Влияние прегравидарной подготовки на структурную перестройку эндометрия у женщин с хроническим эндометритом и бесплодием
- Авторы: Смирнова Д.В.1, Герасимов А.М.1, Кулида Л.В.2, Вертелецкая Т.В.2, Малышкина А.И.1,2
-
Учреждения:
- ФГБОУ ВО «Ивановская государственная медицинская академия» Минздрава России
- ФГБУ «Ивановский научно-исследовательский институт материнства и детства им. В.Н. Городкова» Минздрава России
- Выпуск: Том 24, № 4 (2022)
- Страницы: 311-318
- Раздел: ОРИГИНАЛЬНАЯ СТАТЬЯ
- Статья опубликована: 29.09.2022
- URL: https://gynecology.orscience.ru/2079-5831/article/view/100508
- DOI: https://doi.org/10.26442/20795696.2022.4.201764
- ID: 100508
Цитировать
Полный текст
Аннотация
Цель. Определить особенности структурной перестройки эндометрия при различных вариантах прегравидарной подготовки у женщин с хроническим эндометритом (ХЭ) и бесплодием.
Материалы и методы. Обследованы 90 женщин в возрасте 18–40 лет, лечившиеся от ХЭ. Всем пациенткам проводили обследование с микробиологическим (культуральным) исследованием отделяемого цервикального канала на аэробные и факультативно-анаэробные микроорганизмы с определением чувствительности к антибиотикам, а также ультразвуковое исследование (УЗИ) органов малого таза и морфологическое исследование биоптатов эндометрия до и после лечения. Всех женщин исследуемой группы разделили на 2 подгруппы. Пациентки 1-й подгруппы (n=30) получали стандартное лечение ХЭ – антибактериальные и нестероидные противовоспалительные препараты; во 2-й подгруппе (n=60) женщинам дополнительно назначали курс иммуностимулирующей терапии препаратом бактериального липополисахарида.
Результаты. По результатам культурального метода повторные посевы из цервикального канала после лечения чаще оказывались стерильными у женщин 2-й подгруппы. При проведении УЗИ диффузно-очаговые изменения в субэндометриальной зоне миометрия встречались у всех пациенток до и после лечения. Во 2-й подгруппе после лечения отмечены значимые изменения в эндометрии в виде увеличения его толщины и 4-кратного уменьшения числа гиперэхогенных включений в базальном слое, а также зафиксировано исчезновение неровности линии смыкания эндометрия. В биоптатах эндометрия женщин 2-й подгруппы имело место значимое уменьшение удельной площади воспалительного инфильтрата, отсутствие очагов фиброза и увеличение толщины стенки сосудов.
Заключение. Добавление в стандартную схему лечения ХЭ препарата бактериального липополисахарида не только улучшает микробиологическое окружение генитального тракта женщины, но и существенно воздействует на морфофункциональное состояние эндометрия.
Ключевые слова
Полный текст
Введение
Хронический эндометрит (ХЭ), несмотря на многолетнюю историю его изучения, продолжает оставаться одной из актуальных медико-социальных проблем. Популяционная распространенность ХЭ относительно невелика – 10–11%. Аналогичный процент ХЭ диагностируют у пациенток с аномальными маточными кровотечениями. Однако существенно, до 72%, увеличивается частота обнаружения хронического воспаления слизистой оболочки матки у пациенток с воспалительными заболеваниями органов малого таза [1]. ХЭ занимает ведущее место в структуре причин нарушения фертильной функции. Так, по данным разных авторов, хроническое воспаление в эндометрии обнаруживают у 15–57% пациенток с бесплодием и неудачными попытками экстракорпорального оплодотворения [2–4], выводя его в ранг основных причин нарушения репродуктивной функции. Такой существенный разброс в показателях встречаемости ХЭ определяется различными подходами к диагностике данного состояния. Одни исследователи при диагностике ХЭ учитывают лишь наличие плазматических клеток при гистологическом исследовании, не беря в расчет другие признаки хронического воспаления [5]. Ряд исследователей в качестве критерия ХЭ используют гистероскопическую картину, которая может давать ложноотрицательные результаты почти в 20% случаев [6]. Многочисленными исследователями постулировано, что воспаление является нормальным состоянием эндометрия в некоторые фазы его развития, в частности в период менструации. Именно поэтому на современном этапе ХЭ предлагают рассматривать как «нарушенное воспалительное состояние эндометрия» в противовес «нормальному воспалительному состоянию эндометрия» – ключевому механизму в нормальном течении таких физиологических процессов, как менструация, имплантация и беременность [5]. «Нормальное воспалительное состояние эндометрия» регулируется эстрогенами, которые подавляют секрецию таких провоспалительных цитокинов, как интерлейкин (ИЛ)-6 и ИЛ-1β [7], и прогестероном, снижающим цитотоксическую активность NK-клеток [8] – маркеров воспаления, число которых увеличивается в безгормональный менструальный период, благодаря чему совместно с клеточной инфильтрацией запускаются процессы десквамации эндометрия. Такой взгляд объясняет развитие ХЭ при отсутствии общепризнанных причин развития воспаления: инфекции и инородных тел в полости матки.
До недавнего времени приоритетом в лечении ХЭ считали воздействие на микробные агенты, которые потенциально могут способствовать поддержанию длительно существующего нарушенного воспалительного состояния эндометрия. Однако такой подход не может считаться полноценным с точки зрения патогенеза развития хронического воспаления, поскольку мишенью антибиотикотерапии служат только микробы, а не те морфологические сдвиги, развивающиеся в результате длительно персистирующего хронического воспаления [9], к которым относится развитие фиброза, клеточной инфильтрации мононуклеарными и другими воспалительными клетками и, как следствие, разрушение тканей, нарушение васкуляризации эндометрия [5]. В итоге после элиминации микробного фактора практически у 1/3 пациенток продолжается персистирование ХЭ [10]. К сожалению, в настоящее время отсутствуют четкие рекомендации, позволяющие стандартизированно подойти к решению проблемы оценки и нормализации избыточной воспалительной реакции эндометрия [5]. Особое внимание в последних систематических обзорах уделено необходимости продолжать дальнейшие исследования, в особенности в отношении результатов гистопатологии, которые должны быть пересмотрены [5, 11]. Аналогичные рекомендации предлагаются и для лечения ХЭ: в частности, рекомендуется не ограничиваться только антибактериальной терапией, а продолжать поиск противовоспалительных препаратов, тем более что их эффективность доказана на экспериментальных моделях [5, 12].
