Особенности эпителиально-мезенхимального перехода в эктопическом эндометрии у пациенток с экстрагенитальным эндометриозом различной локализации
- Авторы: Казаку Е.1, Зота Е.1, Варданян М.А.2, Нигуляну Р.1, Претулa Р.1, Асатурова А.В.2, Ежова Л.С.2, Бадлаева А.С.2
 - 
							Учреждения: 
							
- Государственный университет медицины и фармакологии им. Николая Тестемицану
 - ФГБУ «Национальный медицинский исследовательский центр акушерства, гинекологии и перинатологии им. акад. В.И. Кулакова» Минздрава России
 
 - Выпуск: Том 26, № 2 (2024)
 - Страницы: 159-164
 - Раздел: ОРИГИНАЛЬНАЯ СТАТЬЯ
 - Статья опубликована: 10.06.2024
 - URL: https://gynecology.orscience.ru/2079-5831/article/view/627608
 - DOI: https://doi.org/10.26442/20795696.2024.2.202799
 - ID: 627608
 
Цитировать
Полный текст
Аннотация
Обоснование. Эпителиально-мезенхимальный переход (ЭМП) является консервативным механизмом в процессе морфогенеза и органогенеза. ЭМП обеспечивает клетки миграционными и инвазивными свойствами, что является необходимым условием для формирования эндометриоидных гетеротопий.
Цель. Подтвердить наличие признаков ЭМП при разных типах эндометриоза.
Материалы и методы. За период 2012–2017 гг. нами проанализировано 43 случая экстрагенитального эндометриоза различной локализации: аппендикс (n=3), ободочная кишка (n=5), тонкая кишка (n=1), передняя брюшная стенка после кесарева сечения (n=24) и паховая грыжа (n=10). Выполнено гистологическое и иммуногистохимическое исследование на парафиновых срезах с использованием моноклональных антител к E-кадгерину и поликлональных антител к виментину.
Результаты. В результате проведенного исследования получены средние значения отношения экспрессии E-кадгерина к виментину в железистых и стромальных клетках эндометриоидных имплантов: брюшины малого таза – 10,3 балла, в колоректальном инфильтрате – 9,1 балла, в червеобразном отростке – 8,6 балла, в подвздошной кишке – 5,5 балла, в грыжевом мешке – 4,2 балла. Выявлена низкая экспрессия Е-кадгерина одновременно по отношению к экспрессии виментина (p<0,05).
Заключение. Результаты нашего исследования подтвердили участие ЭМП в патогенезе экстрагенитального эндометриоза, с одной стороны, и с другой – подтверждают его инвазивный потенциал в изученных локализациях.
Ключевые слова
Полный текст
Введение
Эндометриоз – это доброкачественное заболевание, характеризующееся наличием эндометриальных желез и стромы вне полости матки [1].
Эндометриоз поражает 6–10% (около 190 млн) женщин репродуктивного возраста [2]. Средний возраст женщин, которым поставлен диагноз эндометриоз, составляет 28 лет [3].
Несмотря на то, что предложены различные теории, объясняющие развитие эндометриоза, его происхождение до сих пор остается неясным.
Эпителиально-мезенхимальный переход (ЭМП) – это биологический процесс фенотипического изменения клетки эпителиального типа с ее трансформацией в клетку мезенхимального типа. Это явление впервые описала Элизабет Хэй [4], которая назвала его «эпителиально-мезенхимальной трансформацией» и предположила, что на ранних стадиях эмбрионального развития эпителиальные клетки могут «трансформироваться» в клетки с мезенхимальным фенотипом. В последующий период времени термин «эпителиально-мезенхимальная трансформация» заменен термином ЭМП, что подразумевает обратимость процесса и не приводит к путанице с опухолевой трансформацией [5]. У эмбриона за счет ЭМП клетки с эпителиальным фенотипом приобретают двигательную активность и колонизируют новые территории [6].
Известно, что эпителиальные клетки плотно прилегают друг к другу за счет образования специализированных межклеточных соединений: нексусов, десмосом, адгезивных и запирающих контактов [6]. Благодаря прочным соединениям эпителиальная ткань состоит из плотно собранных неподвижных клеток, расположенных на базальной мембране, отделяющей эпителий от соединительной ткани. Последняя образована клетками мезенхимального фенотипа, лишенными специализированных соединений, оторванными друг от друга и способных перемещаться через межклеточный матрикс, которым они окружены (рис. 1) [7].
Рис. 1. Основной механизм ЭМП [7].
Fig. 1. The main mechanism of the epithelial-mesenchymal transition (EMT) [7].
