Комплексное ведение пациенток с пролапсом тазовых органов и метаболическим синдромом
- Авторы: Лапина И.А.1, Доброхотова Ю.Э.1, Таранов В.В.1, Чирвон Т.Г.1, Волкова П.1, Малахова А.А.1
-
Учреждения:
- ФГАОУ ВО «Российский национальный исследовательский медицинский университет им. Н.И. Пирогова» Минздрава России
- Выпуск: Том 23, № 3 (2021)
- Страницы: 260-266
- Раздел: ОРИГИНАЛЬНАЯ СТАТЬЯ
- Статья опубликована: 13.08.2021
- URL: https://gynecology.orscience.ru/2079-5831/article/view/76155
- DOI: https://doi.org/10.26442/20795696.2021.3.200962
- ID: 76155
Цитировать
Полный текст
Аннотация
Обоснование. Генитальный пролапс (ГП) и стрессовое недержание мочи (СНМ) характеризуются несостоятельностью соединительнотканного каркаса структур тазового дна, в патогенезе которых представлено большое многообразие факторов риска. Метаболический синдром (МС), включающий ожирение и нарушение липидного, углеводного профиля, способствует инициации пролапса тазовых органов (ПТО) за счет повышения внутрибрюшного давления и наличия коморбидной патологии. Дисфункция эндотелия, характерная для МС, усугубляет имеющиеся обменные нарушения, что приводит к формированию порочного круга и повышает вероятность рецидивирования симптомов пролапса гениталий и НМ при напряжении в послеоперационном периоде.
Цель. Поиск рациональных алгоритмов комплексного ведения пациенток с ПТО и МС.
Материалы и методы. Проведен сравнительный анализ эффективности лечения пациенток с ГП и СНМ с применением хирургического метода и препаратов, воздействующих на метаболический профиль.
Результаты. Препараты, способствующие восстановлению липидного, углеводного профиля, нормализации микроциркуляторной сосудистой сети, приводят к снижению неблагоприятного воздействия компонентов МС на целостность структур тазового дна. Комплексное ведение пациенток с ПТО и МС с помощью хирургической коррекции ГП и СНМ, а также применения метаболотропных препаратов обладает высокой эффективностью и предиктивной способностью в отношении степени выраженности ПТО и риска рецидивирования клинической симптоматики в послеоперационном периоде.
Заключение. Адекватное восстановление эндотелиального слоя у пациенток с несостоятельностью мышц тазового дна и эндотелиальной дисфункцией снижает вероятность развития mesh-aссоциированных осложнений после хирургического этапа лечения.
Полный текст
Введение
Метаболический синдром (МС), основными признаками которого являются ожирение, артериальная гипертензия, нарушение углеводного обмена, относится к одной из наиболее распространенных патологий современного общества [1]. Метаболические нарушения не только приводят к повышению риска кардиоваскулярных осложнений, но и способствуют развитию эндотелиальной дисфункции (ЭД), что, в свою очередь, усиливает отрицательное воздействие на гемостатический и метаболический профиль [2].
Избыточная масса тела и ожирение являются модифицируемыми факторами риска развития генитального пролапса (ГП) и недержания мочи при напряжении (НМПН) за счет повышения интраабдоминального давления и воздействия на нейромускулярную активность структур уринарного тракта [3, 4]. Взаимосвязь пролапса тазовых органов (ПТО) и компонентов МС требует комплексного подхода, включающего не только устранение анатомических дефектов тазового дна с помощью хирургического доступа, но и коррекцию нарушений обменных процессов.
Ведение пациенток с ПТО и МС
Этиопатогенез ГП и стрессового недержания мочи (СНМ) многогранен за счет взаимодействия различных предикторов и индукторов несостоятельности структур тазового дна [5–7]. В ходе крупных многоцентровых клинических исследований отмечено, что избыточная масса тела и ожирение повышают риск развития ПТО в 1,36 и 1,47 раза соответственно [8]. Несмотря на отсутствие значимой анатомической коррекции дисфункции малого таза посредством снижения массы тела, модификация образа жизни и коррекция метаболического профиля позволяют уменьшить выраженность клинических проявлений ПТО и НМПН, что особенно важно в отдаленном послеоперационном периоде [6, 9].
Симптомы НМПН эффективно купируются с помощью слинговых методов, обеспечивающих достаточное натяжение сетчатого имплантата, препятствуя гипермобильности мочевого пузыря и пролабированию наружного отверстия мочеиспускательного канала [10, 11]. Апикальный пролапс гениталий с позиций доказательной медицины и современных методов лечения целесообразно устранять с помощью лапароскопических методик в объеме лапароскопической сакровагинопексии или альтернативных хирургических пособий (лапароскопическая латеральная кольпопексия, сакроцервикопексия), которые характеризуются высокой эффективностью, безопасностью и низким риском рецидивирования [12, 13].
