Combining minimally invasive technologies and phytotherapy in mammology: A safe and effective duet. A prospective study
- Authors: Pokul L.V.1, Orazov M.R.1, Lebedeva M.G.1, Demina A.O.2
-
Affiliations:
- Patrice Lumumba People’s Friendship University of Russia
- Clinical Oncology Dispensary №1
- Issue: Vol 26, No 3 (2024)
- Pages: 242-248
- Section: ORIGINAL ARTICLE
- Published: 20.09.2024
- URL: https://gynecology.orscience.ru/2079-5831/article/view/636294
- DOI: https://doi.org/10.26442/20795696.2024.3.202861
- ID: 636294
Cite item
Full Text
Abstract
Background. Breast cysts are a relatively common benign condition, accounting for 26.4% of all benign mammary dysplasias (BMD). Due to scientific and technological progress, in many cases, it is possible to achieve improvement from non-surgical and complex therapy, including minimally invasive technologies such as image-guided air injections with non-surgical treatment.
Aim. To determine the optimal approach for the management of benign breast cysts and to provide a rationale for the combined use of air injections with phytotherapy.
Materials and methods. The study included women aged 25 to 45 years (mean age was 37.7±5.6 years) taking combined oral contraceptives (COCs) for at least 3 years with benign breast cysts. Patients were randomized into two groups: Group 1 (n=26) included patients with a cystic form of BMD who received a fine-needle puncture followed by air mixture injections into the cyst cavity in combination with non-surgical therapy with the herbal medicinal product Mastopol®; Group 2 (n=19) included patients with a cystic form of BMD who received only air injections into the cyst cavity. The dosing regimen of Mastopol® in patients of Group 1: 1 tablet sublingually 3 times a day 20 minutes before meals. The non-surgical therapy was initiated on the day of the air injection. The duration of treatment with Mastopol® was 3 months.
Results. A pain decrease was reported in 18 patients (69.2%) of Group 1; in Group 2, only 2 (10.5%) patients reported a pain decrease. Almost all patients of Group 2 (n=17; 89.5%) required repeated air injections for complete cyst reduction, while in Group 1, only 31% (n=8) of patients received repeated air injections. Comparative analysis showed a significant difference between the groups: φ*=1.7; p≤0.04. One month after treatment and air injections, mastalgia of varying intensity in Group 1 persisted in 31% (n=8) of patients and 89.5% (n=17) of patients in Group 2.
Conclusion. While taking COCs, women may experience pain and tension in the breast, as well as an increase in the echo density of the breast and thickening of the glandular tissue and the wall of the cysts. These adverse effects of COCs must be reduced. The results of the study demonstrated the effectiveness of the antiproliferative herbal drug Mastopol®, prescribed in combination with an adequate, effective, and safe method such as air injection into the cyst cavity.
Full Text
Расширение показаний к применению комбинированных оральных контрацептивов (КОК) сопровождается их активным использованием. Около 100 млн женщин ежедневно используют КОК для предотвращения нежеланной беременности или с целью достижения лечебных эффектов низких доз половых гормонов [1, 2]. Приблизительно 80% женщин детородного возраста планеты хотя бы раз в жизни принимали КОК [3]. Положительные эффекты КОК трудно переоценить, поскольку их действие простирается далеко за пределы планирования семьи. Производит впечатление тот факт, что смертность от всех причин среди пользователей КОК оказалась на 12% меньше по сравнению с женщинами, никогда не принимавшими контрацептивы [4]. Улучшение качества жизни как в физической, так и в психоэмоциональной плоскости, принципиально иной уровень личной свободы дополняют палитру полезных характеристик оральных гормональных препаратов. Польза КОК заключается прежде всего в возможности предотвращения нежеланной беременности и сохранения тем самым здоровья женщин и их будущих детей [1, 5, 6]. Однако, как и любые лекарственные препараты, КОК имеют свои нежелательные эффекты, среди которых выделяются нагрубание молочных желез (МЖ), масталгия, формирование кист МЖ. Для нивелирования мастодинии возможен сочетанный прием КОК с эффективными препаратами, снижающими пролиферацию ткани МЖ. Одним из таких препаратов является гомеопатический препарат на основе алкалоидов и гликозидов Мастопол® [7].
Кисты МЖ – достаточно частая доброкачественная патология, выявляемая в 26,4% случаев среди всех доброкачественных дисплазий МЖ (ДДМЖ) [8]. Многочисленные эпидемиологические исследования убедительно продемонстрировали практически полную идентичность факторов риска рака МЖ (РМЖ) и ДДМЖ, а также достоверное увеличение риска заболеваемости РМЖ на фоне ДДМЖ: от минимального при непролиферативных ДДМЖ до умеренно повышенных при пролиферативных ДДМЖ без атипии и значительно повышенных (в 4–5 раз и более, особенно у женщин с семейной отягощенностью) при пролиферативных ДДМЖ с атипией [5, 9, 10].
