The prevalence of chronic endometritis in patients with secondary infertility associated with a caesarean scar niche
- Authors: Kurtser M.A.1,2, Egikian N.M.2, Savelyeva N.A.1,2, Sinitsyna O.V.2, Shestakova L.A.2
-
Affiliations:
- Pirogov Russian National Research Medical University
- “Mother and Child” Group of Companies
- Issue: Vol 24, No 2 (2022)
- Pages: 88-94
- Section: ORIGINAL ARTICLE
- Published: 15.04.2022
- URL: https://gynecology.orscience.ru/2079-5831/article/view/99834
- DOI: https://doi.org/10.26442/20795696.2022.2.201424
- ID: 99834
Cite item
Full Text
Abstract
Background. The trend towards an increase in the number of caesarean sections (CS) has led to the fact that many women are more likely to plan a second pregnancy with a caesarean scar niche. According to current data, planning pregnancy with a niche may be associated with a decrease in the likelihood of successful implantation, which is a consequence of the uterine form of secondary infertility. In the context of studying the effect of stagnant contents in the projection of the niche on fertility, it is important to assess the prevalence of chronic endometritis (CE) and use new knowledge to personalize patient management schemes in achieving reproductive goals.
Aim. To study the prevalence of CE according to various laboratory diagnostic methods in a group of patients with secondary infertility associated with stagnant contents in the niche projection, compared with a group of fertile patients without stagnant contents in the niche projection; to evaluate the possibilities of the cytological and immunocytochemical (ICC) method for studying the endometrium in the diagnosis of CE in comparison with the histological and immunohistochemical (IHC) method.
Materials and methods. The prospective study included 38 patients of reproductive age with a caesarean scar niche, who met the inclusion criteria. After excluding other known factors of secondary infertility, performing ultrasound and/or magnetic resonance imaging of the pelvic organs on the 5th–8th day of the menstrual cycle, where the presence/absence of stagnant contents in the projection of the niche was assessed, the patients were divided into 2 groups: group 1 (n=30) – patients with secondary infertility in combination with stagnant contents in the niche projection (main group), group 2 (n=8) – patients without clinical complaints, without stagnant contents in the projection of a clinically insignificant niche (control group). All patients (n=38) underwent an aspiration pipel biopsy of the endometrium (and, in the presence of stagnant contents in the projection of the niche) under ultrasound control on the 7th–10th day of the menstrual cycle. Then a cytological, ICC study (using the CD138 marker), a histological, IHC study of the endometrium (using the CD138 marker) was performed. The statistical study was carried out using the IBM SPSS Statistica v22 program (IBM Corp., USA).
Results. In the 1st group (n=30), the prevalence of CE according to cytological and ICC studies was 90% (n=27/30), a normal cytological picture was recorded in 10% (n=3/30); the prevalence of CE according to histological and IHC studies was 80% (n=24/30), of which 37.5% (n=9/24) were diagnosed with an incomplete morphological picture of CE, and 62.5% (n=15/24) a complete morphological picture of CE was revealed, a normal morphological picture was recorded in 20% (n=6/30) of cases. In the 2nd group (n=8), the prevalence of CE according to cytological and ICC studies was 12.5% (n=1/8), a normal cytological picture was recorded in 87.5% (n=7/8); according to histological and IHC studies, CE was not diagnosed, a normal morphological picture was recorded in 100% (n=8/8) of cases. A high degree of consistency of laboratory data was revealed for 2 groups (n=38), p=0.0001. The sensitivity of the cytological method compared with the histological method was 95.83% (95% CI 79.76–99.26%), specificity – 64.29% (95% CI 38.76–83.66%), positive predictive value – 82.14% (95% CI 64.41–92.12%), negative predictive value – 90% (95% CI 59.58–98.21%), the accuracy of the cytological method compared to the histological one was 84, 21% (95% CI 68.06–93.03%).