При наличии НМПН, опущения передней стенки влагалища с формированием цистоцеле без признаков несостоятельности апикального компартмента возможны выполнение реконструктивных вмешательств в объеме передней кольпорафии и установка слинговых устройств, что способствует нивелированию симптомов НМПН при кашле и чихании, а также устраняет пролабирование передней стенки влагалища [14, 15]. Однако наличие ожирения как основного компонента МС способствует повышению риска рецидивирования ГП и НМ в отдаленном послеоперационном периоде [16].
В исследованиях N. Wasserberg и соавт. (2007 г.) отмечается значительная роль ожирения в развитии несостоятельности тазового дна при сравнении степени влияния данного фактора с акушерской травматизацией родовых путей и ткани промежности [17]. По результатам работ A. Otunctemur и соавт. (2014 г.) избыточная масса тела и ожирение в комплексе МС оказывают более неблагоприятное воздействие на развитие и рецидивирование СНМ, нежели формирование ГП [18]. А. Rogowski и соавт. (2015 г.) отмечают отсутствие тесной взаимосвязи между МС и ПТО, однако повышенный уровень триглицеридов (ТГ) может быть ассоциирован с выраженностью пролабирования тазовых органов [19].
А. Kawasaki и соавт. (2013 г.) отмечают повышение риска рецидива опущения передней стенки влагалища после проведенной передней кольпорафии у пациенток с избыточной массой тела и ожирением [20]. Однако по исследованиям M. Meschia и соавт. (2013 г.) и R. Moore и соавт. (2013 г.) результаты лечения НМ и ГП сравнимы у пациенток с ожирением и нормальным индексом массы тела (ИМТ), хотя большинство работ оценивало краткосрочный период наблюдения, что не исключает влияния повышенного внутрибрюшного давления в связи с ожирением на рецидивирование пролапса в долгосрочном контексте [21, 22].
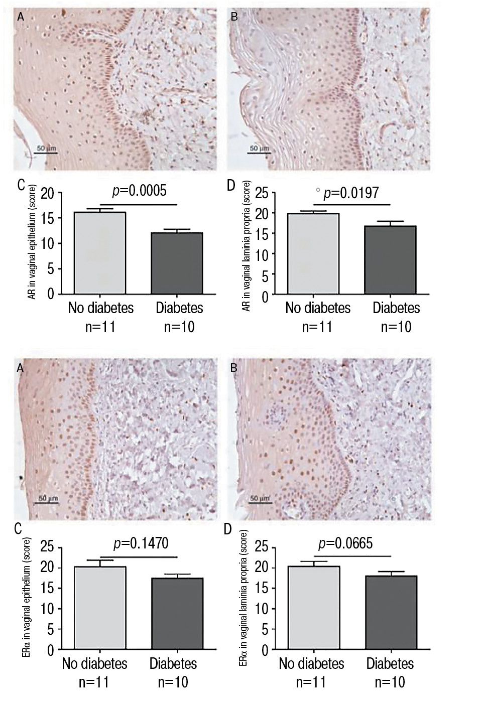
Рис. 1. Экспрессия андрогеновых (AR) и эстрогеновых (ER) рец епторов эпителия влагалища у пациенток менопаузального периода при наличии или отсутствии сахарного диабета 2-го типа.
Fig. 1. Expression of androgen (AR) and estrogen (ER) receptors of the vaginal epithelium in menopausal patients with or without type 2 diabetes mellitus.
По данным исследования M. Baldassarre и соавт. (2015 г.) отмечается, что у пациенток с сахарным диабетом 2-го типа и метаболическими нарушениями снижается экспрессия андрогенов и эстрогенов, уменьшается активность эндотелиальных факторов роста в стенке влагалища, что приводит к нарушению васкуляризации и увеличению плотности тканей (рис. 1) [23]. Дестабилизация микроциркуляции стенок влагалища может способствовать неблагоприятным исходам ремоделирования тканей после хирургической коррекции дисфункции тазового дна.
Таким образом, с целью улучшения долгосрочных результатов хирургического лечения пациенток с ПТО и НМПН, имеющих признаки МС, требуется комплексное ведение, включающее адекватное воздействие на метаболический профиль и устранение отрицательного воздействия ожирения и ЭД на целостность структур тазового дна.