В настоящее время в значительной части случаев при кистозной ДДМЖ есть возможность получать положительный эффект от консервативной или комплексной терапии, включающей малоинвазивные технологии в виде пневмосклерозирования под контролем рентгенологических, ультразвуковых, магнитно-резонансных методов на фоне консервативного лечения [11]. Сегодня в арсенале врачей имеются такие инновационные технологии, как пневмосклеротерапия воздухом, комбинированная пневмоэтанолосклеротерапия 96% спиртом, склерозирование озоно-кислородной смесью, склерозирование склерозантом на основе 1% раствора натрия тетрадецилсульфата, лазеросклеротерапия высокоинтенсивным лазерным излучением и др. [12, 13].
При благоприятной цитологической и морфологической картине кист МЖ актуально проведение консервативной терапии препаратами патогенетической направленности, подавляющими действие негативных факторов, провоцирующих опухолевую трансформацию. К таким препаратам относится лекарственный растительный препарат Мастопол®, обладающий широким спектром антипролиферативных активностей. Он проявляет антиэстрогенный эффект, нормализует цитокиновый баланс, снижает оксидативный стресс, подавляет фиброз, воспаление [7, 14–17].
Цель исследования – определение оптимальной тактики ведения доброкачественных кистозных образований МЖ и обоснование сочетанного применения пневмосклерозирования на фоне фитотерапии.
Материалы и методы
Наблюдательное проспективное исследование проведено за период с 2022 по 2024 г. с объемом выборки 45 человек. Базовым клиническим подразделением явилось ООО «Современные диагностические технологии» (г. Краснодар). Все пациентки проинформированы (как устно, так и письменно) о выборке, процедуре, рисках и преимуществах исследования, дали письменное информированное согласие и его подписали.
Критерии включения: пациентки с верифицированной кистозной формой ДДМЖ, принимающие КОК не менее 3 лет. Критерии исключения: злокачественные заболевания репродуктивных органов и МЖ; участки локального скопления микрокальцинатов; папиллярные разрастания пристеночные; прием гормональных препаратов на момент исследования; участие пациентки в другом исследовании, отказ от исследования, аллергические реакции на ингредиенты препарата Мастопол®.
В исследование вошли женщины в возрасте от 25 до 45 лет (средний возраст – 37,7±5,6 года). После отбора пациентки распределены на 2 группы наблюдения: 1-я группа (n=26) – пациентки с кистозной формой ДДМЖ, которым проводилось пневмосклерозирование в сочетании с консервативной терапией растительным лекарственным препаратом Мастопол® по 1 таблетке под язык 3 раза в день за 20 мин до еды; 2-я группа (n=19) – пациентки с кистозной формой ДДМЖ, которым проводилось только пневмосклерозирование полости кист. Начало консервативной терапии совпадало с пневмосклерозированием кистозных образований. Продолжительность лечения препаратом Мастопол® составила 3 мес.
Все больные после получения информированного согласия обследовались согласно клинико-инструментальному алгоритму: сбор жалоб, анамнеза жизни и заболевания, ультразвуковое исследование – УЗИ (В-режим) МЖ, ультразвуковая допплерография, рентгеновская маммография (по показаниям). Методы лучевой визуализации позволяли оценить размеры кист, эхогенность, толщину стенок и железистого компонента, наличие или отсутствие локусов кровотока по периферии образований, наличие или отсутствие пристеночных включений. Вся аспирируемая жидкость подвергалась цитологическому исследованию, и согласно протоколу исследования после аспирации жидкости производилось пневмосклерозирование воздушной смесью. Методика заключалась в следующем: после определения расположения кисты в МЖ методом чрескожной тонкоигольной пункции иглой G 20-21 под контролем УЗИ на аппарате Philips EPIQ5G с датчиком диапазона частот L12-5 эвакуировали содержимое кисты. Не извлекая иглу из кистозной полости, шприцем 20 мг медленно вводили воздушную смесь. Количество воздушной смеси соответствовало 1/4 объема эвакуированной жидкости. После этого на МЖ накладывалась стерильная давящая повязка сроком на 1 сут.
При внутрикистозном введении воздушной смеси на фоне лекарственного воздействия алкалоидов и гликозидов, входящих в состав препарата Мастопол®, происходит активизация целого каскада биохимических процессов. Терапевтические дозы препарата Мастопол® существенно усиливают микроциркуляцию и улучшают трофические процессы в тканях. При этом они обладают выраженным противовоспалительным, иммуномодулирующим, анальгезирующим эффектами, способствуют резкой активизации детоксикационной системы. При использовании воздушной смеси отмечается облитерация стенок кистозной полости.