Одним из перспективных препаратов для лечения ХЭ у женщин с репродуктивными нарушениями может стать бактериальный липополисахарид (БЛПС), выделенный из клеток Salmonella typhi. Препарат обладает широким иммуномодулирующим действием за счет активации гипоталамо- гипофизарно-надпочечниковой, ретикулоэндотелиальной и фибринолитической систем, активирует фагоцитоз, синтез ИЛ-1, ИЛ-2, фактора некроза опухоли α и интерферона α, оказывает противовоспалительное и десенсибилизирующее действие, препятствует синтезу коллагена фибробластами, ускоряет процесс созревания фиброцитов. Стимуляция активности гиалуронидазы и подавление образования коллагеновых волокон в фибробластах обеспечивают увеличение проницаемости тканей, улучшение фибринолитических свойств крови и ускорение проникновения лекарственных веществ в очаг поражения, способствуют рассасыванию очагов воспаления, восстановлению кровообращения, препятствуют формированию и ускоряют рассасывание образовавшихся спаек.
В 1980-е годы согласно инструкциям Минздрава прежде чем приступить к лечению хронического заболевания, необходимо было назначать гоновакцину или Пирогенал [13]. В последнее десятилетие вновь возрос интерес к этому препарату. В гинекологии появляются исследования, подтвержденные патентами, связанные с использованием в качестве иммуностимулирующей терапии препарата БЛПС, выделенного из клеток S. typhi: способ лечения эктопии шейки матки (Н.Ф. Хворостухина и соавт., 2015 г.) и способ комплексного консервативного лечения миомы матки (А.А. Плеханов и соавт., 2017 г.). В результате исследований скорригирована официальная аннотация к препарату, где в разделе «показания к применению» присутствуют такие этиологические факторы нарушения фертильной функции, как воспалительные заболевания придатков матки, бесплодие, хронический простатит [14]. Многие исследования последних лет посвящены изучению воздействия БЛПС, выделенного из клеток S. typhi, на восстановление фертильной функции в супружеских парах с бесплодием. Однако эти работы касаются изучения системного действия БЛПС на иммунологические показатели, и он воспринимается исследователями как мощный иммунокорректор. Считается, что иммуномодулирующая терапия должна проводиться с учетом иммунного статуса. Показанием к ней является длительное хроническое течение рецидивирующего процесса, а также смешанные инфекции (микст-инфекции), в особенности при отсутствии эффекта от предыдущих курсов этиотропной терапии. Кроме того, некоторые антибактериальные препараты снижают иммунитет. Одновременное назначение антибиотиков и иммуномодуляторов позволяет усилить эффективность лечения [13]. Так, с учетом этих эффектов БЛПС рекомендован клиническим протоколом «Неразвивающаяся беременность» для усиления опсонизации микроорганизмов [15]. Также показана эффективность Пирогенала в комплексном лечении ХЭ в виде восстановления структурно-функциональных характеристик эндометрия, нестрессовых адаптационных реакций, развития нормореактивности. Однако оценка восстановления морфофункциональных характеристик эндометрия проводилась лишь по купированию различных морфотипов ХЭ, без углубленного анализа морфометрических параметров хронического воспаления эндометрия – удельной площади воспалительного инфильтрата, фиброза, сосудистого и железисто-стромального компонентов [16].
Именно недостаточность данных о влиянии БЛПС на морфофункциональное состояние эндометрия и послужила обоснованием для проведения настоящего исследования, в котором изучены морфометрические характеристики эндометрия у женщин с ХЭ и бесплодием до и после комплексного лечения с применением БЛПС.
Цель исследования – определить особенности структурной перестройки эндометрия при различных вариантах прегравидарной подготовки у женщин с ХЭ при бесплодии.
Материалы и методы
Условия проведения
Исследование проводили в 2 этапа на клинической базе ФГБУ «ИвНИИМиД им. В.Н. Городкова» с ноября 2019 по декабрь 2021 г. На I этапе изучали исследуемые параметры у всех женщин с ХЭ, взятых в исследование, и распределяли пациенток на 2 подгруппы в зависимости от выбранной схемы лечения, осуществляли терапевтические мероприятия. На II этапе выполняли контрольное обследование пациенток 1 и 2-й подгрупп после лечения (через менструальный цикл) с оценкой изучаемых параметров в динамике.
Критерии соответствия
Критерии включения:
- репродуктивный возраст 18–40 лет (репродуктивный период по критериям рабочей группы STRAW+10 – Stages of Reproductive Aging Workshop);
- наличие бесплодия и гистологически подтвержденного ХЭ (код по МКБ-10 N97.2).
Критерии невключения: наличие у женщин абсолютных форм бесплодия, аномалий развития гениталий, миомы матки, аденомиоза.
Участники исследования
Исследуемую группу составили 90 женщин в возрасте 18–40 лет, находившихся на стационарном лечении ХЭ в рамках прегравидарной подготовки в ФГБУ «ИвНИИМиД им. В.Н. Городкова».
Средний возраст обследованных составил 30 (26–34) лет. Наиболее часто в структуре перенесенных заболеваний в группе определялись:
- острые респираторные инфекции – у 90 (100%);
- ветряная оспа – у 77 (85,6%);
- ангина – у 18 (20%);
- краснуха – у 12 (13,3%) пациенток.
Среди соматической патологии превалировали:
- хронический гастрит – у 16 (17,8%);
- заболевания щитовидной железы – у 17 (18,9%);
- хронический пиелонефрит – у 14 (15,6%) женщин.
Также 18 (20%) обследованных были курящими.
