Laparoscopic treatment of vesicouterine fistula (a literature review and case report)
- Authors: Kholtobin D.P.1,2, Nabiev A.O.1, Nekludov S.A.1, Kulchavenya E.V.1,2,3
-
Affiliations:
- Medical Center “Avicenna”
- Novosibirsk Research Institute of Tuberculosis
- Novosibirsk State Medical University
- Issue: Vol 23, No 1 (2021)
- Pages: 97-101
- Section: CASE REPORT
- Published: 21.03.2021
- URL: https://gynecology.orscience.ru/2079-5831/article/view/63869
- DOI: https://doi.org/10.26442/20795696.2021.1.200649
- ID: 63869
Cite item
Full Text
Abstract
Urogenital fistulas are common complication of obstetric and gynecological surgery; the most common are vesicovaginal fistulas. Vesicouterine fistulas are rare, which explains the difficulties in diagnosis and treatment. The literature review and own clinical case presented in article. A 43-years-old female patient was consulted with complaint of urinary leakage from vagina, which appeared 1 month after the cesarean section and vesicouterine fistula has been diagnosed. Successful laparoscopic treatment of vesicouterine fistula was performed at the Avicenna Medical Center after 3 months. The urethral catheter was removed 7 days after surgery. At control examination after 1, 3 and 6 months, ultrasound examination of the pelvic organs confirmed the consistency of the scar on the uterus. Urination remained free and painless, the patient did not notice urine leakage. This clinical observation shows the possibility of treating a vesicouterine fistula with a laparoscopic approach with a good result and the possibility of early rehabilitation.
Full Text
Мочеполовой свищ определяют как патологическое сообщение между органами мочевыделительной и половой систем. Мочеполовые свищи могут образовываться между следующими органами: уретра и влагалище (уретро-влагалищный свищ); мочевой пузырь (МП) и влагалище (пузырно-влагалищный свищ); мочеточник и влагалище (мочеточниково-влагалищный свищ); МП и матка (пузырно-маточный свищ). Возможно также образование комбинированных мочеполовых свищей (мочеточниково-пузырно-влагалищные свищи, пузырно-прямокишечно-влагалищные свищи и т.д.) [1–3].
Характерное проявление мочеполовых свищей – постоянное непроизвольное неконтролируемое истечение мочи из влагалища. Основной причиной появления свища является травматическое воздействие на стенку МП и/или мочеточника во время гинекологических, урологических, онкологических, акушерских, проктологических, сосудистых операций. По данным мировой литературы, каждая четвертая женщина родоразрешается путем кесарева сечения, и у каждой пятой из них послеоперационный период протекает с осложнениями. Во время кесарева сечения в среднем в 2–12% случаев травмируются органы мочевой системы [4].
Другой причиной в развитых государствах является проведение лучевой терапии онкологических заболеваний органов малого таза (ОМТ). Последние чаще бывают уретровагинального или пузырно-маточного типа [5].
Генитальные свищи – тяжелое заболевание женщины, которое приводит к полиорганным нарушениям, причиняет тяжелые моральные страдания и ограничивает социальную активность. Женщины с подтеканием мочи из влагалища избегают половой жизни; у них изменяется биоценоз влагалища, что может способствовать развитию вторичной инфекции [6].
К наиболее распространенным и изученным свищам относятся пузырно-влагалищные свищи – патологическое сообщение между МП и влагалищем. М. Jóźwik и соавт. [7] в серии из 110 мочеполовых свищей, собранных с 1983 по 1994 г. в урологическом центре в Польше, сообщили о 50,9% пузырно-влагалищных, 17,3% мочеточниковых, 13,6% пузырно-маточных и 1,8% мочеточниково-кожных свищах. Пузырно-влагалищный свищ характеризуется постоянным истечением мочи из влагалища, диагностируется при осмотре при выявлении свищевого отверстия, из которого выделяется моча.
