Туберкулез женских половых органов. Клиническая лекция
- Авторы: Кульчавеня Е.В.1,2,3
-
Учреждения:
- ФГБУ «Новосибирский научно-исследовательский институт туберкулеза» Минздрава России
- ФГБОУ ВО «Новосибирский государственный медицинский университет» Минздрава России
- ЗАО «Медицинский центр ”АВИЦЕННА”»
- Выпуск: Том 24, № 5 (2022)
- Страницы: 413-420
- Раздел: ЛЕКЦИЯ
- Статья опубликована: 30.11.2022
- URL: https://gynecology.orscience.ru/2079-5831/article/view/108085
- DOI: https://doi.org/10.26442/20795696.2022.5.201818
- ID: 108085
Цитировать
Полный текст
Аннотация
Проблема внелегочного туберкулеза (ВЛТ) остается актуальной, поскольку наряду со снижением заболеваемости отмечается увеличение числа запущенных, поздно диагностированных случаев. Туберкулез женских половых органов (ТЖПО) является относительно редким и трудно диагностируемым заболеванием, встречается в среднем в 0,5–2,0 случаях на 100 тыс. населения; в последние годы также отмечают рост этой локализации ВЛТ. Туберкулезом может поражаться любой орган половой системы женщин, как изолированно, так и в комбинации. Наиболее часто в процесс вовлекаются трубы (95–100%), эндометрий (50–60%), яичники (20–30%), шейка матки (5–15%), миометрий (2,5%) и влагалище/вульва (1%). Самым частым симптомом ТЖПО, по поводу которого женщины обращаются к врачу, является бесплодие. К другим симптомам ТЖПО относят нарушения менструального цикла (олиго-, гипо-, дис-, аменорею, а также мено- и метроррагию), тазовую боль и патологические выделения из влагалища. У женщин в постменопаузе ТЖПО характеризуется симптомами, напоминающими злокачественное новообразование эндометрия, такими как постменопаузальное кровотечение, стойкие бели и пиометра. Диагноз ставят на основании тщательного сбора анамнеза, клинического обследования и надлежащего исследования полученного с помощью эндоскопии патологического материала. Туберкулиновая проба с внутрикожным введением 2 ТЕ туберкулина (проба Манту) оказалась положительной у 42,6% пациентов с генитальным туберкулезом. Важным методом диагностики ТЖПО является гистеросальпингография, которая позволяет оценить внутреннюю структуру женских половых путей и проходимость маточных труб. При ультразвуковом исследовании фаллопиевы трубы могут оказаться расширенными, утолщенными, быть заполненными серозным отделяемым (гидросальпинкс) или казеозом (пиосальпинкс). Лапароскопия и гидротубация с красителем являются надежным инструментом для диагностики генитального туберкулеза, особенно при заболеваниях маточных труб, яичников и брюшины. Микробиологическое исследование патологического материала при ТЖПО методом посева на плотные питательные среды малоинформативно, необходимо выполнять полимеразную цепную реакцию и применять другие молекулярно-диагностические методы. Следует признать, что ТЖПО не является редким заболеванием, но его часто упускают из виду. Основных причин для поздней диагностики 2: нечеткие клинические признаки и низкий уровень настороженности. Поскольку бесплодие – это частое осложнение ТЖПО, всех инфертильных женщин необходимо обследовать на туберкулез в полном объеме: туберкулинодиагностика, ультразвуковое исследование, гистеросальпингография, в сложных случаях – диагностическая лапароскопия с обязательным взятием материала для патоморфологического и микробиологического исследований.
Полный текст
Эпидемиология внелегочного туберкулеза
Пандемия новой коронавирусной инфекции, стартовавшая в 2019 г., внесла свои коррективы в эпидемиологическую ситуацию по туберкулезу: число вновь диагностированных пациентов существенно сократилось, но при этом наблюдается утяжеление клинической структуры заболевания. Не имея возможности пройти диспансерное обследование и своевременно получить медицинскую помощь, пациенты обращались к врачу слишком поздно, на стадии развития тяжелых необратимых изменений и осложнений. В результате доля умерших от туберкулеза удвоилась и достигла 30% [1–3].