Средний возраст наступления менархе составил 13 (12–14) лет с колебаниями индивидуальных показателей от 10 до 16 лет. Средняя продолжительность менструального цикла равна 29 (28–30) дней, длительность менструации – 5 (5–6) дней. При этом у 59 (65,6%) женщин менструация умеренная, у 27 (30%) – обильная, у 4 (4,4%) – скудная. У 37 (41,1%) пациенток, включенных в исследование, отмечено нарушение менструальной функции по типу альгодисменореи. Начало половой жизни у всех пациенток произошло преимущественно в возрасте от 13 до 27 лет, средний возраст – 18 (17–19) лет.
Из всех обследованных нами женщин с ХЭ у 46 (51,1%) диагностировано первичное бесплодие, у 44 (48,9%) – вторичное. Средний стаж бесплодия составил 2 (1–3) года.
Из репродуктивного анамнеза установлено, что до развития периода бесплодия у 23 (51,1%) пациенток имели место своевременные роды, у 14 (31,1%) – ранний самопроизвольный выкидыш, у 13 (28,9%) – неразвивающаяся беременность в раннем сроке, у 10 (22,2%) – медицинский аборт на сроке до 12 нед и у 9 (20%) – внематочная беременность.
Методы оценки целевых показателей
Всем пациенткам на момент госпитализации в рамках прегравидарной подготовки проводилось стандартное клинико-лабораторное обследование с обязательным микробиологическим (культуральным) исследованием отделяемого цервикального канала на аэробные и факультативно-анаэробные микроорганизмы с определением чувствительности к антибиотикам. При обнаружении условно-патогенных бактерий диагностически значимым титром считали показатели более 103 КОЕ/мл в тестируемом материале. После лечения выполняли контрольное микробиологическое (культуральное) исследование отделяемого цервикального канала.
Ультразвуковое исследование (УЗИ) органов малого таза и гистологическое исследование биоптатов эндометрия проводилось также в 2 этапа: до лечения и через менструальный цикл после лечения, в «окно имплантации» на 8-й постовуляторный день (по тестам для определения овуляции). Большинство отечественных и зарубежных ученых сходятся во мнении, что контроль адекватности проведенной комплексной терапии ХЭ целесообразно проводить не ранее чем через 2 мес после окончания терапии. Важно подчеркнуть, что оценка эффективности лечения ХЭ сводится не столько к учету динамики клинических симптомов заболевания, сколько к оценке характера изменений патологических процессов в эндометрии. Последняя осуществляется в процессе проведения УЗИ органов репродуктивной системы и выполнения аспирационной биопсии эндометрия с последующей морфологической его оценкой [17].
При проведении УЗИ устанавливали наличие УЗ-критериев ХЭ и измеряли толщину эндометрия в сагиттальной плоскости в области дна согласно современным рекомендациям. Взятие материала для обзорной гистологии осуществляли посредством биопсийной кюретки – пайпеля (Pipelle de Cornier, Laboratoire C.C.D., Франция) на 8-й постовуляторный день (по тестам для определения овуляции). Использовали стандартный метод парафиновой проводки материала с последующей окраской гистологических препаратов гематоксилином и эозином. На основании обзорной морфологии верифицировали клинический диагноз и оценивали морфофункциональное состояние эндометрия. На гистологических срезах по 4 сканирующим линиям через 2 поля на 3-е определяли удельную площадь воспалительного инфильтрата, фиброза, сосудов, стромы и желез эндометрия. Структурные особенности изучаемых параметров эндометрия оценивали с помощью программы «ВидеоТест-Мастер Морфология 4.0» (ООО «НПК ”Зенит”», Россия) и микроскопа «Axiostarplus» (Carl Zeiss, Германия) с цифровой камерой ProgResC3 при ув. 100 и 400. Площадь 1 поля зрения составила 1890 мкм2 при ув. 100.
Анализ в подгруппах
Всех женщин группы исследования разделили на 2 подгруппы. Для всех пациенток курс лечения начинался с 3-го дня менструального цикла.
Женщины 1-й подгруппы (n=30) получали стандартное лечение ХЭ: антибактериальные препараты в зависимости от выявленной чувствительности инфекции к антибиотикам, метронидазол внутривенно и перорально в суточной дозе 2 г в течение 10 дней, нестероидные противовоспалительные препараты (индометацин в суточной дозе 100 мг ректально в течение 7 дней). Пациенткам 2-й подгруппы (n=60) на 1-м этапе лечения на 3-й день менструального цикла назначали курс иммуностимулирующей терапии препаратом БЛПС, выделенного из клеток S. typhi (показание к назначению – бесплодие, согласно инструкции к препарату, регистрационный №PN003478/01, дата регистрации – 22.03.2019 г.). Начальная доза составила 25 мкг внутримышечно. Последующие инъекции производили через каждые 48 ч с последовательным увеличением дозы на 25 мкг до повышения температуры тела пациентки не ниже 38°С, но не более максимальной дозы 150 мкг. С момента повышения температуры тела или с 3-й инъекции назначали антибактериальные препараты (в зависимости от выявленной чувствительности инфекции к антибиотикам), метронидазол внутривенно и перорально в суточной дозе 2 г в течение 10 дней, нестероидные противовоспалительные препараты (индометацин в суточной дозе 100 мг ректально в течение 7 дней).
Соответствие принципам этики
Проведение исследования одобрено Этическим комитетом ФГБОУ ВО ИвГМА (протокол №1 от 15.01.2020 г.). Всем пациенткам до начала исследования была предоставлена письменная информация о его проведении, разъяснена суть исследования и связанный с участием в нем риск для здоровья. Перед началом исследования каждая пациентка подписала форму добровольного информированного согласия (с указанием даты подписания). Подпись участницы заверялась подписью исследователя.
Статистический анализ
Статистическая обработка результатов проведена с использованием пакета прикладных программ «Statistica v. 13.0» (StatSoft Inc., США), «Microsoft Office 2010» (Microsoft, США). Результаты представлены в виде медианы с указанием 25 и 75-го перцентилей [Me (Q25%–Q75%)]. Различия между показателями в подгруппах определяли посредством критерия χ2 Пирсона или двустороннего точечного критерия Фишера, а также с помощью критерия Манна–Уитни, и считали статистически значимыми при p<0,05.
