Uterine fibroids of gigantic size: a clinical case
- Authors: Koval M.V.1, Bogdanova A.M.1,2, Svetlakov G.P.1,2, Kovaleva I.Y.2, Chashchina V.I.1
-
Affiliations:
- Ural State Medical University
- Central City Hospital №7
- Issue: Vol 27, No 2 (2025)
- Pages: 153-156
- Section: ORIGINAL ARTICLE
- Published: 17.06.2025
- URL: https://gynecology.orscience.ru/2079-5831/article/view/677072
- DOI: https://doi.org/10.26442/20795696.2025.2.203241
- ID: 677072
Cite item
Full Text
Abstract
Uterine fibroid (UF) is the most common benign tumor in the structure of gynecological diseases of the female reproductive system, accounting for 45–70% of the total cases. Special attention should be paid to the rare cases with gigantic UFs. The management approach to patients with gigantic UFs is determined by the age of the patient, her desire to bear a pregnancy and realize reproductive function, as well as the presence of comorbidities. Therefore, an individualized approach is essential. The paper describes a clinical case of a patient with a gigantic UF that grew due to the lack of proper medical care for a long time. The patient underwent panhysterectomy, resection of the greater omentum, and ligation of the internal iliac arteries. This case is a clear example of the forced extension of the surgical procedure due to the tumor size, which is associated with an increased risk of surgical complications
Full Text
Введение
Миома матки (ММ) – наиболее распространенная доброкачественная опухоль женской репродуктивной системы, на долю которой приходится 45–70% в структуре всех гинекологических заболеваний [1–3]. Частота ее выявления может быть занижена, поскольку заболевание нередко протекает бессимптомно в течение длительного времени, что существенно осложняет своевременную диагностику [4]. Размер ММ не всегда коррелирует со степенью выраженности симптомов, таких как объем менструации или сдавление соседних органов. Случайное выявление ММ при ультразвуковом исследовании зарегистрировано у 30–35% пациенток. При этом инцидентальная находка миоматозных узлов нередко становится I этапом в диагностике данного заболевания [5].
Хотя ММ относится к доброкачественным опухолям, она часто становится причиной различных расстройств репродуктивной функции, включая обильные менструальные кровотечения, боли в области таза, бесплодие, преждевременные роды и даже потери беременности [6–8]. К факторам риска, которые способствуют развитию ММ, относятся: возраст начала менархе, ожирение, гипертония, беременность, отягощенная наследственность, а также расовая принадлежность [9]. Среди модифицируемых факторов можно выделить незарегистрированные браки, физически тяжелую работу и воспалительные заболевания, немодифицируемый фактор – поздний возраст первых родов. К факторам, повышающим риск развития ММ с высоким пролиферативным потенциалом, относится использование барьерных методов контрацепции, варикозное расширение вен нижних конечностей и оперативные вмешательства на органах малого таза [10]. Также существует высокая склонность к возникновению гормонозависимых опухолей у женщин с нарушениями обмена веществ или с родами крупным плодом в анамнезе. Важные предрасполагающие эндогенные факторы – гипергликемия и гиперинсулинемия, которые играют роль в формировании макросомии, а также повышенные уровни эстрогенов, особенно в период беременности [11]. Современные исследования показали, что основные причины ММ – генетические мутации, способствующие пролиферации мышечных клеток. Более 100 генов участвуют в различных метаболических процессах и связаны с этим заболеванием [12, 13].
