Ultrasound and clinical and morphological evaluation of intrauterine infection in pregnant women: A retrospective study
- Authors: Voevodin S.M.1, Iusufov A.A.2, Shemanaeva S.V.2
-
Affiliations:
- Russian University of Medicine
- Tver State Medical University
- Issue: Vol 27, No 1 (2025)
- Pages: 16-21
- Section: ORIGINAL ARTICLE
- Published: 01.03.2025
- URL: https://gynecology.orscience.ru/2079-5831/article/view/632219
- DOI: https://doi.org/10.26442/20795696.2025.1.203141
- ID: 632219
Cite item
Full Text
Abstract
Background. Intrauterine infection (IUI) remains an urgent obstetric problem.
Aim. Identification of modern, reliable markers of intrauterine infection.
Materials and methods. We conducted a retrospective analysis of 510 ultrasound (US) examinations and clinical, microbiological, and morphological data of 54 pregnant women (main group) with symptoms of placental insufficiency (PI) and IUI confirmed after childbirth. The control group included 48 patients with a normal course of pregnancy and childbirth.
Results. Valuable and accessible markers of IUI and PI were identified in the main group using sonography: structural changes in the placenta [n=25 (46.3%)] and umbilical cord [n=15 (27.8%)], abnormal changes in the internal organs of the fetus (nonimmune hydrops [n=9 (16.7%)], calcifications [n=8 (14.8%)], etc.), oligohydramnios [n=26 (48.1%)], fetal growth retardation [n=11 (20.4%)], impaired fetoplacental blood flow [n=41 (75.9%)]. These changes occurred in patients with a history of pelvic inflammatory diseases [n=30 (55.6%)], mother's somatic diseases (history of urinary tract infections [n=19 (35.2%)], pregnancy complications: threatened miscarriage [n=19 (35.2%)], threatened premature birth [n=26 (48.1%)], infectious diseases in newborns. The study of afterbirth in the main group showed signs of purulent chorioamnionitis in 30 (55.6%) cases.
Conclusion. Maternal infectious diseases through the transplacental and ascending pathways increase the risk of miscarriage, preterm delivery, and fetal and neonatal disease and lead to adverse perinatal outcomes. Ultrasound predictor marker of the initial complications of PI and IUI is early oligohydramnios detected using the method of maximal vertical pocket by 3D/4D echography [in the main group, n=24 (44.4%)], which precedes the development of early fetal growth retardation [n=4 (7.4%)] and decompensation of fetoplacental blood flow [n=7 (13%)]. The timely use of ultrasound markers of IUIs helps to choose the effective approach for prenatal care and delivery.
Keywords
Full Text
Введение
Одно из ведущих мест в структуре акушерских осложнений занимают инфекционные и воспалительные заболевания беременной, с возможным латентным течением, приводящие к развитию плацентарной недостаточности (ПН), преждевременным родам (ПР), внутриутробной инфекции (ВУИ) плода [1–5].
Независимо от вида возбудителя в результате повреждения плацентарного барьера микроорганизмы могут привести к тяжелым акушерским осложнениям [6–8] и неблагоприятным исходам, включая нарушения развития и дифференцировки внутренних органов (пороки развития), задержки роста плода (ЗРП) и внутриутробную гибель плода [2, 9–11].
Цель исследования – выявление ранних УЗИ- и клинико-морфологических маркеров-предикторов тяжелой ВУИ плода.
Материалы и методы
Проведен ретроспективный анализ 510 ультразвуковых исследований (УЗИ) у 54 беременных с верифицированной тяжелой ВУИ плода – основная группа. Группу контроля составили 48 женщин с физиологически протекающей беременностью. Основные критерии включения – данные УЗИ-диагностики ПН и маркеры ВУИ плода, а также клиническая оценка состояния новорожденных, морфологические исследования последа и пуповины после рождения. Критерии исключения: многоплодная беременность, беременность при хромосомных заболеваниях или пороках развития плода, тяжелая преэклампсия.