Результаты
УЗИ органов малого таза, проведенное до начала лечения, не показало органической пролиферативной патологии внутренних гениталий у всех (100%) обследованных пациенток. Средние показатели толщины эндометрия по данным УЗИ у женщин с ХЭ составили 7,5 (5,1–9,0), толщина эндометрия в 1-й подгруппе – 7,5 (5,9–9,0), во 2-й – 7,2 (5,0–8,95) мм. Все женщины имели сонографические признаки ХЭ, которые представлены в табл. 1.
Таблица 1. Ультразвуковые параметры эндометрия у женщин с ХЭ при бесплодии, абс. (%) / Table 1. Ultrasound parameters of the endometrium in women with CE in infertility, abs. (%)
Ультразвуковые параметры эндометрия | 1-я подгруппа (n=30) | 2-я подгруппа (n=60) | ||
До лечения | После лечения | До лечения | После лечения | |
Гиперэхогенные включения в базальном слое | 20 (66,7) | 16 (53,3) | 45 (75) | 11 (18,3)** |
Диффузно-очаговые изменения в субэндометриальной зоне миометрия | 30 (100) | 30 (100) | 60 (100) | 60 (100) |
Неровность линии смыкания | 5 (16,7) | 3 (10) | 10 (16,7) | 0 (0)* |
*Значимость различий между подгруппами: *рχ<0,01; **рχ<0,001. | ||||
При выполнении УЗИ у пациенток исследуемой группы в 100% случаев определялись диффузно-очаговые изменения в субэндометриальной зоне миометрия (см. табл. 1). У большей части женщин диагностировали гиперэхогенные включения в базальном слое, в небольшом проценте наблюдений отмечалась неровность линии смыкания. Предметом дискуссий остается значение УЗИ в диагностике ХЭ. Суждения исследователей варьируют от бесспорной достоверности до сомнительной ценности этого метода верификации ХЭ [18, 19].
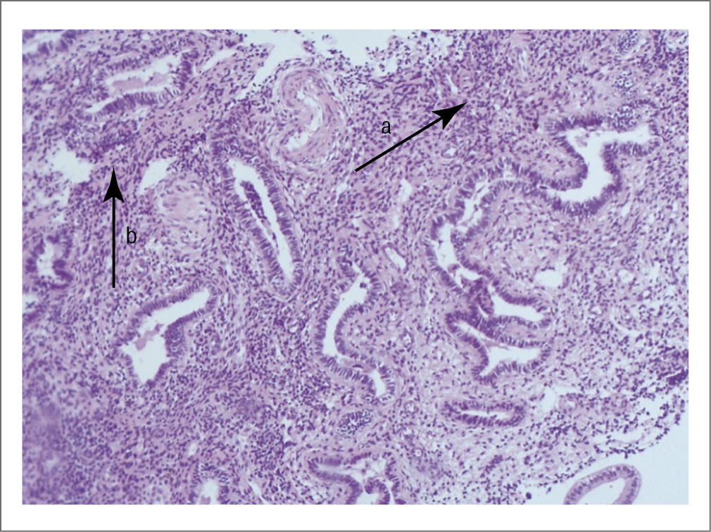
При патоморфологическом исследовании биоптатов эндометрия у женщин с бесплодием и ХЭ до лечения выявлены следующие особенности. Во всех отделах функционального слоя эндометрия определялась воспалительная инфильтрация с характерной перигландулярной и периваскулярной локализацией (рис. 1). Основными компонентами воспалительного инфильтрата оказались лимфоидные элементы, плазматические клетки, лейкоциты и гистиоциты. В 20 (22%) случаях воспалительная инфильтрация имела диффузный характер распространения.
Рис. 1. a – перибронхиальная периваскулярная лимфоцитарная инфильтрация; b – очаговый фиброз стромы эндометрия. Окраска гематоксилином и эозином, ×100. / Fig. 1. a – peribronchial perivascular lymphocytic infiltration; b – focal endometrial stromal fibrosis. Hematoxylin and eosin staining, ×100.
Очаговый фиброз стромы эндометрия, склеротические изменения стенок спиральных артерий диагностировали в 23 (26%) случаях, они оказались более выражены при длительном течении хронического воспаления. Следует подчеркнуть, что при ХЭ из-за повреждения рецепторного аппарата слизистой оболочки матки нарушались циклические изменения эндометрия в виде неполноценной секреторной перестройки желез и сосудисто-стромального компонента. Так, эпителий желез не всегда соответствовал фазе менструального цикла, в 12 (13,3%) случаях обнаружили железы с индифферентным эпителием, в отдельных случаях – у 7 (7,8%) женщин – отмечалось усиление пролиферативного компонента вплоть до развития простой гиперплазии эндометрия. Более инертной в плане циклической перестройки структурных компонентов оставалась строма эндометрия, которая отличалась повышенной плотностью и наличием фибробластоподобных клеток с преимущественно перигландулярной и периваскулярной локализацией. Определялись одиночно расположенные спиральные артерии с тонкой склеротически измененной стенкой. Описанные выше патоморфологические особенности эндометрия и данные ряда исследователей подтверждают, что раскрытие концепции патогенеза ХЭ и устранение структурно-функциональной несостоятельности воспаленного эндометрия невозможны вне обобщения изменений его морфологической структуры на микро- и макроскопическом уровнях [20–22].
По данным культурального метода обследования, цервикальный канал до лечения оказался инфицирован у 21 (70%) женщины в 1-й подгруппе и у 45 (75%) – во 2-й.
У всех обследованных нами женщин до начала лечения ХЭ наиболее часто обнаруживали таких возбудителей, как Enterococcus faecalis, Escherichia coli, Staphylococcus epidermidis, Staphylococcus saprophyticus, Staphylococcus aureus, Bacillus spp., Streptococcus anhaemolyticus, Corynebacterium spp. (Diphtheroid), Streptococcus viridans, Proteus vulgaris. В последние годы в качестве возбудителей ХЭ очень часто фигурируют представители условно-патогенной флоры. В. Склярова и соавт. (2020 г.) в своей работе отмечают высокую частоту встречаемости микроорганизмов, ассоциированных с бактериальным вагинозом, и группы неспецифических инфекций (Ureaplasma, E. faecalis, E. coli, Proteus ssp., Klebsiella, S. aureus) у пациенток с привычным выкидышем и при первичном бесплодии [23]. Некоторые авторы отмечают, что высокая частота стерильных посевов эндометрия требует признать существование аутоиммунного эндометрита и вторичную роль микробного начала [24].