Таблица 1. Анализ анатомической эффективности лечения в течение 6 мес наблюдения во 2 и 3-й группах (n=40, p<0,05)
Table 1. Analysis of the anatomical effectiveness of treatment over 6 months of follow-up in the group 2 and group 3 (n=40, p<0.05)
Точки POP-Q | До операции | Через 3 мес | Через 6 мес |
Aa | -0,6±0,5 | -1,8±0,4 | -2,1±0,4 |
Ba | -0,2±0,9 | -1,9±0,6 | -2,0±0,7 |
Tvl | 7,2±0,7 | 7,2±0,9 | 7,2±1,0 |
Таблица 2. Анализ анатомической эффективности лечения в течение 6 мес наблюдения в 1-й группе (n=40, p<0,05)
Table 2. Analysis of the anatomical effectiveness of treatment over 6 months of follow-up in the group 1 (n=40, p<0.05)
Точки POP-Q | До операции | Через 3 мес | Через 6 мес |
Aa | -0,5±0,4 | -1,8±0,2 | -1,9±0,4 |
Ba | -0,4±0,6 | -1,7±0,4 | -1,9±0,6 |
Tvl | 7,3±0,7 | 7,1±0,5 | 7,1±0,8 |
Эндотелиальный слой сосудов микроциркуляторного русла является органом-мишенью для компонентов МС, его восстановление способствует размыканию порочного круга и уменьшению выраженности нарушений обменных процессов [24]. Препарат Сулодексид, содержащий глюкуроно-2-амино-2-дезоксиглюкоглюкан сульфат, обладает целым рядом свойств, способствующих улучшению и стабилизации параметров системы гемостаза и метаболизма за счет наличия в составе гликозаминогликанов, гепариноидов и дерматан сульфата [25–27].
Материалы и методы
В ходе нашего исследования проводился анализ эффективности и безопасности лечения 80 пациенток с ПТО и МС. Ретроспективная часть исследования включила 40 пациенток постменопаузального периода с опущением передней стенки влагалища (цистоцеле) и НМПН, МС (1-я группа исследования), которым ранее производилось хирургическое лечение дисфункции тазового дна без восстановления метаболических показателей в послеоперационном периоде.
Проспективная часть исследования включила 40 пациенток постменопаузального возраста с цистоцеле и СНМ при напряжении, МС. В зависимости от метода восстановления обменных параметров пациентки данной части исследования были распределены на группы: во 2-ю группу исследования (n=20) вошли пациентки, которым в послеоперационном периоде назначались гиполипидемические препараты в начальной дозировке 20 мг/сут перорально в течение 6 мес, инсулиносенситайзеры по 500 мг 1 раз сутки перорально в течение 6 мес; пациенткам 3-й группы (n=20) в дополнение к гиполипидемическим препаратам и инсулиносенситайзерам добавляли Сулодексид по 1 капсуле 2 раза день перорально в течение 40 дней.
Ко всем пациенткам обеспечен мультидисциплинарный подход, ведение их осуществлялось совместно с врачами эндокринологического и терапевтического профиля, проводилось комплексное клинико-инструментальное обследование: гинекологический осмотр в зеркалах, бимануальное исследование, ультразвуковое исследование органов малого таза и мочевого пузыря, определение остаточной мочи, кашлевой тест, анализ основных параметров углеводного обмена и липидного профиля, предикторов МС.
Наличие МС устанавливали на основании следующих критериев: окружность талии более 80 см; ТГ≥1,7 ммоль/л (≥150 мг/дл) или прием гиполипидемических препаратов; липопротеиды высокой плотности <1,3 ммоль/л (<50 мг/дл); артериальное давление (АД): систолическое АД≥130 мм рт. старший, или диастолическое АД≥85 мм рт. старший, или лечение ранее диагностированной артериальной гипертензии; глюкоза плазмы натощак ≥5,6 ммоль/л (≥100 мг/дл). Подтверждением МС явилось наличие 3 из 5 критериев.
При анализе полученных результатов с помощью пакета прикладных программ Statistica 10 (StatSoft) применялись методы статистики. Статистически достоверными считались изменения (или отличия) показателей с вероятностью ошибки менее 0,05. Непрерывные переменные представлены в виде среднего значения и стандартного отклонения. Изменения точек системы POP-Q (Pelvic Organ Prolapse Quantification System) высчитывались с помощью теста Макнемара.
Результаты
В качестве хирургического метода коррекции цистоцеле и НМПН всем пациенткам исследования проведено оперативное лечение в объеме передней кольпорафии и установки мини-слинговой синтетической петли. Анализ анатомической эффективности лечения производился с помощью классификационной системы POP-Q в течение 6 мес (табл. 1). В результате у пациенток 2 и 3-й групп (n=40) отмечено значительное улучшение показателей, отражающих состоятельность передней стенки влагалища: через 6 мес значения точек Aa и Ba соответствовали нормальным значениям. В течение 6 мес послеоперационного наблюдения симптомы СНМ нивелировались у 40 (100%) пациенток 2 и 3-й групп.
