Comparative evaluation of the results of an immunocytochemical study of P16/Ki-67 coexpression in patients with cervical intraepithelial neoplasia associated with human papillomavirus
- Authors: Klinyshkova T.V.1, Samosudova I.B.2, Buyan M.S.3
- 
							Affiliations: 
							- Omsk State Medical University
- Clinical and diagnostic center “Ultramed”
- Gynecological Hospital
 
- Issue: Vol 23, No 4 (2021)
- Pages: 341-345
- Section: ORIGINAL ARTICLE
- Published: 22.09.2021
- URL: https://gynecology.orscience.ru/2079-5831/article/view/80346
- DOI: https://doi.org/10.26442/20795696.2021.4.200949
- ID: 80346
Cite item
Full Text
Abstract
Aim. To evaluate the results of an immunocytochemical study of p16/Ki-67 double staining in the cervical epithelium of patients with cervical intraepithelial neoplasia (CIN) associated with high-risk human papillomavirus (HPVhr) in comparison with patients without cervical pathology.
Materials and methods. The comparative study included the results of examination of 75 patients divided into 4 groups. Patients with CIN1 comprised the 1st main group (n=21), women with CIN2–CIN3 – the 2nd main group (n=26), the comparison group consisted of patients with latent HPV infection (n=15) and the control group (n=13). The average age of women with cervical HPV infection was 26.4±6.13 years. Methods of investigation: liquid cytology, colposcopic, histological examination; methods for determining HPVhr DNA; immunocytochemical examination for determining double staining of p16/Ki-67 markers, statistical analysis.
Results. A positive p16/Ki-67 double staining test prevailed among patients with CIN (31.9%) compared to patients without cervical pathology (3.6%) (p=0.003) and correlated with the severity of colposcopic signs (rs=+0.397, p=0.0004). In the 1st main group of patients with verified CIN1 and in the comparison group of patients with latent infection, isolated cases of a positive test of double staining of p16/Ki-67 markers in the epithelium were recorded without significant differences between the groups (9.5 и 6.6%, p>0.05). In the 2nd main group of patients with verified CIN2, CIN3, a positive test of double staining of p16 and Ki-67 was observed in every second case, dominating relative to the 1st group, the comparison group and the control group (p=0.003, p=0.005, р=0.001 respectively). In the control group, a negative double staining test was established in all cases.
Conclusion. Every second patient with CIN2+ associated with HPVhr has a positive test of double staining of the cervical epithelium, with CIN1 it is observed in 9.5% of cases (p=0.003). Among patients with CIN1, there were no differences in the expression of p16/Ki-67 in epithelial cells compared to women without cervical pathology. The data of the immunocytochemical study of p16/Ki-67 in the cervical epithelium of HPVhr – positive patients with CIN should be taken into account when choosing a differentiated management strategy.
Full Text
Актуальность
Последнее десятилетие характеризуется ежегодным увеличением пациенток, страдающих раком шейки матки (РШМ) [1]. Распространенность РШМ в масштабах России выросла с 111,6 в 2009 г. до 126,8 на 100 тыс. женского населения в 2019 г. Заболеваемость РШМ на протяжении последних лет находится на второй позиции после рака тела матки в структуре раков гениталий в стране [2].
В связи с этим актуальны совершенствование методов диагностики цервикальной папилломавирусной инфекции и своевременное лечение пациенток с предраком, ассоциированным с вирусом папилломы человека (ВПЧ). При разработке профилактических стратегий, основанных на детекции ВПЧ высокого риска (ВР), проводится углубленное изучение маркеров пролиферации, метилирования при цервикальной ВПЧ-инфекции и их внедрение в клиническую практику [3–6].
Среди прогностических маркеров риска большое внимание уделяется p16ink4α – протеину, участвующему в контроле клеточного цикла, маркеру пролиферации – Ki-67, возможность определения которых осуществляется посредством иммуноморфологического исследования. Показано, что среди ВПЧ-позитивных пациенток риск цервикальной интраэпителиальной неоплазии (CIN)3+ значительно выше среди р16-позитивных (4,7%) в сравнении с р16-негативными пациентками (0,8%) [6]. Гиперэкспрессию р16 называют маркером CIN2 и связывают с высоким риском CIN3+ в течение 3 лет у ВПЧ ВР-позитивных женщин, особенно в возрасте 35–60 лет.