В образовании этих соединений участвуют мембранные белки: окклюдины и клаудины [8]. В фиксировании прилегающих зон важную роль играют кадгерины – трансмембранные белки, обеспечивающие кальцийзависимую межклеточную адгезию [9]. В адгезии эпителиальных клеток участвует Е-кадгерин [10]. Десмосомы представляют собой прочные соединения, состощие из подмембранных цитоплазматических пластинок, имеющих форму диска («пуговицы»). Основными белками десмосомальных пластинок являются десмоплакин, плакофилин и плакоглобин [11]. Подмембранная поверхность пластинок взаимодействует с десмосомальными кадгеринами, десмоглеином и десмохолином [9], а цитоплазматическая поверхность – с промежуточными кератиновыми филаментами цитоскелета [11, 12].
Мезенхимальные эмбриональные клетки и фибробласты из постнатального периода представляют собой веретенообразные клетки с цитоплазматическими отростками (псевдоподиями и филоподиями), с передне-задней полярностью («голова–хвост»), способные перемещаться через межклеточный матрикс [13, 14]. Эти клетки не образуют упомянутые типы межклеточных соединений, специфичных для эпителиальных клеток, и отличаются от них другим типом промежуточных филаментов цитоскелета, образованных белком виментином [15]. Кроме того, мезенхимальные клетки содержат на своей поверхности другой тип трансмембранного белка – N-кадгерин [16].
При ЭМП эпителиальные клетки постепенно теряют межклеточные соединения и разрушают межклеточный матрикс, в конечном итоге превращаясь в мезенхимальные клетки. Фенотип и функциональные маркеры ЭМП включают потерю таких эпителиальных маркеров, как E-кадгерин, десмоплакин, муцин-1, окклюдин и клаудин, взамен приобретая N-кадгерин, SMA, виментин, фибронектин и др.
Феномен ЭМП происходит в несколько стадий, некоторые из которых могут проходить одновременно. Эпителиальные клетки, которые становятся чувствительными к сигналам, индуцирующим ЭМП, теряют специализированные соединения и апикально-базальную полярность [6]. Одновременно или на следующем этапе в эпителиальных клетках происходит существенная перестройка цитоскелета с заменой кератиновых филаментов на виментиновые [11, 17]. За этим следуют деградация субэпителиальной базальной мембраны и миграция реструктуриванных клеток в глубину ткани [6]. Молекулярные механизмы, участвующие в ЭМП, еще не полностью изучены, но имеется достаточно данных, доказывающих, что запуска экспресии виментина достаточно, чтобы изменить форму и адгезивные свойства эпителиальных клеток для последующего приобретения способности к передвижению [15, 18].
Фенотипические изменения при ЭМП вызваны перепрограммированием экспрессии разных генов, в этом участвуют различные транскрипционные факторы – клеточные белки, которые получают молекулярные сигналы из микросреды, после чего ингибируют или стимулируют активность определенных генов [19]. К примеру, сигналы эстрогенов активируют рецепторы к эстрогену, которые действуют как факторы транскрипции [20].
Многочисленные факторы клеточной микросреды, участвующие в пролиферации и дифференцировке клеток, могут индуцировать ЭМП [6, 21]. Трансформирующий фактор роста β, Wnt, Fgf активируют факторы транскрипции гена Snail, которые, в свою очередь, ингибируют секрецию гена, кодирующего белок E-кадгерин [12, 22] и инициируют секрецию виментина [23].
Три разных типа ЭМП
Биологическое значение ЭМП различно, поэтому предложено разделить данный феномен на три различных типа, классификация принята после дискуссий, проведенных в рамках симпозиумов, посвященных ЭМП в Польше (2007 г.) и США (2008 г.) [14, 24].
Первый тип ЭМП характерен для имплантации и развития эмбриона, формирования органов и тканей, проявляется в образовании клеток с общим мезенхимальным фенотипом, которые не вызывают фиброз и не распространяются на большие дистанции путем интравазации. ЭМП 2-го типа связан с регенерацией зрелых тканей и фиброзом органов при хроническом воспалении. ЭМП 3-го типа обнаруживается в неопластических эпителиальных клетках при инвазивной карциноме в очаге первичной опухоли, в данном случае эпителиальные клетки приобретают мезенхимальные фенотипические свойства и становятся способными к инвазии, интравазации и метастазированию [25, 26].