В зависимости от расположения ММ делятся на субсерозные, интрамуральные и субмукозные. Размеры ММ варьируются от малых до гигантских узлов, деформирующих полость матки и сдавливающих смежные органы. ММ меньшего размера встречаются чаще, тем не менее они могут увеличиваться до гигантских миом (весом 11,4 кг и более) [14, 15]. Отдельного внимания заслуживают редкие случаи, когда ММ достигает гигантских размеров. При массе миомы >11 кг и/или ее обобщенном диаметре не менее 35 см ее относят к категории гигантских [16, 17]. Проблема ММ сохраняет высокую актуальность, особенно среди молодых, нерожавших женщин, которые составляют около 40% от общего числа женщин репродуктивного возраста [17]. В этом контексте важно отметить, что увеличение общего объема матки вместе с опухолью у этого контингента может составлять 9% каждые 6 мес [16]. Прогрессирующий рост миоматозных узлов усложняет проведение хирургического вмешательства и в большинстве случаев требует тотальной или субтотальной гистерэктомии. Библиографические данные свидетельствуют о значительном риске летального исхода (14,8–16,7%) в периоперационный период у пациенток с ММ, превышающей 11,34 кг [14, 16].
Тактика ведения пациентов с ММ значительных размеров определяется такими аспектами, как возраст пациентки, ее желание вынашивания беременности и реализации репродуктивной функции, а также наличие коморбидных состояний. Объем и подходы к хирургическому лечению в подобных случаях определяются индивидуально, с учетом размера и расположения миоматозных узлов, а также репродуктивных намерений женщины.
Цель работы – представить клинический случай пациентки с ММ гигантского размера, сопровождающейся сдавлением кишечника, при длительном отсутствии надлежащего медицинского наблюдения.
Клинический случай
Пациентка Б., 44 года, работающая в должности менеджера по рекламе, доставлена в экстренном порядке в приемное отделение ГБУЗ СО ЦГБ №7 г. Екатеринбурга с жалобами на одышку при физической нагрузке, увеличение объема живота, диффузные абдоминальные боли, выраженную общую слабость, эпизоды рвоты съеденной пищей, тошноту, а также значительное снижение массы тела (на 15 кг за 4 мес). Из анамнеза известно, что пациентка не обращалась за гинекологической помощью в течение последних 10 лет. В течение последних 5 лет отмечала постепенное увеличение живота, периодические запоры, одышку при физической нагрузке, нарушение менструаций: удлинение до 7–10 дней, наличие множественных кровяных сгустков. Усиление симптомов и стремительное снижение массы тела начались около 6 мес назад. Ранее медицинская помощь не оказывалась, обследование не проводилось. Соматический анамнез не отягощен. Семейный анамнез по гинекологической патологии: у матери наблюдалась ММ, находилась под диспансерным наблюдением. Гинекологический анамнез: менархе с 14 лет, менструации регулярные, продолжительность 7 дней, обильные, умеренно болезненные. Беременностей не было, не планировалось. Половая жизнь регулярная. Использовала комбинированные оральные контрацептивы в прошлом, в последние 10 лет – барьерные методы. При объективном осмотре: рост 170 см, масса тела 62 кг, индекс массы тела – 21,5 кг/м2. Состояние пациентки средней степени тяжести, обусловлено предполагаемой основной патологией. Живот значительно увеличен в размерах из-за объемного образования в брюшной полости, асимметричный. При пальпации живот напряжен, болезненный в латеральных отделах, симптомы раздражения брюшины не выявлены. В брюшной полости определяется плотное, безболезненное опухолевидное образование размерами приблизительно 35×35×30 см. Перистальтика кишечника не выслушивается (рис. 1).
Рис. 1. Внешний вид живота пациентки с гигантской ММ.
Fig. 1. Appearance of the abdomen of a patient with a giant uterine fibroid.
При осмотре в зеркалах слизистая влагалища и шейки матки визуально без патологических процессов. Отмечаются умеренные, темно-кровянистые выделения, соответствующие 5-му дню менструального цикла. При бимануальной пальпации определяется матка, увеличенная до размеров, соответствующих сроку беременности 30 нед; плотной консистенции, неподвижная, безболезненная. Придатки с обеих сторон не пальпируются вследствие наличия объемного образования.