Средний возраст беременных в основной и контрольной группах практически не различался и составил 32,6±1,6 и 30,8±1,2 года. Эхографическое обследование беременных произведено с помощью УЗИ-приборов экспертного класса (Mindrey, Китай) с использованием трансабдоминального и трансвагинального доступа, датчиками частотой 3,5–7,5 МГц, стандартным пакетом 3D/4D, а также различными цифровыми программами для исследования в акушерстве. Состояние фетоплацентарного комплекса контролировали с помощью инструментальных методов: УЗИ (фетометрия, плацентометрия, оценка количества околоплодных вод, включая 3D-реконструкцию), допплерометрическое исследование кровотока в артериях пуповины (АП), средней мозговой артерии (СМА), венозном протоке (ВП). Исследования проводили на сроках 11 нед – 13 нед 6 дней, 19–21 и 32–33 нед беременности. Состояние плодово-плацентарного кровотока определяли с помощью систоло-диастолического отношения (СДО) в указанных выше сосудах. Нарушения кровотока в основной группе диагностировали при увеличении численных значений СДО выше 95% перцентиля его нормативных значений. Нарушение кровотока в СМА плода определяли при снижении численных значений СДО менее 5% перцентиля нормативных его показателей [2, 12]. У всех обследованных беременных проведены клинический анализ течения беременности и родов и оценка состояния новорожденных, включая различные осложнения в перинатальном периоде.
Макроскопическое изучение последов провели по стандартной методике. После этого из центральной зоны плаценты вырезали кусочки ткани, которые фиксировали в 10% нейтральном формалине. Гистологическое исследование провели на парафиновых срезах, окрашенных гематоксилин-эозином. В качестве статистической обработки результатов использовали стандартные методы описательной и вариационной статистики с применением линейного регрессионного анализа. Как достоверный критерий различий рассматривали р<0,05. Статистическая обработка материалов проводилась с использованием статистических функций программы MS Excel’2000.
Результаты
В основной группе установлена ранняя форма ЗРП – встретилась у 4 (7,4%) плодов и поздняя форма ЗРП – у 7 (12,9%) женщин (по данным фетометрии).
Маловодие отмечено в 26 (48,1%) наблюдениях. В 24 (44,4%) наблюдениях первичным маркером ПН стало раннее маловодие, которое выявлено с использованием методики определения объема максимального кармана 3D/4D. Данные представлены в табл. 1. Многоводие отмечено в 4 (7,4%) наблюдениях. При допплерометрии в основной группе у 26 (48,1%) плодов выявлено снижение кровотока в АП. У 4 (7,4%) плодов выявлен реверсный кровоток в АП, в сочетании с наличием реверсного кровотока в ВП у 1 (1,9%) плода. Централизация кровотока отмечена у 8 (14,8%) плодов, у 2 (3,7%) – реверсный кровоток в АП в сочетании с централизацией кровотока в СМА.
Таблица 1. Состояние фетоплацентарной системы у беременных основной и контрольной групп по данным УЗИ Table 1. The state of the fetoplacental system in pregnant women of the main and control groups according to ultrasound | ||||
Состояние фетоплацентарной системы | Контрольная группа (n=48) | Основная группа (n=54) | ||
абс. | % | абс. | % | |
ЗРП | – | – | 11 | 20,4 |
Маловодие | – | – | 16 | 57,1 |
Многоводие | 2* | 4,2 | 4* | 7,4 |
Амниотические тяжи | – | – | 2 | 3,7 |
Тромбоз межворсинчатого пространства | – | – | 5 | 9,2 |
Инфаркты плаценты | – | – | 12 | 22,2 |
Аномалии прикрепления сосудов пуповины к плаценте | 2* | 4,2 | 7* | 12,9 |
Изменение извитости пуповины | – | – | 8 | 14,8 |
Истончение плаценты | 2* | 4,2 | 8* | 14,8 |
*Здесь и в табл. 2, 3 значимость различий (р<0,05) при сравнении показателей основной и контрольной групп. | ||||
В основной группе у 5 (9,2%) беременных диагностирован тромбоз межворсинчатого пространства с локализацией по плодной поверхности плаценты. В 12 (22,2%) наблюдениях отмечена неоднородность плаценты с участками повышенной эхогенности, которую мы расценили как инфаркты. Эти участки имели различные размеры – от 0,5 до 4 см в диаметре. Истончение плаценты для такого срока гестации отмечалось в 8 (14,8%) наблюдениях у беременных основной группы, изменение извитости пуповины – у 8 (14,8%), аномалии отхождения сосудов пуповины от плаценты (краевое и плевистое) – у 7 (12,9%). Методические приемы в оценке плацентарного комплекса и пуповины с использованием ультразвука проведены по рекомендациям, предложенным Т.В. Шеманаевой (2014 г.) [13].