Conclusion. Secondary infertility in patients with stagnant contents in the projection of caesarean scar niche may be associated with CE. Cytological examination of the endometrium in combination with ICC seems to be a promising method for the laboratory evaluation of CE, given the high correlation with histological and IHC data.
Full Text
Введение
Несмотря на расширение мирового опыта использования передовых репродуктивных технологий, большинство попыток экстракорпорального оплодотворения не приводит к успешной беременности в первую очередь из-за неудачной имплантации. Хотя объем информации о молекулярных механизмах, которые регулируют ранние процессы взаимодействия эмбриона и эндометрия, значительно расширился за последние годы, тем не менее процесс имплантации остается ключевым ограничивающим этапом вспомогательных репродуктивных технологий (ВРТ).
Современная тенденция к увеличению числа операций кесарева сечения (КС) в долгосрочной перспективе может усугубить эту проблему, так как разными группами авторов неоднократно сообщалось о более низкой частоте имплантации, клинической беременности, частоте живорождения по сравнению с группой пациенток, родоразрешенных ранее через естественные родовые пути. Более низкие показатели неуклонно ассоциируют с нишей в проекции рубца на матке (далее – ниша) в сочетании с застойным содержимым [1, 2].
Основываясь на ограниченных литературных данных касательно маточной формы вторичного бесплодия у пациенток с нишами в сочетании с собственными наблюдениями, сделанными во время инструментальной неинвазивной диагностики, гистероскопии, лабораторными данными, целесообразным представляется обсуждение гипотетических механизмов влияния застойного содержимого в проекции ниши на воспалительные процессы в эндометрии [3].
В большинстве исследований, посвященных хроническому эндометриту (ХЭ), проводится гистологическая оценка эндометрия, дополненная иммуногистохимическим (ИГХ) исследованием с оценкой экспрессии маркера CD138. Однако целый ряд современных публикаций подчеркивает преимущество использования цитологического исследования эндометрия, дополненного иммуноцитохимией. Таким образом, представляется важным оценить корреляции между цитологическим и гистологическим исследованиями, особенно в группе пациенток с симптомными нишами.
Цель исследования – изучить распространенность ХЭ по данным различных лабораторных методов диагностики в группе пациенток с вторичным бесплодием, ассоциированным с застойным содержимым в проекции ниши, по сравнению с группой фертильных пациенток без застойного содержимого в проекции ниши; оценить возможности цитологического и иммуноцитохимического (ИЦХ) метода исследования эндометрия в диагностике ХЭ по сравнению с гистологическим и ИГХ-методом.
Материалы и методы
В проспективное исследование включены 38 пациенток репродуктивного возраста с нишей рубца на матке после КС, которые обратились в КГ «Лапино» с ноября 2019 по октябрь 2021 г. на этапе прегравидарной подготовки. Все пациентки отвечали требованиям включения/исключения и подписали добровольное информированное согласие на участие в клиническом исследовании. Проведение исследовательской работы одобрено локальным этическим комитетом ФГАОУ ВО «РНИМУ им. Н.И. Пирогова» (выписка из протокола заседания №190 от 18.11.2019). Одобрение и процедуру проведения протокола получали по принципам Хельсинкской конвенции.
Критерии включения в исследование: возраст от 18 до 43 лет; рубец в проекции нижнего сегмента матки после операции КС; наличие ниши в проекции рубца на матке после КС; интервал от КС до включения в исследование не менее 2 лет; планирование беременности естественным путем либо путем программы ВРТ; отсутствие антибактериальной терапии в течение 6 мес до включения в исследование.
Из исследования исключены женщины с рубцом на матке после корпорального, истмико-корпорального разреза матки; пациентки, перенесшие метропластику на прегравидарном этапе в анамнезе; женщины с установленными противопоказаниями к применению методов ВРТ.