При проведении антибактериальной терапии в зависимости от результатов культурального метода и чувствительности к антибиотикам в 1-й подгруппе пациенток препаратом выбора стал:
- у 39 (65%) женщин – цефтриаксон;
- у 10 (16,7%) – амоксициллин+клавулановая кислота;
- у 4 (6,6%) – эртапенем;
- у 2 (3,3%) – ципрофлоксацин;
- у 2 (3,3%) – левофлоксацин;
- у 1 (1,7%) – джозамицин;
- у 1 (1,7%) – доксициклина моногидрат;
- у 1 (1,7%) – цефазолин.
Во 2-й подгруппе:
- у 17 (56,7%) пациенток – цефтриаксон;
- у 5 (16,7%) – джозамицин;
- у 4 (13,3%) – ципрофлоксацин;
- у 3 (10%) – доксициклина моногидрат;
- у 1 (3,3%) – амоксициллин+клавулановая кислота.
Повторное обследование женщин после терапии ХЭ показало, что средняя толщина эндометрия в 1-й подгруппе составила 8,5 (7,2–9,0), во 2-й – 10,9 (10,0–12,0) мм. При этом во 2-й подгруппе отмечено статистически значимое увеличение этого параметра в сравнении с исходным его значением до лечения (p=0,0000). В 1-й подгруппе существенных изменений в УЗ-признаках ХЭ не выявлено (см. табл. 1). Также у 100% пациенток визуализировались диффузно-очаговые изменения в субэндометриальной зоне миометрия, более чем у 50% пациенток оставались гиперэхогенные включения в базальном слое, в 10% наблюдений линия смыкания эндометрия была неровной. Во 2-й подгруппе произошли радикальные изменения в УЗ-картине. Существенно (с 75 до 18,3%) снизилось число пациенток с гиперэхогенными включениями в базальном слое (p<0,001), ни у одной пациентки не зафиксировано неровности линии смыкания эндометрия, что радикально отличает 2-ю подгруппу от 1-й. При этом так же, как и в 1-й подгруппе, у 100% пациенток сохранялись диффузно-очаговые изменения в субэндометриальной зоне миометрия.
Повторные посевы из цервикального канала после окончания терапии оказались стерильными в 1-й подгруппе у 21 (70%) пациентки, во 2-й – у 51 (85%) женщины. В остальных случаях в посевах обнаруживали единичные микроорганизмы из накопительной среды в моноформе, выявленные до лечения в диагностически незначимом титре.
По результатам проведенных нами исследований так же, как и в работах В.Е. Радзинского (2015 г.), установлено, что применение БЛПС оказывает положительное влияние на динамику эхографических параметров слизистой оболочки матки, способствует восстановлению нормоценоза и адекватной секреторной перестройки эндометрия [15]. Дополнительно для оценки эффективности реабилитации нами разработаны морфометрические параметры, позволяющие наиболее полно проанализировать особенности морфофункциональной перестройки эндометрия при лечении ХЭ у женщин с бесплодием (табл. 2).
Таблица 2. Морфометрические параметры эндометрия у женщин с ХЭ при бесплодии, мкм2 / Table 2. Morphometric parameters of the endometrium in women with CE in infertility, μm2
Морфометрические параметры эндометрия | ХЭ до лечения (n=90) | 1-я подгруппа после лечения (n=30) | 2-я подгруппа после лечения (n=60) |
Железы | 1,7 (1,2–2,2) | 2,3 (1,7–2,9) | 2,03 (1,3–2,4) |
Сосуды | 0,04 (0,03–0,0) | 0,05 (0,03–0,06) | 0,06 (0,04–0,06) |
Воспалительный инфильтрат | 0,4 (0,2–0,5) | 0,4 (0,3–0,5) | 0,2 (0,1–0,2)*# |
Фиброз | 0,04 (0,02–0,04) | 0,06 (0,03–0,09) | 0**## |
Строма | 7,6 (6,9–8,2) | 6,7 (5,9–7,5) | 7,7 (7,4–8,2) |
Толщина стенки сосудов | 0,02 (0,02–0,03) | 0,02 (0,018–0,022) | 0,04 (0,03–0,04)**## |
*Значимость различий по сравнению с исходными показателями: *рχ<0,02; **рχ<0,001; #значимость различий между подгруппами после лечения: #рχ<0,05; ##рχ<0,01. | |||
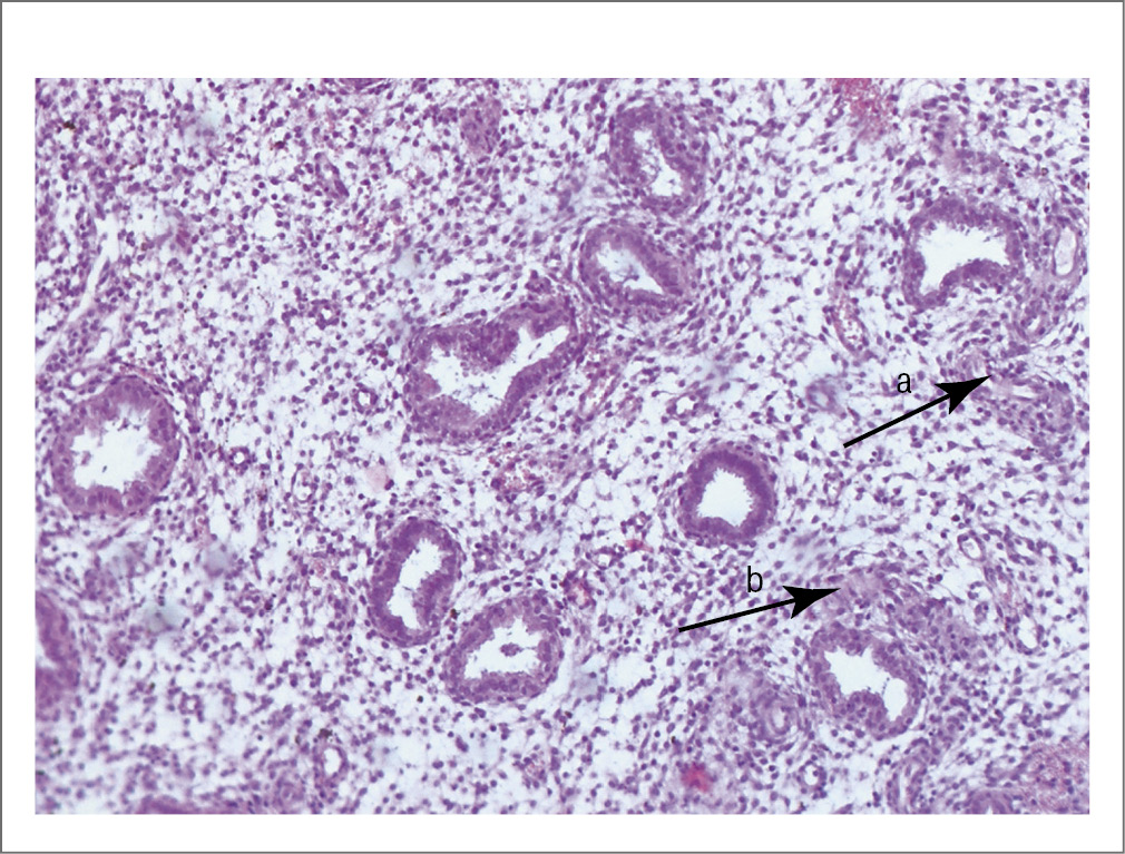