Далее еще через 1 мес после пневмосклерозирования и начала терапии препаратом Мастопол® больные являлись на повторный прием для определения дальнейшей тактики ведения. По результатам контрольного УЗИ принималось решение о проведении повторной пневматизации полости кисты.
Оценка динамики масталгии предусматривала применение Визуальной аналоговой шкалы боли (ВАШ). ВАШ представляет собой прямой отрезок длиной 10 см. Его начало соответствует отсутствию болевого ощущения – «боли нет», а конечная точка отражает мучительную нестерпимую боль – «невыносимая боль». Пациентке предлагается сделать на ней отметку, соответствующую интенсивности испытываемых ею в данный момент болей. Расстояние между началом отрезка («боли нет») и сделанной отметкой измеряют в сантиметрах и округляют до целого. Каждый сантиметр на линии соответствует 1 баллу. При отметке до 2 см боль классифицируется как слабая, от 2 до 4 см – умеренная, от 4 до 6 см – сильная, от 6 до 8 см – сильнейшая и до 10 см – нестерпимая. Как правило, для проведения методики используется обратная (неградуированная) сторона 10-сантиметровой бумажной, картонной или пластмассовой линейки. К преимуществам данной шкалы относятся ее простота и удобство [18].
Математическую обработку проводили с использованием математического пакета Statistica 6.0 и медико-биологической программы BioStat Professional при помощи методов непараметрической статистики (U-критерий Манна–Уитни–Вилкоксона), непараметрической статистики (φ*-критерий углового преобразования Фишера).
Результаты
Характер масталгии в группах имел свои отличительные особенности. Перед началом лечения больные протестированы по шкале ВАШ. В целом все женщины отметили тот или иной уровень интенсивности боли в МЖ; выраженность боли находилась в границах «умеренная» и «сильная». Через месяц после начала лечения препаратом Мастопол® и проведения пневмосклерозирования масталгия разной интенсивности в 1-й группе сохранялась в целом у 31% (n=8), тогда как во 2-й группе – у 89,5% (n=17). Дифференцированно выраженность боли в 1-й группе выглядела следующим образом: сильная боль не беспокоила ни одну женщину, умеренная боль диагностировалась у 3 (12%) человек при исходных показателях умеренной боли у 17 (65,4%) женщин, и слабая боль зафиксирована у 5 (19,2%) респондентов. Отличительной особенностью стало отсутствие пациентов без боли во 2-й группе! Болевой синдром умеренной силы сохранялся у 8 (42%) человек при исходных показателях 10 (53%) человек. Положительной динамики по шкале сильной и слабой боли не обнаружено: 37 (n=7) и 10% (n=2) соответственно. Таким образом, стало понятно, что самостоятельное проведение пневмосклерозирования кист МЖ не влияет на боль и ее интенсивность, а прием КОК продолжает провоцировать клинический симптом – мастодинию. При этом больные 1-й группы, у которых на фоне приема КОК пневмосклерозирование сочеталось с использованием лекарственного препарата Мастопол®, отметили либо полное исчезновение, либо значимое снижение масталгии.
Ультразвуковые параметры ткани МЖ и кистозных образований в МЖ имели также различия между группами после лечения. В частности, до начала лечения в целом у всех пациенток наблюдалось повышение эхоплотности МЖ в сочетании с нерезко выраженной гиперплазией железистой ткани. Спустя месяц после начала терапии препаратом Мастопол® и пневмосклерозирования кист воздушной смесью у больных 1-й группы стала отчетливо прослеживаться тенденция к еще более выраженному уменьшению толщины железистой ткани и эхоплотности, а также уменьшению диаметра кист вплоть до их полного исчезновения; утончение стенок кист. В частности, сравнительный анализ медианных показателей между группами свидетельствовал о достоверном различии эхографических данных между группами (p≤0,001); табл. 1; рис. 1, 2. У женщин 2-й группы, которым проводились только аспирация и пневмосклерозирование без сопровождающей терапии, динамики в изменении структуры железистой ткани, толщины стенок кист, диаметра кист не наблюдалось. Уменьшились в диаметре только те макрокисты, из которых аспирирован экссудат с последующей пневматизацией. При этом утончения стенок кист на обнаружено. Практически всем больным 2-й группы – 89,5% (n=17) – потребовалась повторная пневматизация для полной редукции кист, тогда как в 1-й группе больных повторная пункция с пневмосклерозированием проведена только 31% (n=8) пациенток. Сравнительный анализ демонстрировал достоверное различие между группами: φ*=1,7; p≤0,04.