Для определения вторичного бесплодия использовали установленное определение Всемирной организации здравоохранения, а также анамнестические данные о неэффективности двух и более программ ВРТ с переносом эмбриона хорошего качества у женщин, имевших такое показание к ВРТ, как абсолютный трубный фактор, с ранее успешными программами до оперативного родоразрешения.
После сбора анамнеза всем пациенткам выполнены ультразвуковое исследование органов малого таза с помощью аппарата Voluson E8 (General Electric, USA) и/или магнитно- резонансная томография органов малого таза на томографе Siemens Magnetom Aera 1.5Т (Germany). Исследование проводили по ранее предложенному протоколу [4].
В зависимости от наличия/отсутствия клинических жалоб на вторичное бесплодие в сочетании с данными о застойном содержимом в проекции ниши по данным визуальной диагностики пациентки разделены на 2 группы: 1-я группа (n=30) – пациентки с вторичным бесплодием в сочетании с застойным содержимым в проекции ниши (основная группа), 2-я группа (n=8) – пациентки без клинических жалоб, без застойного содержимого в проекции клинически малозначимой ниши (контрольная группа).
Для выполнения цитологического, ИЦХ- и гистологического, ИГХ-исследования эндометрия всем пациенткам (n=38) на 7–10-й день менструального цикла выполнялась аспирационная биопсия эндометрия (и при наличии эндометриальной жидкости в проекции ниши рубца на матке) с помощью кюретки Pipelle de Cornier (Франция) под контролем абдоминального датчика УЗИ.
Для выполнения цитологического исследования эндометрия образец помещали в консервирующую жидкость на основе этанола BD SurePath (США), осуществляли маркировку, проводили центрифугирование и суспендирование для достижения муколиза и гемолиза и создания обогащенного образца клеток. Для автоматизированной обработки и равномерного окрашивания образцов по Папаниколау использовали систему BD PrepStain Slide Processor (США).
Для выполнения ИЦХ-исследования проводили автоматизированное окрашивание с применением системы Dako AutostainerLink 48 (Dako Denmark A/S, Дания) с использованием моноклональных (мышиных) антител к человеческим CD138, клон Ml15, Ready-to-Use (Dako Denmark A/S, Дания).
Для оценки цитологического и ИЦХ-исследования эндометрия применяли многоголовочный микроскоп Leica DM3000 (Германия). В окрашенных препаратах анализировали состояние железистых и эндометриальных клеток, ядерно-цитоплазматическое соотношение, соответствие фазе менструального цикла. При оценке состояния стромы учитывали наличие соединительнотканного компонента, воспалительную инфильтрацию. Экспрессию CD138 оценивали путем подсчета позитивных клеток в поле зрения при увеличении ×400 (при подсчете не менее 10 полей зрения).
Для гистологического исследования образцы эндометрия фиксировали в 10% забуференном (фосфатном) нейтральном формалине и заливали в парафин. Суммарное время фиксации и заливки материала не превышало 24 ч. Затем готовили срезы толщиной 4 мкм и окрашивали гематоксилином и эозином.
Для выполнения ИГХ-исследования последовательно депарафировали срезы в ксилоле и дегидратировали в серии спиртов нисходящей концентрации. Проводили демаскировку антигена. После этого парафиновые срезы промывали (3×3 мин) в фосфатно-солевом буфере рН=7,6 (PBS), а затем блокировали 3% перекисью на метаноле при комнатной температуре для удаления эндогенной пероксидазы. Далее – промывали в двух сменах дистиллированной воды по 5 мин и инкубировали с первичными антителами. Плазматические клетки (ПК) визуализировали с помощью антител моноклональных мышиных к человеческому CD138, клон Ml15, Ready-to-Use (Dako Denmark A/S, Дания), с применением автоматизированной системы детекции Leica Bond III (Германия). Срезы докрашивали гематоксилином и заключали под покровное стекло.
