Abdominal pregnancy: two cases of critical obstetric conditions with different perinatal outcomes. Case report
- Authors: Belokrinitskaya T.E.1, Frolova N.I.1, Kustova A.A.2, Nikolaeva E.Y.2, Zolotukhina A.O.3, Barkan T.M.4, Byshina N.N.4
-
Affiliations:
- Chita State Medical Academy
- Regional Clinical Hospital
- Transbaikal Regional Pathoanatomical Bureau
- Clinical Hospital ”RZD-Medicine”
- Issue: Vol 27, No 1 (2025)
- Pages: 81-86
- Section: CLINICAL CASE
- Published: 01.03.2025
- URL: https://gynecology.orscience.ru/2079-5831/article/view/646279
- DOI: https://doi.org/10.26442/20795696.2025.1.203143
- ID: 646279
Cite item
Full Text
Abstract
Abdominal pregnancy (AP) is rare and is associated with high rates of maternal and perinatal mortality compared to other ectopic pregnancies (EP). Despite using advanced imaging techniques in prenatal diagnosis, diagnosing and treating AP remain challenging. Progressive advanced AP may remain undiagnosed for a long time due to the absence of specific clinical symptoms, errors in the interpretation of echographic patterns by radiologists, and a lack of alertness due to the rarity of this type of EP. This article describes two authors' observations of AP that resulted in critical obstetric conditions due to massive blood loss. The first case of AP in a pluripara patient concluded at week 34 with live birth and hysterectomy for placenta ingrowth (PAS2). In the second case, the AP was terminated early. In both patients, the trophoblast was implanted on the uterus; there were no known risk factors for EP, and the diagnosis of AP was established intraoperatively. According to modern Russian and foreign literature, in most cases, EP is diagnosed intraoperatively due to the lack of a standard algorithm for diagnosis and treatment. Standardization of treatment guidelines for AP trimesters II and III, perioperative treatment options, and postoperative management, based on a summary of all cases reported worldwide, could reduce the risk of maternal and fetal complications and mortality.
Full Text
Внематочная беременность (ВБ) – одна из ведущих причин материнской смертности в I триместре: на нее приходится, по данным зарубежных авторов, 5–10% всех смертей, связанных с беременностью [1, 2], в России показатель составил в 2020 г. 4,97%, в 2022 г. – 2,94% [3].
В то время как с течением времени смертность от ВБ постепенно снижается в развитых странах, включая Россию, Великобританию, США [1–3], в странах Африки и Латинской Америки эктопическая беременность (ЭБ) по-прежнему остается причиной значительной материнской заболеваемости и смертности [4].
В современной клинической практике среди редких форм ЭБ, частота которых достигает 5–8,3%, абдоминальная, или брюшная, беременность (ББ) занимает особое место ввиду высокого риска тяжелой материнской заболеваемости и смертности и перинатальных потерь. Уровень материнской смертности при ББ колеблется от 0,5 до 20% [5–7]. Это обусловлено развитием массивного жизнеугрожающего кровотечения, диссеминированного внутрисосудистого свертывания крови, непроходимостью или перфорацией кишечника, повреждением печени, селезенки, магистральных сосудов и нервных сплетений в результате инвазии плаценты [3, 8–11]. Актуальность проблемы заключается также в том, что за последние годы в мире регистрируется все больше случаев ББ различных сроков (от 0,6 до 4%), в том числе доношенной [12]. При этом авторы подчеркивают, что при ББ даже в поздние сроки отсутствуют специфические клинические симптомы, частота диагностических ошибок при ультразвуковом исследовании (УЗИ) очень высока – от 50–60 до 100%, что приводит к задержке в постановке диагноза и повышению риска материнской смертности, которая при ББ значительно выше, чем при беременности других локализаций: в 7–8 раз выше, чем при трубной, в 90 раз выше, чем при маточной [6, 10, 12–17]. Случаи выживания плода при сохраненной ББ редки (до 20%) [12], зачастую происходит антенатальная гибель [18]. Согласно многочисленным источникам, от 21 до 90% выживших детей имеют серьезные врожденные дефекты из-за сдавления плода вследствие отсутствия амниотической жидкости и защитного действия миометрия, а также сосудистые нарушения. Из врожденных аномалий наиболее часто регистрируются уплощение головы, асимметрия лица или черепа, кривошея, пороки развития грудной клетки, дефекты конечностей, аномалии суставов или пороки развития центральной нервной системы. Высокая частота дефектов развития и заболеваемости младенцев от ББ обусловливает высокий показатель перинатальной смертности – от 40 до 83–95% [16, 19, 20].
Представляем описание двух собственных клинических наблюдений ББ, по совпадению произошедших в один день в разных медицинских организациях.