Большую проблему для диагностики и лечения представляют пузырно-маточные свищи – патологическое сообщение между МП и полостью матки, откуда моча изливается во влагалище и наружу. В 2000 г. M. Jóźwik и соавт. [8] предложили классификацию пузырно-маточных свищей, основанную на клинической картине, на 3 типа. Тип I представлен аменореей и циклической менурией без недержания мочи; тип II представлен циклической менурией, но имеет регулярные менструации и недержание мочи; тип III проявляется только недержанием мочи, без менурии и с нормальными менструациями. При типах II и III недержание мочи вызвано прохождением мочи из МП в полость матки, а оттуда через цервикальный канал и влагалище в вульву. Авторы настаивают на термине «циклическая менурия», уверяя, что это выражение правильнее отражает процесс, чем термин «циклическая гематурия», поскольку с мочой выводятся менструальная кровь, остатки эндометрия и сгустки крови [8].
В настоящее время большинство пузырно-маточных свищей являются вторичными после кесарева сечения. В обзоре, включающем отчеты с 1986 по 1997 г., 83% свищей были осложнением этой операции [9]. Предполагаются следующие механизмы формирования пузырно-маточного свища после операции кесарева сечения [1, 9–12]:
1) интраоперационно происходит разрыв МП, который хирург не замечает при ревизии раны;
2) непреднамеренное наложение шва на основание МП при ушивании матки, что может быть связано с недостаточной мобилизацией МП;
3) ненормальное кровоснабжение основания МП, вторичное по отношению к аномальному сосудистому руслу из-за множественных рассечений, обычно после повторного кесарева сечения.
Описаны и другие причины: затяжные роды, использование щипцов, нормальные роды после предыдущего кесарева сечения, оперативные вагинальные роды с помощью вакуум-экстрактора, ручное извлечение плаценты после нормальных родов у женщины, перенесшей кесарево сечение, передняя кольпорафия, абляция эндометрия, иссечение фибромы матки после спонтанного некроза фибромы матки, лучевая терапия, травма таза, артериальная эмболизация по поводу фибромы матки (в одном из случаев симптомы проявились через 1 год после процедуры), инвазия злокачественной опухоли, туберкулез, актиномикоз [1, 9, 12–25].
Заподозрить пузырно-маточный свищ можно при сочетании произвольного мочеиспускания вместе с непроизвольным выделением мочи. Так же проявляет себя пузырно-мочеточниковый свищ, когда моча из одного мочеточника выделяется во влагалище, а из другого – в МП. Для диагностики свищей используются оценка жалоб, влагалищный осмотр в зеркалах, проведение цистоскопии, при которой можно увидеть патологическое отверстие в стенке МП. Показано рентгеноурологическое обследование (внутривенная урография и цистография) и/или мультиспиральная компьютерная томография (МСКТ) с контрастированием, при которой можно увидеть истечение контраста за пределы МП или из мочеточника [10, 26].
Есть несколько сообщений о необычных клинических проявлениях. V. Lesovoy и соавт. [27] сообщили о случае «плода в МП». У 39-летней женщины во время 2-го кесарева сечения травмирован МП. Повреждение сразу заметили и ушили. Пациентка выписана с нормальным мочеиспусканием, однако 3 мес спустя у нее появились симптомы, указывающие на пузырно-маточный свищ; диагноз подтвержден с помощью цистоскопии. От предложенного хирургического лечения больная отказалась. Во время следующей беременности она госпитализирована в урологический стационар с жалобами на боль в нижней части живота и нарушение мочеиспускания. Ультразвуковое исследование показало замершую беременность на сроке гестации 11 нед внутри МП; также выявлен пузырно-маточный свищ. После цистоскопии, подтвердившей наличие свища размером 2 см, пациентка подвергнута хирургической коррекции с хорошим результатом [27]. М. Keskin и соавт. [28] сообщили о пациентке, у которой после 2-го кесарева сечения наблюдалась циклическая менурия в течение 20 лет, пока наконец не был обнаружен пузырно-маточный свищ [28]. Следует подчеркнуть, что за этот период женщина 4 раза обращалась за медицинской помощью, консультировалась с разными врачами, прежде чем был установлен верный диагноз.
В лечении пузырно-маточного свища классически используют следующие доступы: чреспузырный (ушивание свища через разрез МП) и лапаротомный (разобщение и ушивание свища со стороны брюшной полости). Ушивают отверстие в матке, на МП накладывают 2 ряда абсорбируемых швов. Основным недостатком данных доступов является их травматичность, риск развития раневых осложнений, послеоперационных вентральных грыж.