Для оценки гистологического и ИГХ-исследования эндометрия использовали световой микроскоп Leica DM 3000 (Германия). В окрашенных препаратах оценивали состояние желез эндометрия и стромы, их соответствие фазе менструального цикла. При оценке состояния стромы учитывали наличие и характер фиброза, воспалительной инфильтрации, количество и калибр спиральных артерий, толщину их стенок. Экспрессию CD138 оценивали путем подсчета позитивных клеток в поле зрения при увеличении ×400 (при подсчете не менее 10 полей зрения).
Диагноз «неполная форма ХЭ» установлен при наличии воспалительных инфильтратов, состоящих преимущественно из плазмоцитов (CD138), макрофагов, больших гранулярных лимфоцитов, В-лимфоцитов [5].
Диагноз «полная (развернутая) форма ХЭ» установлен при наличии выраженных стромальных изменений (фиброза строма, склероза сосудов), как при наличии воспалительных инфильтратов, так и в отсутствие таковых.
Учитывая, что присутствие любой формы ХЭ требует внимания и соответствующей терапии со стороны врача- клинициста, при анализе частоты ХЭ в данном исследовании случаи неполной и полной формы ХЭ суммировались. Статистическое исследование выполнено с помощью программы IBM SPSS Statistica v22 (IBM Corp., США). Все полученные количественные параметры проверены на соответствие нормальному распределению с помощью критерия Шапиро–Уилка. Качественные показатели представлены как в абсолютных, так и в относительных величинах (%). При попарном сравнении дихотомических показателей между группами пациенток использовали односторонний точный критерий Фишера для небольших выборок. Критический уровень значимости при проверке статистических гипотез принимался равным 0,05; 95% доверительный интервал (ДИ) для чувствительности, специфичности, положительного и отрицательного прогностического значений, точности методов рассчитан по формуле Уилсона.
Результаты
В 1-й группе (n=30) распространенность ХЭ по данным цитологического и ИЦХ-исследования составила 90% (n=27/30), нормальная цитологическая картина зафиксирована в 10% (n=3/30); распространенность ХЭ по данным гистологического и ИГХ-исследования – 80% (n=24/30), из них в 37,5% (n=9/24) диагностирована неполная морфологическая картина ХЭ, а в 62,5% (n=15/24) выявлена полная морфологическая картина ХЭ, нормальная морфологическая картина зафиксирована в 20% случаев (n=6/30).
Во 2-й группе (n=8) распространенность ХЭ по данным цитологического и ИЦХ-исследования составила 12,5% (n=1/8), нормальная цитологическая картина зафиксирована в 87,5% (n=7/8); по данным гистологического и ИГХ-исследования – ХЭ не диагностирован, нормальная морфологическая картина зафиксирована в 100% (n=8/8) случаев.
При анализе показателей для 2 групп (n=38) выявлена высокая согласованность лабораторных данных, p=0,0001. Диагноз ХЭ подтвержден по двум методам диагностики в 95,8% (n=23), согласованность в отрицании диагноза установлена в 64,3% (n=9). В 35,7% (n=5) диагноз подтвержден по данным цитологического и ИЦХ-исследования, но не установлен по данным гистологии и ИГХ и, напротив, в 4,2% (n=1) подтвержден по данным гистологического и ИГХ-исследования, но не установлен по цитологии и иммуноцитохимии. Чувствительность цитологического метода по сравнению с гистологическим составила 95,83% (95% ДИ 79,76–99,26%), специфичность – 64,29% (95% ДИ 38,76–83,66%), положительное прогностическое значение – 82,14% (95% ДИ 64,41–92,12%), отрицательное прогностическое значение – 90% (95% ДИ 59,58–98,21%), точность – 84,21% (95% ДИ 68,06–93,03%).