В 1-й группе (n=40) также отмечались нормализация анатомической состоятельности структур тазового дна и восстановление переднего компартмента, однако благоприятная динамика изменений в течение 6 мес наблюдения менее выражена по сравнению со 2 и 3-й группами, что может обусловливать повышение риска рецидивирования пролапса в отдаленном периоде (точка Aa от -0,6±0,5 до -2,1±0,4; точка Ba от -0,2±0,9 до -2,0±0,7 в группе 2 и 3; точка Aa от -0,5±0,4 до -1,9±0,4; точка Ba от -0,4±0,6 до -1,9±0,6 в группе 1); табл. 1, 2. Также необходимо отметить, что у одной (5%) пациентки 2-й группы, 3 (7,5%) пациенток 1-й группы поздний послеоперационный период осложнился возникновением mesh-ассоциированных эрозий влагалища, что потребовало назначения суппозиториев с антисептическими и эстриолсодержащими препаратами (табл. 3).
Таблица 3. Анализ осложнений послеоперационного периода у пациенток групп исследования
Table 3. Analysis of the postoperative period complications in patients of the study groups
Осложнение, % | 2-я группа (n=20) | 3-я группа (n=20) | 1-я группа (n=40) |
Mesh-эрозия | 5 | 0 | 7,5 |
Экструзия импланта | 0 | 0 | 2,5 |
Инфекционные осложнения | 5 | 0 | 7,5 |
У одной (2,5%) пациентки 1-й группы отмечена экструзия имплантата, в результате чего произведено иссечение сетчатого протеза с последующей антибактериальной и противовоспалительной терапией. В 5% случаев среди пациенток 2-й группы отмечались инфекционные осложнения после проведенной хирургической коррекции ПТО и НМПН. Среди пациенток 3-й группы послеоперационных осложнений не выявлено.
Анализ эффективности воздействия метаболотропных препаратов у пациенток 2 и 3-й групп производился на основании анализа динамики основных показателей обмена углеводов, липидов, предикторов МС, ИМТ и маркеров дисфункции эндотелия в течение 6 мес наблюдения (табл. 4, 5).
Таблица 4. Анализ эффективности восстановления метаболического профиля в течение 6 мес наблюдения у пациенток 2-й группы (n=20; p<0,05)
Table 4. Analysis of the effectiveness of restoration of the metabolic profile over 6 months of follow-up in patients of the group 2 (n=20; p<0.05)
Показатели | До лечения | На фоне лечения |
ИМТ | 31,3±0,36 | 30,4±0,34* |
ТГ, ммоль/л | 2,34±0,25 | 1,87±0,20 |
ОХС, ммоль/л | 6,82±0,41 | 6,23±0,38 |
Коэффициент атерогенности | 4,02±0,14 | 3,19±0,11* |
Глюкоза, ммоль/л | 6,47±0,49 | 5,48±0,38 |
ИИ | 3,62±0,13 | 2,94±0,11 |
Гомоцистеин, мкмоль/л | 14,39±0,59 | 14,45±0,25 |
*Надстрочный индекс обозначает достоверность различия по сравнению с исходным уровнем (p<0,05).
У пациенток 2-й группы отмечаются снижение уровня ТГ (2,34±0,25; 1,87±0,20), нормализация показателей углеводного обмена (6,47±0,49; 5,48±0,38), однако отсутствуют благоприятная динамика уровня гомоцистеина и значимое снижение общего холестерина (ОХС), что косвенно свидетельствует о персистенции факторов оксидативного стресса и негативного влияния на эндотелий сосудов.
Таблица 5. Анализ эффективности восстановления метаболического профиля в течение 6 мес наблюдения у пациенток 3-й группы (n=20; p<0,05)
Table 5. Analysis of the efficiency of restoration of the metabolic profile over 6 months of follow-up in patients of the group 3 (n=20; p<0.05)
Показатели | До лечения | На фоне лечения |
ИМТ | 31,6±0,27 | 29,2±0,54* |
ТГ, ммоль/л | 2,74±0,17 | 1,53±0,18* |
ОХС, ммоль/л | 6,86±0,57 | 4,98±0,34* |
Коэффициент атерогенности | 4,1±0,23 | 3,26±0,24* |
Глюкоза, ммоль/л | 6,7±0,61 | 5,15±0,14* |
ИИ | 3,89±0,32 | 2,45±0,25* |
Гомоцистеин, мкмоль/л | 14,85±0,19 | 9,35±0,47* |
*Надстрочный индекс обозначает достоверность различия по сравнению с исходным уровнем (p<0,05).