Установлено, что диагностическое значение имеет не столько изолированное определение p16ink4α или Ki-67, сколько одновременное их обнаружение (коэкспрессия) в результате иммуноцитохимического (ИЦХ) исследования в виде двойного окрашивания (dual stain). Признается также, что р16/Ki-67 – надежный инструмент стратификации риска среди ВПЧ-позитивных женщин. Учитывая опыт предыдущих исследований, научный интерес имеет оценка коэкспрессии биомаркеров при ВПЧ-ассоциированных CIN в сравнительном контексте.
Цель исследования – оценить результаты ИЦХ-исследования двойного окрашивания р16/Ki-67 в цервикальном эпителии больных с ВПЧ ВР-ассоциированными CIN в сравнении с пациентками без цервикальной патологии.
Материалы и методы
Сравнительное ретроспективное исследование включало результаты обследования 75 пациенток, сформированы 4 группы в соответствии с критериями включения. Пациентки с CIN составили две основные группы: CIN1 (средний возраст – 24,9±3,77 года) – 1-ю основную группу (n=21), CIN2–CIN3 (средний возраст – 29,1±7,22 года) – 2-ю основную группу (n=26). Пациентки без цервикальной патологии составили две группы: группу сравнения и группу контроля. Группа сравнения включала пациенток с латентной ВПЧ-инфекцией (средний возраст – 25,7±5,63 года; n=15), группа контроля – 13 женщин (средний возраст – 25,9±6,97 года).
Общие критерии включения для всех групп: репродуктивный возраст пациенток, наличие результатов ВПЧ-теста, жидкостной цитологии, ИЦХ-исследования цервикального материала на р16/Ki-67, кольпоскопия. Критерии включения в 1-ю основную группу: наличие позитивного цервикального ВПЧ-теста, аномальная кольпоскопическая картина, гистологическая верификация CIN1. Критерии включения во 2-ю основную группу: наличие позитивного цервикального ВПЧ-теста, гистологическая верификация CIN2, CIN3.
Критерии включения в группу сравнения: наличие позитивного ВПЧ-теста, NILM (negative for intraepithelial lesion or malignancy) по данным цитологического исследования, отсутствие аномальной кольпоскопической картины. Критерии включения в группу контроля: наличие негативного ВПЧ-теста, NILM по данным цитологического исследования, нормальная кольпоскопическая картина. Информированное согласие пациенток являлось обязательным условием для участия в исследовании. Критерии исключения: несоответствующий возраст больных, беременность и лактация, РШМ, отказ от участия в исследовании.
Применялись следующие методы: цитологическое исследование (жидкостная цитология – Sure Path); кольпоскопия с подсчетом кольпоскопических индексов R. Reid (1993 г.) и M. Shafi & Nazeеr (2006 г.); гистологическое исследование; метод полимеразной цепной реакции для стандартной детекции 14 типов ВПЧ; ИЦХ-исследование для определения двойного окрашивания маркеров р16 и Ki-67 – p16/Ki-67 dual stain cytology test (тест-система CINtec® PLUS Kit, Германия). Цитологические исследования выполнялись врачом О.Н. Мироновой БУЗОО «Клинический диагностический центр» (глав. врач – Н.И. Орлова). Забор материала для ИЦХ-исследования выполнялся после получения результатов ВПЧ-теста и цитологии (до кольпоскопии и биопсии). Гистологическое исследование цервикобиоптатов проводилось в основных группах, цитологическое – в группах сравнения. Результаты ИЦХ-исследования по выявлению позитивного теста сопоставлялись в последующем с данными гистологического исследования в основных группах.