В нашем исследовании ранняя и поздняя ЗРП во всех случаях (n=11) сочеталась с маловодием.
При проведении эхографического исследования у плодов основной группы определялись различные сочетания УЗИ-признаков, характерных для ВУИ. Выявлены: неиммунная водянка плода (отеки подкожной клетчатки, гидроторакс и гидроперикард, асцит) в 9 (16,7%) случаях, кальцификаты в паренхиматозных органах – 3 (5,6%), гиперэхогенный кишечник – 15 (27,7%), гидроторакс – 5 (9,2%), кардиомегалия в сочетании с кардиопатией – 12 (22,2%). Проявления в центральной нервной системе плода: гидроцефалия – 6 (11,1%), кальцификаты в перивентрикулярной области мозга плода – 5 (9,2%), минерализационная васкулопатия – 6 (11,1%), субэпендимальные кисты в передних рогах боковых желудочков мозга (от 0,5 до 0,8 см) – 3 (5,6%) в сочетании с наличием септы в полости Верге. В контрольной группе указанных изменений у плодов не выявлено.
В большинстве наблюдений отмечены различные сочетания приведенных УЗИ-признаков (рис. 1–3).
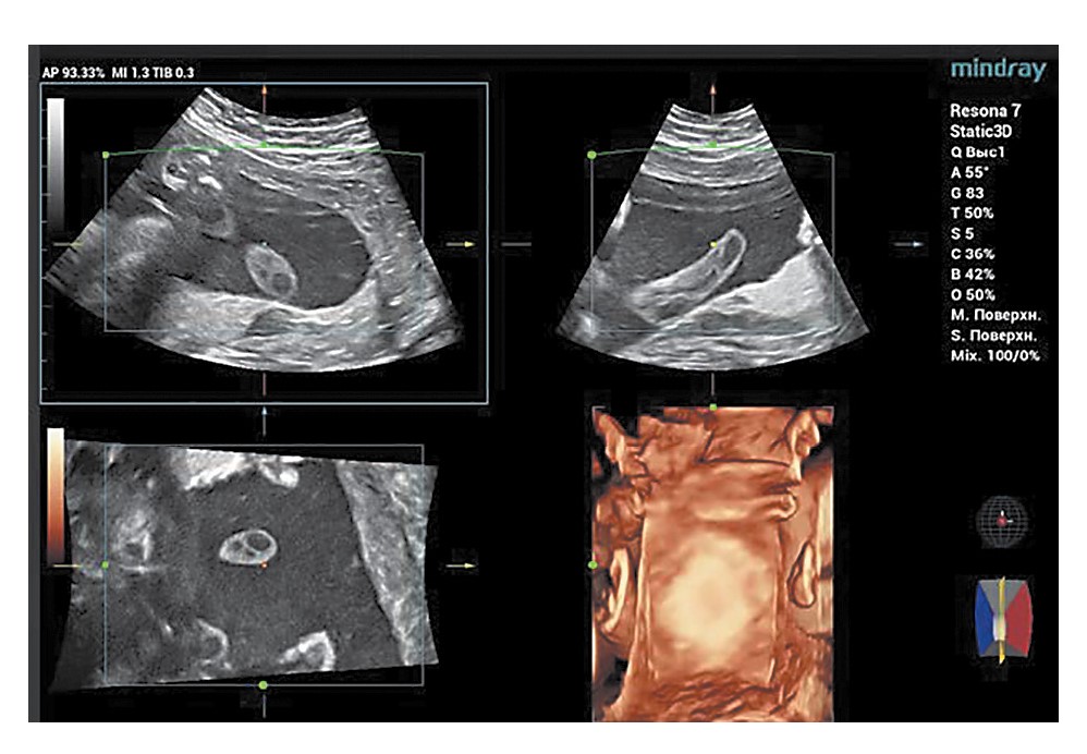
Рис. 1. Эхограмма. ВУИ. Краевое прикрепление пуповины в режиме цветного допплеровского картирования.