Таблица 1. Ультразвуковые параметры ткани МЖ Table 1. Ultrasound parameters of the breast tissue | ||||||
Группа | Эхоплотность, у. е. | Толщина железистой ткани, мм | Толщина стенки кисты | |||
до лечения | после лечения | до лечения | после лечения | до лечения | после лечения | |
1 | 39 (36,0–41,0) | 25,5 (24,2–26,8)* | 13,7 (12,7–14,9) | 10,8 (9,7–11,4)** | 1,75 (1,3–2,0) | 1,3 (1,0–1,5)*** |
2 | 39 (37,0–40,0) | 39,0 (36,5–40,5)* | 13,9 (12,9–14,2) | 13,7 (12,7–15,9)** | 1,9 (1,7–2,1) | 1,9 (1,5–2,1)*** |
Достоверность различий U-критерий Манна–Уитни–Вилкоксона. *Сравнение эхоплотности до и после лечения в группах 1 и 2, р≤0,01; **сравнение толщины железистой ткани до и после лечения в группах 1 и 2, р≤0,01; ***сравнение толщины стенки кисты до и после лечения в группах 1 и 2, р≤0,01. | ||||||
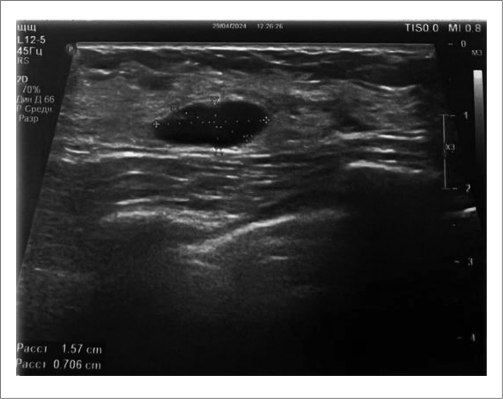
Рис. 1. Эхография МЖ до пневматизации.
Fig. 1. Echography of the breast before pneumatization.
Рис. 2. Эхография МЖ после пневматизации.
Fig. 2. Echography of the breast after pneumatization.
Рецидивов кистозных ДДМЖ в исследовании не отмечено.
Данные изменения позволили сделать вывод о положительном эффекте препарата Мастопол® на ткань МЖ в целом.
Обсуждение
ДДМЖ – наиболее распространенный доброкачественный тип заболевания МЖ. Определенные дисгормональные факторы лежат в основе сложного и до конца не изученного патогенеза этого заболевания. В целом доброкачественные образования не связаны с повышенным риском развития злокачественных новообразований, тем не менее пролиферативные заболевания МЖ в той или иной степени повышают риск РМЖ. Пролиферативные заболевания без атипии – гиперплазия, склерозирующий аденоз, радиальный рубец, внутрипротоковая папиллома – характеризуются избыточным ростом и повышают риск РМЖ в 1,5–2 раза [10, 19, 20].
Простые и сложные кисты являются наиболее распространенными доброкачественными кистозными поражениями МЖ. Они, как правило, множественные, двусторонние, могут увеличиваться и уменьшаться в размерах [21]. Однако при доброкачественной природе в 3% случаев в полости кисты могут развиваться пристеночные разрастания в виде солидного компонента неправильной формы, что подчеркивает необходимость ранней диагностики, определяющей выбор и объем лечебных мероприятий [21].
Основным симптомом ДДМЖ является боль, а важные диагностические критерии – изменение качественных и количественных характеристик по данным эхографии: размеров образований, толщины железистого компонента, наличия или отсутствия расширенных протоков.
ДДМЖ не является противопоказанием к использованию КОК. Каждый человек имеет право на доступ к помощи по охране репродуктивного здоровья, выбор метода контрацепции и возможность пользоваться достижениями научного прогресса в этой области. Соблюдение прав человека в области репродуктивного выбора предполагает комплексный характер работы с пациентами, который должен учитывать состояние их сексуального и репродуктивного здоровья и все соответствующие критерии, позволяющие остановиться на том или ином методе контрацепции [22]. Cогласно медицинским критериям приемлемости методов контрацепции КОК являются одной из самых эффективных противозачаточных технологий с индексом Перля 0,3%, уступая только методам долговременной гормональной контрацепции, внутриматочной контрацепции и стерилизации [22, 23]. Помимо надежного предохранения от нежеланной беременности КОК обеспечивают ряд лечебных и профилактических эффектов, включая такие, как редукция риска рака эндометрия, яичников, колоректального рака. Однако у части женщин проявляются побочные нежелательные эффекты в виде нагрубания и напряжения МЖ. Назначение КОК у пациентов, входящих в исследование, диктовалось необходимостью проведения их адекватной контрацепции, поэтому важным являлось отследить, насколько может быть отрицательным влияние КОК на МЖ, какие риски лежат за плоскостью приема КОК. Ответ на этот вопрос однозначный: ведущим побочным эффектом КОК является боль в МЖ. У каждой из пациенток основными жалобами стали мастодиния и наличие кист МЖ. Поскольку женщины с успехом принимали КОК, задачей нашей работы являлось нивелирование данного побочного эффекта.