Клинический случай 1
Пациентка, 38 лет, соматические заболевания: эндемический узловой зоб 2-й степени, эутиреоз; хроническая железодефицитная и B12-дефицитная анемия; хронический пиелонефрит, ремиссия; хроническая болезнь почек 1-й степени. В анамнезе 3 неосложненных родов в срок, 1 медикаментозный аборт. Состояла на учете по поводу настоящей беременности со срока 8–9 нед. В 11 нед гестации отмечала боли внизу живота, выставлен диагноз угрожающего самопроизвольного выкидыша, проведена терапия микронизированным прогестероном по 200 мг интравагинально до срока 16 нед. Пренатальные скрининговые обследования выполнены согласно действующему алгоритму ведения беременности [21]. Заключение 1-го пренатального скрининга: УЗИ-признаки двурогой матки (выявлено впервые. – Прим. авт.), свободная жидкость в малом тазу (МТ), срок беременности 13+2 нед, высокий риск трисомии по 21-й хромосоме (1:12). В условиях информированного согласия произведена биопсия хориона, по результату цитогенетического исследования кариотип плода 46ХХ. На 2-м скрининговом УЗИ на сроке гестации 20+3 нед диагностировано неполное предлежание плаценты. Учитывая предстоящие 4-е роды, врожденные аномалии развития (ВАР) матки, неполное предлежание плаценты, проживание в районе края, отдаленном от акушерских стационаров 3-го уровня, для определения маршрутизации выполнено УЗИ в 28 нед, которое выявило полное предлежание плаценты. Согласно региональной маршрутизации пациентка направлена в отделение акушерского ухода в административный центр края – г. Читу, где находилась с диагнозом: беременность 28 нед, отягощенный акушерский анамнез, ВАР полового аппарата: двурогая матка, полное предлежание плаценты, гестационный сахарный диабет, обострение хронической железодефицитной и B12-дефицитной анемии легкой степени тяжести.
В 33 нед гестации пациентка госпитализирована в акушерский стационар 3-го уровня. Через неделю пребывания в перинатальном центре у женщины возникла опоясывающая боль в верхних отделах живота, тошнота. Выполнены УЗИ и ультразвуковая допплерография: положение плода поперечное, головка плода слева, индекс амниотической жидкости 29 мм, плацента по задней стенке перекрывает внутренний зев; нарушений маточно-плацентарного и плодово-плацентарного кровотока не выявлено; признаки увеличения размеров желчного пузыря. В биохимическом и общем анализах крови, общем анализе мочи отклонений от референсных значений не зарегистрировано. Осмотрена хирургом, выставлен диагноз «МКБ К59. Кишечная колика», назначен прием спазмолитиков.
Учитывая маловодие, предлежание плаценты, сохраняющийся абдоминальный болевой синдром, для динамической оценки клинической ситуации на следующий день выполнено акушерское УЗИ и выявлены абсолютное маловодие (индекс амниотической жидкости 0); предлежание плаценты с признаками врастания, поперечное положение плода, размеры которого соответствовали 32–33 нед гестации.
Исходя из абсолютного маловодия, предлежания и врастания плаценты, некупируемых ноющих болей в животе при сроке беременности 33–34 нед [22] коллегиально в условиях информированного согласия пациентки принято решение о родоразрешении операцией кесарева сечения в порядке срочности. Согласно клиническим рекомендациям «Патологическое прикрепление плаценты (предлежание и врастание плаценты)» (2023 г.) в условиях соблюдения принципа хирургической безопасности и готовности к применению кровесберегающих технологий (заявка на реинфузию, готовность Cell Saver, оповещение трансфузиолога) выполнена нижнесрединная лапаротомия [22]. При вскрытии брюшной полости (БП) вскрылся плодный пузырь, который интимно прилежал к брюшине (рис. 1). За предлежащие к ране ножки плода без технических трудностей извлечена живая девочка с признаками недоношенности c оценкой по шкале Апгар 6 и 7 баллов на 1 и 5-й мин соответственно, массой 2190 г и длиной тела 43 см.
Рис. 1. БП вскрыта, одновременно вскрылся плодный пузырь, интимно прилежащий к брюшине. К ране предлежат ножки плода.
Fig. 1. The abdominal cavity is opened, at the same time the amniotic sac intimately adjacent to the peritoneum is opened. The legs of the fetus are presented to the wound.
При ревизии органов брюшной полости (ОБП) обнаружено: тело матки соответствует 16 нед беременности, плацента имплантирована на задней наружной поверхности матки, занимая дно и правое ребро (рис. 2). Амниотические оболочки интимно спаяны с широкой маточной связкой справа, брюшиной МТ, сальником, брыжейкой толстой кишки. По решению интраоперационного консилиума в составе членов операционной бригады и подключившихся онлайн главных внештатных специалистов региона и федерального округа произведена экстирпация матки с вросшей плацентой без придатков, фрагменты амниотической оболочки по возможности максимально удалены с кишечника, сальника, брюшины ОБП (рис. 3, 4). Кровопотеря составила 3000 мл, произведена реинфузия крови аппаратом Cell Saver в объеме 788 мл, трансфузия 1100 мл свежезамороженной плазмы, инфузия кристаллоидов 2000 мл. После операции уровень гемоглобина составил 112,7 г/л (норма метода 125,0–163,0 г/л), количество эритроцитов 3,62×1012/л (норма 4,06–5,63). В пуэрперальном периоде у матери осложнений не отмечено. У младенца не выявлено деформаций и врожденных аномалий развития, в неонатальном периоде получал лечение по поводу перинатального поражения центральной нервной системы смешанного генеза.