Fig. 1. Sonogram. Intrauterine infection (IUI). Edge attachment of the umbilical cord in the color Doppler mapping mode.
Рис. 2. Эхограмма. ВУИ. Беременность 27 нед. Изменение извитости пуповины (фрагмент гипоизвитости пуповины).
Fig. 2. Sonogram. IUI. 27 weeks of gestation. Change in umbilical cord tortuosity (fragment of reduced tortuosity of the umbilical cord).
Рис. 3. Эхограмма 3D/4D. Поверхностный режим сканирования. Беременность 26 нед. Эксцентричное прикрепление пуповины. ВУИ плода.
Fig. 3. 3D/4D sonogram. Surface imaging. 26 weeks of gestation. Eccentric cord attachment. Fetal IUI.
При анализе данных инфекционного анамнеза выявлен высокий процент перенесенных детских инфекций у беременных в основной группе – 34 (63%), что достоверно больше (p<0,05), чем в контрольной группе, – 15 (31,3%). У беременных этой же группы выявлена более высокая частота экстрагенитальных заболеваний: органов дыхания (35,2 и 14,6%), мочевыделительной системы (35,2 и 6,7%) по сравнению с контрольной группой (p<0,05). Особенности соматического анамнеза пациенток анализируемых групп представлены в табл. 2.
Таблица 2. Особенности соматического статуса беременных основной и контрольной групп Table 2. Somatic status features of pregnant women in the main and control groups | ||||
Соматический статус | Контрольная группа (n=48) | Основная группа (n=54) | ||
абс. | % | абс. | % | |
Артериальная гипертензия | – | – | 6 | 11,1 |
Заболевания органов желудочно-кишечного тракта: | 1* | 2,1 | 5* | 9,3 |
хронический гастродуоденит | 1 | 2,1 | 3 | 5,6 |
хронический холецистит | – | – | 2 | 3,7 |
Заболевания органов дыхания: | 7* | 14,6 | 19* | 35,2 |
хронический бронхит | – | – | 6 | 11,1 |
хронический тонзиллит | 3* | 6,3 | 14* | 20,4 |
ОРВИ, грипп | 5* | 10,4 | 11 | 25,9 |
Заболевания почек и мочевыводящих путей: | 2* | 4,2 | 19* | 35,2 |
хронический пиелонефрит | – | – | 7 | 13 |
хронический цистит | 2* | 4,2 | 12* | 22,2 |
В результате нашего исследования установлена более высокая частота прерывания беременности у женщин основной группы в анамнезе в сравнении с контрольной группой (p<0,05). У 25 (46,3%) беременных основной группы в анамнезе искусственные аборты, при этом более 3 абортов отмечено у 10 (18,5%) женщин, у 8 (14,8%) – неразвивающаяся беременность. В контрольной группе данных осложнений не отмечено. У 2 (3,7%) женщин основной группы была антенатальная гибель плода на сроках 24 и 28 нед беременности. В основной группе достоверно чаще встречались осложнения гинекологического анамнеза в сравнении с контрольной группой (p<0,05). У женщин в основной группе по сравнению с контрольной достоверно чаще (р<0,05) встречались хронический сальпингоофорит – у 12 (22,2%) и 4 (8,3%) женщин соответственно, а также инфекции, передаваемые половым путем, – у 30 (55,6%) и 11 (22,9%) пациенток.