Оценка масталгии обнаружила присутствие боли до начала лечения у всех женщин, принимающих КОК. После верификации кистозного образования в МЖ всем больным как в 1-й, так и во 2-й группе проведена тонкоигольная пункция с последующим пневмосклерозированием полости кисты воздушной смесью.
При этом респонденты 1-й группы параллельно получали консервативную терапию лекарственным растительным препаратом Мастопол®. На контроле через месяц после пневмосклерозирования у больных в группах диагностирована динамика болевого синдрома и эхографических показателей. Важным фактом явилось снижение болевого синдрома у 18 больных 1-й группы, что составило 69,2%, тогда как во 2-й группе снижение болевого синдрома отмечено только у 2 больных – 10,5%. Характер распределения мастодинии также имел свои отличительные особенности: в 1-й группе диагностировался только болевой синдром умеренной и слабой силы суммарно у 8 (31%) человек, тогда как во 2-й группе масталгия выраженной, сильной и умеренной силы беспокоила 89,5% (n=17). По нашему мнению, такое значимое нивелирование мастодинии в 1-й группе связано не только с редукцией кист после пневмосклерозирования, но с важным аспектом – консервативной терапией алкалоидами и гликозидами, входящими в состав препарата Мастопол®. На современном этапе развития клинической медицины многие оперативные пособия на МЖ носят малоинвазивный характер, в частности пункции под ультразвуковым контролем. При пункционных методах лечения используются разнообразные виды склерозантов. Эффективность методам придало внедрение в медицинскую практику методов визуального контроля точности выполнения данной методики. Это стало возможным с внедрением ультразвуковых методов навигации, которые дают возможность с высокой точностью произвести пункцию кист, аспирацию, точное введение склерозирующего вещества как по топографии, так и по объему [24]. Анализ имеющихся публикаций, посвященных результатам антипролиферативного влияния лекарственного препарата Мастопол® на ткань МЖ у больных с ДДМЖ, рекомендации ведущих экспертов в области маммологии, предлагающих прием препарата Мастопол® в качестве терапии ДДМЖ, определили выбор данного препарата и в нашей работе [8, 15–17, 25]. Мастопол® – лекарственный гомеопатический препарат на основе входящих в его состав алкалоидов и гликозидов из растений болиголова пятнистого (Conium maculatum), гидрастиса канадского (Hydrastis canadensis), туи западной (Thuja occidentalis) и общеукрепляющего, увеличивающего эластичность и проницаемость сосудов регулятора метаболизма фтористого кальция (Сalcium fluoratum). Одной из важных особенностей алкалоидов, через которые реализуются противоопухолевые и антипролиферативные эффекты, является кариокластический эффект, а также возможность индукции апоптоза через генерацию активных форм кислорода. При этом результаты предыдущих когортных исследований продемонстрировали эффект алкалоидов препарата Мастопол® и в реализации снижения гормонзависимой пролиферации через снижение уровня 16α-гидроксиметаболит эстрогенов [14]. Туя западная, относящаяся к группе растительных гликозидов, обладающая выраженным противоотечным, противовоспалительным действиями, также в недавних исследованиях обнаружила эффект фитопрофилактики РМЖ через снижение уровня окислительного стресса, в том числе через повышение концентрации каталазы, супероксиддисмутазы с редукцией малонового диальдегида [15, 26]. Фтористый кальций – природное соединение кальция, обладающее мощным капиллярстабилизирующим свойством, способствующим улучшению локальной микроциркуляции в МЖ [27].