Рис. 2. Макропрепарат матки с вросшей плацентой: a – операционный; b – после фиксации: ЭБ с локализацией в БП, имплантацией в области дна и правого угла матки, пуповина отходит от центральной части плаценты.
Fig. 2. Gross specimen of the uterus with ingrown placenta: a – surgical specimen; b – after fixation: ectopic pregnancy in abdominal cavity; implantation in the fundus and right corner of the uterus; the umbilical cord extends from the central part of the placenta.
Рис. 3. Макропрепарат матки на разрезе: матка имеет правильную форму (ВАР не подтверждены), имеется врастание плаценты в миометрий.
Fig. 3. Gross specimen of the uterus (cross-section): The uterus is of the correct shape (no congenital abnormalities of the uterus were found); there is a placenta ingrowth into the myometrium.
Рис. 4. Макропрепарат: пенетрация плацентой стенки матки.
Fig. 4. Gross specimen: placental penetration of the uterine wall.
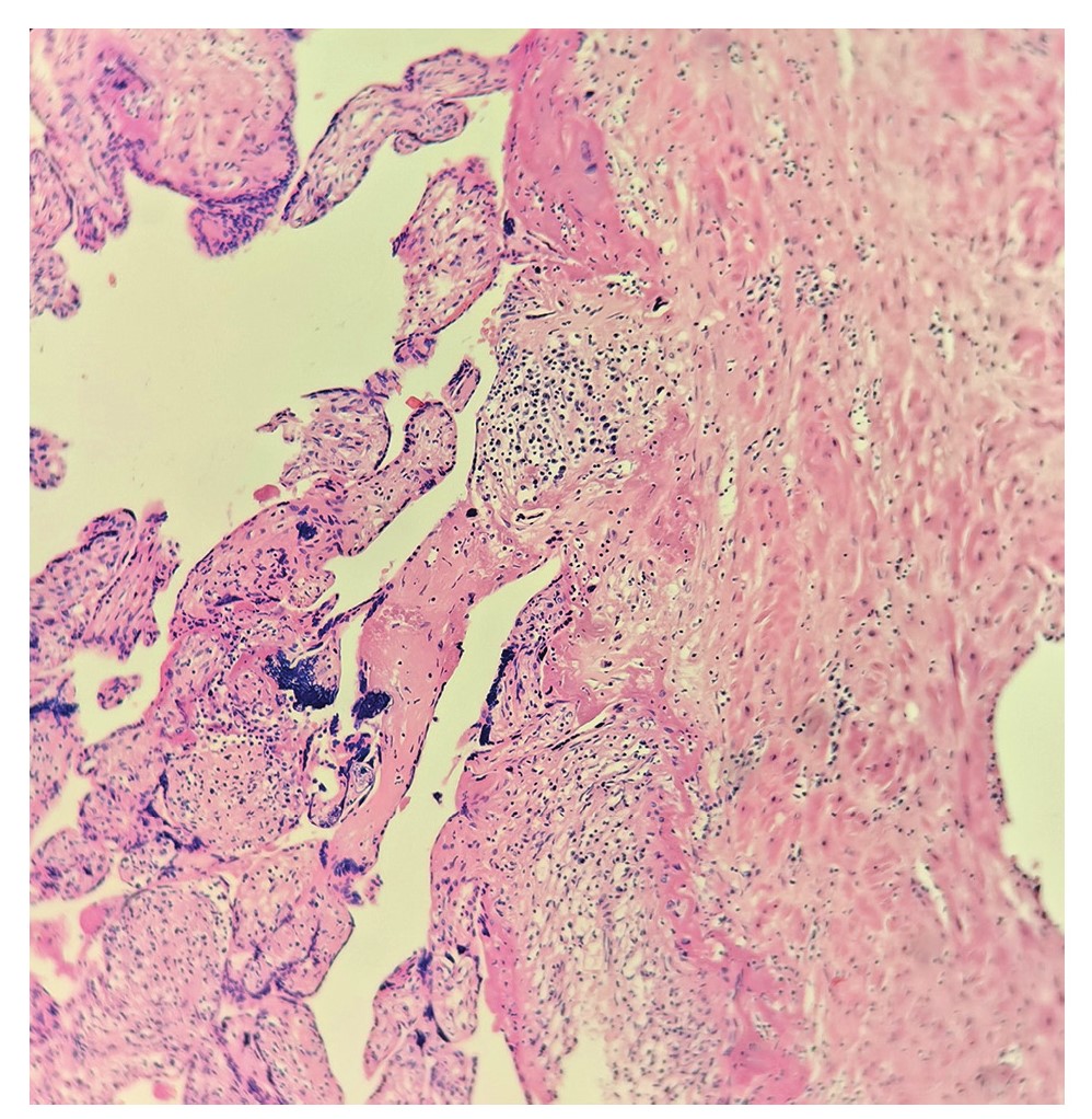
Гистологическое заключение по матке: в области патологической имплантации определяется широкая зона фибриноидного некроза с вовлечением сосудов и мышечной ткани, плацентарная ткань в большом количестве пенетрирует мышечные волокна, подрастая на отдельных участках к эндометрию, часть ворсин замурована в большое количество фибрина (рис. 5). Перифокально отмечается лимфоидно-лейкоцитарная реактивная инфильтрация, кровоизлияния. Эндометрий с десквамацией, железы и строма с неполноценной гравидарной трансформацией, очаговой лимфоидно-лейкоцитарной инфильтрацией. Мышечные волокна миометрия неравномерно гипертрофированы, с умеренно выраженными дистрофическими изменениями миоцитов и резко выраженным интерстициальным отеком, разрастанием соединительной ткани между волокнами. Сосуды с утолщенной фиброзированной стенкой. Серозная оболочка отечная, с мелкоочаговыми кровоизлияниями. Патоморфологический диагноз: ЭБ (34+4 нед гестации по клиническим данным) с локализацией в БП, имплантацией в области дна и правого угла матки, гистопатические изменения миометрия.
Рис. 5. Микропрепарат: место имплантации (окраска гематоксилин-эозином, ×250).
Fig. 5. Slide: implantation site (hematoxylin-eosin stain, ×250).
Клинический случай 2