При анализе динамики метаболических показателей у пациенток 3-й группы отмечается значительное улучшение параметров как липидного (уровень ТГ снизился с 2,74±0,17 до 1,53±0,18 ммоль/л), так и углеводного обмена (уровень глюкозы плазмы уменьшился с 6,7±0,6 до 5,15±0,14 ммоль/л); p<0,05. Следует отметить, что степень благоприятного воздействия на указанные показатели выше, чем у пациенток 2-й группы. В ходе сравнительного анализа метаболических показателей у пациенток 2 и 3-й групп отмечаются статистически значимые различия уровня гомоцистеина (14,45±0,25 мкмоль/л – во 2-й группе; 9,35±0,47 мкмоль/л – в 3-й группе) и ОХС (6,23±0,38 ммоль/л – во 2-й группе; 4,98±0,34 ммоль/л – в 3-й группе), что характеризует благоприятную динамику при применении препарата Сулодексид (p<0,05). Следует отметить, что данные сравнительного анализа отражают динамику изменений показателей в процессе лечения, так как до назначенной терапии статистически значимых различий по концентрации гомоцистеина и ОХС среди пациенток 2 и 3-й групп не наблюдалось (до лечения уровень гомоцистеина во 2-й группе составлял 14,39±0,59 мкмоль/л, 14,85±0,19 мкмоль/л – в 3-й группе; до лечения уровень ОХС во 2-й группе составлял 6,82±0,41 ммоль/л, 6,86±0,57 ммоль/л – в 3-й группе).
Также в ходе исследования проводился анализ динамики метаболических показателей у пациенток 1-й группы, в ходе которого отмечались отсутствие восстановления углеводного и липидного профиля, а также персистенция факторов, способствующих повреждению эндотелия сосудистой стенки (ОХС, гомоцистеин); табл. 6.
Таблица 6. Анализ метаболических показателей в течение 6 мес наблюдения у пациенток 1-й группы (n=40)
Table 6. Analysis of metabolic parameters over 6 months of follow-up in patients of the group 1 (n=40)
Показатели | До хирургической коррекции | После хирургической коррекции |
ИМТ | 31,1±0,24 | 30,9±0,27 |
ТГ, ммоль/л | 2,09±0,25 | 2,11±0,46 |
ОХС, ммоль/л | 6,43±0,32 | 6,65±0,11 |
Коэффициент атерогенности | 3,9±0,26 | 3,75±0,45 |
Глюкоза, ммоль/л | 6,0±0,31 | 5,9±0,41 |
ИИ | 3,12±0,34 | 3,24±0,26 |
Гомоцистеин, мкмоль/л | 13,2±0,39 | 13,37±0,13 |
Обсуждение
В ходе исследования проводилась оценка эффективности комплексного лечения пациенток с цистоцеле, СНМ и МС, включающего переднюю кольпорафию, установку мини-слинга и коррекцию показателей метаболического профиля с целью улучшения долгосрочных результатов лечения и снижения риска рецидивирования несостоятельности тазовых структур. Результаты проведенного исследования свидетельствуют о высокой анатомической эффективности хирургического метода восстановления нарушенной анатомии компартментов тазового дна, что характеризуется нивелированием НМПН и устранением пролабирования передней стенки влагалища (точка Аа -2,1±0,4; точка Ba –2,0±0,7 через 6 мес послеоперационного периода).
Однако пациентки с МС относятся к группе риска по рецидивированию ПТО и НМПН, что требует воздействия на компоненты углеводного, липидного обмена. По данным G. Gava и соавт. (2019 г.), наличие МС обусловливает повышение риска дисфункции тазового дна, СНМ, особенно среди пациенток с микроваскулярными нарушениями [28]. Несмотря на то, что ожирение может быть как «метаболически нездоровым», так и «метаболически здоровым», оба типа усиливают провоспалительную и оксидативную активность [29]. Механизмы влияния МС на риск развития и степень выраженности дисфункции тазового дна различны, но могут включать ЭД, атеросклероз-ассоциированные нарушения микроциркуляторного русла, хроническую воспалительную реакцию, что приводит к дестабилизации тканевой репарации и возникновению повреждений связочно-мускулярного аппарата [30, 31].
Нарушения липидного профиля, гипертриглицеридемия также вовлечены в процесс патогенеза и усиления выраженности ГП и НМПН. По данным B. Grygiel-Górniak и соавт. (2018 г.) отмечена связь полиморфизма β3-адренергических рецепторов в генезе влияния повышенного уровня ТГ на соединительнотканные компоненты [32]. Сахарный диабет и предиабетические состояния также негативно воздействуют на целостность тазового дна, в большей степени за счет повреждающего влияния на сосуды микроциркуляторного русла и эндотелий [33].