Статистический анализ данных проводился с применением пакетов Statistica 6, EpiInfo (версия 3.3), возможностей MS Excel. Проверка нормальности распределения количественных признаков выполнялась по критерию Шапиро–Уилка. Во всех процедурах статистического анализа критический уровень значимости р принимался равным 0,05. Данные в тексте представлены в виде M±SD, где M – средняя арифметическая, SD – стандартное отклонение средней. Применяли корреляционный анализ, направление и силу связи определяли с помощью коэффициента Пирсона. Для сравнения качественных показателей в группах использовались точный критерий Фишера, метод углового преобразования Фишера.
Таблица 1. Количественная характеристика балльной кольпоскопической оценки шейки матки у больных с CIN
Table 1. Quantitative characteristics of the scoring colposcopic assessment of the cervix in patients with CIN
| Баллы | 1-я основная группа (n=21) | 2-я основная группа (n=26) | Баллы | 1-я основная группа (n=21) | 2-я основная группа (n=26) | 
| Кольпоскопический индекс R. Reid | Клинико-кольпоскопический индекс | ||||
| 0–2 | 18 | 1 | 0–1 | 12 | 0 | 
| 3 | 3 | 1 | 2–3 | 7 | 2 | 
| 4 | 0 | 9 | 4–5 | 2 | 10 | 
| 5–8 | 0 | 15 | 6–7 | 0 | 8 | 
| 8–10 | 0 | 6 | |||
Результаты и обсуждение
Средний возраст женщин с цервикальной ВПЧ-инфекцией составил 26,4±6,13 года, неинфицированных – 25,9±6,97 года. При тестировании на ВПЧ ВР доминировали ВПЧ-16 и 31, по количеству типов папилломавирусная инфекция протекала в варианте моноинфекции (71,0%) или коинфекции (29,0%). Количественная характеристика встречаемости аномальных кольпоскопических картин представлена в соответствии с балльной шкалой R. Reid и M. Shafi & Nazeer на основании совокупности признаков (табл. 1). С увеличением балла повышается вероятность тяжелого поражения эпителия шейки матки. Выявление аномальных кольпоскопических картин у пациенток основных групп служило основанием для выполнения биопсии и гистологической верификации CIN.
Таблица 2. Количественная оценка выявления коэкспрессии p16/Ki-67 в эпителии пациенток с ВПЧ-ассоциированными CIN в сравнении с пациентками без цервикальной патологии
Table 2. Quantitative assessment of the detection of p16 / Ki-67 co-expression in the epithelium of patients with human papillomavirus (HPV)-associated CIN in comparison with patients without cervical pathology
| Показатели | 1-я основная группа, n=21 (1) | 2-я основная группа, n=26 (2) | Группа сравнения, n=15 (3) | Группа контроля, n=13 (4) | Уровень статистически значимых различий | ||||
| Экспрессия p16/Ki-67 | 2 | 13 | 1 | 0 | φ1,2=0,186 р1,2=0,003 | φ1,3=0,002 р1,3=0,63 | φ1,4=0,038 р1,4=0,37 | φ2,3=0,193 р2,3=0,005 | φ2,4=0,250 р2,4=0,001 | 
Примечание: р1,2 – сравнение между 1 и 2-й группой, р1,3 – сравнение между 1-й группой и группой сравнения, р1,4 – сравнение между 1-й группой и группой контроля, р2,3 – сравнение между 2-й группой и группой сравнения, р3,4 – сравнение между 2-й группой и группой контроля.
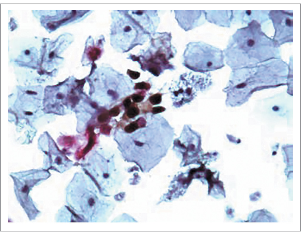
Дана оценка частоте позитивного результата двойного окрашивания p16/Ki-67 в эпителии образцов от 75 пациенток: с CIN1, CIN2,3, с латентной формой ВПЧ-инфекции и группы контроля. Позитивный тест двойного окрашивания с помощью ИЦХ-исследования эпителия отражал наличие коэкспрессии p16/Ki-67 (рис. 1). На примере позитивного теста показано двойное окрашивание маркеров в цервикальном эпителии пациентки 2-й основной группы с HSIL (High-grade Squamous Intraepithelial Lesion) на фоне ВПЧ-16.