В дежурный многопрофильный стационар поступила пациентка, 30 лет, с жалобами на интенсивные боли в нижних отделах живота, больше справа, головокружение, возникшие внезапно рано утром среди полного здоровья. Соматически здорова. В анамнезе одна беременность, роды 7 лет назад без осложнений. Гинекологические заболевания: хронический цервицит, радиоволновая аблация 2 года назад. С целью реализации репродуктивных планов прошла прегравидарную подготовку и 2 мес назад отменила контрацепцию. Последняя менструация началась в срок, 25 дней назад, длилась 4 дня, как обычно. Состояние при поступлении средней степени тяжести, положение вынужденное, обусловленное болями в животе. Кожные покровы бледные, артериальное давление 100/60 мм рт. ст., пульс 85 в минуту, шоковый индекс 0,85. Живот при пальпации болезненный в нижних отделах, больше справа, перитонеальные симптомы сомнительные. Гемоглобин 96 г/л. Выполнено УЗИ ОБП и ОМТ: патологических изменений, беременности, свободной жидкости не обнаружено. В экстренном порядке взята в операционную хирургами с диагнозом «острый аппендицит? внутрибрюшное кровотечение? геморрагический шок 1-й степени, острая постгеморрагическая анемия легкой степени тяжести». В условиях эндотрахеального наркоза выполнена лапароскопия: в БП во всех отделах около 1000 мл сгустков крови и небольшое количество свежей крови, при ревизии установлено, что источник кровотечения находится в МТ. В операцию включился акушер-гинеколог: матка округлая, мягковатой консистенции, обычного цвета. По передней поверхности матки ближе к левому ребру и перешейку обнаружен кратерообразный дефект серозной оболочки и поверхностного слоя миометрия, заканчивающийся слепо‚ из которого интенсивно истекает алая кровь. В ложе дефекта небольшое количество ткани, подобной хориальной: удалена. Произведен гемостаз. Фаллопиевы трубы, правый яичник без анатомических изменений. Левый яичник с желтым телом до 2,5 см в диаметре. Диагноз после операции: «прервавшаяся эктопическая ББ с имплантацией на матке, киста желтого тела левого яичника, геморрагический шок 1-й степени, острая постгеморрагическая анемия легкой степени тяжести». Уровень β-ХГЧ в день операции составил 75 800 мМЕ/мл (референсные значения для небеременных женщин 0–5,0 мМЕ/мл), при последующей динамической оценке прогрессивно кратно снижался. Гистологическое исследование операционного материала подтвердило наличие ЭБ. На 3-и сутки послеоперационного периода возникли обильные кровянистые выделения из матки; при УЗИ эндометрий толщиной 15 мм, аваскулярный, однородный на всем протяжении – произведена вакуум-аспирация с положительным клиническим эффектом. Патоморфологическое заключение: децидуальная ткань. В дальнейшем послеоперационный период протекал без осложнений на фоне постгеморрагической анемии легкой степени (гемоглобин 102 г/л), получала терапию препаратами железа.
