следует, что в патогенезе ПГ основную роль играют нарушения в метаболизме соединительной ткани, а именно изменение состава экстрацеллюлярного (межклеточного) матрикса (ЭЦМ) связочного аппарата матки и стенок влагалища [7–9]. Важнейшим структурным элементом ЭЦМ является коллаген. Как известно, механическая прочность поддерживающего аппарата таза зависит от количества и качества коллагеновых волокон. Изменение в коллагеновом каркасе связочного аппарата матки и приводит к ослаблению соединительной ткани и развитию ПГ. Тканевое ремоделирование – процесс постоянный, поэтому очень важен баланс между синтезом ткани и ее разрушением. Из всего многообразия типов коллагена в структуре урогенитального тракта преобладает I тип, обеспечивающий механическую прочность тканей [10, 11].
Протеолиз коллагена зависит от активности интерстициальных металлопротеиназ (ММРs), в частности от желатиназ ММР-2 и ММР-9 [12–15]. Для нормального функционирования соединительной ткани необходим баланс между распадом и синтезом коллагена. Деятельность ММРs в свою очередь регулируют тканевые ингибиторы металлопротеиназ (TIMP) [16]. TIMP действуют как ключевые ингибиторы MMPs в тканях путем связывания в активном сайте и формирования комплекса «фермент–ингибитор». TIMP обладают специфичностью к ингибированию металлопротеиназ, с наибольшей активностью TIMP-2 к ММР-2 и TIMP-1 к ММР-9 [17].
В литературе имеются данные об изменениях в уровне экспрессии генов коллагенов I и III типов, ММPs и TIMPs при пролапсе органов малого таза. Результаты нескольких исследований показали, что у женщин с ПГ значительно снижен уровень коллагенов I и III типов и увеличена экспрессия генов ММР-1 в среднем в 1,5 раза, ММР-2 – в 2 раза, а ММР-9 – в 3,2 раза, что вносит большой вклад в разрушение структурной целостности связок [18, 19], в то время как экспрессия TIMP-1 у женщин с ПГ оказалась значительно снижена по сравнению со здоровыми пациентками [19]. Считается, что избыток ММРs может нарушать функциональное развитие или восстановление связок после травмы у женщин и способствовать изменению их прочности, что может приводить к пролапсу. Таким образом, можно сделать вывод, что ключевую роль в патогенезе генитального пролапса играют коллагены I и III типов, ММР-2, ММР-9 и их ингибиторы TIMP-1 и TIMP-2. Лечение ПГ, в основном хирургическое, связано с коррекцией анатомических дефектов связочного аппарата малого таза [20, 21]. Частота рецидивов в первые 3 года после оперативного лечения составляет 33–60% [22]. Для снижения риска рецидивирования применяются методы послеоперационной реабилитации, одним из которых является метод динамической квадриполярной радиочастотной терапии (ДКРЧ), которая позволяет активизировать процессы регенерации, неоваскуляризации и неоколлагеногенеза [23–26]. Также активно применяются лазерные технологии. За счет абсорбции лазерного луча водой реализуется многоточечное микроаблативное, коагуляционное и термическое действие, вследствие чего происходит ретракция в тканях – сокращение коллагеновых волокон, а также усиление выработки коллагена и эластина за счет активации белками теплового шока реакции клеточного иммунитета.
Цель исследования – определение уровней экспрессии белков метаболизма коллагена до и после воздействия лазером и RF-методом для подтверждения обоснованности применения данных методов послеоперационной реабилитации.
Понимание патогенетических механизмов ПГ позволит не только улучшить проводимую реабилитацию, но и выявлять потенциальные группы риска по рецидивированию.
Материалы и методы
В исследование вошли 54 пациентки постменопаузального периода с ПГ 3-й степени по POP-Q. Средний возраст обследованных пациенток составлял 64,7±9,3 года. Перед включением в исследование от всех получено информированное согласие на участие в обследовании. Критериями включения стали постменопауза и наличие ПГ 3-й степени. Критерии исключения: возраст моложе 55 лет и старше 75 лет, пациентки не в постменопаузе, наличие противопоказаний к RF-терапии (наличие новообразований в области воздействия, острых воспалительных процессов урогенитального тракта, онкологического заболевания в анамнезе), ПГ 1, 2, 4-й степени по POP-Q, аутоиммунные заболевания, злокачественные новообразования в анамнезе, аневризма аорты, наружный генитальный эндометриоз, аденомиоз, воспалительные заболевания кишечника, изъязвления роговицы.