Эхография – высокоинформативный современный метод исследования МЖ, который позволяет не только выявлять изменения структуры МЖ, но и дифференцировать различные варианты мастопатии [28]. В проведенном исследовании ультразвуковое сканирование играло главную диагностическую роль как в постановке диагноза, так и в выборе тактики ведения пациентов. Так, уменьшение диаметра кист вплоть до полного исчезновения, утоньшение стенок кист, уменьшение эхоплотности и железистого компонента достоверно отличались между группами. В частности, эхоплотность и железистый компонент достоверно уменьшились у больных 1-й группы по сравнению с показателями больных 2-й группы (при U=5,6; p≤0,001 и при U=5,3; p≤0,001 соответственно). Толщина стенки образований имела также тенденцию к утоньшению у респондентов 1-й группы, что значимо отличались от данных 2-й группы через месяц после пневмосклерозирования и консервативной терапии препаратом Мастопол® (U=3,9; p≤0,002). Сонографически простые кисты представляют собой ограниченные безэхогенные образования с акустическим усилением и отсутствием васкуляризации. Простые кисты являются доброкачественными и не требуют дальнейшего обследования, если только не требуется аспирация. Осложненные кисты связаны менее чем с 2% случаев злокачественного новообразования. Кластеризованные микрокисты представляют собой множественные сгруппированные кисты, и в некоторых случаях может потребоваться аспирация, чтобы отличить их от солидных образований [29]. C точки зрения эхографии нормальной МЖ можно назвать ту, в которой сохранена гармония между фиброзной и железистой тканью. С количественной точки зрения в нормальной МЖ толщина слоя железистой ткани не должна превышать 14 мм, а показатели эхоплотности должны соответствовать 26–28 у.е. [28, 30]. Данные литературных источников согласовывались с полученными нами результатами исследования.
Заключение
На фоне приема КОК возможно появление боли и напряженности в МЖ, также возможно усиление эхоплотности МЖ, уплотнение железистой ткани. Данные побочные эффекты КОК возможно нивелировать приемом антипролиферативного растительного лекарственного препарата Мастопол® в сочетании с адекватной, эффективной и безопасной малоинвазивной технологией – пневмосклерозированием полости кисты.
Раскрытие интересов. Авторы декларируют отсутствие явных и потенциальных конфликтов интересов, связанных с публикацией настоящей статьи.
Disclosure of interest. The authors declare that they have no competing interests.
Вклад авторов. Авторы декларируют соответствие своего авторства международным критериям ICMJE. Все авторы в равной степени участвовали в подготовке публикации: разработка концепции статьи, получение и анализ фактических данных, написание и редактирование текста статьи, проверка и утверждение текста статьи.
Authors’ contribution. The authors declare the compliance of their authorship according to the international ICMJE criteria. All authors made a substantial contribution to the conception of the work, acquisition, analysis, interpretation of data for the work, drafting and revising the work, final approval of the version to be published and agree to be accountable for all aspects of the work.
Источник финансирования. Авторы декларируют отсутствие внешнего финансирования для проведения исследования и публикации статьи.
Funding source. The authors declare that there is no external funding for the exploration and analysis work.
Информированное согласие на публикацию. Пациентки подписали форму добровольного информированного согласия на публикацию медицинской информации.
Consent for publication. Written consent was obtained from the patients for publication of relevant medical information and all of accompanying images within the manuscript.
About the authors
Liliana V. Pokul
Patrice Lumumba People’s Friendship University of Russia
Author for correspondence.
Email: Liliana_v_p@mail.ru
ORCID iD: 0000-0002-3877-4883
D. Sci. (Med.)
Russian Federation, MoscowMekan R. Orazov
Patrice Lumumba People’s Friendship University of Russia
Email: omekan@mail.ru
ORCID iD: 0000-0002-5342-8129
D. Sci. (Med.)
Russian Federation, MoscowMarina G. Lebedeva
Patrice Lumumba People’s Friendship University of Russia
Email: Liliana_v_p@mail.ru
ORCID iD: 0000-0002-7236-9486
Cand. Sci. (Med.)
Russian Federation, MoscowAlina O. Demina
Clinical Oncology Dispensary №1
Email: Liliana_v_p@mail.ru
Cand. Sci. (Med.), Clinical Oncology Dispensary №1
Russian Federation, KrasnodarReferences
- Кузнецова И.В., Евсюкова Л.В., Коновалов В.А. Комбинированная оральная контрацепция. Есть ли ресурс для расширения использования? Медицинский совет. 2018;(12):146-51 [Kuznetsova IV, Evsyukova LV, Konovalov VA. Combined oral contraception: is there a resource for increased use? Medical Council. 2018;(12):146-51 (in Russian)].
- Alkema L, Kantorova V, Menozzi C, Biddlecom A. National, regional and global rates and trends in contraceptive prevalence and unmet need for family planning between 1990 and 2015: a systematic and comprehensive analysis. Lancet. 2013;381(9878):1642-52.
- Daniels K, Daugherty J, Jones J. Current contraceptive status among women aged 15–44: United States, 2011–2013. NCHS Data Brief. 2014;173:1-8.
- Hannaford PC, Iversen L, Macfariane TV, et al. Mortality among contraceptive pill users: cohort evidence from Royal College of General Practitioners’ Oral Contraception Study. BMJ. 2010;340:927.