Роль внелегочного туберкулеза (ВЛТ) недооценена как медициной и официальной статистикой, так и населением. Низкий уровень настороженности в отношении внелегочных локализаций туберкулеза приводит к поздней диагностике заболевания, когда терапевтические возможности исчерпаны, и хирургическое вмешательство неизбежно. Неэффективность антибактериальной терапии урогенитальных инфекций объясняют резистентностью патогена, в то время как это может оказаться туберкулез мочеполовой системы, протекающий под маской неспецифических заболеваний. ВЛТ не имеет патогномоничных симптомов; выделение микобактерии туберкулеза (МБТ) при этих формах патологического процесса скудное, непостоянное и трудноуловимое, а при некоторых локализациях (например, при туберкулезе надпочечника, селезенки, перикарда) отсутствует вообще. Гистологическая верификация не всегда возможна, в ряде случаев риск получения ткани для патоморфологического исследования превышает возможную пользу и чреват генерализацией процесса [4–8].
Анализ спектра заболеваемости ВЛТ, по данным литературы, затруднен в связи с применением различных классификаций, отсутствием унифицированной терминологии. В некоторых странах туберкулез плевры и внутригрудных лимфатических узлов относят к внелегочным локализациям, в других (в первую очередь в Российской Федерации и Республике Беларусь) их логично расценивают как проявление туберкулеза органов дыхания [9, 10].
Структура ВЛТ непостоянна даже в разные временные периоды в пределах одного региона. Так, с 2006 по 2016 г. в Сибирском и Дальневосточном федеральных округах доля туберкулеза центральной нервной системы удвоилась, а доля урогенитального туберкулеза уменьшилась почти в 2 раза. До 2008 г. в этом регионе лидировал урогенитальный туберкулез, а с 2009 г. ведущей формой ВЛТ стал туберкулез костей и суставов [11–13]. Немногие исследования анализируют актуальные данные [14, 15], тогда как большинство авторов оценивают суммарный спектр ВЛТ за длительный период – 10–20 лет [16–19]. На примере Сибири мы видим, что это некорректно.
Неспецифичность клинической картины, неоптимальная эмпирическая терапия по поводу инфекций мочевыводящих путей, низкая настороженность в отношении туберкулеза приводят в тому, что ВЛТ нередко диагностируют на стадии тяжелых осложнений или интраоперационно в общей лечебной сети – опять же, при выполнении ургентных операций по поводу тяжелых осложнений (абсцесс печени, пионефроз, маточное кровотечение и т.д.). Сопутствующая ВИЧ-инфекция кардинально меняет как клиническую, так и патоморфологическую картину ВЛТ, что привносит дополнительные трудности в его своевременную диагностику [20, 21].
Последним штрихом является принцип учета внелегочных форм туберкулеза официальной статистикой, согласно которому эти локализации у больных туберкулезом легких не фиксируются отдельной строкой. Все это приводит к тому, что мы не видим истинной эпидемиологической картины ВЛТ. Однако пренебрегать ВЛТ нельзя, поскольку поражение разных органов и систем требует дифференцированного подхода к лечению.
Эпидемиология туберкулеза женских половых органов
Туберкулез женских половых органов (ТЖПО) впервые описал Д.Б. Морганьи в 1744 г. при вскрытии молодой женщины, умершей от туберкулезного перитонита. ТЖПО является редким и трудно диагностируемым заболеванием, встречается в среднем в 0,5–2,0 случаях на 100 тыс. населения, однако в последние годы отмечают неуклонный рост этой локализации ВЛТ. Отсутствие специфических клинических симптомов (основные признаки – менструальная дисфункция и бесплодие), скрытое, латентное течение, малая частота обнаружения возбудителя в патологическом материале обусловливают низкий уровень диагностики генитального туберкулеза у женщин с репродуктивными нарушениями [22, 23]. В своих руководствах Всемирная организация здравоохранения и Федеральные клинические рекомендации «Туберкулез у взрослых» уделяют основное внимание туберкулезу органов дыхания и в гораздо меньшей степени – отдельным локализациям ВЛТ [24–28].
У женщин с установленным диагнозом туберкулеза половых органов бесплодие выявляют в 60–97% случаев, он может оказаться причиной привычного невынашивания беременности [22, 29–36].