Научное исследование выполнено на клинической базе кафедры акушерства и гинекологии лечебного факультета ФГАОУ ВО «РНИМУ им. Н.И. Пирогова» (заведующая кафедрой – доктор медицинских наук, профессор Ю.Э. Доброхотова) в гинекологическом отделении ГБУЗ «ГКБ №1 им. Н.И. Пирогова».
Перед оперативным лечением всем пациенткам проведено ультразвуковое исследование по технологии компрессионной эластографии, что позволило оценить эластичность ткани путем локальной деформации при дозированной компрессии. Компрессия вызывалась с помощью надавливания датчиком на стенки влагалища. Более эластичная (жесткая) ткань отображается синим цветом, ткань средней эластичности – зеленым, желто-зеленым, а более мягкая – красным цветом. Помимо качественной оценки эластичности тканей (анализа цветовой шкалы) также использовался количественный критерий – определение коэффициента деформации тканей (strain-ratio) [25].
Исследование проводилось на ультразвуковой системе HS70A компании Samsung Medison трансвагинальным датчиком 4,0–8,0 Мгц.
Оперативное лечение выполнялось в объеме передней, задней кольпорафии, кольпоперинеолеваторопластики. Интраоперационно производился забор материала с передней и задней стенок влагалища.
Через 14 дней после операции пациентки рандомизированы на 3 равнозначные группы по 18 человек. В 1-й группе проводилась ДКРЧ аппаратом EVA (Novaclinical, Италия) влагалищной насадкой по технологии ДКРЧ при температуре 41–42°С, с мощностью 25% 1 раз в 10 дней – 6 сеансов. Во 2-й группе пациенткам производилась лазерная терапия с помощью аппарата More-Xel CYMA (BISON, Южная Корея) – 2 сеанса влагалищным датчиком, с промежутком 21 день между сеансами в режиме SUI (stress urinary incontinence) мощностью 22 Вт, временем воздействия 240 мс. В 3-й группе, группе контроля, не проводились реабилитационные мероприятия.
Через 3 мес после оперативного вмешательства проводились контрольное ультразвуковое исследование органов малого таза в режиме эластографии и забор гистологического материала из передней и задней стенок влагалища на 1 и 7 ч условного циферблата соответственно.
Для оценки уровня экспрессии коллагена I типа (Col1A1), матриксных металлопротеиназ (MMP-2, MMP-9) и TIMP-1, TIMP-2 до и через 3 мес после лазерного и RF-воздействия из биоптата ткани влагалища выделяли матричную РНК (мРНК) с помощью набора реагентов «РИБО-преп» (AmpliSens, Россия) согласно инструкции производителя. Получение комплементарной ДНК на матрице мРНК проводили с помощью реакции обратной транскрипции с использованием комплекта реагентов «ОТ-1» («Синтол», Россия). Для полимеразной цепной реакции в реальном времени использовали набор готовых реактивов «Реакционная смесь 2,5× для проведения ПЦР-РВ в присутствии SYBR Green I» на приборе iCycler iQ5 real-time PCR (Bio-Rad, Германия). В качестве контрольного гена использовали ген GAPDH (глицеральдегидфосфатдегидрогеназа). Последовательности праймеров искомых генов представлены в табл. 1.