Открытая операция на брюшной полости – наиболее распространенное хирургическое лечение пузырно-маточного свища [2]. Если есть показания к гистерэктомии, ее выполняют одномоментно [26]. Если гистерэктомия не выполняется, рекомендуют расположить слой сальника между маткой и МП, чтобы уменьшить риск рецидива свища [26]. Некоторые авторы находят, что операции, выполняемые смешанными бригадами, состоящими из гинекологов и урологов, дают наилучшие результаты [29].
Современная техника позволяет выполнить ушивание пузырно-маточного свища лапароскопически, хотя конечный результат лапароскопического лечения очень зависит от опыта хирургической бригады в использовании этой техники [30]. Есть сообщения о хороших результатах коррекции вагинальным путем, опубликованы данные применения роботизированной хирургии [29–35]. Выбор метода хирургического лечения, а именно открытый абдоминальный, лапароскопический, трансвагинальный или роботизированный, зависит от местоположения свища, оснащения клиники и опыта хирурга. Если хирургическая коррекция не выполнена в первые несколько дней после кесарева сечения, рекомендуется отложить ее на 2–3 мес, до завершения инволюции матки и разрешения воспалительного процесса, связанного с образованием рубца [26]. Оптимальные условия для фистулопластики при соответствующем гигиеническом режиме больной появляются через 2,5–4,0 мес после возникновения свища. В это время уже нет воспалительного инфильтрата в окружающих свищ тканях, а интерстициальный компонент хронического цистита еще не успевает развиться [36].
Есть сообщения о консервативном лечении и самопроизвольном излечении. M. Jóźwik и соавт. [7] в своем обзоре приводят 29 случаев спонтанного разрешения (исключая отчеты XIX в.), включая их собственный случай. Доля самопроизвольного излечения составила 5,1% от всех случаев, обнаруженных в литературе (41/796). Вероятность излечения при консервативном подходе снижается при недержании мочи [9].
О.Б. Лоран и соавт. [37] подчеркивают, что результаты лечения определяются отсутствием единых подходов к определению сроков выполнения операции, выбору операционного доступа и методики вмешательства, ведению послеоперационного периода у данной категории больных, разным уровнем оснащения учреждений и квалификации медицинского персонала.
Представляем собственное клиническое наблюдение пациентки с пузырно-маточным свищом.
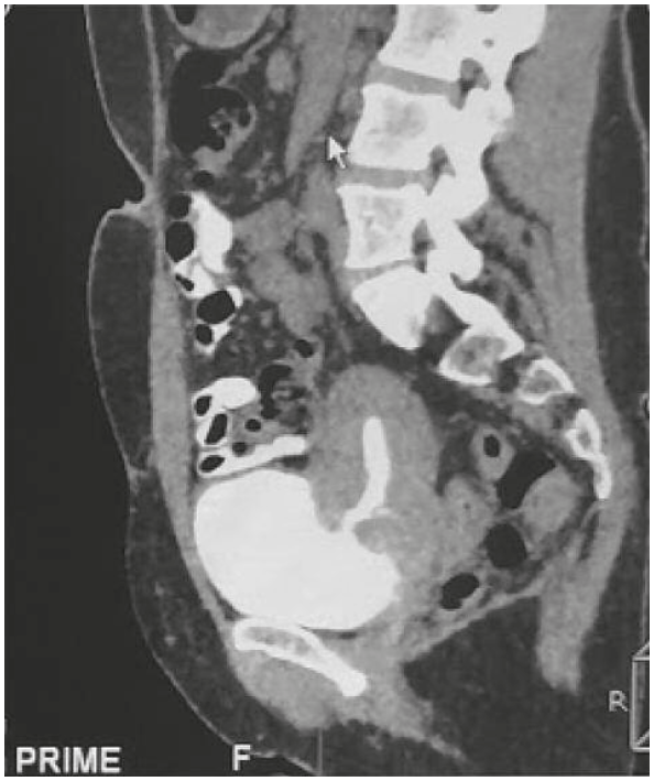
Пациентка 43 лет. Через 1 мес после оперативного родоразрешения появилось непроизвольное выделение мочи из влагалища; пациентка использовала 3–5 урологических прокладок в день. Самопроизвольное мочеиспускание присутствовало. Изначально симптомы расценены как проявление стрессового недержания мочи. Однако при осмотре заподозрен пузырно-влагалищный свищ, рекомендовали оперативное лечение по прошествии 4 мес с момента появления симптомов. Пациентка обратилась за вторым мнением в МЦ «Авиценна», Новосибирск. Детальное изучение анамнеза и жалоб, отсутствие свищевого отверстия на стенке влагалища позволили отвергнуть первичный диагноз и заподозрить пузырно-маточный свищ. Выполнена МСКТ с болюсным контрастированием. В отсроченную фазу визуализировались МП, полость матки и свищевой ход между МП и полостью матки (рис. 1).