Рис. 1. Коэкспрессия p16/Ki-67. CINtec PLUS positive. Sure Path, HSIL, ×200. ВПЧ-16.
Fig. 1. Co-expression of p16 / Ki-67. CINtec PLUS positive. Sure Path, HSIL, × 200. HPV-16.
В группе контроля у пациенток без цервикальной патологии негативным ВПЧ-тестом и NILM по данным цитологического исследования установлено отсутствие двойного окрашивания маркеров во всех случаях (табл. 2).
Позитивный тест двойного окрашивания p16/Ki-67 был выявлен у 16 обследованных женщин. Среди пациенток с CIN (основные группы) он наблюдался в 31,9% случаев, что значительно превышало частоту показателя среди пациенток без цервикальной патологии (группа сравнения и контроля, 3,6%); р=0,003. В 1-й основной группе и группе сравнения случаи двойного окрашивания маркеров установлены в 9,5 и 6,7% наблюдений соответственно. Во 2-й основной группе позитивный тест был зафиксирован у каждой второй женщины со значительным доминированием относительно 1-й основной группы и группы сравнения.
Сравнительный анализ позволил установить отсутствие различий позитивного теста коэкспрессии р16/Ki-67 в 1-й основной группе относительно группы сравнения и неинфицированных женщин без цервикальной патологии (р>0,05). Вторая основная группа характеризовалась статистически значимым преобладанием частоты позитивного теста в сравнении с контролем, латентной инфекцией и 1-й основной группой (р=0,001, р=0,005, р=0,003 соответственно). Учитывая наличие экспрессии маркеров при латентной инфекции (1 случай) можно предположить угрозу риска развития CIN при отсутствии на момент исследования клинических и цитологических проявлений поражения. На наш взгляд, дальнейшие исследования необходимы с участием данной когорты инфицированных.
Для выяснения взаимосвязи коэкспрессии маркеров с клинической картиной использовали данные кольпоскопии. С целью унификации полученных кольпоскопических данных при проведении корреляционного анализа применяли кольпоскопические индексы. Так, между позитивным тестом р16/Ki-67 и клинико-кольпоскопическим индексом M. Shafi & Nazeеr установлена прямая средней силы корреляционная связь в группе больных с ВПЧ-ассоциированными CIN (rs=+0,397, p=0,0004). Корреляционный анализ между позитивным тестом р16/Ki-67 и кольпоскопическим индексом R. Reid также подтвердил прямую взаимосвязь выраженности аномальных кольпоскопических признаков с коэкспрессией в эпителии шейки матки (rs=+0,362, p=0,001).
Известно, что ВПЧ-тест отражает факт наличия вируса, а цитологическое изучение позволяет установить состояние эпителиальных клеток на момент исследования, в то время как оценка р16/Ki-67 детализирует уровень пролиферативной активности эпителия шейки матки, а значит, имеет прогностическое значение на начальном уровне эпителиальных изменений, ассоциированных с ВПЧ ВР. Белок p16 осуществляет контроль клеточного цикла, относится к ингибиторам циклинзависимых киназ, которые тормозят пролиферацию. Ki-67 является белком клеточной пролиферации и экспрессируется в течение всех активных фаз клеточного цикла. При персистирующем течении инфекции, вызванной ВПЧ ВР, уровень экспрессии р16 возрастает, способствуя усилению пролиферации цервикального эпителия.
Уровень биомаркеров можно оценивать не только в эпителиальных клетках при проведении иммуноцитохимии (коричневое цитоплазматическое и/или ядерное окрашивание указывает на наличие р16, красное окрашивание ядра – на присутствие Ki-67), но и посредством иммуногистохимии. Если ИЦХ-исследование позволяет установить факт экспрессии изучаемого маркера, то по данным иммуногистохимии можно детализировать выраженность признаков окрашивания. По данным иммуногистохимического исследования экспрессии p16 в биоптатах пациенток с ВПЧ-ассоциированными CIN2–CIN3 были выявлены более выраженная интенсивность реакции, протяженность окраски, более высокая частота обнаружения ядерной метки, 3-кратное повышение величины иммуногистохимического индекса в сравнении с CIN1 [5]. Одновременное определение р16 и Ki-67 имеет очевидные преимущества как с позиции более высокой информативности двух маркеров, так и неинвазивности забора материала, меньшей трудоемкости при выполнении ИЦХ-исследования, более быстрого получения результата.