Инвазивный аспект, продемонстрированный при микроскопическом исследовании эндометриоза, обусловлен изменением фенотипа эпителия под действием ЭМП [27, 28], при котором эпителиальные клетки теряют межклеточные соединения, меняют цитоскелет и становятся подвижными. Процессу инвазии способствуют металлопротеиназы, которые влияют на коллаген и обладают способностью индуцировать ЭМП [7, 29]. Таким образом, значение ЭМП при экстрагенитальном эндометриозе остается спорным. Необходимость новых исследований в данной области обусловлена большой гетерогенностью эндометриоза различной локализации, связанной с большой морфологической и эволюционной изменчивостью. Постоянное изучение данного феномена продиктовано существующим скептицизмом относительно значения ЭМП при эндометриозе.
Учитывая огромное значение ЭМП в различных патологических процессах, а также разногласия относительно значения этого явления при развитии эндометриоза, мы решили провести собственное исследование с целью подчеркнуть наличие признаков ЭМП при разных типах эндометриоза [18, 28, 30].
Материалы и методы
Исследование проведено в период с 2012 по 2017 г. в муниципальных клиниках Кишинева (Республика Молдова) и города Крайовы (Румыния), в гинекологическом и хирургическом отделениях. В исследование включены пациентки в возрасте от 19 до 56 лет (средний возраст пациенток составил 39,7±9,9 года; Md – 38,0, IIQ 32,0–47,0 года) с экстрагенитальным эндометриозом различной локализации.
Пациентки проживали в Республике Молдова (n=33; 76,7%; 95% доверительный интервал – ДИ 62,7–87,4) и Румынии (n=10; 23,3%; 95% ДИ 12,6–37,3). Меньшая часть больных проживали в сельской местности (30,2%; 95% ДИ 18,1–44,9), большинство были городскими жителями (69,8%; 95% ДИ 55,1–81,9).
Наиболее частыми локализациями экстрагенитального эндометриоза являлись рубец после кесарева сечения – КС (20,9%; 95% ДИ 10,9–34,7), аппендикс (14,0%; 95% ДИ 6,0–26,5), паховая грыжа (9,3%; 95% ДИ 3,2–20,6), слепая кишка (7,0%; 95% ДИ 2,0–17,5), диафрагма (7,0%; 95% ДИ 2,0–17), тощая кишка – 3 (7,0%; 95% ДИ 2,0–17,5), пупочная область (7,0%; 95% ДИ 2,0–17,5), прямая кишка (7,0%; 95% ДИ 2,0–17,5), брюшина (4,7%; 95% ДИ 1,0–14,1). Остальные локализации (восходящая ободочная кишка, нисходящая ободочная кишка, сигмовидная кишка, поперечная ободочная кишка, подвздошная кишка, передняя брюшная стенка и забрюшинное пространство) обнаружены у 2,3% (95% ДИ 0,3–10,4); рис. 2.
Рис. 2. Распределение больных с экстрагенитальным эндометриозом в зависимости от локализации состояния (%).
Fig. 2. Distribution of patients with extragenital endometriosis depending on the localization of the lesions (%).
Для постановки диагноза использовали парафиновые блоки, соответствующие постоперационному материалу. При помощи микротома с блоков получены срезы толщиной 3–5 мкм (3–5 μm), которые позже окрашены стандартно (гематоксилином и эозином). Окрашенные срезы изучены двумя врачами-патологоанатомами для постановки и подтверждения диагноза «эндометриоз».
Для изучения экспрессии белков ЭМП применялся иммуногистохимический (ИГХ) метод. ИГХ-реакции проводились стандартным методом по рекомендациям производителя с применением срезов толщиной 4 мкм (μm) на аппаратах MACH 4 MICRO-POLYMER-HRP (Biocare Medical; M4U534). На I этапе проведена оценка экспрессии маркера Е-кадгерина (клон NCH-38; Dako), на II этапе – оценка точечной цитоплазматической экспрессии виментина (клон PA1-16759; ThermoFisher). Позитивным считалось окрашивание частей клеток в коричневый (при применении буфера DAB) и красный (при применении буфера Vulcan Fast Red) цвета соответственно. Для оценки результатов экспрессии использовался полуколичественный метод с оценкой в баллах по шкале Allred по формуле: Общий балл (TS) = показатель пропорции (PS) + показатель интенсивности (IS), TS=0–8. Оценка пропорции осуществлялась следующим образом:
- оценка доли клеток с окрашенными ядрами: 0 – отсутствует; 1 балл – >0 до 1/100; 2 балла – >1/100–1/10; 3 балла – от >1/10 до 1/3; 4 балла – от 1/3 до 2/3; 5 баллов – от 2/3 до 1);
 - оценка интенсивности (IS): 0 – экспрессия отсутствует; 1 балл – слабая выраженность окраски; 2 балла– средняя выраженность окраски; 3 балла – выраженная окраска. ИГХ-экспрессию в цитоплазме (C), клеточной мембране (Мс) и ядре (N) оценивали в зависимости от интенсивности: С+/Mc+/N+ (слабая экспрессия); С++/Mc++/N++ (умеренная экспрессия); С++/Mс+++/ N+++ (интенсивное выражение). Для статистического анализа мы использовали критерий конкордантности χ2, значения p<0,05 считались значимыми.
 