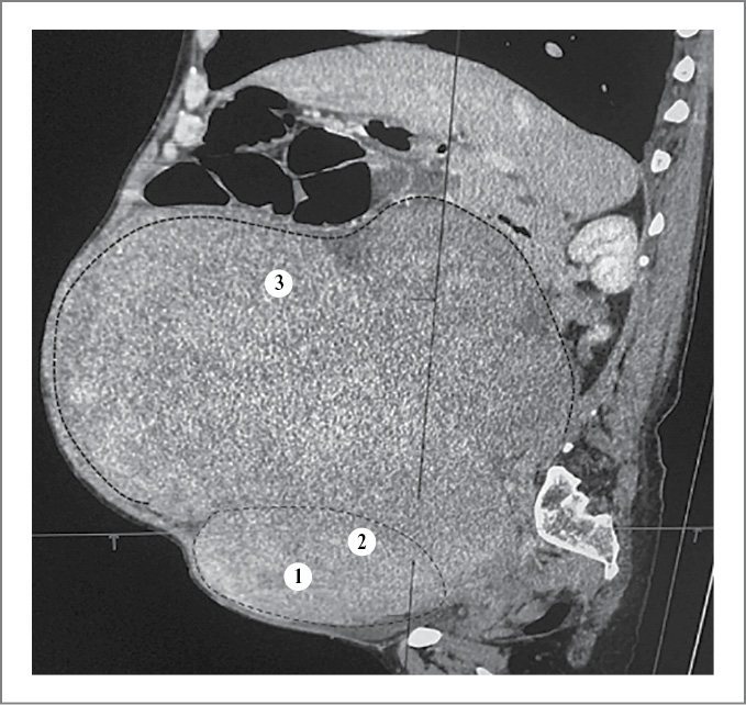
Проведенные трансабдоминальное и трансвагинальное ультразвуковые исследования оказались малоинформативными. Описано образование гигантских размеров миоматозной структуры, занимающее всю брюшную полость. Небольшое количество свободной жидкости (не исключается онкологическая патология яичников). Согласно данным компьютерной томографии органов брюшной полости и малого таза с внутривенным контрастным усилением выявлено объемное образование малого таза и брюшной полости значительных размеров. Дифференциально-диагностический ряд включал саркому, рак яичника с канцероматозом. Отмечены асцит, признаки дислокационного синдрома и тонкокишечной непроходимости (рис. 2).
Рис. 2. Компьютерная томография брюшной полости: 1 – полость матки; 2 – тело матки; 3 – миоматозные узлы.
Fig. 2. Abdominal computed tomography: 1 – uterine cavity; 2 – uterine body; 3 – fibroid nodes.
Результаты лабораторных исследований показали признаки гипохромной анемии легкой степени: уровень гемоглобина 115 г/л, среднее содержание гемоглобина в эритроците – 23 пг. Гематокрит – 38%. Уровень С-реактивного белка – 5 мг/л, лабораторные признаки острого воспалительного процесса отсутствуют.
С учетом клинических и анамнестических данных, результатов инструментальных и лабораторных исследований, возраста пациентки, размеров образования, подозрение на онкологическое заболевание, принято решение о выполнении хирургического вмешательства в объеме тотальной гистерэктомии с удалением придатков, большого сальника и перевязкой внутренних подвздошных артерий с обеих сторон. Операция выполнена под комбинированным эндотрахеальным наркозом. Проведена срединная лапаротомия. В брюшной полости выявлено гигантское солидное образование, исходящее из тела матки, размером 50×50×40 см (рис. 3). Опухоль окутана большим сальником, с выраженными неоангиозными разрастаниями из сальника к опухолевому конгломерату. Брюшина, печень и органы верхнего и нижнего этажа брюшной полости без визуальных патологических изменений. Тонкая кишка оттеснена в верхний этаж брюшной полости, умеренно расширена (до 4 см), заполнена жидким содержимым. После мобилизации опухоли проведено выделение и перевязка внутренних подвздошных сосудов для снижения интраоперационной кровопотери. Выполнена экстирпация матки с опухолью, придатками и большим сальником единым блоком. Культя влагалища ушита непрерывным швом. Ревизия тонкой кишки не выявила зон, предрасполагающих к кишечной непроходимости. Продолжительность оперативного вмешательства составила 2 ч 55 мин, объем интраоперационной кровопотери – 500 мл. Масса удаленного опухолевого образования составила 15 кг. На разрезе – миоматозные узлы с выраженной капсулярной структурой. Макропрепарат направлен на гистологическое и иммуногистохимическое исследование с предварительным диагнозом: миосаркома тела матки.