Так, удельная площадь воспалительного инфильтрата в эндометрии женщин 2-й подгруппы оказалась в 2,5 раза ниже аналогичного параметра у пациенток 1-й подгруппы и так же – в сравнении с исходными показателями площади воспалительного инфильтрата до лечения ХЭ (см. табл. 2). Максимальное значение удельной площади воспалительного инфильтрата после лечения – 0,4 (0,3–0,5) мкм2 – представлено в эндометрии женщин 1-й подгруппы. Воспалительный инфильтрат в эндометрии у женщин после лечения состоял из лимфоидных элементов, лейкоцитов и единичных плазматических клеток. У пациенток 2-й подгруппы воспалительный инфильтрат располагался диффузно, без очаговых периваскулярных и перибронхиальных скоплений (рис. 2). Лишь в 3 случаях у женщин 2-й подгруппы определялась крупноочаговая воспалительная лимфоцитарная инфильтрация с начальными признаками фибробластической трансформации клеток воспалительного инфильтрата. Очаговый фиброз после лечения не определялся у женщин 2-й подгруппы. Данный параметр при стандартной методике лечения имел максимальное значение – 0,06 (0,03–0,09) мкм2.
Рис. 2. a – умеренно извитые железы; b – диффузное расположение воспалительного инфильтрата; c – очаговый отек стромы. Окраска гематоксилином и эозином, ×100. / Fig. 2. a – moderately tortuous glands; b – diffuse location of inflammatory infiltrate; c – focal stromal edema. Hematoxylin and eosin staining, ×100.
Одним из неблагоприятных исходов ХЭ является гиповаскуляризация эндометрия, обусловленная воспалительными изменениями в его строме. После лечения минимальные значения удельной площади сосудов зарегистрированы у женщин 1-й подгруппы. В сосудах эндометрия 2-й подгруппы изменения связаны не только с увеличением площади сосудов, но и утолщением их стенки за счет циклической трансформации.
Описанная выше динамика морфометрических параметров эндометрия у женщин с ХЭ и бесплодием имела место при сравнении подгрупп со стандартным и оригинальным типом лечения ХЭ у женщин с бесплодием. После лечения в подгруппе пациенток с использованием препарата БЛПС площадь воспалительного инфильтрата оказалась в 2 раза меньше аналогичного параметра в подгруппе со стандартным методом лечения. Толщина стенки сосудов в эндометрии женщин 2-й подгруппы была в 2 раза больше данного параметра 1-й подгруппы. Воспалительные изменения в эндометрии, гиповаскуляризация стромы эндометрия, очаговый фиброз являются одним из основных факторов неполноценной секреторной перестройки эндометрия с нарушением его рецептивности. Так, в эндометрии женщин 1-й подгруппы в 3 (10%) случаях секреторная перестройка желез соответствовала ранней стадии фазы секреции, а в строме определялись лишь единичные очаги предецидуальной трансформации (рис. 3). У основной массы пациенток за счет слабо выраженной воспалительной инфильтрации диагностирована полноценная перестройка стромы эндометрия в виде периваскулярной и перибронхиальной предецидуальной трансформации клеток стромы. Сосудистое русло эндометрия женщин 2-й подгруппы представлено полями из 3–4-спиральных артерий с признаками циклической перестройки.
Рис. 3. a – тонкостенные спиральные артерии с узким просветом; b – периваскулярно расположенные единичные предецидуальные клетки. Окраска гематоксилином и эозином, ×100. / Fig. 3. a – thin-walled spiral arteries with narrow lumen; b – perivascularly located single predecidual cells. Hematoxylin and eosin staining, ×100.
Заключение
Добавление препарата БЛПС, выделенного из клеток S. typhi, в стандартную схему лечения ХЭ в рамках прегравидарной подготовки позволяет не только улучшить микробиологическую картину генитального тракта женщин, но и существенно воздействовать на морфофункциональное состояние эндометрия. Это положение подтверждается положительной динамикой параметров ультразвукового и морфологического исследования на 8-й постовуляторный день (по тестам для определения овуляции) в виде увеличения толщины эндометрия, 4-кратного уменьшения количества гиперэхогенных включений в базальном слое и исчезновения неровности линии смыкания на фоне адекватной циклической перестройки сосудисто-стромального компонента эндометрия, отсутствия очагов фиброза и уменьшения площади воспалительного инфильтрата.
Раскрытие интересов. Авторы декларируют отсутствие явных и потенциальных конфликтов интересов, связанных с публикацией настоящей статьи.
Disclosure of interest. The authors declare that they have no competing interests.