Рис. 1. МСКТ пациентки. МП достаточного наполнения, просвет контрастирован полностью. Стенки не утолщены. Определяется дефект задней стенки МП размером около 7¥3 мм (сагиттальный × поперечный), с наличием свищевого хода протяженностью до 12 мм, сообщающегося с дефектом миометрия в передней стенке тела матки на уровне нижней трети, размером около 4¥7 мм (сагиттальный × поперечный); наиболее вероятно, в области рубца после кесарева сечения. Полость матки заполнена контрастным веществом.
Fig. 1. Patient’s MSCT. The bladder is sufficiently full; the lumen is completely contrasted. The walls are not thickened. There is a defect in the posterior wall of the bladder measuring 7¥3 mm (sagittal × transverse) with a fistulous passage of 12 mm, communicating with a defect in the myometrium in the anterior wall of the uterus at the lower third, measuring about 4¥7 mm (sagittal × transverse); most likely in the area of the scar after a cesarean section. The uterine cavity is filled with a contrast agent.
Пациентке рекомендовали оперативное лечение – лапароскопическое разобщение и ушивание свища через 3 мес после появления симптомов, и в означенные сроки она поступила в МЦ «Авиценна», Новосибирск.
Ход операции. Установка троакаров была традиционная для операций на ОМТ. Первый оптический троакар установили в области пупка, два троакара установили в левой подвздошной области, и еще один – в правой подвздошной области. Для операции использовали 30-градусную оптику.
При осмотре спаечный процесс в брюшной полости не выражен, однако в области свища визуализировалось выраженное воспаление. Рассекли брюшину в области пузырно-маточной складки, дальнейшее выделение производили тупым и острым путем при помощи ультразвукового диссектора и хирургического аспиратора-ирригатора (рис. 2). В процессе разделения вскрыт МП в области свища и вскрыта матка в области передней стенки. Дефект стенки матки ушит двумя рядами швов непрерывным швом нитью «Стратофикс» 3-0 (рис. 3). МП осмотрен со стороны слизистой, иной локализации свища не выявлено. Произведено ушивание стенки МП двухрядным непрерывным швом нитью «Стратофикс» 3-0 (рис. 4, 5). Осуществлен контроль гемостаза, снят карбоксиперитонеум, удалены рабочие и оптический троакары, ушит дефект в области пупочного кольца, швы на кожные раны. Дренирование МП осуществлялось уретральным катетером Фолея №20. В послеоперационном периоде проводили профилактику тромбоэмболических осложнений, обезболивание парентеральными анальгетиками.
Рис. 2. Воспалительные ткани в области свища.
Fig. 2. Inflammatory tissue in the fistula area.
Рис. 3. Ушита стенка матки (по типу метропластики).
Fig. 3. The wall of the uterus is sutured (by the type of metroplasty).
Рис. 4. Первые швы на стенку МП.
Fig. 4. The first seams on the bladder wall.
Рис. 5. Окончательный вид после ушивания МП и матки.
Fig. 5. The final view after suturing the bladder and uterus.
После удаления уретрального катетера на 7-е сутки у пациентки восстановилось произвольное мочеиспускание без неконтролируемого истечения мочи из влагалища. При контрольном обследовании через 1, 3 и 6 мес ультразвуковое исследование ОМТ подтвердило состоятельность рубца на матке. Мочеиспускание оставалось свободным и безболезненным, подтекания мочи пациентка не отмечала.