Рис. 3. Интраоперационная картина – ММ гигантских размеров.
Fig. 3. Intraoperative view of the gigantic uterine fibroid.
Гистологическое исследование удаленного операционного материала выявило гигантскую интрамуральную лейомиому матки с признаками нарушения трофики и наличием кальцинатов. Иммуногистохимический анализ показал выраженную экспрессию рецепторов к прогестерону во всех (100%) гладкомышечных клетках опухолевого узла; при этом в клетках стромы экспрессия прогестероновых рецепторов не определялась. Экспрессия эстрогеновых рецепторов выраженная у 20% опухолевых клеток и умеренная у 65%, что свидетельствует о гормональной чувствительности новообразования. Умеренная экспрессия маркера апоптоза bcl-2 выявлена в 100% опухолевых клеток. Индекс пролиферативной активности (Ki-67) составил менее 5%, что указывает на низкий уровень клеточной пролиферации.
Пациентка выписана на 14-е сутки после оперативного вмешательства в удовлетворительном состоянии с рекомендациями по амбулаторному наблюдению. При осмотре на момент выписки отмечено благоприятное течение послеоперационного периода: швы без признаков воспаления, заживление происходило первичным натяжением. Пациентка не предъявляла жалоб, выразила полное удовлетворение результатами лечения, сроками его проведения и существенным улучшением качества жизни.
Таким образом, у пациентки 44 лет выполнена экстирпация матки с придатками по поводу множественной миомы, что позволило радикально устранить основное заболевание и избежать его прогрессирования. В послеоперационном периоде основное внимание необходимо уделять компенсации последствий хирургической менопаузы, включая коррекцию климактерического синдрома, профилактику остеопороза и атрофических изменений урогенитального тракта. С этой целью пациентке рекомендовано назначение менопаузальной гормональной терапии при отсутствии противопоказаний, а также проведение регулярного динамического наблюдения.
Заключение
Представленный клинический случай демонстрирует особенности хирургического лечения пациентки с гигантской ММ, усугубленной рядом осложняющих факторов, включая выраженные анатомические изменения органов брюшной полости и малого таза, тонкокишечную непроходимость и гипохромную анемию. Эти состояния значительно повышали риск оперативного вмешательства и требовали комплексного подхода к лечению.
К факторам риска развития ММ у пациентки относятся отягощенный семейный анамнез, отсутствие беременностей и родов, использование барьерных методов контрацепции. Этот случай подчеркивает важность раннего обращения за медицинской помощью и своевременного прохождения диспансерного наблюдения. При адекватной профилактике и ранней диагностике можно избежать тяжелых осложнений, сократить объем хирургического вмешательства и снизить риски, связанные с лечением.
ММ характеризуется длительным бессимптомным течением, что требует повышенного внимания к оценке индивидуальных рисков, позволяющих своевременно проводить коррекционные мероприятия и сохранять репродуктивное здоровье женщин.
Раскрытие интересов. Авторы декларируют отсутствие явных и потенциальных конфликтов интересов, связанных с публикацией настоящей статьи.
Disclosure of interest. The authors declare that they have no competing interests.
Вклад авторов. Авторы декларируют соответствие своего авторства международным критериям ICMJE. М.В. Коваль – концепция статьи, редактирование; В.И. Чащина – обзор литературы; А.М. Богданова – гистологическое исследование; Г.П. Светлаков, И.Ю. Ковалева – лечащие врачи.