- Коломиец К.В., Афашагова З.Р., Эрендженова Д.Э., и др. Мультидисциплинарный подход к лечению нерезектабельного метастатического поражения печени при люминальном раке молочной железы. Вестник РГМУ. 2024;2:43-9 [Kolomiets KV, Afashagova ZR, Erendzhenova DE, et al. Multidisciplinary approach to treatment of unresectable liver metastases seeded by luminal breast carcinoma. Vestnik RGMU. 2024;2:43-9 (in Russian)].
- De La Rocherbrochard E, Joshi H. Children born after unplanned pregnancies and cognitive development at 3 years: social differentials in the United Kingdom Millenium Cohort. Am J Epidemiol. 2013;178(6):910-20.
- Радзинский В.Е., Носенко Е.Н., Оразов М.Р., и др. Эффективность и безопасность негормонального лечения доброкачественной дисплазии молочной железы. Вопросы гинекологии, акушерства и перинатологии. 2020;19(2):50-61 [Radzinskii VE, Nosenko EN, Orazov MR, et al. Effektivnost' i bezopasnost' negormonal'nogo lecheniia dobrokachestvennoi displazii molochnoi zhelezy. Voprosy Ginekologii, Akusherstva i Perinatologii. 2020;19(2):50-61 (in Russian)].
- Каприн А.Д., Рожкова Н.И. Мастопатии. М.: ГЭОТАР-Медиа, 2019 [Kaprin AD, Rozhkova NI. Mastopatii. Moscow: GEOTAR-Media, 2019 (in Russian)].
- Муйжнек Е.Л., Киселев В.И., Якобс О.Э., и др. Фибросклероз и склерозирующий аденоз с микрокальцинатами в молочной железе. Молекулярный патогенез, своевременная диагностика и лечение. Исследования и практика в медицине. 2019;6(2):75-85 [Muyzhnek EL, Kiselev VI, Jakobs OE, et al. Fibrosclerosis and sclerosing adenosis with microcalcifications in the breast. Molecular pathogenesis, timely diagnosis and treatment. Research and Practical Medicine Journal. 2019;6(2):75-85 (in Russian)].
- Delaloge S, Khan SА, Wesseling J, Whelan T. Ductal carcinoma in situ of the breast: finding the balance between overtreatment and undertreatment. Lancet. 2024;403(10445):2734-46. doi: 10.1016/S0140-6736(24)00425-2
- Адырхаев А.А., Гусейнов А.З., Истомин Д.А., Хапилина О.Б. Малоинвазивные технологии в лечении кист молочных желез. Вестник новых медицинских технологий. 2006;13(1):88 [Adyrkhayev AA, Guseynov AZ, Istomin DA, Khapilina OB. Maloinvazivnyie tekhnologii v lechenii kist molochnykh zhelez. Vestnik Novykh Meditsinskikh Tekhnologii. 2006;13(1):88 (in Russian)].
- Шабаев Р.М. Малоинвазивные технологии хирургического лечения фиброзно-кистозной мастопатии с преобладанием кистозного компонента: дис. … канд. мед. наук. М., 2020 [Shabaev RM. Maloinvazivnyie tekhnologii khirurgicheskogo lecheniia fibrozno-kistoznoi mastopatii s preobladaniiem kistoznogo komponenta: dis. … kand. med. nauk. Moscow, 2020 (in Russian)].
- Chen Y, Gnyawali SС, Wu F, et al. Magnetic resonance imaging guidance for laser photothermal therapy. J Biomed Optics. 2008;13(4):33-44.
- Покуль Л.В. Природные и растительные биологические компоненты: возможности и перспективы в коррекции дисфункций молочных желез у пациенток репродуктивного возраста после тотальной овариоэктомии. Вопросы гинекологии, акушерства и перинатологии. 2014;13(2):16-22 [Pokul LV. Natural and vegetative biologically active components: possibilities and perspectives for correcting dysfunction of the mammary glands in patients of reproductive age after total oophorectomy. Voprosy Akusherstva, Ginekologii i Perinatologii. 2014;13(2):16-22 (in Russian)].
- Покуль Л.В., Чугунова Н.А. Оксидативный стресс в генезе доброкачественных дисплазий молочных желез и возможности его коррекции. Доктор.РУ. 2016;3(120):17-24 [Pokul LV, Chugunova NA. Oksidativnyi stress v geneze dobrokachestvennykh displazii molochnykh zhelez i vozmozhnosti ego korrektsii. Doctor.RU. 2016;3(120):17-24 (in Russian)].
- Прилепская В.Н., Ледина А.В. Применение гомеопатических препаратов для лечения масталгии и мастопатии. Лечащий врач. 2012;11:31-4 [Prilepskaiia VN, Ledina AV. Use of homeopathic medications for mastalgia and mastopathy treatment. Lechaschii Vrach. 2012;11:31-4 (in Russian)].