Таблица 1. Последовательности праймеров / Table 1. Primer sequences | ||
Название праймера | Нуклеотидная последовательность | |
up | low | |
GAPDH | caa-ggt-cat-cca-tga-caa-ctt-tg | gtc-cac-cac-cct-gtt-gct-gta-g |
Col1A1 | agg-gcc-aag-acg-aag-aca-tc | aga-tca-cgt-cat-cgc-aca-aca |
MMP-2 | agg-act-acg-acc-gcg-aca-ag | tgt-tgc-cca-gga-agg-tga-ag |
MMP-9 | ctt-cca-act-ttg-aca-gcg-aca | gga-gtg-atc-caa-gcc-cag-tg |
TIMP-1 | cgc-agc-gag-gag-gtt-tct-cat | ggc-agt-gat-gtg-caa-att-tcc |
TIMP-2 | tgg-cct-tta-tat-ttg-atc-cac-ac | aaa-aat-cca-aac-gga-aac-aaa-at |
Для определения уровней экспрессии генов использовали формулы 0,5-∆Ct (для выявления достоверных различий между группами данных) и 2-∆∆Ct (для выяснения кратности различий), где ∆Ct = Ct (искомого гена) – Ct (GAPDH) и ∆∆Ct = ∆Ct (при 1-й патологии) – ∆Ct (при 2-й патологии).
Все первичные экспериментальные данные обрабатывали с использованием программы GraphPadPrism 5.0. Анализ соответствия признака закону нормального распределения проводили с применением критерия Колмогорова–Смирнова. Сравнение независимых переменных в двух выборках осуществляли непараметрическим методом с применением критерия Манна–Уитни. Критерием значимости при статистических расчетах в данной работе являлось значение показателя вероятности ошибки (р) не более 5%, т.е. p≤0,05.
Результаты
Результаты сравнения относительного количества мРНК ColA1, MMP-2, MMP-9 и TIMP-1, TIMP-2 до и через 3 мес после воздействия лазера и RF-метода у пациенток в постменопаузе представлены на рис. 1.
Рис. 1. Уровни экспрессии генов ColA1, MMP-2, MMP-9 и TIMP-1, TIMP-2 до (группа контроля) и после реабилитационной терапии (лазер и RF) у пациенток в постменопаузе. / Fig. 1. The expression levels of the Col1A1, MMP-2, MMP-9, TIMP-1, and TIMP-2 genes before (control group) and after rehabilitation therapy (laser and RF) in postmenopausal patients.
Сравнительный анализ экспрессии генов коллагеногенеза в ткани влагалища до и после воздействия лазером и методом динамической радиочастотной терапии выявил различие в экспрессии следующих генов: увеличение экспрессии MMP-2 в 10 раз (p=0,022), TIMP-1 в 18 раз (p=0,022) и TIMP-2 в 250 раз (p=0,0002) в группе RF по сравнению с группой лазерной терапии; увеличение экспрессии TIMP-1 в 7 раз (p=0,003) и TIMP-2 в 4 раза (p=0,05) в группе RF по сравнению с группой до лечения; а также снижение экспрессии TIMP-2 в 64 раза (p=0,0001) в ткани влагалища женщин в группе LR по сравнению с группой до лечения.
Достоверных различий в экспрессии гена Col1A1 после реабилитационной терапии не обнаружено.
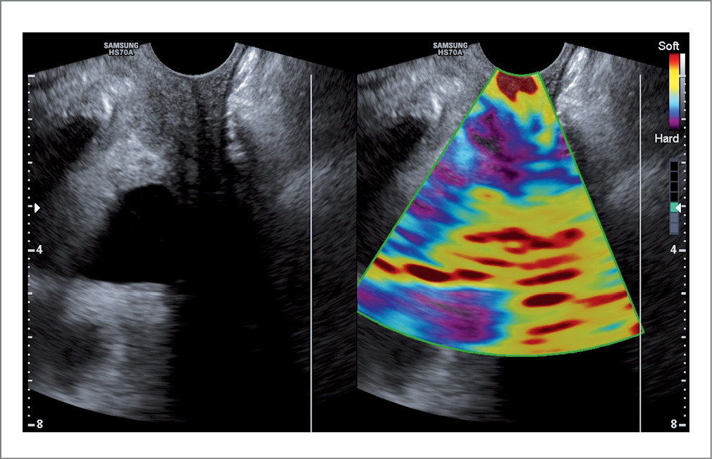
По результатам ультразвукового исследования с эластографией во всех трех группах до операции изображение на эластограмме отображалось преимущественно красным и желто-красным цветом, что свидетельствует о более мягкой структуре ткани (рис. 2). Коэффициент деформации у данных пациенток в среднем имел значение 2,5–3,5±1,11 (табл. 2).