При исследовании отделяемого из цервикального канала методом полимеразной цепной реакции у беременных основной группы выявлены: Mycoplasma hominis в 8 (14,8%,) Ureaplasma urealyticum в 9 (16,7%), Gardnerella vaginalis в 7 (13%), Chlamydia trachomatis в 6 (11,1%) случаях. Носительство простого герпеса 1 или 2-го типа выявлено в 12 (22,2%), цитомегаловируса – в 10 (18,5%), а папилломавируса – в 7 (13%) наблюдений. При бактериологическом исследовании соскоба из цервикального канала в основной группе выявлен рост E.coli 106 KOE/тамп – в 8 (14,8%), Streptococcus haemolyticus 108 KOE/тамп – в 6 (11,1%), Staphylococcus epidermidis 106 KOE/тамп в 12 (22,2%), Enterobacterium spp. 107 KOE/тамп – в 7 (13%), Candida glabrata 107 KOE/тамп – в 14 (25,9%), Enterococcus faecalis 106 KOE/тамп – в 11 (20,4%), Klebsiella pneumoniae 106 KOE/тамп – в 5 (9,3%) случаях. В контрольной группе статистически реже (p<0,05) выявлены Enterococcus faecalis 104 KOE/тамп – в 3 (6,3%), Ureaplasma urealyticum 104 – в 3 (6,3%), Enterobacterium spp. 104 KOE/тамп – в 2 (4,2%), Candida glabrata 104 KOE/тамп – в 4 (8,3%) наблюдениях.
Анализ течения беременности показал: ранний токсикоз отмечен у беременных основной группы в 14 (25,9%) случаях. Угроза раннего выкидыша была у 19 (35,2%) беременных основной группы и у 2 (4,2%) женщин контрольной группы. Частота угрозы ПР во II триместре составила в основной группе 48,1% (26 наблюдений). Истмико-цервикальная недостаточность диагностирована в основной группе у 10 (18,5%) женщин. В контрольной группе указанных осложнений течения беременности не отмечено. Среди других осложнений II и III триместров беременности отмечалось развитие анемии различной степени тяжести в основной группе у 25 (46,3%) пациенток, достоверно чаще (p<0,05), чем у женщин контрольной группы, – 5 (10,4%). В III триместре угрозу ПР ставили 16 (29,6%) женщинам. Обострение хронического пиелонефрита в основной группе отмечено у 5 (9,3%) и цистита у 9 (16,7%) женщин. В контрольной группе указанных осложнений течения беременности не отмечено.
При оценке состояния после родов в обеих группах выявлено, что масса тела новорожденных в основной группе в среднем составила 1680±310 г, в контрольной группе 3498±288 г, рост – 37±4,9 и 51±1,2 см. Отмечены статистически значимые изменения (p<0,05), связанные с ВУИ, у новорожденных основной группы (табл. 3).
Таблица 3. Оценка состояния новорожденного в основной и контрольной группах Table 3. Assessment of the newborn condition in the main and control groups | ||||
Соматический статус | Контрольная группа (n=48) | Основная группа (n=54) | ||
абс. | % | абс. | % | |
Оценка по Апгар на 1/5 мин, абс. (%): | ||||
8/9 баллов | 48* | 100 | 4* | 7,4 |
7/8 баллов | – | – | 19 | 35,2 |
6/7 баллов | – | – | 16 | 29,6 |
5/6 баллов | – | – | 10 | 18,5 |
4/5 баллов | – | – | 3 | 5,6 |
3/4 балла | – | – | 2 | 3,7 |
Внутриутробная пневмония | – | – | 28 | 51,9 |
Инфекция мочевыводящих путей | – | – | 4 | 7,4 |
Энтероколит | – | – | 7 | 13 |
Кандидоз кожи и кишечника | – | – | 6 | 11,1 |
Конъюнктивит | – | – | 4 | 7,4 |
Омфалит | – | – | 5 | 9,3 |
Сравнение роста микробной флоры у беременных основной группы при заборе материала из цервикального канала показало у 24 (44,4%) женщин совпадение микробного роста, выявленного у новорожденных. Забор материала на микробиологическое исследование осуществлялся из зева, ануса и трахеи новорожденного, также сделан буккальный соскоб.