Это клиническое наблюдение показывает возможность лечения пузырно-маточного свища щадящим лапароскопическим доступом с хорошим результатом и возможностью ранней реабилитации пациентки. Безусловно, следует стремиться избегать ранения МП при выполнении кесарева сечения в нижнем маточном сегменте, но если это все же произошло и сформировался пузырно-маточный свищ, через 3–4 мес следует ушить свищ, оптимально – посредством малоинвазивного лапароскопического доступа. Лечение пузырно-маточных свищей заключается в разобщении между собой МП и матки с ушиванием сформированных дефектов абсорбируемой нитью. Для успешного ушивания свища необходимо выполнение следующих условий: соблюдение срока операции (срок между появлением свища и операцией должен составлять не менее 3 мес), бережное обращение с тканями, прецизионное разделение слоев без использования электрохирургии, сохранная емкость (растяжимость) МП, минимальное экономное иссечение патологических тканей свищевого хода. При ушивании дефекта в матке следует придерживаться принципа метропластики: ушивание дефекта двухрядным швом рассасывающимся шовным материалом. МП ушивается двумя рядами швов абсорбируемой нитью. При ушивании дефекта МП используются как непрерывный, так и одиночные Z-образные швы. После операции осуществляется дренирование МП уретральным катетером на протяжении 5–7 дней. Срок госпитализации пациенток с данной патологией минимальный. В лечении пузырно-маточных свищей следует отдавать предпочтение щадящему лапароскопическому доступу.
Конфликт интересов. Авторы заявляют об отсутствии конфликта интересов.
Conflict of interests. The authors declare no conflict of interests.
About the authors
Denis P. Kholtobin
Medical Center “Avicenna”; Novosibirsk Research Institute of Tuberculosis
Author for correspondence.
Email: urology-avicenna@mail.ru
ORCID iD: 0000-0001-6645-6455
Cand. Sci. (Med.)
Russian Federation, NovosibirskAziz O. Nabiev
Medical Center “Avicenna”
Email: aziz-nabiev@inbox.ru
ORCID iD: 0000-0002-7927-3487
urologist
Russian Federation, NovosibirskSergey A. Nekludov
Medical Center “Avicenna”
Email: doctor3000@yandex.ru
ORCID iD: 0000-0003-4332-6177
urologist, andrologist
Russian Federation, NovosibirskEkaterina V. Kulchavenya
Medical Center “Avicenna”; Novosibirsk Research Institute of Tuberculosis; Novosibirsk State Medical University
Email: urotub@yandex.ru
ORCID iD: 0000-0001-8062-7775
D. Sci. (Med.), Prof.
Russian Federation, NovosibirskReferences
- Jóźwik M, Jóźwik M, Lotocki W. Vesicouterine fistula – an analysis of 24 cases from Poland. Int J Gynaecol Obstet 1997; 57 (2): 169–72. doi: 10.1016/S0020-7292(97)02837-3
- Machado Junior RA, Machado Junior LC, Lourenço LLE. Vesicouterine Fistula (Youssef Syndrome): Case Report and Literature Review. Rev Bras Ginecol Obstet 2018; 40 (9): 563–9. doi: 10.1055/s-0038-1666998
- Пушкарь Д.Ю., Раснер П.И., Гвоздев М.Ю. Мочеполовые свищи. Рус. мед. журн. 2013; 34: 2–8 [Pushkar’ D.Iu., Rasner P.I., Gvozdev M.Iu. Mochepolovye svishchi. Rus. med. zhurn. 2013; 34: 2–8 (in Russian)].
- Буянова С.Н., Юдина Н.В., Барто Р.А. Редкие осложнения кесарева сечения – пузырно-маточные свищи. Рос. вестн. акушера-гинеколога. 2018; 18 (3): 83–7 [Buianova S.N., Iudina N.V., Barto R.A. Redkie oslozhneniia kesareva secheniia – puzyrno-matochnye svishchi. Ros. vestn. akushera-ginekologa. 2018; 18 (3): 83–7 (in Russian)].
- Berek JS. Berek and Novak’s Gynecology. 15th ed. Philadelphia, PA: Lippincott Williams&Wilkins, 2012.