По мнению некоторых авторов, на генитальный туберкулез приходится 9% всех случаев ВЛТ [37]. Однако бремя генитального туберкулеза у женщин недооценивают, поскольку у большинства пациенток заболевание протекает бессимптомно, и обычно его диагностируют при обследовании по поводу бесплодия [33, 34]. В Индии среди инфертильных женщин ТЖПО диагностирован в 3–16% случаев [38]. У женщин с бесплодием, зарегистрированных для экстракорпорального оплодотворения в северной Индии, распространенность ТЖПО среди пациенток с трубным фактором бесплодия составила 48,5% [39].
МБТ проникает в половые пути 3 способами [38, 40]:
- гематогенно;
- лимфогенно;
- при половом контакте.
В инфекционно-воспалительный процесс может вовлекаться любой орган половой системы женщин, как изолированно, так и в комбинации. Наиболее часто поражены трубы (95–100%), эндометрий (50–60%), яичники (20–30%), шейка матки (5–15%), миометрий (2,5%) и влагалище/вульва (1%) [41].
Патоморфологическая картина ТЖПО мозаична. На ранних стадиях органы выглядят нормально, никакие отклонения посредством лучевых методов диагностики не обнаруживаются. Первые изменения возникают в ампулярной области маточных труб, позже визуализируется отек фимбрий. Туберкулезный эндометрит часто бывает очаговым, при распространенном туберкулезе эндометрия наблюдают изъязвления, казеозный некроз и кровоизлияние. На более поздних стадиях часто образовываются спайки между яичниками и соседними органами малого таза. Внутриматочные спайки могут привести к частичной облитерации полости матки. Шейка матки, вульва и влагалище поражаются редко [42–45].
Клинические признаки ТЖПО
Самый частый симптом ТЖПО, по поводу которого женщины обращаются к врачу, это бесплодие. Заболевание может возникать в любой возрастной группе, но чаще всего страдают женщины репродуктивного возраста (15–45 лет). К другим симптомам ТЖПО относят различные нарушения менструального цикла (олиго-, гипо-, дис-, аменорею, а также мено- и метроррагию), тазовую боль и патологические выделения из влагалища. У женщин в постменопаузе туберкулез половых органов характеризуется симптомами, напоминающими злокачественное новообразование эндометрия, такими как постменопаузальное кровотечение, стойкие бели и пиометра [46]. Генитальный туберкулез может протекать под маской или развиваться одновременно с другими гинекологическими и абдоминальными заболеваниями (карцинома половых органов, острый аппендицит, кисты яичников, воспалительные заболевания органов малого таза, внематочная беременность), что привносит дополнительные сложности в раннюю диагностику ТЖПО.
Диагностика ТЖПО
Отсутствие патогномоничных симптомов и низкая настороженность – основные причины несвоевременной диагностики ТЖПО. Симптомы ТЖПО неспецифичны: бесплодие, менструальная дисфункция и хроническая тазовая боль. Диагноз ставят на основании тщательного сбора анамнеза, клинического обследования и надлежащего исследования полученного с помощью эндоскопии патологического материала.
Пациенток с хроническими воспалительными заболеваниями органов малого таза, не отвечающих на стандартное лечение антибиотиками, с бесплодием неясной этиологии или женщин с нерегулярным менструальным циклом либо постменопаузальным кровотечением и постоянными выделениями из влагалища обязательно следует обследовать на туберкулез. Факторы риска включают контакт с больным туберкулезом, наличие инфекции в анамнезе, проживание или недавние поездки в эндемичные районы, низкий социально-экономический статус. Не существует единого диагностического теста для подтверждения диагноза ТЖПО. В основе диагностики лежат высокая степень настороженности, тщательный сбор анамнеза, системное обследование, идентификация Mycobacterium tuberculosis различными методами, включая молекулярно-генетические, а также методы визуализации [47–49].
Признаки перенесенного туберкулеза органов дыхания визуализируются на рентгенограммах у 10–75% пациенток с ТЖПО [50]. Туберкулиновая проба с внутрикожным введением 2 ТЕ туберкулина (проба Манту) положительна у 42,6% пациентов с генитальным туберкулезом [51]. V. Raut и соавт. (2001 г.) [52] обнаружили, что у женщин с лапароскопически диагностированным ТЖПО чувствительность пробы Манту составляет 55%, а специфичность – 80%.