Вклад авторов. Авторы декларируют соответствие своего авторства международным критериям ICMJE. Все авторы в равной степени участвовали в подготовке публикации: разработка концепции статьи, получение и анализ фактических данных, написание и редактирование текста статьи, проверка и утверждение текста статьи. А.М. Герасимов – автор идеи, актуальность исследования, анализ результатов, написание текста; Л.В. Кулида – обзорная гистология, морфометрия, анализ результатов, оформление фотодокументации, написание текста; Д.В. Смирнова – обзорная гистология, морфометрия, анализ результатов, оформление фотодокументации, написание текста; Т.В. Вертелецкая – анализ клинических данных, статистическая обработка; А.И. Малышкина – редактирование текста статьи.
Authors’ contribution. The authors declare the compliance of their authorship according to the international ICMJE criteria. All authors made a substantial contribution to the conception of the work, acquisition, analysis, interpretation of data for the work, drafting and revising the work, final approval of the version to be published and agree to be accountable for all aspects of the work. AM Gerasimov – idea author, research relevance, analysis of results, text writing; LV Kulida – review histology, morphometry, analysis of results, photo documentation, text writing; DV Smirnova – review histology, morphometry, analysis of results, photo documentation, text writing; TV Verteletskaya – clinical data analysis, statistical processing; AI Malyshkina – article text editing.
Источник финансирования. Авторы декларируют отсутствие внешнего финансирования для проведения исследования и публикации статьи.
Funding source. The authors declare that there is no external funding for the exploration and analysis work.
Соответствие принципам этики. Исследование одобрено этическим комитетом ФГБОУ ВО ИвГМА (протокол №1 от 15.01.2020). Всем пациенткам до начала исследования была предоставлена письменная информация о его проведении, разъяснена суть исследования и связанный с участием в нем риск для здоровья. Перед началом исследования каждая пациентка подписала форму добровольного информированного согласия (с указанием даты подписания). Подпись участницы заверялась подписью исследователя.
Ethics approval. The study was approved by the Ethics Committee of the the Ivanovo State Medical Academy (protocol №1 of 15.01.2020). All patients were provided with written information about the study before the start of the study, explained the essence of the study and the health risks associated with participation in it. Before starting the study, each patient signed a voluntary informed consent form (indicating the date of signing). The participant's signature was certified by the investigator's signature.
Об авторах
Дарья Владимировна Смирнова
ФГБОУ ВО «Ивановская государственная медицинская академия» Минздрава России
Автор, ответственный за переписку.
Email: smirnovadv8@gmail.com
ORCID iD: 0000-0003-0773-5387
аспирант каф. акушерства и гинекологии, медицинской генетики
Россия, ИвановоАлексей Михайлович Герасимов
ФГБОУ ВО «Ивановская государственная медицинская академия» Минздрава России
Email: quake98@mail.ru
ORCID iD: 0000-0002-6254-1385
д-р мед. наук, доц., проф. каф. акушерства и гинекологии, медицинской генетики
Россия, ИвановоЛюдмила Викторовна Кулида
ФГБУ «Ивановский научно-исследовательский институт материнства и детства им. В.Н. Городкова» Минздрава России
Email: kulida@mail.ru
ORCID iD: 0000-0001-8962-9048
д-р мед. наук, вед. науч. сотр. лаб. патоморфологии и электронной микроскопии
Россия, ИвановоТатьяна Викторовна Вертелецкая
ФГБУ «Ивановский научно-исследовательский институт материнства и детства им. В.Н. Городкова» Минздрава России
Email: 3-e_gyn@mail.ru
ORCID iD: 0000-0001-9868-6802
канд. мед. наук, зав. гинекологическим отд-нием №3
Россия, ИвановоАнна Ивановна Малышкина
ФГБОУ ВО «Ивановская государственная медицинская академия» Минздрава России; ФГБУ «Ивановский научно-исследовательский институт материнства и детства им. В.Н. Городкова» Минздрава России
Email: anna_im@mail.ru
ORCID iD: 0000-0002-1145-0563
д-р мед. наук, проф., дир., зав. каф. акушерства и гинекологии, медицинской генетики, гл. внештат. специалист Минздрава России в ЦФО по акушерству, гинекологии и репродуктивному здоровью женщин
Россия, Иваново; ИвановоСписок литературы
- Puente E, Alonso L, Laganà AS, et al. Chronic Endometritis: Old Problem, Novel Insights and Future Challenges. Int J Fertil Steril. 2020;13(4):250-6. doi: 10.22074/ijfs.2020.5779
- Park HJ, Kim YS, Yoon TK, Lee WS. Chronic endometritis and infertility. Clin Exp Reprod Med. 2016;43(4):185-92. doi: 10.5653/cerm.2016.43.4.185
- Zolghadri J, Momtahan M, Aminian K, et al. The value of hysteroscopy in diagnosis of chronic endometritis in patients with unexplained recurrent spontaneous abortion. Eur J Obstet Gynecol Reprod Biol. 2011;155(2):217-20. doi: 10.1016/j.ejogrb.2010.12.010
- Bouet PE, El Hachem H, Monceau E, et al. Chronic endometritis in women with recurrent pregnancy loss and recurrent implantation failure: prevalence and role of office hysteroscopy and immunohistochemistry in diagnosis. Fertil Steril. 2016;105(1):106-10. doi: 10.1016/j.fertnstert.2015.09.025
- Drizi A, Djokovic D, Laganà AS, van Herendael B. Impaired inflammatory state of the endometrium: a multifaceted approach to endometrial inflammation. Current insights and future directions. Prz Menopauzalny. 2020;19(2):90-100. doi: 10.5114/pm.2020.97863
- Song D, Li TC, Zhang Y, et al. Correlation between hysteroscopy findings and chronic endometritis. Fertil Steril. 2019;111(4):772-9. doi: 10.1016/j.fertnstert.2018.12.007
- Robertson SA, Jin M, Yu D, et al. Corticosteroid therapy in assisted reproduction – immune suppression is a faulty premise. Hum Reprod. 2016;31(10):2164-73. doi: 10.1093/humrep/dew186
- Jabbour HN, Sales KJ, Catalano RD, Norman JE. Inflammatory pathways in female reproductive health and disease. Reproduction. 2009;138(6):903-19. doi: 10.1530/REP-09-0247
- Cicinelli E, Vitagliano A, Kumar A, et al. Unified diagnostic criteria for chronic endometritis at fluid hysteroscopy: proposal and reliability evaluation through an international randomized-controlled observer study. Fertil Steril. 2019;112(1):162-73.e2. doi: 10.1016/j.fertnstert.2019.03.004
- Cicinelli E, Matteo M, Tinelli R, et al. Chronic endometritis due to common bacteria is prevalent in women with recurrent miscarriage as confirmed by improved pregnancy outcome after antibiotic treatment. Reprod Sci. 2014;21(5):640-7. doi: 10.1177/1933719113508817
- Maybin JA, Critchley HO. Menstrual physiology: implications for endometrial pathology and beyond. Hum Reprod Update. 2015;21(6):748-61. doi: 10.1093/humupd/dmv038
- Christoffersen M, Troedsson M. Inflammation and fertility in the mare. Reprod Domest Anim. 2017;52(Suppl. 3):14-20. doi: 10.1111/rda.13013
- Кравченко Е.Н. Контраверсии в лечении хронических воспалительных заболеваний придатков матки. Эффективная фармакотерапия. 2010;5:82-4 [Kravchenko EN. Kontraversii v lechenii khronicheskikh vospalitel'nykh zabolevanii pridatkov matki. Effective pharmacotherapy. 2010;5:82-4 (in Russian)].