Клиническая интерпретация теста двойного окрашивания имеет следующее значение. Оценка уровня пролиферативного потенциала эпителия шейки матки на основании одновременного изучения экспрессии двух маркеров р16/Ki-67 позволяет прогнозировать течение папилломавирусной инфекции. Даже при CIN1, по результатам данного исследования, могут встречаться случаи более активного течения заболевания в каждом десятом случае. Соответственно, и тактика ведения таких пациенток должна быть скорректирована, поскольку выжидательная тактика на протяжении 24 мес представляет риск трансформации CIN1 в CIN2 еще до отведенного срока обследования в соответствии с алгоритмом.
Возможность консервативного подхода при CIN2 остается дискутабельной. Предпочтительной лечебной тактикой при CIN2 является петлевая эксцизия ЗТ (LEEP/LLETZ), в то же время описаны результаты регрессии CIN2: 44,1% поражений регрессировали без лечения в течение 12 мес наблюдения [7, 8]. Вероятность спонтанной регрессии зависит от возраста. У женщин до 25 лет она наблюдается чаще – до 62% случаев за 8 мес [9]. В действующих клинических рекомендациях 2020 г. и Национальном руководстве «Гинекология» отмечено, что хирургическое лечение показано при CIN2 p16-позитивных. Динамическое наблюдение допустимо у женщин до 25 лет с диагнозом CIN2 в биоптате при р16-негативном результате иммуногистохимии с использованием цитологии, ВПЧ-теста и кольпоскопии 1 раз в 6 мес в течение 2 лет. В случае отсутствия регресса – активная тактика (эксцизия шейки матки).
Метод оценки двойного окрашивания p16/Ki67 может применяться не только у пациенток с CIN с целью выбора тактики ведения (при CIN1), но и в рамках цервикального скрининга. Цитологический метод двойного окрашивания рекомендуется использовать для отбора/дообследования (triage) ВПЧ-позитивных пациенток при первичном ВПЧ-скрининге, поскольку он повышает чувствительность цитологии. Популярность данного подхода за рубежом иллюстрирует ряд исследований [10–14]. По мнению С. Areán-Cuns и соавт., двойное окрашивание для p16/Ki-67 является более специфичным тестом, чем цитология для сортировки ВПЧ-позитивных женщин [10]. Так, имея сходную чувствительность (99,0% против 98,0%), специфичность цитологии значительно уступала двойному тесту (6,9% против 39,1%). Тест на p16/Ki67 обнаруживал 2-кратное преимущество в подтверждении CIN и рака в сравнении с цитологией по результатам исследования ВПЧ-позитивных пациенток, что позволяет снизить затраты на кольпоскопию [10]. В крупномасштабном исследовании ATHENA (n=7727) показано, что для выявления CIN3+ чувствительность метода р16/Ki-67 была значительно выше Рар-цитологии (74,9% против 51,9%) [11]. Появились также доказательства преимущества оценки p16/Ki-67 для детекции CIN2+/CIN3+ в сравнении с ВПЧ ВР-тестом среди пациенток с начальными признаками аномальных цитологических мазков, таких как ASCUS или LSIL [15].
Немаловажно, что получены результаты долгосрочной стратификации риска цервикального предрака при использовании данного метода в сравнении с цитологией. ВПЧ-позитивные женщины с p16/Ki-67-отрицательными результатами имели значительно более низкие 5-летние риски CIN2+ в сравнении с ВПЧ-позитивными женщинами с нормальной цитологией [15, 16]. Все сказанное свидетельствует о рациональности более активного внедрения данного метода в клиническую практику.