Рис. 2. Ультразвуковое исследование с эластографией до операции. / Fig. 2. Preoperative ultrasound with elastography.
Таблица 2. Показатели эластограммы и коэффициента деформации в группах до и после лазерной и радиочастотной терапии и в контрольной группе / Table 2. Elastogram and deformation coefficient in groups before and after laser and radiofrequency therapy and in the control group | ||||||
Показатели | 1-я группа | 2-я группа | 3-я группа (контрольная) | |||
до лечения | после операции и курса квадриполярной радиочастотной терапии | до лечения | после операции и курса лазерной терапии | до лечения | через 3 мес после операции | |
Эластограмма (цветовое изображение тканей стенок влагалища), абс. (%) | Красный и желто-красный – 13 (72,22) | Зеленый с участками синего – 16 (88,89) | Красный и желто-красный – 14 (77,78) | Зеленый с участками синего – 17 (94,44) | Красный и желто-красный – 16 (88,89) | Зеленый и желто- зеленый – 12 (66,67) |
Зеленый и желто-зеленый – 5 (27,78) | Зеленый и желто-зеленый – 2 (11,11) | Зеленый и желто-зеленый – 4 (22,22) | Зеленый и желто-зеленый – 1 (5,56) | Зеленый и желто-зеленый – 2 (11,11) | Красный и желто-красный – 6 (33,33) | |
Коэффициент деформации (strain ratio), абс. (%) | 2,5±1,05 – 13 (72,22) | 7,8±1,05 – 16 (88,89) | 2,8±0,05 – 14 (77,78) | 7,9±0,15 – 17 (94,44) | 2,5±1,04 – 16 (88,89) | 3,8±0,05 – 12 (66,67) |
3,3±1,11 – 5 (27,78) | 3,5±1,12 – 23 (11,11) | 3,1±1,05 – 4 (22,22) | 3,8 – 1 (5,56) | 3,5±1,05 –2 (11,11) | 2,5±1,05 – 6 (33,33) | |
Примечание. Уровень достоверности по Манну–Уитни (p≤0,05). | ||||||
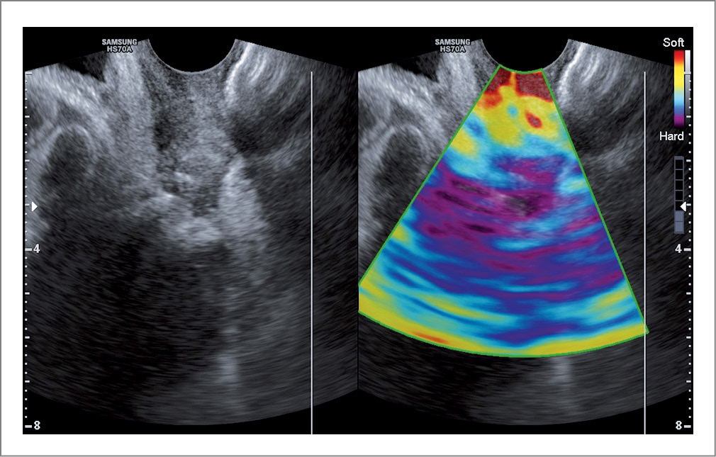
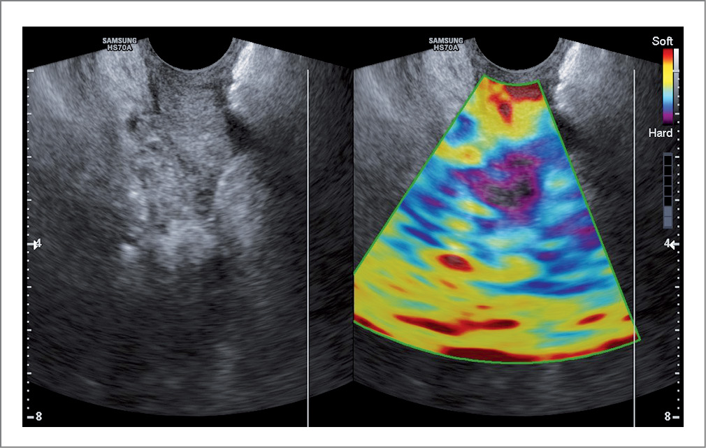
При проведении ультразвукового исследования с эластографией после операции и проводимой терапии в 1 и 2-й группах преимущественно отмечалось повышение эластичности тканей влагалища. На эластограмме ткани стенок влагалища картировались зеленым цветом с участками синего (рис. 3). Коэффициент деформации увеличился относительно показателей до операции. Через 3 мес после операции в 3-й группе по-прежнему преобладала средняя и низкая степени эластичности тканей стенок влагалища и более низкие показатели коэффициента деформации относительно 1 и 2-й групп (рис. 4).