Результаты
Полуколичественный анализ имеющих положительную реакцию на Е-кадгерин показал преобладание результата в двух исследованных случаях, при этом не учитывались случаи, продемонстрировавшие негативную экспрессию данного маркера.
Поскольку экспрессия присутствовала как на мембранном, так и на цитоплазматическом уровне, мы изучили каждый случай эндометриоза отдельно и попытались соотнести данные значения с некоторыми морфологическими параметрами.
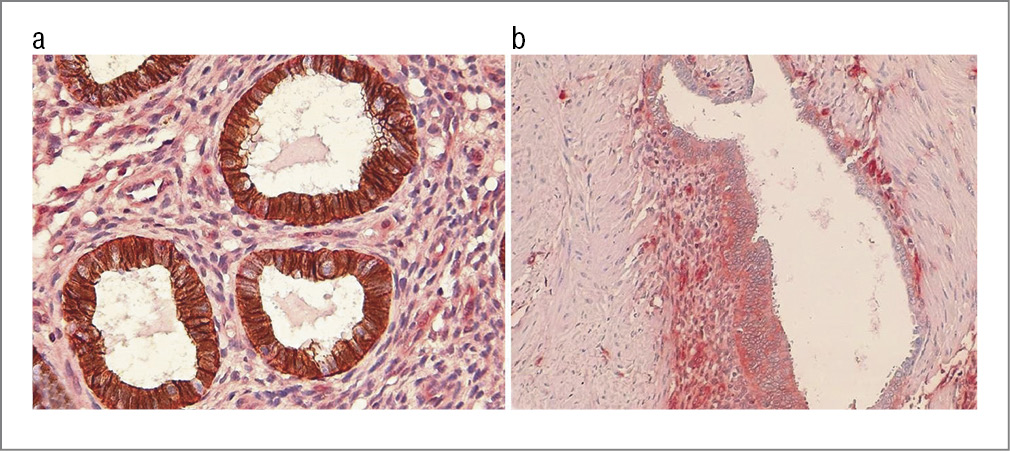
Согласно полученным результатам мы заметили снижение мембранной экспрессии Е-кадгерина при эндометриозе после КС, тогда как цитоплазматическая экспрессия оставалась выраженной. Таким образом, мембранная экспрессия оказалась наиболее высокой при кишечных формах эндометриоза (рис. 3, а). Положительная цитоплазматическая экспрессия виментина присутствовала во всех изученных образцах, но являлась особенно выраженной в случаях эндометриоза при паховой грыже (рис. 3, b).
Рис. 3. Экспрессия ИГХ-маркеров – Е-кадгерин (коричневый) / виментин (красный), ×40: а – на представленном фото видно, что экспрессия маркера Е-кадгерина постепенно снижается по направлению к границе со стромой органа, где присутствует поражение; b – положительная цитоплазматическая экспрессия виментина в железах, находящихся в непосредственном контакте со стромой органа, где выявлено поражение.
Fig. 3. IHC marker expression – E-cadherin (brown) / vimentin (red), ×40: a – the presented photo shows the E-cadherin expression gradually decreasing towards the border with the stroma of the involved organ; b – positive cytoplasmic expression of vimentin in the glands in direct contact with the stroma of the involved organ.
В данном исследовании мы не обнаружили достоверной разницы в степени экспрессии мезенхимальных маркеров у больных эндометриозом. По результатам анализа более выраженная экспрессия маркера Е-кадгерина зафиксирована при эндометриозе желудочно-кишечного тракта и выраженная экспрессия маркера виментина – при эндометриозе передней брюшной стенки после КС, а также при паховой грыже.
Положительная экспрессия маркера Е-кадгерина выявлена как на мембранном, так и на цитоплазматическом уровне в 85,6% случаев эндометриоза. Согласно результатам, которые представлены на рис. 2, мы заметили снижение мембранной экспрессии Е-кадгерина в тех случаях, когда патологический процесс сопровождается воспалением, кровоизлияниями и некрозом.
Виментин экспрессировался положительно во всех исследованных образцах, отмечена цитоплазматическая реакция, особенно выраженная на уровне стромы в случаях эндометриоза передней брюшной стенки. Подавляющее большинство случаев положительной паренхиматозной экспрессии находится в пределах 2 баллов (85% случаев) и только в 8 случаях балл равен 3. Одним из критериев можно считать величину экспрессии маркеров в зависимости от топографического расположения поражения: более выраженная положительная реакция выявлена при глубоких поражениях по сравнению с поверхностными.
При одновременной ИГХ-оценке маркеров, специфичных для ЭМП (Е-кадгерин/виментин), в экстрагенитальных очагах эндометриоза выявлены следующие средние значения: отношение экспрессии E-кадгерина к виментину (пропорциональный показатель) составил 3,95±0,8; Md – 4,0, IIQ: 3,0-5,0 (от 3 до 5), балл интенсивности E-кадгерина/виментина – 2,49±0,6; Md – 3,0, IIQ: 2,0-3,0 (от 1 до 3) и суммарный балл Е-кадгерин/виментин – 6,44±0,9; Md – 6,0, IIQ: 6,0-7,0 (от 5 до 8); рис. 4, табл. 1.
Рис. 4. Средние значения маркеров ЭМП у больных с экстрагенитальным эндометриозом.
Fig. 4. Mean values of EMT markers in patients with extragenital endometriosis.
Таблица 1. ИГХ-оценка инвазивности очагов экстрагенитального эндометриоза методом исследования маркеров ЭМП (панель Е-кадгерин/виментин). Для статистического анализа использовали критерий конкордантности χ2, значения p<0,05 считались значимыми. Table 1. IHC assessment of the invasiveness of extragenital endometriosis lesions based on EMT marker testing (panel E-cadherin/vimentin). For statistical analysis, we used a concordance test χ2, and p values <0.05 were considered significant.  | |||
Клинико-морфологическая характеристика  | Переменные  | Е-кадгерин/Виментин  | |
средний балл  | значение р (χ2)  | ||
Возраст, лет  | <40 (n=32)  | 8,3  | 0,45  | 
>40 (n=11)  | 8,4  | ||
Локализация  | Железы (n=42)  | 8,2  | 0,68  | 
Строма (n=44)  | 9,2  | ||
Расположение  | Брюшина малого таза (n=34)  | 10,3  | 0,005  | 
Толстая кишка (n=5)  | 9,1  | ||
Червеобразный отросток (n=5)  | 8,6  | ||
Подвздошная кишка (n=1)  | 5,5  | ||
Грыжа (n=4)  | 4,2  | ||
Дополнительные морфологические характеристики  | Некроз (n=6)  | 4,3  | 0,35  | 
Кровоизлияния (n=41)  | 5,6  | ||
Воспаление (n=25)  | 3,5  | ||
Статистически значимая экспрессия Е-кадгерина и виментина коррелирует следующим образом: экспрессия Е-кадгерина оказалась более выраженной, а экспрессия виментина менее выраженной при кишечных формах эндометриоза. В случаях эндометриоза рубцов после КС и при паховой грыже уровень экспрессии Е-кадгерина являлся менее выраженным, тогда как экспрессия виментина преобладала, демонстрируя высокий потенциал инвазивности.