- Смирнова Т.А., Новодворская О.Д. Генитальные свищи в практике акушера-гинеколога. Медицинский журн. 2016; 2: 145–8 [Smirnova T.A., Novodvorskaia O.D. Genital’nye svishchi v praktike akushera-ginekologa. Meditsinskii zhurn. 2016; 2: 145–8 (in Russian)]
- Jóźwik M, Jóźwik M. Spontaneous closure of vesicouterine fistula. Account for effective hormonal treatment. Urol Int 1999; 62 (3): 183–7. doi: 10.1159/000030388
- Józwik M, Józwik M. Clinical classification of vesicouterine fistula. Int J Gynaecol Obstet 2000; 70 (3): 353–7. doi: 10.1016/S0020-7292(00)00247-2
- Yip SK, Leung TY. Vesicouterine fistula: an updated review. Int Urogynecol J Pelvic Floor Dysfunct 1998; 9 (5): 252–6. doi: 10.1007/BF01901500
- Ali-El-Dein B, El-Tabey N, El-Hefnawy A, et al. Diagnosis, treatment and need for hysterectomy in management of postcaesarean section vesicouterine fistula. Scand J Urol 2014; 48 (5): 460–5. doi: 10.3109/21681805.2014.903511
- Ikechebelu JI, Ugboaja JO, Okeke CF. Post-cesarean vesicouterine fistula (Youssef syndrome): report of two cases. J Obstet Gynaecol Res 2011; 37 (7): 912–5. doi: 10.1111/j.1447-0756.2010.01428.x
- Czerwiński F, Pilarczyk K, Kozik W. Vascularization of the posterior wall of the urinary bladder in women after past cesarean section in light of microangiographic studies. Ginekol Pol 1992; 63 (8): 398–403 (in Polish).
- Hodonou R, Hounnasso PP, Biaou O, Akpo C. Vesicouterine fistula: report on 15 cases at Cotonou University Urology Clinic. Prog Urol 2002; 12 (4): 641–5 (in French).
- Rao MP, Dwivedi US, Datta B, et al. Post caesarean vesicouterine fistulae – Youssef syndrome: our experience and review of published work. ANZ J Surg 2006; 76 (4): 243–45. doi: 10.1111/j.1445-2197.2006.03591.x
- Nouira Y, Feki W, Rhouma SB, et al. Vesicouterine fistula as a complication of forceps delivery: a case report. Int Urogynecol J Pelvic Floor Dysfunct 2005; 16 (6): 512–4. doi: 10.1007/s00192-005-1288-3
- Kaaki B, Gyves M, Goldman H. Spontaneous intrapartum vesicouterine fistula. Obstet Gynecol 2006; 107 (2 Pt 2): 449–50. doi: 10.1097/01.AOG.0000164053.46449.46
- Majeed SM, Subhani SS. An unusual case of Youssef’s syndrome (vesicouterine fistula) and its relationship with placenta percreta. J Coll Physicians Surg Pak 2007; 17 (3): 168–9.
- Setúbal A, Clode N, Bruno-Paiva JL, et al. Vesicouterine fistula after manual removal of placenta in a woman with previous cesarean section. Eur J Obstet Gynecol Reprod Biol 1999; 84 (1): 75–6. doi: 10.1016/S0301-2115(98)00305-4
- Le Mer A. Fistule vésico-utérine après basiotrypsie. Cure chirurgicale. Guérison (à propos d’un cas). J Urol Nephrol (Paris) 1968; 74 (6): 481–3.
- Rooney KE, Cholhan HJ. Vesico-uterine fistula after endometrial ablation in a woman with prior cesarean deliveries. Obstet Gynecol 2010; 115 (2 Pt 2): 450–1. doi: 10.1097/AOG.0b013e3181c846eb
- Okafor PIS, Orakwe JC, Mbonu OO. Cyclical haematuria sequel to uterine myomectomy: a case report. West Afr J Med 2002; 21 (4): 341–2.