Важным методом диагностики ТЖПО служит гистеросальпингография (ГСГ), которая позволяет оценить внутреннюю структуру женских половых путей и проходимость маточных труб. Патологические изменения, характерные для ТЖПО, включают дилатацию маточных труб, их окклюзию. Контур пораженной трубы неровный, регистрируют картину гидросальпинкса с четкообразной деформацией («нитка бус»), окклюзию маточных труб и спайки в перитубарной области, которые могут проявляться в виде разлива контраста, иногда – в виде штопора [48, 53–56].
Туберкулез следует заподозрить при наличии синехий, трубной непроходимости в переходной зоне между перешейком и ампулой, множественных сужений, обызвествленных лимфатических узлов, неравномерных линейных или узелковых обызвествлений в области придатков (рис. 1, a, b).
Рис. 1. a. Множественные обызвествленные лимфатические узлы у больной ТЖПО. Обызвествленные лимфатические узлы в области малого таза (длинные тонкие стрелки) и по ходу фаллопиевых труб. Неравномерный контур матки, ее емкость снижена. b. Cлева видна большая тень кальцинированного яичника. Гидросальпинкс дистальной части обеих труб. Источник: F. Ahmadi и соавт. [54]. / Fig. 1. a. Multiple calcified lymph nodes in a patient with female genital tuberculosis (FGT). Calcified lymph nodes in the pelvic area (long thin arrows) and along the fallopian tubes. Irregular uterine contour; the volume of the uterine cavity is reduced. b. A large shadow of a calcified ovary can be seen on the left. Hydrosalpinx of both tubes' distal parts is observed. Source: F. Ahmadi et al. [54].
Изменения матки при туберкулезе могут иметь неспецифические признаки, такие как образование синехий, искажение контура матки, ее облитерация, полостные, венозные и лимфатические интравазации. Существуют и специфические признаки: «воротниковый» абсцесс, «Т-образная» и «псевдооднорогая» матка.
Хроническая инфекция может привести к обширному разрушению эндо- и миометрия, что вызывает полную облитерацию полости матки – так называемый синдром Неттера. На ГСГ в такой ситуации он выглядит как палец в перчатке, состоящий из цервикального канала и небольшой части матки [48].
Туберкулез шейки матки встречается редко, так как многослойный эпителий эктоцервикса естественно устойчив к проникновению бактерий, следовательно, туберкулез шейки матки в основном является вторичным по отношению к туберкулезу фаллопиевых труб и эндометрия [55]. Поражение шейки матки визуализируется при ГСГ как неравномерность контуров («зубчатый» эндоцервикальный канал) и выпячивание псевдодивертикулов [55]. Туберкулез шейки матки чаще всего ошибочно интерпретируют как рак, ввиду чего необходима биопсия с патоморфологическим и молекулярно-генетическим исследованием полученных тканей.
При ультразвуковом исследовании (УЗИ) получаемая картина разнородна. Фаллопиевы трубы могут оказаться расширенными, утолщенными, быть заполненными серозным отделяемым (гидросальпинкс) или казеозом (пиосальпинкс). Эндометрий поражается в 60–90% случаев генитального туберкулеза, что выражается в патологическом размере М-эхо, а увеличение матки может быть связано с заполнением ее казеозом. Эндометрий эхоскопически неоднороден, с гиперэхогенными областями, обусловленными очагами кальцификации или фиброза, визуализируются внутриматочные спайки, полость матки деформирована. Эндометрий может истончаться или утолщаться, возможны облитерация рогов, неоднородное увеличение яичников и спайки в области придатков. Впрочем, УЗИ-картина при ТЖПО может выглядеть и нормальной.