Обсуждение
Полученные данные позволяют предположить, что перитонеальный эндометриоз может иметь более выраженный инвазивный характер наряду с повышенной экспрессией мезенхимальных маркеров и по сравнению с поражениями кишечника [31–34].
Хотя уникальные характеристики трех различных типов ЭМП еще не ясны, их функциональные различия очевидны. Принимая во внимание то, что эндометриоз является хроническим гинекологическим заболевание и имеет относительно невысокий риск злокачественной прогрессии, предполагают, что в этот процесс могут быть вовлечены ЭМП 2 и 3-го типа. Как упоминалось выше, эндометриоз представляет собой процесс восстановления и регенерации тканей и гистологически характеризуется наличием плотной фиброзной ткани, которая окружает очаги поражения. Она более выражена при глубоком инфильтративном эндометриозе и примерно в 10–15% случаев эндометриоза образует плотные рубцы. Основываясь на этих данных, мы можем, с одной стороны, предположить, что ЭМП 2-го типа может быть вовлечен в процесс фиброза при эндометриозе, так как он участвует в хронических воспалительных реакциях. С другой стороны, одной из наиболее важных характеристик, отделяющих эндометриоз от других патологий, является его инвазивный потенциал, который схож со способностью метастазов злокачественных опухолей, характеризующих ЭМП 3-го типа [28, 35]. Несомненно, ЭМП должен в будущем стать одной из точек терапевтического приложения для лечения эндометриоза, поскольку его модуляция способна в значительной степени сократить площадь и глубину поражения [36].
Заключение
В подавляющем большинстве случаев эндометриоза, в особенности при диффузно-инфильтративных формах, возникающих в частности после КС, фенотип поражений характеризуется низкой экспрессией Е-кадгерина, тогда как экспрессия виментина находится на высоком уровне. Такой фенотип доказывает участие в патологическом процессе ЭМП. Для сравнения, существуют различия в экспрессивности маркеров между поверхностными и глубокими поражениями, причем глубокие гораздо более инвазивны, что объясняется экспрессией соответствующих ИГХ-маркеров.
Результаты нашего исследования подтвердили роль ЭМП в патогенезе экстрагенитального эндометриоза и доказывают его инвазивный потенциал в данных локализациях.
Раскрытие интересов. Авторы декларируют отсутствие явных и потенциальных конфликтов интересов, связанных с публикацией настоящей статьи.
Disclosure of interest. The authors declare that they have no competing interests.
Вклад авторов. Авторы декларируют соответствие своего авторства международным критериям ICMJE. Е. Зота, Р. Нигуляну – концепция и дизайн исследования; Е. Казаку, Е. Зота, Р. Нигуляну, Р. Претула – сбор и обработка материала; Е. Казаку, М.А. Варданян – статистическая обработка данных, написание текста статьи; А.В. Асатурова, Л.С. Ежова, А.С. Бадлаева – редактирование и утверждение текста статьи.
Authors’ contribution. The authors declare the compliance of their authorship according to the international ICMJE criteria. E. Zota, R. Niguleanu – conception and design of the study; E. Cazacu, E. Zota, R. Niguleanu, R. Pretula – collection and processing of material; E. Cazacu, M.A. Vardanyan – statistical analysis, drafting of the manuscript; A.V. Asaturova, L.S. Ezhova, A.S. Badlaeva – editing of the manuscript and final approval of the version to be sumbititted.
Источник финансирования. Авторы декларируют отсутствие внешнего финансирования для проведения исследования и публикации статьи.
Funding source. The authors declare that there is no external funding for the exploration and analysis work.
Информированное согласие на публикацию. Пациенты подписали форму добровольного информированного согласия на публикацию медицинской информации.
Consent for publication. Written consent was obtained from the patients for publication of relevant medical information and all of accompanying images within the manuscript.
Соответствие принципам этики. Протокол исследования был одобрен локальным этическим комитетом Государственного университета медицины и фармакологии им. Николая Тестемицану (протокол №63 – №58 от 16.03.2017). Одобрение и процедуру проведения протокола получали по принципам Хельсинкской конвенции.
Ethics approval. The study was approved by the local ethics committee of the Nicolae Testemitanu State University of Medicine and Pharmacology (protocol №63 – №58 dated 16.03.2017). The approval and procedure for the protocol were obtained in accordance with the principles of the Helsinki Convention.
Об авторах
Евгений Казаку
Государственный университет медицины и фармакологии им. Николая Тестемицану
														Email: eugeniu.cazacu@usmf.md
				                	ORCID iD: 0000-0003-2893-6401
				                																			                								