Обсуждение
Представленные два случая ББ относятся к категории критических акушерских состояний [23] и имеют различные исходы для матери и потомства. В первом случае ББ развилась ситуация near miss: массивная кровопотеря (3000 мл), гистерэктомия по жизненным показаниям, но получено живое потомство; во втором – имплантация плодного яйца на матке, прерывание беременности в ранние сроки с кровопотерей более 1000 мл, оперативное лечение с сохранением репродуктивного органа. У обеих пациенток трофобласт имплантирован на матку и отсутствуют хорошо известные и широко описанные в литературе факторы риска эктопической ББ: предшествующие операции на матке и маточных трубах, воспалительные заболевания ОМТ, выскабливание полости матки, ВБ в анамнезе, экстракорпоральное оплодотворение, наличие внутриматочного контрацептива [3, 7, 12]. В первом случае у матери диагностирована хроническая железодефицитная анемия – по заключению масштабного исследования S. Zhang и соавт. (2023 г.), значимый фактор риска эктопической, в том числе ББ [2]. Авторы признают, что необходимы дальнейшие фундаментальные исследования, чтобы проверить, способствует ли дефицит железа или других микроэлементов развитию ЭБ [2].
Описанные в литературе клинические проявления ББ малого срока обычно характерны для прервавшейся ЭБ: у большинства наблюдались аменорея (91,2%), острые боли в животе, обусловленные разрывом эктопии (92,4%), и последующие кровянистые выделения из матки [2, 8, 12]. В представленном нами клиническом наблюдении №2 задержка менструации и аменорея не отмечены, однако уровень β-ХГЧ 75 800 мМЕ/мл свидетельствовал о беременности сроком не менее 5 нед.
При анализе источников литературы с описанием случаев ББ сделано заключение, что прогрессирующая ББ поздних сроков долгое время может оставаться недиагностированной ввиду отсутствия специфических клинических симптомов и ошибок в интерпретации эхографических картин специалистами лучевой диагностики.
По данным ряда авторов, болевой синдром отмечался во всех случаях ББ, однако его характер неспецифичен: в большинстве случаев беременности III триместра отмечались стойкие, не купирующиеся медикаментозно боли в животе или надлобковой области (100%), сопровождающиеся желудочно-кишечными симптомами, такими как тошнота и рвота (70%), реже – болезненные движения плода и легко прощупываемые части плода (40%) [7, 12]. Данные симптомы нередко принимаются за экстрагенитальную и хирургическую патологию, а диагноз ББ поздних сроков в 40–60% выявляется только интраоперационно, причем нередко показаниями для операции служат клиника острого живота и геморрагический шок [24, 25].
Частота ошибок в диагностике ББ при УЗИ колеблется от 50–60 до 100%, при этом наиболее распространены 4 ошибочных диагноза: лейомиома передней стенки матки, ложный диагноз двурогой матки, ретрофлексированная матка, заключение об отсутствии маточной беременности [6, 10, 12–17, 26]. Так произошло и в описанном нами первом случае ББ: у женщины с 5-й беременностью, которая многократно в прошлом проходила УЗИ матки, впервые ошибочно выставлен диагноз двурогой матки. Специалисты лучевой диагностики единодушно признают, что диагностика ББ сложна, поскольку, во-первых, имеющиеся в литературе сведения о ее сочетании с маловодием, неправильным положением и пороками развития плода и его высоким расположением относительно МТ нетипичны для данной патологии [8]; во-вторых, ББ – крайне редкая патология, и у врачей УЗИ в большинстве случаев отсутствует настороженность и готовность к ее выявлению [6, 10, 12–17, 26].
В клиническом наблюдении №1 при УЗИ в 28 нед гестации диагностировано предлежание плаценты, в 33 нед – врастание плаценты по задней стенке матке. Согласно современным российским и зарубежным клиническим рекомендациям для уточнения диагноза и степени врастания плаценты при ее расположении по задней стенке матки рекомендовано выполнять магнитно-резонансное исследование (уровень убедительности рекомендаций А, уровень достоверности доказательств – 1), которое обладает высокой чувствительностью (100%) и специфичностью (97,3%) для диагностики placenta increta [22, 27–30].
В случае подтверждения диагноза врастания плаценты и при отсутствии жалоб / клинических проявлений (боли, влагалищных кровотечений, укорочения шейки и др.) международные клинические протоколы рекомендуют выполнять плановое родоразрешение в 34–36 нед [22, 28, 29], в то же время в мире отсутствуют единые алгоритмы ведения ББ [1, 2, 7, 12]. При диагностике прогрессирующей эктопической ББ в I триместре ее обычно прерывают с использованием метотрексата, при ББ с внутрибрюшным кровотечением проводят экстренное хирургическое лечение [1–5, 7, 26]. При выявлении ББ во II триместре рекомендовано оперативное лечение с удалением плода, тактика в отношении удаления или оставления плаценты избирается индивидуально в зависимости от ее локализации [5–11, 14–16]. При прогрессирующей ББ, диагноз которой установлен в III триместре гестации, выжидательную тактику до достижения плодом жизнеспособности можно применить только при удовлетворительном состоянии матери и динамическом мониторинге за плодом ввиду высокого риска антенатальной гибели [7]. Обязательное условие в этом случае – нахождение пациентки в стационаре 3-го уровня с наличием мультидисциплинарной хирургической бригады (акушеры-гинекологи, хирурги, ангиохирурги, урологи, трансфузиологи и др.) и полной готовности к оказанию помощи при массивной кровопотере [7, 12, 17, 24, 25]. При появлении болей, кровянистых выделений из влагалища или первых признаках внутрибрюшного кровотечения показано родоразрешение в экстренном порядке [7, 12, 17, 24, 25].