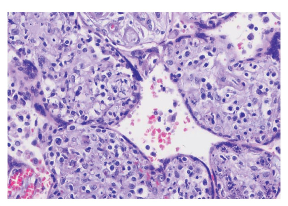
При исследовании последов основной группы признаки гнойного хориоамнионита (ХА) выявлены в 30 (55,6%) наблюдениях, виллузит сосудов хориальной площадки – в 25 (46,3%) случаях, фунизит – в 12 (22,2%) наблюдениях, острый диффузный базальный децидуит – в 26 (48,1%) наблюдениях (рис. 4). В контрольной группе указанных изменений не выявлено.
Рис. 4. Продуктивный виллузит. ×200.
Fig. 4. Productive villusitis, ×200.
Возможная причина развития ВУИ у новорожденных основной группы (внутриутробной пневмонии, врожденного кандидоза кишечника и кожи, омфалита, инфекции мочевыводящих путей, энтероколита) – гнойный ХА. Кроме того, по данным молекулярно-генетических методов исследований в ткани плаценты обнаружены E. coli в 10 (18,5%) случаях, Еnterobacterium spp. в 9 (16,7%) и Enterococcus spp. в 11 (20,4%) случаях.
В основной группе в 23 (42,6%) наблюдениях установлено соответствие строения ворсинчатого дерева сроку беременности. Ускоренное созревание ворсинчатого дерева отмечено в 12 (22,2%), а отставание – в 19 (35,2%) наблюдениях, при этом в структуре ворсинчатого дерева преобладали незрелые промежуточные ворсины. В 18 (33,3%) выявлены мелкие и крупные инфаркты ворсинчатого дерева, а в 9 (16,7%) обнаружены крупные субхориальные тромбы, а также многочисленные скопления склерозированных ворсин и некрозы базальной пластинки. Признаки хронической маточно-плацентарной гипоксии (многочисленные мелкие терминальные ворсины с множеством синцитиальных почек) обнаружены в 22 (40,7%) наблюдениях. В контрольной группе в 45 (93,8%) наблюдениях установлено соответствие строения ворсинчатого дерева сроку беременности и в 3 (6,3%) случаях – ускоренное созревание ворсинчатого дерева.
Заключение
С учетом данных анализа, представленных в нашей работе, развитие ПН часто сопровождается ВУИ. Такие осложнения встречались у женщин с инфекционными заболеваниями в анамнезе в репродуктивном возрасте чаще в основной группе по сравнению с контрольной (p<0,05) в органах дыхания (35,2 и 14,6%) и мочевыделительной системы (35,2 и 6,7%). Важное значение приобретают воспалительные заболевания органов малого таза, которые встречались достоверно чаще в основной группе – 30 (55,6%) в сравнении с контрольной – 11 (22,9%). Инфекционные заболевания матери в силу различных путей проникновения к плоду (трансплацентарный и восходящий путь) способствуют развитию разных осложнений беременности, которые встречались чаще в основной группе: особенно угрозы выкидыша – у 19 (35,2%) беременных основной группы и 2 (4,2%) женщин контрольной группы, угрозы ПР (включая преждевременный разрыв плодных оболочек) – у 26 (48,1%) женщин основной группы, инфекционных заболеваний у плодов и новорожденных. Эти осложнения приводили к неблагоприятным перинатальным исходам в сравнении с контрольной группой: отмечены статистически значимые изменения (p<0,05), связанные с ВУИ у новорожденных основной группы (см. табл. 3). Гистологическое и микробиологическое исследования плаценты также указывают на инфекционную природу развития ПН. Так, в последах у женщин основной группы в 30 (55,6%) наблюдениях выявлены признаки гнойного ХА, который может выступать в качестве триггера развития ВУИ у новорожденных основной группы (внутриутробной пневмонии, врожденного кандидоза кишечника и кожи, омфалита, инфекции мочевыводящих путей, энтероколита).
Учитывая, что у 24 (44,4%) беременных основной группы (в каждом 4-м случае) при заборе материала из цервикального канала отмечено совпадение микробного роста, выявленного у новорожденных, важно своевременное проведение микробиологического исследования для успешной диагностики и профилактики ВУИ.