По данным различных исследований отмечено отсутствие значительного влияния ожирения и МС на краткосрочные результаты хирургического лечения ПТО и НМПН, однако при дальнейшем наблюдении пациенток риск рецидивирования дисфункции тазового дна при наличии нарушенного метаболического профиля возрастает [16, 28]. Нарушенный метаболический фон неблагоприятно воздействует на процесс репарации тканей и фиксации сетчатого протеза в послеоперационном периоде, о чем косвенно свидетельствует возникновение mesh-ассоциированных эрозий и экструзии имплантата у пациенток 1-й группы, которым не производилась коррекция метаболического дисбаланса. В ходе нашего исследования пациенткам 2 и 3-й групп в течение 6 мес послеоперационного периода производилось консервативное лечение с помощью препаратов, воздействующих на метаболический фон. Отмечено, что применение гиполипидемических препаратов и инсулиносенситайзеров у пациенток с МС способствует улучшению показателей липидного и углеводного обмена. Добавление Сулодексида у пациенток 3-й группы способствовало более выраженной динамике снижения уровня ТГ (с 2,34±0,25 до 1,87±0,20 ммоль/л во 2-й группе и с 2,74±0,17 до 1,53±0,18 ммоль/л в 3-й группе), индекса инсулинорезистентности – ИИ (с 3,62±0,13 до 2,94±0,11 во 2-й группе; с 3,89±0,32 до 2,45±0,25 в 3-й группе), а также значительному снижению уровня гомоцистеина (с 14,85±0,19 до 9,35±0,47 мкмоль/л у пациенток 3-й группы) и ОХС (с 6,86±0,57 до 4,98±0,34 мкмоль/л у пациенток 3-й группы), что свидетельствует о восстановлении эндотелиального слоя сосудов микроциркуляторного русла.
ЭД у пациенток с МС приводит к дезорганизации эндотелиального слоя, что может способствовать нарушению репарации тканей и возникновению mesh-эрозий после хирургической коррекции НМ, а также рецидивированию опущения стенок влагалища после пластики собственными тканями. Для предупреждения этого при наличии маркеров ЭД с целью улучшения послеоперационных исходов следует применять препараты, способствующие восстановлению сосудов микроциркуляторного русла (рис. 2).
Рис. 2. Алгоритм комплексного лечения пациенток с ПТО и МС.
Fig. 2. Algorithm for comprehensive treatment in patients with POP and MS.
Заключение
Таким образом, следует отметить, что МС и ПТО неразрывно связаны между собой. Избыточная масса тела и ожирение как факторы риска не только инициируют развитие несостоятельности структур тазового дна, но и повышают риск рецидивирования клинической симптоматики ГП и СНМ в послеоперационном периоде. Повышенный уровень ТГ, гипергликемия, хроническая воспалительная реакция, ЭД, присущие МС, ассоциированы с неблагоприятными клиническими исходами после оперативного лечения у пациенток с НМ и ПТО. Комплексное лечение, включающее выполнение хирургической коррекции ПТО и НМПН, а также применение препаратов, восстанавливающих углеводный, липидный обмен, эндотелиальный сосудистый слой, способствуют не только устранению дефектов тазовых органов, но и восстановлению метаболического фона. Гиполипидемические препараты, инсулиносенситайзеры обладают благоприятным и эффективным воздействием на компоненты обменных процессов у пациенток с МС и дисфункцией тазового дна, а при сочетании с препаратами, восстанавливающими эндотелиальный слой, снижается риск интенсификации степени ПТО и минимизируется вероятность mesh-осложнений в послеоперационном периоде.
Конфликт интересов. Авторы заявляют об отсутствии конфликта интересов.
Conflict of interests. The authors declare no conflict of interest.
Об авторах
Ирина Александровна Лапина
ФГАОУ ВО «Российский национальный исследовательский медицинский университет им. Н.И. Пирогова» Минздрава России
Автор, ответственный за переписку.