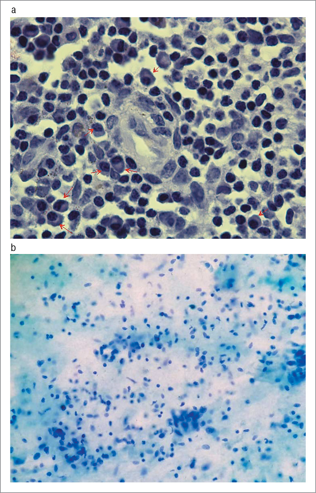
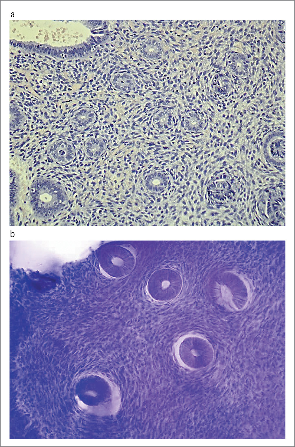
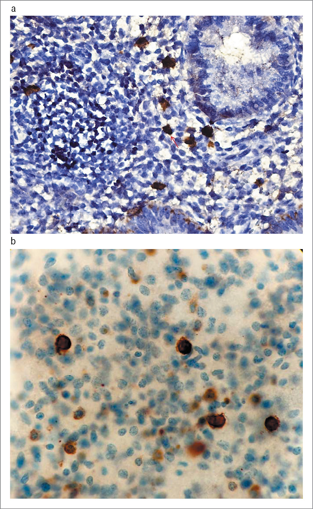
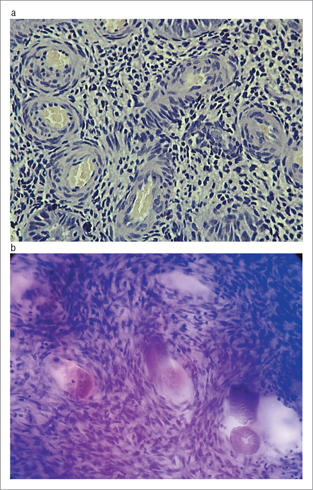
На рис. 1–3 представлены микрофотографии гистологического (архив Л.А. Шестаковой) и цитологического исследований (архив О.В. Синицыной); на рис. 4 – микрофотографии ИГХ- и ИЦХ-исследований.
Рис 1. Мононуклеарная инфильтрация (гистологическое/ цитологическое исследование).
Рис. 2. Периваскулярный фиброз стромы (гистологическое/цитологическое исследование).
Рис. 3. Перигландулярный фиброз (гистологическое/ цитологическое исследование).
Рис. 4. Экспрессия CD138 (иммуногистохимическое/ иммуноцитохимическое исследования).
Обсуждение
В настоящее время не существует общепризнанного определения ХЭ, а также «золотого стандарта» или универсальных критериев диагностики [6–8]. Отсутствие консенсуса может объяснить высокую вариабельность эпидемиологических данных о ХЭ в исследованиях, где использовался как один и тот же диагностический метод, так и различные диагностические подходы.
В рамках поперечного обсервационного исследования с участием 262 международных экспертов выявлен широкий спектр недостатков в осведомленности по вопросам понимания патофизиологии, методологии/методов, позволяющих диагностировать ХЭ [6].
Многими исследователями подчеркивается диагностическая значимость гистологического метода диагностики, о чем свидетельствует большинство публикаций в отечественной и зарубежной литературе. В российской науке распространена позиция о существовании как «полного» симптомокомплекса ХЭ, где отмечена развернутая картина заболевания (воспалительные инфильтраты, состоящие преимущественно из лимфоидных элементов и плазмоцитов; фиброз стромы; склероз стенок спиральных артерий), так и «неполной» картины ХЭ, характеризующейся наличием только воспалительных инфильтратов, как правило, при непродолжительном характере процесса [9].