Рис. 3. Ультразвуковое исследование с эластографией после операции. / Fig. 3. Postoperative ultrasound with elastography.
Рис. 4. Ультразвуковое исследование с эластографией через 3 мес после операции. / Fig. 4. Ultrasound with elastography 3 months after surgery.
Обсуждение
В реабилитации после операции основное значение играют такие биологические маркеры, как макрофаги, нейтрофилы, фибробласты, тромбоциты, цитокины, факторы роста. В результате естественного заживления раны, а также применения энергетических методов воздействия лейкоциты и клетки соединительной ткани выделяют как MMP, так и TIMP. Исследования показали, что уровни интерлейкинов и металлопротеиназ выше нормы и аномально высокое соотношение MMP/TIMP часто присутствуют в незаживающих ранах, поскольку удлинение воспалительной стадии заживления предотвращает переход раны в пролиферативную фазу [27].
MMP-2 и MMP-9 принимают непосредственное участие в деградации Col1A1, находясь под ингибирующим влиянием типоспецифических ингибиторов TIMP-1 и TIMP-2. Связочный аппарат пациенток с ПГ характеризуется повышенным уровнем металлопротеиназной активности. Мы получили данные, достоверно свидетельствующие о повышении уровня экспрессии металлопротеиназ (MMP-2) под воздействием RF-излучения, а также увеличение экспрессии гена ингибитора металлопротеиназ (TIMP-1), который оказывает ингибирующее действие на MMP-2, и увеличение экспрессии гена TIMP-2. Можно предположить, что рост металлопротеиназы 2-го типа может быть компенсаторным ответом на рост TIMP-1. В свою очередь сниженная экспрессия TIMP-2 у пациенток после лазерной терапии подтверждает компенсаторное влияние данного биомаркера на MMP-2, что обеспечивает адекватное для заживления раны соотношение металлопротеиназ и их ингибиторов.
Факт изменения соотношения биологических маркеров при воздействии лазерной и радиочастотной энергиями сравним с действием препаратов, содержащих эстроген, на стенки влагалища. Ученые, смоделировавшие механическое повреждение фибробластов на лабораторных мышах выяснили, что лечение эстрогенами способствовало экспрессии коллагена I и III типов, эластина, TIMP-1, TIMP-2 и снижало экспрессию MMP-2 и MMP-9 [28].
Результаты эластографии демонстрируют повышение эластичности тканей стенок влагалища у пациенток, которым проводилась лазерная и радиочастотная терапия в послеоперационном периоде.
Принципиальное отличие лазерной терапии от радиочастотной состоит в методе воздействия на ткани. Длительное тепловое воздействие с более короткими интервалами между процедурами радиочастотной терапии оказывает постепенное накопительное метаболическое воздействие на ткани стенок влагалища. Короткое аблативное воздействие лазера приводит к более быстрой регенерации тканей, которая начинается сразу после первой процедуры.
Заключение
Изучение патогенетических механизмов ПГ является важной задачей для усовершенствования терапевтических подходов и снижения риска рецидивирования. Результаты нашего исследования показывают, что ДКРЧ и лазерная терапия влияют на обмен белков межклеточного матрикса в сторону его нормализации. Достоверный рост экспрессии генов TIMP-1 и TIMP-2 в ткани влагалища после RF-воздействия, снижение TIMP-2 после лазерного воздействия демонстрируют компенсаторный эффект биологических маркеров в ответ на энергетическую терапию, а также ремоделирующее действие данных методов. Результаты ультразвуковой эластографии доказывают повышение прочности и степени эластичности тканей стенок влагалища у пациенток, которым в послеоперационном периоде проводили динамическую квадриполярную радиочастотную и лазерную терапию.