Email: doclapina@mail.ru
ORCID iD: 0000-0002-2875-6307
кандидат медицинских наук, доценткафедрой акушерства и гинекологии лечебного факульта
Россия, МоскваЮлия Эдуардовна Доброхотова
ФГАОУ ВО «Российский национальный исследовательский медицинский университет им. Н.И. Пирогова» Минздрава России
Email: pr.dobrohotova@mail.ru
ORCID iD: 0000-0002-7830-2290
- доктор медицинских наук, профессор, заведующий кафедрой акушерства и гинекологии лечебного факульта
Владислав Витальевич Таранов
ФГАОУ ВО «Российский национальный исследовательский медицинский университет им. Н.И. Пирогова» Минздрава России
Email: vlastaranov@mail.ru
ORCID iD: 0000-0003-2338-2884
аспирант кафедрой акушерства и гинекологии лечебного факульта
Россия, МоскваТатьяна Геннадьевна Чирвон
ФГАОУ ВО «Российский национальный исследовательский медицинский университет им. Н.И. Пирогова» Минздрава России
Email: tkoltinova@gmail.com
ORCID iD: 0000-0002-8302-7510
аспирант кафедрой акушерства и гинекологии лечебного факульта
Россия, МоскваПолина Волкова
ФГАОУ ВО «Российский национальный исследовательский медицинский университет им. Н.И. Пирогова» Минздрава России
Email: doclapina@mail.ru
ORCID iD: 0000-0002-3439-6731
врач-ординатор кафедрой акушерства и гинекологии лечебного факульта
Россия, МоскваАнастасия Александровна Малахова
ФГАОУ ВО «Российский национальный исследовательский медицинский университет им. Н.И. Пирогова» Минздрава России
Email: doclapina@mail.ru
ORCID iD: 0000-0002-2140-8000
врач-ординатор кафедрой акушерства и гинекологии лечебного факульта
Россия, МоскваСписок литературы
- Samson SL, Garber AJ. Metabolic Syndrome. Endocrinol Metab Clin North Am. 2014;43(1):1–23. doi: 10.1016/j.ecl.2013.09.009
- Li B, Gao G, Zhang W, et al. Metabolomics analysis reveals an effect of homocysteine on arachidonic acid and linoleic acid metabolism pathway. Mol Med Rep. 2018;17(5): 6261-8. doi: 10.3892/mmr.2018.8643
- Weintraub AY, Glinter H, Marcus-Braun N. Narrative review of the epidemiology, diagnosis and pathophysiology of pelvic organ prolapse. Int Braz J Urol. 2020;46(1):5-14. doi: 10.1590/S1677-5538.IBJU.2018.0581
- Naz SGM, Tehrani RF, Behroozi-Lak T, et al. Polycystic Ovary Syndrome and Pelvic Floor Dysfunction: A Narrative Review. Res Rep Urol. 2020;12:179-85. doi: 10.2147/RRU.S249611
- Frigerio M, Mastrolia SA, Spelzini F, et al. Long-term effects of episiotomy on urinary incontinence and pelvic organ prolapse: a systematic review. Arch Gynecol Obstet. 2019;299(2):317-25. doi: 10.1007/s00404-018-5009-9
- Lee UJ, Kerkhof MH, van Leijsen SA, Heesakkers JP. Obesity and pelvic organ prolapse. Curr Opin Urology. 2017;27(5):428-34. doi: 10.1097/mou.0000000000000428
- Coyne KS, Wein A, Nicholson S, et al. Comorbidities and personal burden of urgency urinary incontinence: a systematic review. Int J Clin Pract. 2013;67:1015-33
- Giri A, Hartmann KE, Hellwege JN, et al. Obesity and pelvic organ prolapse: a systematic review and meta-analysis of observational studies. Am J Obstet Gynecol. 2017;217(1):11–26.e13. doi: 10.1016/j.ajog.2017.01.039
- Pomian A, Lisik W, Kosieradzki M, Barcz E. Obesity and pelvic floor disorders: a review of the literature. Med Sci Monit. 2016;22:1880. doi: 10.12659/MSM.896331
- Лапина И.А., Доброхотова Ю.Э., Таранов В.В., Чирвон Т.Г. Профилактика дисбиотических и воспалительных заболеваний влагалища и вульвы после хирургической коррекции генитального пролапса и стрессового недержания мочи. Гинекология. 2020;22(6):111-4 [Lapina IA, Dobrokhotova JE, Taranov VV, Chirvon TG. Prevention of dysbiotic and inflammatory diseases of the vagina and vulva after surgical correction of genital prolapse and stress urinary incontinence. Gynecology. 2020;22(6):111-4 (in Russian)]. doi: 10.26442/20795696.2020.6.200547
- Van Der Ploeg JM, Rengerink KO, Van Der Steen A, et al. Transvaginal prolapse repair with or without the addition of a midurethral sling in women with genital prolapse and stress urinary incontinence: a randomised trial. Br J Obstet Gynaecol. 2015;122:1022-30.
- Veit-Rubin N, Dubuisson JB, Gayet-Ageron A, et al. Patient satisfaction after laparoscopic lateral suspension with mesh for pelvic organ prolapse: outcome report of a continuous series of 417 patients. Int Urogynecol J. 2017;28:1685-93.
- Seracchioli R, Raimondo D, Arena A, et al. Laparoscopic Mesh-Less Cervicosacropexy for Uterovaginal Prolapse. Female Pelvic Med Reconstr Surg. 2018;24(6):399-403. doi: 10.1097/spv.0000000000000464
- Altman D, Väyrynen T, Engh ME, et al. Nordic Transvaginal Mesh Group. Anterior colporrhaphy versus transvaginal mesh for pelvic-organ prolapse. N Engl J Med. 2011;364:1826-36.