Authors’ contribution. The authors declare the compliance of their authorship according to the international ICMJE criteria. M.V. Koval – article concept, final editing; V.I. Chashchina – literature review; A.M. Bogdanova – tissue histology; G.P. Svetlakov, I.Yu. Kovaleva – treating physicians.
Источник финансирования. Авторы декларируют отсутствие внешнего финансирования для проведения исследования и публикации статьи.
Funding source. The authors declare that there is no external funding for the exploration and analysis work.
Информированное согласие на публикацию. Пациентка подписала форму добровольного информированного согласия на публикацию медицинской информации.
Consent for publication. Written consent was obtained from the patient for publication of relevant medical information and all of accompanying images within the manuscript.
About the authors
Marina V. Koval
Ural State Medical University
Author for correspondence.
Email: marinakoval1203@gmail.com
ORCID iD: 0000-0003-1321-6583
SPIN-code: 1571-6545
Cand. Sci. (Med.)
Russian Federation, EkaterinburgAnna M. Bogdanova
Ural State Medical University; Central City Hospital №7
Email: marinakoval1203@gmail.com
ORCID iD: 0009-0006-2819-2659
SPIN-code: 6850-0363
Cand. Sci. (Med.), Ural State Medical University
Russian Federation, Ekaterinburg; EkaterinburgGeorgy P. Svetlakov
Ural State Medical University; Central City Hospital №7
Email: marinakoval1203@gmail.com
ORCID iD: 0009-0009-1408-3349
Deputy Chief doctor
Russian Federation, Ekaterinburg; EkaterinburgIrina Yu. Kovaleva
Central City Hospital №7
Email: marinakoval1203@gmail.com
ORCID iD: 0009-0001-3208-6510
surgeon
Russian Federation, EkaterinburgVilena I. Chashchina
Ural State Medical University
Email: marinakoval1203@gmail.com
ORCID iD: 0009-0007-3770-5089
student
Russian Federation, EkaterinburgReferences
- Eyong E, Okon OA. Large Uterine Fibroids in Pregnancy with Successful Caesarean Myomectomy. Case Rep Obstet Gynecol. 2020:8880296. doi: 10.1155/2020/8880296
- Sulaimani R, Machado L, Al Salmi M. Do Large Uterine Fibroids Impact Pregnancy Outcomes? Oman Med J. 2021;36(4):e292. doi: 10.5001/omj.2021.93
- Миома матки. Клинические рекомендации Минздрава России №257_2 от 25.09.2024. Режим доступа: https://cr.minzdrav.gov.ru/view-cr/257_2. Ссылка активна на 10.02.2025 [Uterine fibroids. Clinical recommendations of the Ministry of Health of the Russian Federation №257_2 dated 09.25.2024. Available at: https://cr.minzdrav.gov.ru/view-cr/257_2. Accessed: 02.10.2025 (in Russian)].
- Ahmad A, Kumar M, Bhoi NR, et al. Diagnosis and management of uterine fibroids: current trends and future strategies. J Basic Clin Physiol Pharmacol. 2023;34(3):291-310. doi: 10.1515/jbcpp-2022-0219
- Aninye IO, Laitner MH. Uterine Fibroids: Assessing Unmet Needs from Bench to Bedside. J Women's Health (Larchmt). 2021;30(8):1060-7. doi: 10.1089/jwh.2021.0280
- Бахмудова Е.А., Амирханова Ч.Р. Миома матки в современных реалиях: комплексный обзор. Вестник науки. 2024;1(70):670-3 [Bakhmudova EA, Amirkhanova CR. Uterine fibroids in modern realities: a comprehensive review. Bulletin of Science. 2024;1(70):670-3 (in Russian)]. EDN: JOAJGU
- Абдикамалова К.М. Современное хирургическое лечение миомы матки. Endless Light in Science. 2024;21:8-11 [Abdikamalova KM. Modern surgical treatment of uterine fibroids. Endless Light in Science. 2024;21:8-11 (in Russian)].