Однако при использовании обычного окрашивания гематоксилином и эозином зачастую даже опытному морфологу бывает трудно отличить ПК от моноцитов и фибробластов стромы, поэтому вопрос о точности диагностики остается достаточно субъективным [7]. Обнаружено, что ИГХ-окрашивание на CD138 улучшает чувствительность и точность идентификации ПК [9, 10]. Однако нет консенсуса, какое количество ПК достаточно для постановки диагноза. В метаанализе с участием 1879 женщин отмечено, что два критерия (≥1 ПК на срез и ≥5 ПК в поле высокой мощности) использовались исследователями чаще всего [10], однако в каждом из представленных случаев не исключен риск гипо/гипердиагностики.
Ряд авторов отмечают, что у пациенток с непродолжительным анамнезом ХЭ иммуногистохимически экспрессировались антитела к CD138, в то время как у женщин с длительно существующим ХЭ, выраженным фиброзом стромы в сочетании с бесплодием данный маркер экспрессировался лишь в отдельных ПК или практически не выявлялся [11]. Важно отметить, что ХЭ может возникать по всему эндометрию или ограничиваться локальным участком, таким образом, место забора материала и количество собранной ткани могут повлиять на идентификацию ПК. Многими авторами неоднократно упоминалось о влиянии ХЭ на восприимчивость эндометрия, имплантацию эмбриона и течение нормальной беременности [8–14].
С 1985–1998 гг. разные группы исследователей предлагают использовать цитологическое исследование эндометрия как альтернативу гистологическому [15]. К преимуществам метода относят более низкую стоимость, достаточно высокую согласованность между наблюдателями [16, 17], возможность одномоментного исследования микробиома и рецептивности эндометрия, что чрезвычайно актуально в программах ВРТ. В 2007 г. проведено исследование с участием 917 женщин, где оценивалась корреляция между цитологическим и гистологическим методами в диагностике патологии эндометрия. Полная согласованность достигнута в 519 (57%) случаях, при этом чувствительность цитологического метода составила 96%, специфичность – 98%, прогностическая ценность положительного результата – 86%, прогностическая ценность отрицательного результата – 99%. Авторы пришли к выводу, что цитологическое исследование эндометрия может быть эффективным методом диагностики [18]. Подобную корреляцию данных проводили и для ИЦХ-, и для ИГХ-исследования, где авторами также отмечена высокая согласованность результатов, варьирующая от 61 до 92% [17].
Насколько нам известно, текущее исследование является первым по сравнению данных цитологического, ИЦХ- исследования и гистологического, ИГХ-исследования в контексте изучения проблемы ХЭ и его ассоциации с нишей рубца на матке после операции КС. Ограничениями исследования являются небольшая выборка пациенток, а также выполнение гистологического исследования различными врачами-патологоанатомами.
Заключение
Вторичное бесплодие у пациенток с застойным содержимым в проекции ниши рубца на матке после КС может быть ассоциировано с ХЭ. Цитологическое исследование эндометрия в сочетании с иммуноцитохимией кажется перспективным методом лабораторной оценки ХЭ, учитывая высокую корреляцию с данными гистологического и ИГХ-исследования.
Раскрытие интересов. Авторы декларируют отсутствие явных и потенциальных конфликтов интересов, связанных с публикацией настоящей статьи.
Disclosure of interest. The authors declare that they have no competing interests.
Вклад авторов. Авторы декларируют соответствие своего авторства международным критериям ICMJE. М.А. Курцер – концепция и дизайн исследования, редактирование; Н.М. Егикян – концепция и дизайн исследования, редактирование; Н.А. Савельева – обзор публикаций по теме, сбор и обработка материала, статистическое исследование, написание текста, концепция и дизайн исследования, редактирование; О.В. Синицына – лабораторное исследование, архивирование фотоматериалов, концепция и дизайн исследования, редактирование; Л.А. Шестакова – лабораторное исследование, архивирование фотоматериалов, концепция и дизайн исследования, редактирование.