- Чернышев И.В., Степанов К.А. Пирогенал в комплексной терапии хронического бактериального простатита. Эффективная фармакотерапия. 2010;28:24-7 [Chernyshev IV, Stepanov KA. Pirogenal v kompleksnoi terapii khronicheskogo bakterial'nogo prostatita. Effective pharmacotherapy. 2010;28:24-7 (in Russian)].
- Радзинский В.Е., Маклецова С.А., Алеев И.А., и др. Неразвивающаяся беременность. Методические рекомендации МАРС. Версия 1.0. М.: StatusPraesens, 2015. Режим доступа: https://mzkchr.ru/wp-content/uploads/2016/09/nerazvivayushhayasya-beremennost.pdf. Ссылка активна на 28.07.2022 [Radzinskii VE, Makletsova SA, Aleev IA, et al. Nerazvivaiushchaiasia beremennost'. Metodicheskie rekomendatsii MARS. Versiia 1.0. Moscow: StatusPraesens, 2015. Available at: https://mzkchr.ru/wp-content/uploads/2016/09/nerazvivayushhayasya-beremennost.pdf. Accessed: 28.07.2022 (in Russian)].
- Петров Ю.А., Радзинский В.Е., Калинина Е.А., и др. Возможности таргентной терапии хронического эндометрита с учетом патоморфотипа. Медицинский вестник Юга России. 2015;(4):71-5 [Petrov YA, Radzinsky VE, Kalinina EA, et al. Opportunities targetou therapy of chronic endometritis with patagonia. Medical Herald of the South of Russia. 2015;(4):71-5 (in Russian)]. doi: 10.21886/2219-8075-2015-4-71-75
- Унанян А.Л., Коссович Ю.М. Современные подходы к лечению больных с хроническим эндометритом. Архив акушерства и гинекологии им. В.Ф. Снегирева. 2016;3(3):141-8 [Unanyan AL, Kossovich YuM. Modern approaches to the treatment of patients with chronic endometritis. V.F. Snegirev Archives of Obstetrics and Gynecology. 2016;3(3):141-8 (in Russian)]. doi: 10.18821/2313-8726-2016-3-3-141-148
- Кузнецова И.В., Землина Н.С., Рашидов Т.Н. Хронический эндометрит как исход инфекционного воспалительного заболевания матки. Гинекология. 2016;18(2):44-50 [Kuznetsova IV, Zemlina NS, Rashidov TN. Chronic endometritis as a result of infectious inflammatory diseases of the uterus. Ginekologiya. 2016;18(2):44-50 (in Russian)].
- Базарбаева Д.А., Юсупова М.А. Хронический эндометрит: современные аспекты диагностики и клинические критерии. Проблемы современной науки и образования. 2020;8(153):48-52 [Bazarbayeva DA, Yusupova MA. Chronic endometritis: modern aspects of diagnostics and clinical criteria. Problems of Modern Science and Education. 2020;8(153):48-52 (in Russian)].
- Калинина Н.С., Петров Ю.А. Хронический эндометрит: современные принципы лечения, направленные на снижение репродуктивных потерь. Международный журнал прикладных и фундаментальных исследований. 2019;9:51-5 [Kalinina NS, Petrov YuA. Chronic endometritis: modern principles of treatment aimed at reducing reproductive losses. International Journal of Applied and Fundamental Research. 2019;9:51-5 (in Russian)].
- Серебренникова К.Г., Арутюнян Н.А., Алехин А.И. Диагностика и клинические критерии хронического эндометрита. Гинекология. 2018;20(6):53-9 [Serebrennikova KG, Arutyunyan NA, Alekhin AI. Diagnosis and clinical criteria for chronic endometritis. Gynecology. 2018;20(6):53-9 (in Russian)]. doi: 10.26442/20795696.2018.6.180070
- Радзинский В.Е., Петров, Ю.А., Калинина Е.А., и др. Патогенетические особенности макротипов хронического эндометрита. Казанский медицинский журнал. 2017;98(1):27-34 [Radzinskiy VE, Petrov YA, Kalinina EA, et al. Pathogenetic features of the macrotypes of chronic endometritis. Kazan medical journal. 2017;98(1):27-34 (in Russian)]. doi: 10.17750/KMJ2017-27
- Sklyarova V, Kyshakevych I, Volosovsky P, et al. Epidemiological features of chronic endometritis in reproductive age women with disorders of reproductive health. Georgian Medical News. 2020;(304-305):27-32.
- Петров Ю.А. Роль микробного фактора в генезе хронического эндометрита. Кубанский научный медицинский вестник. 2016;3:113-8 [Petrov YuA. The role of microbial factor in the genesis of chronic endometritis. Kuban Scientific and Medical Bulletin. 2016;3:113-8 (in Russian)]. doi: 10.25207/1608-6228-2016-3-113-118
Дополнительные файлы