Таким образом, учитывая эффективность радиочастотного и лазерного методов терапии в послеоперационном периоде, данные реабилитационные программы можно обоснованно рекомендовать пациенткам, подвергшимся оперативному вмешательству по поводу ПГ.
Раскрытие интересов. Авторы декларируют отсутствие явных и потенциальных конфликтов интересов, связанных с публикацией настоящей статьи.
Disclosure of interest. The authors declare that they have no competing interests.
Вклад авторов. Авторы декларируют соответствие своего авторства международным критериям ICMJE. Все авторы в равной степени участвовали в подготовке публикации: разработка концепции статьи, получение и анализ фактических данных, написание и редактирование текста статьи, проверка и утверждение текста статьи.
Authors’ contribution. The authors declare the compliance of their authorship according to the international ICMJE criteria. All authors made a substantial contribution to the conception of the work, acquisition, analysis, interpretation of data for the work, drafting and revising the work, final approval of the version to be published and agree to be accountable for all aspects of the work.
Источник финансирования. Авторы декларируют отсутствие внешнего финансирования для проведения исследования и публикации статьи.
Funding source. The authors declare that there is no external funding for the exploration and analysis work.
Информированное согласие на публикацию. Пациенты подписали форму добровольного информированного согласия на публикацию медицинской информации.
Consent for publication. Written consent was obtained from the patients for publication of relevant medical information and all of accompanying images within the manuscript.
Соответствие принципам этики. Протокол исследования был одобрен локальным этическим комитетом ФГАОУ ВО РНИМУ им. Н.И.Пирогова (протокол №207 от 19.04.2021). Одобрение и процедуру проведения протокола получали по принципам Хельсинкской конвенции.
Ethics approval. The study was approved by the local ethics committee of Pirogov Russian National Research Medical University (protocol №207 dated 19.04.2021). The approval and procedure for the protocol were obtained in accordance with the principles of the Helsinki Convention.
About the authors
Yulia E. Dobrokhotova
Pirogov Russian National Research Medical University
Author for correspondence.
Email: pr.dobrohotova@mail.ru
ORCID iD: 0000-0002-7830-2290
D. Sci. (Med.), Prof.
Russian Federation, MoscowElena N. Kareva
Pirogov Russian National Research Medical University; Sechenov First Moscow State Medical University (Sechenov University)
Email: elenakareva@mail.ru
ORCID iD: 0000-0002-9441-3468
D. Sci. (Med.)
Russian Federation, Moscow; MoscowIgor I. Grishin
Pirogov Russian National Research Medical University
Email: igrishin.md@gmail.com
ORCID iD: 0000-0001-5839-1858
D. Sci. (Med.)
Russian Federation, MoscowNatalia A. Kochina
Pirogov Russian National Research Medical University
Email: natalyakochina@yandex.ru
ORCID iD: 0000-0001-7748-0071
Cand. Sci. (Med.)
Russian Federation, MoscowEkaterina V. Krasnoshchok
Pirogov Russian National Research Medical University; Sechenov First Moscow State Medical University (Sechenov University)
Email: katherinekamagina@gmail.com
ORCID iD: 0000-0003-3538-1977
Assistant
Russian Federation, Moscow; MoscowVladimir I. Komagorov
Pirogov Russian National Research Medical University
Email: v.i.komagorov@gmail.com
ORCID iD: 0000-0003-4510-4244
Graduate Student
Russian Federation, MoscowReferences
- Куликовский В.Ф. Тазовый пролапс у женщин: руководство для врачей. М:. ГЭОТАР-Медиа, 2008 [Kulikovskii VF. Tazovyi prolaps u zhenshchin: rukovodstvo dlia vrachei. Moscow: GEOTAR-Media, 2008 (in Russian)].