Authors’ contribution. The authors declare the compliance of their authorship according to the international ICMJE criteria. MA Kurtser – research team leader; NM Egikyan – text editing; NA Savelyeva – literature review, statistical research, writing the text; OV Sinitsyna – laboratory research; LA Shestakova – laboratory research.
Источник финансирования. Авторы декларируют отсутствие внешнего финансирования для проведения исследования и публикации статьи.
Funding source. The authors declare that there is no external funding for the exploration and analysis work.
Доступность данных. Данные, подтверждающие выводы этого исследования, доступны по запросу у автора, ответственного за переписку, после одобрения ведущим исследователем.
Data availability. Data supporting the findings of this study are available upon request from the corresponding author, subject to approval by the lead investigator.
Соответствие принципам этики. Протокол исследования был одобрен локальным этическим комитетом (№190 от 18.11.2019). Одобрение и процедуру проведения протокола получали по принципам Хельсинкской конвенции.
Ethics approval. The study was approved by the local ethics committee of (№190, 18.11.2019). The approval and procedure for the protocol were obtained in accordance with the principles of the Helsinki Convention.
About the authors
Mark A. Kurtser
Pirogov Russian National Research Medical University; “Mother and Child” Group of Companies
Email: Nats4644@mail.ru
ORCID iD: 0000-0003-0175-1968
D. Sci. (Med.), Prof., Acad. RAS
Russian Federation, Moscow; MoscowNatalia M. Egikian
“Mother and Child” Group of Companies
Email: Nats4644@mail.ru
Cand. Sci. (Med.)
Russian Federation, MoscowNatalia A. Savelyeva
Pirogov Russian National Research Medical University; “Mother and Child” Group of Companies
Author for correspondence.
Email: Nats4644@mail.ru
ORCID iD: 0000-0001-9719-9447
Graduate Student
Russian Federation, Moscow; MoscowOlga V. Sinitsyna
“Mother and Child” Group of Companies
Email: Nats4644@mail.ru
Head of the laboratory
Russian Federation, MoscowLiudmila A. Shestakova
“Mother and Child” Group of Companies
Email: Nats4644@mail.ru
D. Sci. (Med.)
Russian Federation, MoscowReferences
- Wang L, Yao W, Tang X, et al. Fertility outcomes of IVF/ICSI after Caesarean section: a cohort study. Reprod Biomed Online. 2020;40(5):719-28. doi: 10.1016/j.rbmo.2019.12.004
- Курцер М.А., Егикян Н.М., Савельева Н.А., и др. Сравнительная характеристика вагинального и эндометриального микробиома у пациенток с вторичным бесплодием, ассоциированным с нишей рубца на матке после кесарева сечения. Гинекология. 2021;23(6):499-503 [Kurtser MA, Egikyan NM, Savelyeva NA, et al. Comparative characteristics of the vaginal and endometrial microbiome in patients with secondary infertility associated with a uterine scar niche after cesarean section. Gynecology. 2021;23(6):499-503 (in Russian)]. doi: 10.26442/20795696.2021.6.201300
- Курцер М.А., Егикян Н.М., Савельева Н.А., и др. Вторичное бесплодие, ассоциированное с нишей рубца на матке после кесарева сечения. Вопросы гинекологии, акушерства и перинатологии. 2020;19(5):95-101 [Kurtser MA, Egikyan NM, Savelyeva NA, et al. Secondary infertility associated with a uterine niche after cesarean section. Gynecology, Obstetrics and Perinatology. 2020;19(5):95-101 (in Russian)]. doi: 10.20953/1726-1678-2020-5-95-101