Одним из ведущих УЗИ-маркеров осложнений ВУИ и ПН могут быть УЗИ-данные, указывающие на раннее маловодие. В ходе исследования в 24 (44,4%) наблюдениях раннее маловодие стало первичным маркером ПН. Выявление раннего маловодия при помощи 3D/4D-эхографии (с использованием методики определения объема максимального кармана 3D/4D), а также патологическая картина внутренних органов плода (неиммунная водянка, кальцификаты и т.д.) – надежные критерии ВУИ плода.
На основании результатов можно заключить, что прогнозировать тяжелые варианты течения ПН инфекционного генеза можно с помощью УЗИ-маркеров ВУИ плода в сочетании с ЗРП, которое в нашей работе встречалось в 11 (20,4%) случаях (у каждой 5-й женщины), и нарушениями фетоплацентарного кровотока (в 75,9% случаев), происходящими на фоне повреждения плацентарного барьера.
Мы считаем, что в клиническом ведении беременности у женщин с возможным развитием ВУИ следует акцентировать внимание на диагностике как клинических, так и УЗИ-данных, включая данные об анатомии пуповины, структуре плаценты и точных отклонениях в количестве околоплодных вод.
Анализ результатов нашего исследования показал, что на современном этапе проблема антенатального определения ВУИ плода и новорожденного, особенно тяжелых форм, требует комплексного и мультидисциплинарного подхода к тактике ведения беременных. Традиционно в клинической медицине при диагностике инфекции отдается предпочтение иммунологическим, цитологическим или микробиологическим методам. Но именно сочетание УЗИ-данных с анамнестическими параметрами (включая микробиологические методы и т.д.) повышает качество диагностики ВУИ и ПН инфекционного генеза.
Раскрытие интересов. Авторы декларируют отсутствие явных и потенциальных конфликтов интересов, связанных с публикацией настоящей статьи.
Disclosure of interest. The authors declare that they have no competing interests.
Вклад авторов. Авторы декларируют соответствие своего авторства международным критериям ICMJE. С.М. Воеводин – обработка и анализ материала по теме, написание текста рукописи; Т.В. Шеманаева – сбор публикаций, получение данных для анализа, обработка и анализ материала по теме, написание текста рукописи; А.А. Юсуфов – анализ материала по теме, редактирование текста.
Authors’ contribution. The authors declare the compliance of their authorship according to the international ICMJE criteria. Voevodin S.M. – processing and analyzing the material, writing the text of the manuscript, Iusufov A.A. – collecting publications, obtaining data for analysis, processing and analyzing the material, writing the manuscript text, Shemanaeva T.V. – analyzing the material, editing the text.
Источник финансирования. Авторы декларируют отсутствие внешнего финансирования для проведения исследования и публикации статьи.
Funding source. The authors declare that there is no external funding for the exploration and analysis work.
Информированное согласие на публикацию. Пациенты подписали форму добровольного информированного согласия на публикацию медицинской информации.
Consent for publication. Written consent was obtained from the patients for publication of relevant medical information and all of accompanying images within the manuscript.
About the authors
Sergey M. Voevodin
Russian University of Medicine
Author for correspondence.