- Сотникова Л.С., Голубятникова Е.В. К вопросу эффективности терапии доброкачественной патологии молочных желез. Эффективная фармакотерапия. 2016;31:12-8 [Sotnikova LS, Golubiatnikova EV. To the Question of the Effectiveness of Therapy Benign Breast Pathology. Effektivnaia Farmakoterapiia. 2016;31:12-8 (in Russian)].
- Gélinas C, Puntillo KA, Levin P, et al. The Behavior Pain Assessment Tool for critically ill adults: A validation study in 28 countries. Pain. 2017;158:811-21.
- Хайленко В.А., Комова Д.В. Онкомаммология. М.: МЕДпресс-информ, 2015 [Khailenko VA, Komova DV. Onkomammologiia. Moscow: MEDpress-inform, 2015 (in Russian)].
- Шабаев Р.М., Колядина И.В., Благовестнов Д.А., Староконь П.М. Оценка клинической и рентгенологической эффективности нового консервативного метода лечения фиброзно-кистозной болезни. Опухоли женской репродуктивной системы. 2023;19(4):36-42 [Shabaev RM, Kolyadina IV, Blagovestnov DA, Starokon PM. Clinical and radiological efficacy of a new conservative treatment for fibrocystic disease. Tumors of Female Reproductive System. 2023;19(4):36-42 (in Russian)].
- Маммология: национальное руководство. Краткое изд. Под ред. А.Д. Каприна, Н.И. Рожковой. М.: ГЭОТАР-Медиа, 2021 [Mammologiia: natsionalnoie rukovodstvo. Kratkoe izd. Pod red. AD Kaprina, NI Rozhkovoi. Moscow: GEOTAR-Media, 2021 (in Russian)].
- Кузнецова И.В. Персональный подбор гормональной контрацепции. Гинекология. 2017;19(4):36-43 [Kuznetsova IV. Personal selection of hormonal contraception. Gynecology. 2017;19(4):36-43 (in Russian)].
- World Health Organization. Medical Eligibility Criteria for Contraceptive Use, 4th edition. Geneva: WHO, 2009. Available at: http://www.who.int/reproductive. Accessed: 12.12.2023.
- Староконь П.М., Шабаев Р.М. Хирургическое лечение фиброзно-кистозной мастопатии: современные тенденции. Вестник медицинского института «РЕАВИЗ». 2019;4:157-69 [Starokon PM, Shabaiev RM. Khirurgicheskoe lechenie fibrozno-kistoznoi mastopatii: sovremennye tendentsii. Vestnik Meditsinskogo Instituta “REAVIZ”. 2019;4:157-69 (in Russian)].
- Радзинский В.Е. Лекарственные растения в акушерстве и гинекологии. М.: Эксмо, 2008 [Radzinskii VE. Lekarstvennye rastenia v akusherstve i ginekologii. Moscow: Eksmo, 2008 (in Russian)].
- Ojeswi BK, Khoobchandani M, Hazra DK, Srivastava MM, et al. Protective effect of Thuja occidentalis against DMBA-induced breast cancer with reference to oxidative stress. Phytochem Lett. 2016;17:219-25.
- Матвеева Э.В. Асимметрия, кровоток и флюорид кальция – взгляд диагноста на репродуктивную сферу. Эффективная фармакотерапия. 2016;5(43):14-21 [Matveeva EV. Symmetry, Blood Flow and Calcium Fluoride – a Reproductive Sphere Viewed by a Diagnostician. Effektivnaia Farmakoterapiia. 2016;5(43):14-21 (in Russian)].
- Трофимова Т.Н., Солнцева И.А. Возможности эхографии в диагностике диффузной фиброзно-кистозной мастопатии. SonoAce International. 2000;6:79-84 [Trofimova TN, Solntseva IA. Vozmozhnosti ekhografii v diagnostike diffuznoi fibrozno-kistoznoi mastopatii. SonoAce International. 2000;6:79-84 (in Russian)].
- Dang B, Clewis M, Miles B, Nguyen Q. The effect of polycystic ovarian syndrome on fibrocystic breast changes in postmenopausal women. Bayl Univ Med Cent. 2024;37(3):432-6.
- Шах Б.А., Фундаро Дж.М., Мандава С. Лучевая диагностика заболеваний молочной железы. Пер. с англ. М.: БИНОМ. Лаборатория знаний, 2013 [Shakh BA, Fundaro DzhM, Mandava S. Luchevaia diagnostika zabolevanii molochnoi zhelezy. Per. s angl. Moscow:BINOM. Laboratoriia znaniy, 2013 (in Russian)].