ассистент каф. патологической анатомии Государственного университета медицины и фармакологии им. Николая Тестемицану
Молдавия, КишиневЕремиа Зота
Государственный университет медицины и фармакологии им. Николая Тестемицану
														Email: eremei.zota@usmf.md
				                	ORCID iD: 0000-0003-1365-2633
				                																			                								
проф. каф. патологической анатомии Государственного университета медицины и фармакологии им. Николая Тестемицану
Молдавия, КишиневМариам Ашотовна Варданян
ФГБУ «Национальный медицинский исследовательский центр акушерства, гинекологии и перинатологии им. акад. В.И. Кулакова» Минздрава России
							Автор, ответственный за переписку.
							Email: mv132013@mail.ru
				                	ORCID iD: 0009-0002-4619-1431
				                																			                								
аспирант каф. общей хирургии ФГБУ «НМИЦ АГП им. акад. В.И. Кулакова»
Россия, МоскваРаду Нигуляну
Государственный университет медицины и фармакологии им. Николая Тестемицану
														Email: Radu.niguleanu@usmf.md
				                	ORCID iD: 0000-0002-6797-6142
				                																			                								
доц. каф. патологической анатомии Государственного университета медицины и фармакологии им. Николая Тестемицану
Молдавия, КишиневРуслан Претулa
Государственный университет медицины и фармакологии им. Николая Тестемицану
														Email: ruslan.pretula@usmf.md
				                	ORCID iD: 0000-0002-4785-3647
				                																			                								