Заключение
ББ – редкая форма ВБ, ассоциированная с высоким риском критических акушерских состояний и материнской смертности, а также перинатальных потерь и заболеваемости потомства. В настоящее время, когда в пренатальной диагностике используются передовые лучевые методы визуализации, диагностика и лечение ББ по-прежнему остается сложной задачей. В большинстве случаев ББ выявляется интраоперационно, что объясняет отсутствие стандартного алгоритма диагностики и лечения данного варианта ЭБ. Стандартизация принципов лечения поздней ББ, вариантов периоперационного лечения и послеоперационного ведения, основанная на обобщении всех случаев, регистрируемых в мире, могла бы снизить риск осложнений и смертности матери и плода.
Раскрытие интересов. Авторы декларируют отсутствие явных и потенциальных конфликтов интересов, связанных с публикацией настоящей статьи.
Disclosure of interest. The authors declare that they have no competing interests.
Вклад авторов. Т.Е. Белокриницкая – концепция и дизайн исследования, общее руководство, анализ публикаций по теме статьи, написание и редактирование текста; Н.И. Фролова – сбор и анализ публикаций по теме статьи; написание текста; А.А. Кустова, Е.Ю. Николаева, Т.М. Баркан, Н.Н. Бышина – cбор и обработка клинического материала; А.О. Золотухина – патоморфологические исследования, подготовка фото микропрепаратов плаценты, их описание.
Authors’ contributions. T.E. Belokrinitskaya – developing the concept and design of the study, general supervision, analysis of publications on the topic of the article; writing the text of the article; editing the article; N.I. Frolova – collection and analysis of publications on the topic of the article; writing the text of the article; A.A. Kustova, E.Yu. Nikolaeva, T.M. Barkan, N.N. Byshina – collection and processing of clinical material; A.O. Zolotukhina – pathomorphological studies, preparation of microphotos of placenta, their description.
Источник финансирования. Авторы декларируют отсутствие внешнего финансирования для проведения исследования и публикации статьи.
Funding source. The authors declare that there is no external funding for the exploration and analysis work.
Информированное согласие на публикацию. Пациентки подписали форму добровольного информированного согласия на публикацию медицинской информации.
Consent for publication. Written consent was obtained from the patients for publication of relevant medical information and all of accompanying images within the manuscript.
About the authors
Tatiana E. Belokrinitskaya
Chita State Medical Academy
Author for correspondence.
Email: tanbell24@mail.ru
ORCID iD: 0000-0002-5447-4223
D. Sci. (Med.), Prof.
Russian Federation, ChitaNataly I. Frolova
Chita State Medical Academy
Email: tanbell24@mail.ru
ORCID iD: 0000-0002-7433-6012
D. Sci. (Med.), Assoc. Prof.
Russian Federation, ChitaAnna A. Kustova
Regional Clinical Hospital
Email: tanbell24@mail.ru
ORCID iD: 0000-0002-1636-6440
obstetrician-gynecologist
Russian Federation, ChitaEkaterina Y. Nikolaeva
Regional Clinical Hospital
Email: tanbell24@mail.ru
obstetrician-gynecologist
Russian Federation, ChitaAnastasiya O. Zolotukhina
Transbaikal Regional Pathoanatomical Bureau
Email: tanbell24@mail.ru
ORCID iD: 0000-0002-1136-1798
Head of the Department
Russian Federation, ChitaTatiana M. Barkan
Clinical Hospital ”RZD-Medicine”
Email: tanbell24@mail.ru
ORCID iD: 0009-0006-0805-1648
obstetrician-gynecologist
Russian Federation, ChitaNatalia N. Byshina
Clinical Hospital ”RZD-Medicine”
Email: tanbell24@mail.ru
ORCID iD: 0009-0002-8606-4058
obstetrician-gynecologist
Russian Federation, ChitaReferences
- Mullany K, Minneci M, Monjazeb R, Coiado O. Overview of ectopic pregnancy diagnosis, management, and innovation. Womens Health (Lond). 2023;19:17455057231160349. doi: 10.1177/17455057231160349
- Zhang S, Liu J, Yang L, et al. Global burden and trends of ectopic pregnancy: An observational trend study from 1990 to 2019. PLoS One. 2023;18(10):e0291316. doi: 10.1371/journal.pone.0291316
- Адамян Л.В., Артымук Н.В., Беженарь В.Ф., и др. Внематочная (эктопическая) беременность. Клинические рекомендации. М., 2024. 60 с. Режим доступа: https://cr.minzdrav.gov.ru/view-cr/642_2. Ссылка активна на 10.01.2025 [Adamyan LV, Artymuk NV, Bezhenar VF, et al. Ectopic pregnancy. Clinical recommendations. Moscow, 2024. 60 p. Available at: https://cr.minzdrav.gov.ru/view-cr/642_2 Accessed: 10.01.2025 (in Russian)].