Email: voevod37@yandex.ru
ORCID iD: 0000-0001-8048-3185
D. Sci. (Med.)
Russian Federation, MoscowAkif A. Iusufov
Tver State Medical University
Email: voevod37@yandex.ru
ORCID iD: 0000-0002-9404-6768
D. Sci. (Med.)
Russian Federation, TverShemanaeva V. Shemanaeva
Tver State Medical University
Email: voevod37@yandex.ru
ORCID iD: 0000-0001-7752-9752
D. Sci. (Med.)
Russian Federation, TverReferences
- Баисова А.Р., Амирасланов Э.Ю., Франкевич В.Е., и др. Современные представления об этиологии и патогенезе преждевременного разрыва плодных оболочек. Акушерство и гинекология. 2023;(10):21-7 [Baisova AR, Amiraslanov EIu, Frankevich VE. Modern concepts on the etiology and pathogenesis of premature rupture of membranes. Akusherstvo i Ginekologiia. 2023;(10):21-7 (in Russian)]. doi: 10.18565/aig.2023.199
- Воеводин С.М., Шеманаева Т.В., Серова А.В. Раннее маловодие при беременности: диагностика и акушерские исходы. Вестник Российской академии медицинских наук. 2021;76(4):341-50 [Voevodin SM, Shemanaeva TV, Serova AV. Oligohydramnion in the First Half of Pregnancy in the Fetuses with Congenital Abnormalities: Ultrasound Diagnostics and Obstetric Outcomes. Vestnik Rossiiskoi Akademii Meditsinskikh Nauk. 2021;76(4):341-50 (in Russian)]. doi: 10.15690/vramn1443
- Воеводин С.М., Шеманаева Т.В., Серова А.В. Современные подходы к диагностике раннего маловодия. Вопросы гинекологии, акушерства и перинатологии. 2020;19(6):17-21 [Voevodin SM, Shemanaeva TV, Serova AV. Current approaches to the diagnosis of early oligohydramnios. Voprosy ginekologii, akusherstva i perinatologii. 2020;19(6):17-21 (in Russian)]. doi: 10.20953/1726-1678-2020-6-17-21
- Кравченко Е.Н., Куклина Л.В., Баранов И.И. Хориоамнионит. Современный взгляд на проблему. Доктор.Ру. 2022;21(5):38-42 [Kravchenko EN, Kuklina LV, Baranov II. Chorioamnionitis. Modern view of the problem. Doktor.Ru. 2022;21(5):38-42 (in Russian)]. doi: 10.31550/1727-2378-2022-21-5-38-42
- Серов В.Н. Диагностика и лечение плацентарной недостаточности. РМЖ. 2008:35-40 [Serov VN. Diagnostika i lechenie platsentarnoi nedostatochnosti. RMZh. 2008:35-40 (in Russian)].
- Воеводин С.М., Шеманаева Т.В., Серова А.В. Современные аспекты диагностики и патогенеза маловодия. Гинекология. 2017;19(3):77-80 [Voevodin SM, Shemanaeva TV, Serova AV. Modern aspects of diagnosis and pathogenesis of oligohydramnios. Ginekologiia. 2017;19(3):77-80 (in Russian)]. EDN: ZRJBKH
- Benirschke K, Burton GJ, Baergen RN. Pathology of the human placenta (Sixth ed.). N.Y.: Springer, 2012. 941 p.
- Callen PW. Ultrasonography in obstetrics and gynecology. 2008. 1239 p.
- Benacerraf BR. Ultrasound of Fetal Syndromes. Philadelphia: Elsevier, 2008. 650 p.
- Redline RW. Inflammatory responses in the placenta and umbilical cord. Semin Fetal Neonatal Med. 2006;11(5):296-301. doi: 10.1016/j.siny.2006.02.011
- Verity С, Firth H, French-Constant C. Congenital Abnormalities Of The Central Nervous System. J Neurol Neurosurg Psychiatry. 2003;74:i3. doi: 10.1136/jnnp.74.suppl_1.i3
- Недостаточный рост плода, требующий предоставления медицинской помощи матери (задержка роста плода). Клинические рекомендации. М., 2022. 73 с. [Nedostatochnyi rost ploda, trebuiushchii predostavleniia meditsinskoi pomoshchi materi (zaderzhka rosta ploda). Klinicheskie rekomendatsii. Moscow, 2022, 73 p. (in Russian)].
- Шеманаева Т.В. Эхографическая и клинико-морфологическая оценка плацентарной недостаточности инфекционного генеза: автореферат дис. ... д-ра мед. наук. М., 2014. 38 с. [Shemanaeva TV. Ekhograficheskaia i kliniko-morfologicheskaia otsenka platsentarnoi nedostatochnosti infektsionnogo geneza: avtoreferat dis. ... d-ra med. nauk. Moscow, 2014. 38 p. (in Russian)].
Supplementary files