- Гвоздев М.Ю., Тупикина Н.В., Касян Г.Р., Пушкарь Д.Ю. Методические рекомендации №3 «Пролапс тазовых органов в клинической практике врача-уролога». М., 2016 [Gvozdev MIu, Tupikina NV, Kasyan GR, Pushkar' DIu. Metodicheskiie rekomendatsii №3 "Prolaps tazovykh organov v klinicheskoi praktike vracha-urologa". Moscow, 2016 (in Russian)].
- Kayembe AT, Muela AM, Baleka AM, et al. Genital prolapse: epidemiology, clinic and therapeutic at Saint Joseph Hospital of Kinshasa. Pan Afr Med J. 2020;37:196. doi: 10.11604/pamj.2020.37.196.21818
- Chow D, Rodriguez LV. Epidemiology and prevalence of pelvic organ prolapse. Curr Opin Urol. 2013;23(4):293-8.
- Смольнова Т.Ю. Клинико-патогенетические аспекты опущения и выпадения внутренних половых органов и патологии структур тазового комплекса у женщин при дисплазии соединительной ткани. Тактика ведения: дис. ... д-ра мед. наук. М., 2009 [Smol'nova TIu. Kliniko-patogeneticheskiie aspekty opushcheniia i vypadeniia vnutrennikh polovykh organov i patologii struktur tazovogo kompleksa u zhenshchin pri displazii soyedinitel'noi tkani. Taktika vedeniia: dis. ... d-ra med. nauk. Moscow, 2009 (in Russian)].
- Karam JA, Vazquez DV, Lin VK, et al. Elastin expression and elastic fibre width in the anterior vaginal wall of postmenopausal women with and without prolapse. BJU Int. 2007;100(2):346-50.
- Jeon MJ, Chung SM, Choi JR, et al. The Relationship Between COL3A1 Exon 31 Polymorphism and Pelvic Organ Prolapse. J Urol. 2009;181(3):1213-6.
- Zhao BH, Zhou JH. Decreased expression of elastin, fibulin-5 and lysyl oxidase-like 1 in the uterosacral ligaments of postmenopausal women with pelvic organ prolapse. J Obstetr Gynaec Res. 2012;38(6):925-31.
- Краснопольская И.В., Попов А.А., Горина Н.В., и др. Экспрессия генов белков метаболизма коллагена в парауретральной соединительной ткани у женщин с недержанием мочи и пролапсом органов малого таза. Российский вестник акушера-гинеколога. 2015;15(6):36-41 [Krasnopol'skaia IV, Popov AA, Gorina NV, et al. Ekspressiia genov belkov metabolizma kollagena v parauretral'noi soiedinitel'noi tkani u zhenshchin s nederzhaniiem mochi i prolapsom organov malogo taza. Rossiiskii vestnik akushera-ginekologa. 2015;15(6):36-41 (in Russian)].
- Игнатьева Н. Коллаген – основной белок соединительной ткани. Эстетическая медицина. 2005;4(3):246-56 [Ignat’eva N. Collagen is the main protein of the connective tissue. Esteticheskaia meditsina. 2005;4(3):246-56 (in Russian)].
- Краснопольский В.И., Буянова С.Н., Щукина Н.А., Попов А.А. Оперативная гинекология. 3-е изд. М.: МЕДпресс-информ, 2017 [Krasnopol'skii VI, Buianova SN, Shchukina NA, Popov AA. Operativnaia ginekologiia. 3-ie izd. Moscow: MEDpress-inform, 2017 (in Russian)].
- Makowsky GS, Ramsby ML. Differential effect of calcium phosphate and calciu m pyrophosphate on binding of matrix metalloproteinases to fibrin: comparison to a fibrin-binding protease from inflammatory joint fluids. Clin Exp Immunol. 2004;136(1):176-87.
- Balducci C, Lilli C, Stabellini G. Human desmoid fibroblasts: matrix metalloproteinases, their inhibitors and modulation by Toremifene. BioMed Central Cancer. 2005;5:22.
- Davidson RK, Waters JG, Kevorkian L. Expression profiling of metalloproteinases and their inhibitors in synovium and cartilage. Arthritis Res Ther. 2006;8(4):R124.