- Cavalari C, Mehrtash H, Brizuela V, et al. Prevalence and management of ectopic and molar pregnancies in 17 countries in Africa and Latin America and the Caribbean: a secondary analysis of the WHO multi-country cross-sectional survey on abortion. BMJ Open. 2024;14(10):e086723. doi: 10.1136/bmjopen-2024-086723
- Nkusu Nunyalulendho D, Einterz E. Advanced abdominal pregnancy: case report and review of 163 cases reported since 1946. Rural Remote Health. 2008;8(4):1087.
- Surguci M, Mihalcean L, Capros H, Voloceai V. A case report of symptomatic late term abdominal pregnancy. Medicus. International Medical Scientific Journal. 2017;15(3):14-6.
- Tolefac PN, Abanda MH, Minkande JZ, Priso EB. The challenge in the diagnosis and management of an advanced abdominal pregnancy in a resource-low setting: a case report. J Med Case Rep. 2017;11(1):199. doi: 10.1186/s13256-017-1369-1
- Киселев С.И., Конышева О.В. Первичная брюшная беременность в печени (клиническое наблюдение и обзор литературы). Проблемы репродукции. 2023;29(4):55-67 [Kiselev SI, Konysheva OV. Primary abdominal pregnancy in the liver (case report and literature review). Russian Journal of Human Reproduction. 2023;29(4):55-67 (in Russian)]. doi: 10.17116/repro20232904155
- Antequera A, Babar Z, Balachandar C, et al. Managing ruptured splenic ectopic pregnancy without splenectomy: case report and literature review. Reprod Sci. 2021;28(8):2323-30. doi: 10.1007/s43032-021-00476-8
- Fessehaye A, Gashawbeza B, Daba M, et al. Abdominal ectopic pregnancy complicated with a large bowel injury: a case report. J Med Case Rep. 2021;15(1):127. doi: 10.1186/s13256-021-02713-9
- Patel C, Feldman J, Ogedegbe C. Complicated abdominal pregnancy with placenta feeding off sacral plexus and subsequent multiple ectopic pregnancies during a 4-year follow-up: a case report. J Med Case Rep. 2016;10:37. doi: 10.1186/s13256-016-0808-8
- Иванова Н.А., Гуменюк Е.Г. Брюшная беременность: что нового? Обзор литературы за 10 лет (2009–2019 гг.). Проблемы репродукции. 2021;27(4):142-9 [Ivanova NA, Gumenyuk EG. Abdominal pregnancy: what’s new? Literature review for 10 years (2009–2019). Problemy Reproduktsii (Russian Journal of Human Reproduction). 2021;27(4):142-9 (in Russian)]. doi: 10.17116/repro202127041142
- Демидов В.Н., Саркисов С.Э., Демидов А.В. Брюшная беременность – клиника, диагностика, исходы. Акушерство и гинекология. 2014;12:94-9 [Demidov VN, Sarkisov SE, Demidov AV. Abdominal pregnancy – clinical picture, diagnosis, outcomes. Akusherstvo i ginekologiya. 2014;12:94-9 (in Russian)]. EDN: TESOWR
- Graham M, Briggs K, McMullan R, Dorman G. Abdominal ectopic pregnancy with implantation on the rectum. Ulster Med J. 2020;89(2):101-2.
- Mushema BN, Nkwama BS, Rweyemamu GA, et al. Challenges in Diagnosis and Management of Second Trimester Omental Pregnancy in Limited Resource Settings: Case Report. East Afr Health Res J. 2022;6(1):11-7. doi: 10.24248/eahrj.v6i1.673
- Legesse TK, Ayana BA, Issa SA. Surviving Fetus from a Full Term Abdominal Pregnancy. Int Med Case Rep J. 2023;16:173-8. doi: 10.2147/IMCRJ.S403180
- Iovenitti P, Galiano V, Finco A, et al. Asymptomatic 39 Weeks Abdominal Pregnancy – Video Report of a Case Occurred in Ivory Coast Resulting in a Live Birth. J Mother Child. 2023;27(1):30-2. doi: 10.34763/jmotherandchild.20232701.d-23-00001
- Alwafai Z, Kolbe C, Kruse-Wieczorek J, et al. Challenging Diagnosis of Late Abdominal Pregnancy: A Case Study of Misdiagnosis and Fetal Death in the Third Trimester. Am J Case Rep. 2024;25:e943625. doi: 10.12659/AJCR.943625
- Bohiltea R, Radoi V, Tufan C, et al. Abdominal pregnancy – Case presentation. J Med Life. 2015;8(1):49-54.