- Fridman D, Chakraborty S, Khulpateea N. Fistula between degenerated uterine leiomyoma and the bladder: case report. Int Urogynecol J Pelvic Floor Dysfunct 2011; 22 (10): 1329–31. doi: 10.1007/s00192-011-1414-3
- Sultana CJ, Goldberg J, Aizenman L, Chon JK. Vesicouterine fistula after uterine artery embolization: a case report. Am J Obstet Gynecol 2002; 187 (6): 1726–7. doi: 10.1067/mob.2002.128989
- Price N, Golding S, Slack RA, Jackson SR. Delayed presentation of vesicouterine fistula 12 months after uterine artery embolisation for uterine fibroids. J Obstet Gynaecol 2007; 27 (2): 205–7. doi: 10.1080/01443610601157273
- Javali T, Kasaraneni D, Banale K, et al. Vesicouterine fistula and concomitant ureteric necrosis following uterine artery embolization for fibroid uterus. Int Urogynecol J Pelvic Floor Dysfunct 2015; 26 (12): 1877–8. doi: 10.1007/s00192-015-2764-z
- Porcaro AB, Zicari M, Antoniolli SZ, et al. Vesicouterine fistulas following cesarean section: report on a case, review and update of the literature. Int Urol Nephrol 2002; 34 (3): 335–44. doi: 10.1023/A:1024443822378
- Lesovoy V, Parashchuk Y, Shchukin D, et al. Fettus in the bladder: rare complication of vesicouterine fistula. Case Rep Med 2016; 2016: 5750710.
- Keskin MZ, Budak S, Can E, İlbey YÖ. Incidentally diagnosed post-cesarean vesicouterine fistula (Youssef’s syndrome). Can Urol Assoc J 2015; 9 (11–12): E913-E915. doi: 10.5489/cuaj.3258
- Kottász S, Gergely I. Successful pregnancy after surgical repair of vesico-uterine fistula. Int Urol Nephrol 1986; 18 (3): 289–98. doi: 10.1007/BF02082716
- Maioli RA, Macedo AR, Garcia AR, et al. Laparoscopic repair for vesicouterine fistulae. Int Braz J Urol 2015; 41 (5): 1030–1.
- Ramalingam M, Senthil K, Pai M, Renukadevi R. Laparoscopic repair of vesicouterine fistula – a case report. Int Urogynecol J Pelvic Floor Dysfunct 2008; 19 (5): 731–3. doi: 10.1007/s00192-007-0480-z
- Das Mahapatra P, Bhattacharyya P. Laparoscopic intraperitoneal repair of high-up urinary bladder fistula: a review of 12 cases. Int Urogynecol J Pelvic Floor Dysfunct 2007; 18 (6): 635–9. doi: 10.1007/s00192-006-0215-6
- Jundt K, Gauruder-Burmester A, Wildt B, Tunn R. Vaginal repair of a vesico-uterine fistula type I (Jozwik) after caesarean section. Zentralbl Gynakol 2004; 126 (4): 286–8. doi: 10.1055/s-2004-822839
- Alamoudi OJ, AlTheneyan MA, Aldhaam N, Moazin M. Early robotic repair of vesicouterine fistula. A case report and literature review. Urol Case Rep 2017; 11: 76–8. doi: 10.1016/j.eucr.2017.01.006
- Perveen K, Gupta R, Al-Badr A, Hemal AK. Robot-assisted laparoscopic repair of rare post-cesarean section vesicocervical and vesicouterine fistula: a case series of a novel technique. Urology 2012; 80 (2): 477–82. doi: 10.1016/j.urology.2012.04.027
- Будревич А.Е., Нечипоренко Н.А. Пузырно-влагалищные свищи: проблемы лечения и профилактики. Журн. Гродненского государственного медицинского университета. 2006; 2: 44–7 [Budrevich A.E., Nechiporenko N.A. Puzyrno-vlagalishchnye svishchi: problemy lecheniia i profilaktiki. Zhur. Grodnenskogo gosudarstvennogo meditsinskogo universiteta. 2006; 2: 44–7 (in Russian)].
- Лоран О.Б., Серегин А.В., Довлатов З.А. Влияние характеристик мочеполового свища на результаты оперативного лечения у женщин. Медицина и образование в Сибири. 2015; 5: 29 [Loran O.B., Seregin A.V., Dovlatov Z.A. Vliianie kharakteristik mochepolovogo svishcha na rezul’taty operativnogo lecheniia u zhenshchin. Meditsina i obrazovanie v Sibiri. 2015; 5: 29 (in Russian)].
Supplementary files