- Zong W, Meyn LA, Moalli PA. The Amount and activity of active matrix metalloproteinase 13 is suppressed by estradiol and progesterone in human pelvic floor fibroblasts. Biol Reprod. 2009;80(2):367-74.
- Moore СS, Crocker SJ. An alternate perspective on the roles of TIMPs and MMPs in pathology. Am J Pathol. 2012;180(1):12-6.
- Xue M, March L, Sambrook PN, Jackson CJ. Differential Regulation of Matrix Metalloproteinase 2 and Matrix Metalloproteinase 9 by Activated Protein C Relevance to Inflammation in Rheumatoid Arthritis. Arthritis Rheum. 2007;56(9):2864-74.
- Connell KA, Guess MK, Chen H, et al. HOXA11 is critical for development and maintenance of uterosacral ligaments and deficient in pelvic prolapse. J Clin Invest. 2008;118(3):1050-5. doi: 10.1172/JCI34193
- Ханзадян М.Л., Радзинский В.Е., Демура Т.А., Донников А.Е. Маркеры ремоделирования соединительной ткани при пролапсе гениталий. Медицинский вестник Юга России. 2016;3:91-100 [Khanzadian ML, Radzinskii VIe, Demura TA, Donnikov AIe. Markery remodelirovaniia soiedinitel'noi tkani pri prolapse genitalii. Meditsinskii vestnik Iuga Rossii. 2016;3:91-100 (in Russian)].
- De Tayrac R, Labaki M, Letouzey V, et al. Indications respectives de différentes techniques de cure de prolapsus genital. Available at: www.cngof.fr. Accessed: 12.07.2022.
- Villet R. Principes du traitement chirurgical des prolapsus génitaux. E-mém Acad National de Chir. 2006;5(1):11-3.
- Dal Moro F, Frazza L, Angelini L, Zattoni F. Incidence of de novo stress incontinence after vaginal repair for pelvic organ prolapse. Eur J Obstetr Gynec Reprod Biol. 2013;171(1):189-90.
- Fasola E, Bosoni D. Dynamic Quadripolar Radiofrequency: Pilot Study of a New High-Tech Strategy for Prevention and Treatment of Vulvar Atrophy. Aesthet Surg J. 2019;39(5):544-52. doi: 10.1093/asj/sjy180
- Vicariotto F, De Seta F, Faoro V, Raichi M. Dynamic quadripolar radiofrequency treatment of vaginal laxity/menopausal vulvo-vaginal atrophy: 12-month efficacy and safety. Minerva Ginecol. 2017;69(4):342-9. doi: 10.23736/S0026-4784.17.04072-2
- Доброхотова Ю.Э., Комагоров В.И., Ильина И.Ю., и др. Оценка эффективности применения динамической квадриполярной радиочастотной терапии с помощью современных методов ультразвукового исследования. РМЖ. Мать и дитя. 2021;4(4):311-6 [Dobrokhotova YuE, Komagorov VI, Il’ina IYu, et al. Efficacy of dynamic quadripolar radiofrequency assessed by advanced ultrasound technologies. Russian Journal of Woman and Child Health. 2021;4(4):311-6 (in Russian)]. doi: 10.32364/2618-8430-2021-4-4-311-316
- Доброхотова Ю.Э., Гришин И.И., Ильина И.Ю., и др. Возможности квадриполярной радиочастотной терапии как метода реабилитации после операций по поводу пролапса тазовых органов. Гинекология. 2021;23(6):529-35 [Dobrokhotova YuE, Grishin II, Il'ina IIu, et al. Possibilities of quadripolar radiofrequency therapy as a method of rehabilitation after surgery for pelvic organ prolapse. Gynecology. 2021;23(6):529-35 (in Russian)]. doi: 10.26442/20795696.2021.6.201308
- Patel S, Maheshwari A, Chandra A. Biomarkers for wound healing and their evaluation. J Wound Care. 2016;25(1):46-55. doi: 10.12968/jowc.2016.25.1.46
- Li L, Hong S, Li Y, et al. Application of estrogen for the treatment of stress urinary incontinence in mice. Arch Gynecol Obstet. 2022;305(4):1115-25. doi: 10.1007/s00404-022-06435-1
Supplementary files