- Chmielewski L, Walters MD, Weber AM, Barber MD. Reanalysis of a randomized trial of 3 techniques of anterior colporrhaphy using clinically relevant definitions of success. Am J Obstet Gynecol. 2011;205:69. e1-8.
- Pomian A, Lisik W, Kosieradzki M, Barcz E. Obesity and Pelvic Floor Disorders: A Review of the Literature. Med Sci Monit. 2016;22:1880-6. doi: 10.12659/MSM.896331
- Wasserberg N, Haney M, Petrone P. Morbid obesity adversely impacts pelvic floor function in females seeking attention for weight loss surgery. Dis Colon Rectum. 2007;50(12):2096-103.
- Otunctemur A, Dursun M, Ozbek E. Impact of metabolic syndrome on stress urinary incontinence in pre- and postmenopausal women. Int Urol Nephrol. 2014;46(8):1501-5.
- Rogowski A, Bienkowski P, Tarwacki D. Association between metabolic syndrome and pelvic organ prolapse severity. Int Urogynecol J. 2015;26(4):563-68.
- Kawasaki A, Corey EG, Laskey RA. Obesity as a risk for the recurrence of anterior vaginal wall prolapse after anterior colporrhaphy. J Reprod Med. 2013;58(5-6):195-9.
- Meschia M, Rossi G, Bertini S, et al. Single incision mid-urethral slings: impact of obesity on outcomes. Eur J Obstet Gynecol Reprod Biol. 2013;170(2):571-4. doi: 10.1016/j.ejogrb.2013.08.007
- Moore RD, De Ridder D, Kennelly MJ. Two-year evaluation of the MiniArc in obese versus non-obese patients for treatment of stress urinary incontinence. Int J Urol. 2013;20(4):434-40.
- Baldassarre M, Alvisi S, Berra M, et al. Changes in vaginal physiology of menopausal women with type 2 diabetes. J Sex Med. 2015;12(6):1346-55.
- Лапина И.А., Доброхотова Ю.Э., Озолиня Л.А., и др. Комплексный подход к ведению пациенток с гиперплазией эндометрия и метаболическим синдромом. Гинекология. 2021;23(1):55-61 [Lapina IA, Dobrokhotova YuE, Ozolinya LA, et al. An integrated approach to the management of patients with endometrial hyperplasia and metabolic syndrome. Gynecology. 2021;23(1):55-61 (in Russian)].doi: 10.26442/20795696.2021.1.200642
- Coccheri S, Mannello F. Development and use of sulodexide in vascular diseases: implications for treatment. Drug Des Devel Ther. 2013;24:49-65.
- Li T, Liu X, Zhao Z, et al. Sulodexide recovers endothelial function through reconstructing glycocalyx in the balloon-injury rat carotid artery model. Oncotarget. 2017;8:91350-61.
- Mannello F, Ligi D, Raffetto JD. Glycosaminoglycan sulodexide modulates inflammatory pathways in chronic venous disease. Int Angiol. 2014;33:236-42.
- Gava G, Alvisi S, Mancini I, et al. Prevalence of metabolic syndrome and its components in women with and without pelvic organ prolapse and its association with prolapse severity according to the Pelvic Organ Prolapse Quantification system. Int Urogynecol J. 2019;30(11):1911-7. doi: 10.1007/s00192-018-3840-y
- Catoi AF, Pârvu AE, Andreicuț AD, et al. Metabolically healthy versus unhealthy morbidly obese: chronic inflammation, nitro-oxidative stress, and insulin resistance. Nutrients. 2018;10(9):1199. doi: 10.3390/nu10091199
- Lucero D, López GI, Gorzalczany S, et al. Alterations in triglyceride rich lipoproteins are related to endothelial dysfunction in metabolic syndrome. Clin Biochem. 2016;49(12):932-5.
- Collins KH, Herzog W, MacDonald GZ, et al. Obesity, metabolic syndrome, and musculoskeletal disease: common inflammatory pathways suggest a central role for loss of muscle integrity. Front Physiol. 2018;9:112. doi: 10.3389/fphys.2018.00112
- Grygiel-Górniak B, Ziółkowska-Suchanek I, Kaczmarek E, et al. PPARgamma-2 and ADRB3 polymorphisms in connective tissue diseases and lipid disorders. Clin Interv Aging. 2018;13:463-72.doi: 10.2147/CIA.S157186
- Isik H, Aynioglu O, Sahbaz A, et al. Are hypertension and diabetes mellitus risk factors for pelvic organ prolapse? Eur J Obstet Gynecol Reprod Biol. 2016;197:59-62. doi: 10.1016/j.ejogrb.2015.11.035.
Дополнительные файлы