доц. каф. патологической анатомии Государственного университета медицины и фармакологии им. Николая Тестемицану
Молдавия, КишиневАлександра Вячеславовна Асатурова
ФГБУ «Национальный медицинский исследовательский центр акушерства, гинекологии и перинатологии им. акад. В.И. Кулакова» Минздрава России
														Email: a_asaturova@oparina4.ru
				                	ORCID iD: 0000-0001-8739-5209
				                																			                								
д-р мед. наук, зав. 1-м патологоанатомическим отд-нием ФГБУ «НМИЦ АГП им. акад. В.И. Кулакова»
Россия, МоскваЛариса Сергеевна Ежова
ФГБУ «Национальный медицинский исследовательский центр акушерства, гинекологии и перинатологии им. акад. В.И. Кулакова» Минздрава России
														Email: larserezhova@yandex.ru
				                	ORCID iD: 0009-0005-7755-9544
				                																			                								
канд. мед. наук, ст. науч. сотр. 1-го патологоанатомического отд-ния ФГБУ «НМИЦ АГП им. акад. В.И. Кулакова»
Россия, МоскваАлина Станиславовна Бадлаева
ФГБУ «Национальный медицинский исследовательский центр акушерства, гинекологии и перинатологии им. акад. В.И. Кулакова» Минздрава России
														Email: a_badlaeva@oparina4.ru
				                	ORCID iD: 0000-0001-5223-9767
				                																			                								