- Курцер М.А., Егикян Н.М., Савельева Н.А., и др. Оптимизация предгравидарной тактики ведения пациенток с дефектом рубца на матке после кесарева сечения. Акушерство и гинекология. 2021;12:68-75 [Kurtser MА, Egikyan NM, Savelyeva NА, et al. Optimization of pregravid management of patients with cesarean scar defect. Obstetrics and gynecology. 2021;12:68-75 (in Russian)]. doi: 10.18565/aig.2021.12.68-75
- Disep B, Innes BA, Cochrane HR, et al. Immunohistochemical characterization of endometrial leucocytes in endometritis. Histopathology. 2004;45(6):625-32. doi: 10.1111/j.1365-2559.2004.02052.x
- Margulies SL, Flores V, Parkash V, et al. Chronic endometritis: A prevalent yet poorly understood entity. Int J Gynaecol Obstet. 2021. doi: 10.1002/ijgo.13962
- Espinós JJ, Fabregues F, Fontes J, et al. Impact of chronic endometritis in infertility: a SWOT analysis. Reprod Biomed Online. 2021;42(5):939-51. doi: 10.1016/j.rbmo.2021.02.003
- Kimura F, Takebayashi A, Ishida M, et al. Review: Chronic endometritis and its effect on reproduction. J Obstet Gynaecol Res. 2019;45(5):951-60. doi: 10.1111/jog.13937
- Сухих Г.Т., Шуршалина А.В. Хронический эндометрит: Руководство. М.: ГЭОТАР-Медиа, 2013 [Sukhikh GT, Shurshalina AV. Khronicheskii endometrit: Rukovodstvo. Moscow: GEOTAR-Media, 2013 (in Russian)].
- Huang W, Liu B, He Y, et al. Variation of diagnostic criteria in women with chronic endometritis and its effect on reproductive outcomes: A systematic review and meta-analysis. J Reprod Immunol. 2020;140:103146. doi: 10.1016/j.jri.2020.103146
- Савельева Г.М., Михалев С.А., Коноплянников А.Г., и др. Хронический эндометрит – показание для прегравидарной подготовки. Клиническая практика. 2018;9(2):36-41 [Savelyeva GM, Mikhalev SA, Konoplyannikov AG, et al. Chronic endometritis is an indication for the pregravid preparation. Journal of Clinical Practice. 2018;9(2):36-41 (in Russian)]. doi: 10.17816/clinpract09236-41
- Li Y, Yu S, Huang C, et al. Evaluation of peripheral and uterine immune status of chronic endometritis in patients with recurrent reproductive failure. Fertil Steril. 2020;113(1):187-96.e1. doi: 10.1016/j.fertnstert.2019.09.001.49
- Kitaya K, Matsubayashi H, Yamaguchi K, et al. Chronic Endometritis: Potential Cause of Infertility and Obstetric and Neonatal Complications. Am J Reprod Immunol. 2016;75(1):13-22. doi: 10.1111/aji.12438
- Buzzaccarini G, Vitagliano A, Andrisani A, et al. Chronic endometritis and altered embryo implantation: a unified pathophysiological theory from a literature systematic review. J Assist Reprod Genet. 2020;37(12):2897-911. doi: 10.1007/s10815-020-01955-8
- Oud PS, Henderik JB, Beck HL, et al. Flow cytometric analysis and sorting of human endometrial cells after immunocytochemical labeling for cytokeratin using a monoclonal antibody. Cytometry. 1985;6(2):159-64. doi: 10.1002/cyto.990060212
- Papaefthimiou M, Symiakaki H, Mentzelopoulou P, et al. P. Study on the morphology and reproducibility of the diagnosis of endometrial lesions utilizing liquid-based cytology. Cancer. 2005;105(2):56-64. doi: 10.1002/cncr.21025
- Yang X, Ma K, Chen R, et al. Immunocytochemical examination of PTEN and Ki-67 for endometrial carcinoma using thin-layer endometrial preparations. Biocell. 2021;45(4):923-32.
- Buccoliero AM, Gheri CF, Castiglione F, et al. Liquid-based endometrial cytology: cyto-histological correlation in a population of 917 women. Cytopathology. 2007;18(4):241-9. doi: 10.1111/j.1365-2303.2007.00463.x
Supplementary files