Заключение
Среди пациенток с CIN преобладает позитивный тест двойного окрашивания p16/Ki-67 (31,9%) в сравнении с пациентками без цервикальной патологии (3,6%); р=0,003. Степень тяжести CIN влияет на частоту экспрессии маркеров по данным ИЦХ-исследования. Установлена прямая связь коэкспрессии р16/Ki-67 с аномальными кольпоскопическими картинами (р=0,001). Позитивный результат подтвержден у каждой второй пациентки с CIN2+, ассоциированной с ВПЧ ВР, в сравнении с CIN1 (9,5%); p=0,003, что повышает риск прогрессирования предрака и требует активной тактики ведения с применением противовирусного лечения.
Среди пациенток с CIN1 установлено отсутствие различий коэкспрессии р16/Ki-67 в эпителиальных клетках в сравнении с женщинами без цервикальной патологии, что допускает возможность консервативного подхода в условиях противовирусного лечения. В то же время наличие позитивного теста двойного окрашивания диктует целесообразность активной тактики ведения, учитывая риск прогрессирования CIN1.
Конфликт интересов. Авторы заявляют об отсутствии конфликта интересов.
Conflict of interests. The authors declare no conflict of interest.
About the authors
Tatiana V. Klinyshkova
Omsk State Medical University
							Author for correspondence.
							Email: klin_tatyana@mail.ru
				                	ORCID iD: 0000-0002-0544-8184
				                																			                								
D. Sci. (Med.), Prof.
Russian Federation, OmskIrina B. Samosudova
Clinical and diagnostic center “Ultramed”
														Email: klin_tatyana@mail.ru
				                	ORCID iD: 0000-0002-2853-0471
				                																			                								
Cand. Sci. (Med.)
Russian Federation, OmskMariia S. Buyan
Gynecological Hospital
														Email: mam_agata@mail.ru
				                	ORCID iD: 0000-0002-8413-3809
				                																			                								
Cand. Sci. (Med.)
Russian Federation, OmskReferences
- Состояние онкологической помощи населению России в 2019 году. Под ред. А.Д. Каприна, В.В. Старинского, А.О. Шахзадовой. М.: МНИОИ им. П.А. Герцена – филиал ФГБУ «НМИЦ радиологии» Минздрава России, 2020 [The state of cancer care for the population of Russia in 2019. Ed. AD Kaprin, VV Starinskii, AO Shakhzadova. Moscow: MNIOI im. PA Gertsena – filial FGBU “NMITs radiologii” Minzdrava Rossii, 2020 (in Russian)].
- Клинышкова Т.В., Турчанинов Д.В., Буян М.С. Эпидемиологические аспекты рака шейки матки в Омской области. Акушерство и гинекология. 2018;3:102-8 [Klinyshkova ТV, Turchaninov DV, Buyan МS. Epidemiologicheskie aspekty raka sheiki matki v Omskoi oblasti. Akusherstvo i ginekologiya/Obstetrics and gynecology. 2018;3:102-8 (in Russian)]. doi: 10.18565/aig.2018.3.102-108
- Cuschieri K, Ronco G, Lorincz A, et al. Eurogin roadmap 2017: Triage strategies for the management of HPV-positive women in cervical screening. Int J Cancer. 2018;143(4):735-45. doi: 10.1002/ijc.31261
- Прилепская В.Н. ВПЧ-ассоциированные заболевания шейки матки: скрининг, методы обследования, принципы лечения. Гинекология. 2019;21(3):6-8 [Prilepskaya VN. HPV-associated cervical diseases: screening, methods of examination, principles of treatment. Gynecology. 2019;21(3):6-8 (in Russian)]. doi: 10.26442/20795696.2019.3.190595
- Клинышкова Т.В., Каратюк Т.И., Мозговой С.И., Притыкина Т.В. Особенности экспрессии р16ink4α и метаболитов эстрадиола при ВПЧ-ассоциированных плоскоклеточных поражениях шейки матки. Вопросы гинекологии, акушерства и перинатологии. 2011;10(2):45-9 [Klinyshkova ТV, Karatiuk TI, Mozgovoi SI, Pritykina TV. Osobennosti ekspressii р16ink4α i metabolitov estradiola pri VPCh-assotsiirovannykh ploskokletochnykh porazheniiakh sheiki matki. Vopr. ginekol. akus. perinatol. 2011;10(2):45-9 (in Russian)].