канд. мед. наук, науч. сотр. 1-го патологоанатомического отд-ния ФГБУ «НМИЦ АГП им. акад. В.И. Кулакова»
Россия, МоскваСписок литературы
- Clement PB. The pathology of endometriosis: a survey of the many faces of a common disease emphasizing diagnostic pitfalls and unusual and newly appreciated aspects. Adv Anat Pathol. 2007;14(4):241-60. doi: 10.1097/PAP.0b013e3180ca7d7b
 - Zondervan KT, Becker CM, Missmer SA. Endometriosis. N Engl J Med. 2020;382:1244-56.
 - Falcone T, Flyckt R. Clinical Management of Endometriosis. Obstet Gynecol. 2018;131(3):557-71. doi: 10.1097/AOG.0000000000002469
 - Hay EB. Organization and fine structure of epithelium and mesenchyme in the developing chick embrio. In: Epithelial-mesenchymal interactions. R Fleischmajer and RE Billinghram, editors. Williams and Wilkins. Baltimore, Maryland, USA, 1968; p. 31-55.
 - Kalluri R, Neilson EG. Epithelial-mesenchymal transition and its implications in fibrosis. J Clin Invest. 2003;112(12):1776-84.
 - Acloque H, Adams M, Fishwick K, et al. Epithelial-mesenchymal interaction: the importance of changing cell state in development and disease. J Clin Invest. 2009;119(6):1438-49.
 - Yang YM, Yang WX. Epithelial-to-mesenchymal transition in the development of endometriosis. Oncotarget. 2017;8(25):41679-89. doi: 10.18632/oncotarget.16472
 - Forster C. Tight junctions and the modulation of barrier function in disease. Histochem. Cell Biol. 2008;130(1):55-70.
 - Hulpiau P, van Roy F. Molecular evolution of the cadtherin superfamily. Int J Biochem Cell Biol. 2009;41(2):349-69.
 - Walker JL, Menko A, Khalil S, et al. Diverse roles of E-cadherin in the morphogenesis of submandibular gland. Dev Dyn. 2008;237(11):3126-41.
 - Al-Amoudi A, Castano-Diez D, Devos DP, et al. The three-dimensional molecular structure of the desmosomal plaque. Proc Natl Acad Sci USA. 2011;108(16):6480-5. doi: 10.1073/pnas.1019469108
 - Acepan D, Petzold C, Gumper I, et al. Plakoglobin is required for effective intermediate filament anchorage to desmosomes. J Invest Dermatol. 2008;128(11):2665-75.
 - Micalizzi DS, Farabaugh SM, Ford HL. Epithelial-mesenchymal transition in cancer: parallels between normal development and tumor progression. J Mammary Gland Biol Noplasia. 2010;15(2):117-34.
 - Zeisberg M, Neilson EG. Biomarkers for epithelial-mesenchymal transition. J Clin Invest. 2009;119(6):1429-37.
 - Mendez MG, Kojima SI, Goldman RD. Vimentin induces changes in cell, motility, and adhesion, during the epithelial to mesenchymal transition. FASEB J. 2010;24(6):1838-51.
 - Turley EA, Veiseh M, Radisky DC, Bissell MJ. Mecanisms of disease: epithelial-mesenchymal transition-does cellular plasticity fuel neoplastic progression? Nat Clin Pract Oncol. 2008;5(5):280-90.
 - Lee J, Dedhar S, Kalluri R, Thompson EW. The epithelial-mesenchymal transition: new insights signaling, development and diseas. J Cell Biol. 2006;172(7):973-81.
 - Xiong Y, Liu Y, Xiong W, et al. Hypoxia-inducible factor 1α-induced epithelial-mesenchymal transition of endometrial epithelial cells may contribute to the development of endometriosis. Hum Reprod. 2016;31(6):1327-38.
 - Pawson T. Signal transduction – a conserved pathway from the membrane to the nucleus. Developmental Genet. 1993;14(5):333-8.
 - Osborne CK, Scchiff R, Fuqua SA, Shou J. Estrogen receptor: current understanding of its activation and modulation. Clin Cancer Res. 2001;7(Suppl. 12):43388-421.
 - Bartley J, Jülicher A, Hotz B, et al. Epithelial to mesenchymal transition (EMT) seems to be regulated differently in endometriosis and the endometrium. Arch Gynecol Obstet. 2014;289(4):871-81.
 - Carver EA, Jiang R, Lan Y, et al. The mouse snail gene in codes a key regulator of epithelial-mesenchymal transition. Mol Cell Biol. 2001;26(13):8148-8.
 - Olmeda D, Jorda M, Peinado H, et al. Snail silencine effectively suppresses tumor growth and invasiveness. Oncogene. 2007;26(13):1862-74.
 - Moreno-Bueno G, Cubillo E, Sarrio D, et al. Genetic profiling of epithelial cells expressing E-cadherin repressors reveals a distinct role for Snail and E47 factors in epithelila-mesenchimal transition. Cancer Res. 2006;66(19):9543-56.
 - De Wever O, Pauwels P, De Craene B, et al. Molecular and pathological signatures of epithelial-mesenchymal transition at the cancer invasion front. Histochem Cell Biol. 2008;130(3):481-94.
 - Huang Y, Fernandez SV, Goodwin S, et al. Epithelial to mesenchymal transition in human breast epithelial cells transformed by 17beta-estradiol. Cancer Res. 2007;67(23):11147-57.
 - Vicovac L, Aplin JD. Epithelial-mesenchymal transition during trophoblast differentiation. Acta Anat (Basel). 1996;156(3):202-16.
 - Hugo H, Ackland ML, Blick T, et al. Epithelial-mesenchymal and mesenchymal-epithelial transitions in carcinoma progression. J Cell Physiol. 2007;213:374-83.
 - Thiery JP, Sleeman JP. Complex networks orchestrate epithelial-mesenchymal transition. Nat Rev Mol Cell Biol. 2006;7(2):131-42.
 - Cano A, Perez-Moreno MA, Rodrigo I, et al. The transcription factor snail controls epithelial-mesenchymal transitions by repressing E-cadherin expression. Nat Cell Biol. 2000;2:76-83. doi: 10.1038/35000025
 - Proestling K, Birner P, Gamperl S, et al. Enhanced epithelial to mesenchymal transition (EMT) and upregulated MYC in ectopic lesions contribute independently to endometriosis. Reprod Biol Endocrinol. 2015;13:75.
 - Sachiko M, Darcha Cl. Epithelial to mesenchymal transition like and mesenchymal to epithelial transition-like processes might be involved in the pathogenesis of pelvic endometriosis. Human Reproduction. 2012;27(3):712-21.
 - Gaetje R, Kotzian S, Herrmann G, et al. Nonmalignant epithelial cells, potentially invasive in human endometriosis, lack the tumor suppressor molecule E-cadherin. Am J Pathol. 1997;150(2):461-7.
 - Zeitvogel A, Baumann R, Starzinski-Powitz A. Identification of an invasive, N-cadherin-expressing epithelial cell type in endometriosis using a new cell culture model. Am J Pathol. 2001;159(5):1839-52. doi: 10.1016/S0002-9440(10)63030-1
 - Kalluri R, Weinberg RA. The basics of epithelial-mesenchymal transition. J Clin Invest. 2009;119(6):1420-8.
 - Radisky ES, Radisky GC. Matrix metallo-proteinase-induced epithelial-mesenchymal transition in breast. J Mammary Gland Biol Neoplasia. 2010;15(2):201-12.
 
Дополнительные файлы
				
			
						
					
						
				