- Yang Q, Ciebiera M, Bariani MV, et al. Comprehensive Review of Uterine Fibroids: Developmental Origin, Pathogenesis, and Treatment. Endocr Rev. 2022;43(4):678-719. doi: 10.1210/endrev/bnab039
- Малышкина Д.А., Сотникова Н.Ю., Воронин Д.Н., и др. Клинико-анамнестические факторы риска развития лейомиомы матки у женщин репродуктивного возраста. Гинекология. 2023;2:170-6 [Malyshkina DA, Sotnikova NYu, Voronin DN, et al. Clinical and anamnestic risk factors for the development of uterine leiomyoma in women of reproductive age. Gynecology. 2023;2:170-6 (in Russian)]. doi: 10.26442/20795696.2023.2.202209
- Цхай В.Б., Бадмаева С.Ж., Наркевич А.Н., и др. Прогностическая модель для расчета вероятности возникновения рецидива миомы матки после оперативного вмешательства. Фундаментальная и клиническая медицина. 2021;6(3):64-70 [Tskhai VB, Badmaeva SZ, Narkevich AN, et al. A prognostic model for calculating the probability of recurrence of uterine fibroids after surgery. Fundamental and Clinical Medicine. 2021;6(3):64-70 (in Russian)]. doi: 10.23946/2500-0764-2021-6-3-64-70
- Дикарева Л.В., Уханова Ю.Ю., Малышева И.П., и др. Значение фетальной макросомии, ожирения и маркера апоптоза TRAIL как ранних предикторов формирования миомы матки. Астраханский медицинский журнал. 2021;1:66-72 [Dikareva LV, Ukhanova YuY, Malysheva IP, Belyavskaya SA, et al. The importance of fetal macrosomia, obesity, and the TRAIL marker of apoptosis as early predictors of uterine fibroids. Astrakhan Medical Journal. 2021;1:66-72 (in Russian)]. doi: 10.17021/2021.16.1.66.73
- Коваль М.В., Кудрявцева Е.В., Кондрашова Ю.К., Тагоев Ю.Ш. Генетика миомы матки. Сибирское медицинское обозрение. 2023;6(144):16-24 [Koval MV, Kudryavtseva EV, Kondrashova YK, Tagoev YS. Genetics of uterine fibroids. Siberian Medical Review. 2023;6(144):16-24 (in Russian)]. doi: 10.20333/25000136-2023-6-16-24
- Исанбаева Л.М. Некоторые иммунологические аспекты патогенеза миомы матки. Российский иммунологический журнал. 2021;1:53-5 [Isanbayeva LM. Some immunological aspects of the pathogenesis of uterine fibroids. Russian Journal of Immunology. 2021;1:53-5 (in Russian)].
- Mongan S, Wibowo A. Giant Uterine Leiomyoma With Surgical Difficulty. J Med Cases. 2021;12(10):386-90. doi: 10.14740/jmc3764
- Lim PT, Tan CH, Chia HL, Phoon J. Management of a giant uterine leiomyoma. BMJ Case Reports. 2018;2018:bcr2017224052. doi: 10.1136/bcr-2017-224052
- Ищенко А.И., Ищенко А.А., Хохлова И.Д., и др. Хирургическая тактика при лечении пациентки репродуктивного возраста с гигантской миомой матки. Архив акушерства и гинекологии им. В.Ф. Снегирева. 2024;11(2):213-20 [Ishchenko AI, Ishchenko AA, Khokhlova ID, et al. Surgical tactics in the treatment of a female patient of reproductive age with a giant uterine fibroid. V.F. Snegirev Archive of Obstetrics and Gynecology. 2024;11(2):213-20 (in Russian)]. doi: 10.17816/aog626391
- Ikechebelu JI, Okpala BC, Eleje GU, et al. Delayed presentation of giant uterine fibroids in a Nigerian private specialist health facility. SAGE Open Med Case Rep. 2021;9:2050313X211063137. doi: 10.1177/2050313X211063137
Supplementary files