- Carozzi F, Gillio-Tos A, Confortini M, et al. Risk of high-grade cervical intraepithelial neoplasia during follow-up in HPV-positive women according to baseline p16-INK4A results: a prospective analysis of a nested substudy of the NTCC randomised controlled trial. Lancet Oncol. 2013;14(2):168-76. doi: 10.1016/S1470-2045(12)70529-6
- Короленкова Л.И. Цервикальные интраэпителиальные неоплазии и ранние формы рака шейки матки. М., 2017 [Korolenkova LI. Cervical intraepithelial neoplasia and early forms of cervical cancer. Moscow, 2017 (in Russian)].
- Guedes AC, Zeferino LC, Syrjänen KJ, Brenna SMF. Short-term outcome of cervical intraepithelial neoplasia grade 2: considerations for management strategies and reproducibility of diagnosis. Anticancer Res. 2010;30(6):2319-23.
- McAllum B, Sykes PHH, Sadler L, et al. Is the treatment of CIN 2 always necessary in women under 25 years old? Am J Obstet Gynecol. 2011;205(5):478.e1-7. doi: 10.1016/j.ajog.2011.06.069
- Areán-Cuns C, Mercado-Gutiérrez M, Paniello-Alastruey I, et al. Dual staining for p16/Ki67 is a more specific test than cytology for triage of HPV-positive women. Virchows Arch. 2018;473(5):599-606. doi: 10.1007/s00428-018-2432-z
- Wright TC Jr, Behrens CM, Ranger-Moore J, et al. Triaging HPV-positive women with p16/Ki-67 dual-stained cytology: Results from a sub-study nested into the ATHENA trial. Gynecol Oncol. 2017;144(1):51-6. doi: 10.1016/j.ygyno.2016.10.031
- Wentzensen N, Clarke MA, Bremer R, et al. Clinical Evaluation of Human Papillomavirus Screening With p16/Ki-67 Dual Stain Triage in a Large Organized Cervical Cancer Screening Program. JAMA Intern Med. 2019;179(7):881-8. doi: 10.1001/jamainternmed.2019.0306
- Gustinucci D, Giorgi Rossi P, Cesarini E, et al. Use of Cytology, E6/E7 mRNA, and p16INK4a-Ki-67 to Define the Management of Human Papillomavirus (HPV)-Positive Women in Cervical Cancer Screening. Am J Clin Pathol. 2016;145(1):35-45. doi: 10.1093/ajcp/aqv019
- Benevolo M, Allia E, Gustinucci D, et al. Interobserver reproducibility of cytologic p16INK4a/Ki-67 dual immunostaining in human papillomavirus-positive women. Сancer Cytopathol. 2017;125(3):212-20. doi: 10.1002/cncy.21800
- Peeters E, Wentzensen N, Bergeron C, Arbyn M. Meta-analysis of the accuracy of p16 or p16/Ki-67 immunocytochemistry versus HPV testing for the detection of CIN2+/CIN3+ in triage of women with minor abnormal cytology. Cancer Cytopathol. 2019;127(3):169-80. doi: 10.1002/cncy.22103
- Clarke MA, Cheung LC, Castle PE, et al. Five-Year Risk of Cervical Precancer Following p16/Ki-67 Dual-Stain Triage of HPV-Positive Women. JAMA Oncol. 2019;5(2):181-6. doi: 10.1001/jamaoncol.
Supplementary files
 
				
			 
					 
						 
						 
				
 
  
  
  Email this article
			Email this article 



 СМИ зарегистрировано Федеральной службой по надзору в сфере связи, информационных технологий и массовых коммуникаций (Роскомнадзор).
 СМИ зарегистрировано Федеральной службой по надзору в сфере связи, информационных технологий и массовых коммуникаций (Роскомнадзор).