- Rohilla M, Joshi B, Jain V, et al. Advanced abdominal pregnancy: a search for consensus. Review of literature along with case report. Arch Gynecol Obstet. 2018;298(1):1-8. doi: 10.1007/s00404-018-4743-3
- Долгушина Н.В., Артымук Н.В., Белокриницкая Т.Е., и др. Нормальная беременность. Клинические рекомендации. М., 2021. 64 с. Режим доступа: https://praesens.ru/rubricator/klinicheskie-rekomendatsii/3aa272a6-f546-4f95-9187-654a54ab7123/ Ссылка активна на 10.01.2025 [Dolgushina NV, Artymuk NV, Belokrinitskaya TE, et al. Normal pregnancy. Clinical recommendations. Moscow, 2021. 64 p. Available at: https://praesens.ru/rubricator/klinicheskie-rekomendatsii/3aa272a6-f546-4f95-9187-654a54ab7123/ Accessed: 10.01.2025 (in Russian)].
- Шмаков Р.Г., Курцер М.А., Баринов С.В., и др. Патологическое прикрепление плаценты (предлежание и врастание плаценты). Клинические рекомендации. М., 2023. 76 с. Режим доступа: https://cr.minzdrav.gov.ru/view-cr/767_1/ Ссылка активна на 10.01.2025 [Shmakov RG, Kurtser MA, Barinov SV, et al. Pathological attachment of the placenta (presentation and ingrowth of the placenta). Clinical recommendations. ID: 767. Moscow, 2023. 76 p. Available at: https://cr.minzdrav.gov.ru/view-cr/767_1 Accessed: 10.01.2025 (in Russian)].
- Регламент мониторинга критических акушерских состояний в Российской Федерации, утвержден Минздравом России 18.01.2021 №15-4/66. 11 с. Режим доступа: https://base.garant.ru/405170971/ Ссылка активна на 10.01.2025 [Regulations for monitoring critical obstetric conditions in the Russian Federation, approved by the Ministry of Health of the Russian Federation on 18.01.2021 No. 15-4/66. 11 p. Available at: https://base.garant.ru/405170971/ Accessed: 10.01.2025 (in Russian)].
- Иванова Н.А., Кормакова Т.Л., Уквальберг М.Е., и др. Доношенная брюшная беременность. Акушерство и гинекология. 2021;5:180-4 [Ivanova NA, Kormakova TL, Ukvalberg ME, et al. Full-term abdominal pregnancy. Akusherstvo i Ginekologiya/Obstetrics and Gynecology. 2021;5:180-4 (in Russian)]. doi: 10.18565/aig.2021.5.180-184
- Ефремов П.И., Ефремов А.П., Крюков В.А., и др. Брюшная беременность с родоразрешением на большом сроке беременности. Акушерство и гинекология. 2022;7:142-8 [Efremov PI, Efremov AP, Kryukov VA, et al. Delivery after advanced abdominal Pregnancy. Akusherstvo i Ginekologiya/Obstetrics and Gynecology. 2022;7:142-8 (in Russian)]. doi: 10.18565/aig.2022.7.142-148
- Poole A, Haas D, Magann E. Early abdominal ectopic pregnancies: a systematic review of the literature. Gynecologic and Obstetric Investigation. 2012;74(4):249-60. doi: 10.1159/000342997
- Expert Panel on Women’s Imaging; Poder L, Weinstein S, Maturen KE, et al. ACR Appropriateness Criteria® Placenta Accreta Spectrum Disorder. J Am Coll Radiol. 2020;17(5S):S207-14. doi: 10.1016/j.jacr.2020.01.031
- Jha P, Pōder L, Bourgioti C, et al. Society of Abdominal Radiology (SAR) and European Society of Urogenital Radiology (ESUR) joint consensus statement for MR imaging of placenta accreta spectrum disorders. Eur Radiol. 2020;30(5):2604-15. doi: 10.1007/s00330-019-06617-7
- Bartels HC, Walsh JM, Ní Mhuircheartaigh R, et al. National Clinical Practice Guideline: Diagnosis and Management of Placenta Accreta Spectrum. National Women and Infants Health Programme and The Institute of Obstetricians and Gynaecologists. December 2022. J Am Coll Radiol. 2020;17:S207-14. Available at: https://eurradiolexp.springeropen.com/articles/10.1186/s41747-023-00369-2. Accessed: 10.01.2025.
- Bartels HC, O'Doherty J, Wolsztynski E, et al. Radiomics-based prediction of FIGO grade for placenta accreta spectrum. Eur Radiol Exp. 2023;7(1):54. doi: 10.1186/s41747-023-00369-2. Erratum in: Eur Radiol Exp. 2023;7(1):73. doi: 10.1186/s41747-023-00397-y
Supplementary files