Очень помогает в диагностике лапароскопия, поскольку она позволяет визуально оценить состояние яичников, фаллопиевых труб, брюшины, а также выполнить биопсию подозрительных очагов. Лапароскопически могут обнаруживаться бугорки, отек и сужения ампулярного отдела труб, бусинчатость маточных труб, перитубарные спайки, периовариальные спайки, тубоовариальные образования, гидросальпинкс и ригидность труб. A. Baxi и соавт. (2011 г.) [57] показали, что чувствительность, специфичность и прогностическая ценность патоморфологического исследования материала, полученного при лапароскопии, составляют 85,7, 22,2 и 77% соответственно по сравнению с полимеразной цепной реакцией. Идеальным временем для взятия образца эндометрия путем выскабливания стенок полости матки является поздняя секреторная фаза менструального цикла, которая благоприятна для обнаружения классических гигантских клеток и бугорков [41].
Гистероскопия позволяет эндоскопически осмотреть полость матки. Гистероскопическая картина при ТЖПО может выглядеть нормально при отсутствии туберкулеза эндометрия и на ранних стадиях заболевания. Могут визуализироваться бугорки, внутриматочные синехии различной степени, вплоть до облитерации полости матки (синдром Ашермана) [29]. Если обнаружены выраженные синехии (рис. 2), целесообразно сразу же провести их коагуляцию при помощи электрокаутера или лазера.
Рис. 2. Обширные спайки полости матки после коагуляции. Источник: J. Sharma и соавт. [29]. / Fig. 2. Extensive adhesions in the uterine cavity after coagulation [29].
Лапароскопия, или тест с красителем (метиленовый синий), выполняемый под общей анестезией, служит наиболее надежным методом диагностики ТЖПО, в особенности при заболеваниях маточных труб, яичников и брюшины. Проведение лапароскопии одновременно с гистероскопией повышает эффективность исследования и снижает риск развития осложнений. При лапароскопии необходимо тщательно осмотреть брюшную полость, поворачивая лапароскоп на 360° (малый таз с половыми органами, затем илеоцекальная область, восходящая ободочная кишка, печеночный изгиб, печень, желчный пузырь, желудок, вся тонкая кишка, нисходящая кишка, сальник и вся брюшина) с целью визуализации иных локализаций туберкулеза. В стадии активного воспаления обнаруживают гиперемию, отек, заполненные жидкостью карманы, милиарные бугорки, бело-желтые непрозрачные пятна на матке, маточных трубах, яичниках и брюшине. Также в стадии активного воспаления могут наблюдаться застойные явления, отеки и спайки в органах малого таза с множеством заполненных жидкостью карманов. На фаллопиевых трубах и матке имеются милиарные бугорки, бело-желтые и непрозрачные бляшки. В хронической стадии возможно зафиксировать изменение размера и формы труб с агглютинированными фимбриями, различные типы блока труб (фимбриальный, срединный или роговой блок), их утолщение, гидросальпинкс и казеозные очаги пиосальпинкса.
Для хронической стадии ТЖПО типичны следующие отклонения:
- желтые мелкие узелки на трубах (узелковый сальпингит);
- короткие и опухшие трубы с агглютинирующими фимбриями (пятнистый сальпингит);
- одно- или двусторонний гидросальпинкс с ретортовидными трубками за счет агглютинации фимбрий;
- пиосальпинкс (как правило, двусторонний), трубы деформированы казеозным материалом с яйцевидной бело-желтой растянутой ампулой с плохой васкуляризацией;
- казеозные узелки.
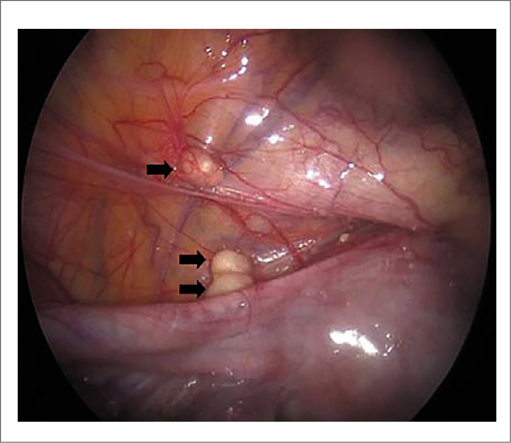
Типичная лапароскопическая картина при ТЖПО представлена на рис. 3, 4.
Рис. 3. ТЖПО, бугорки на теле матки (показаны стрелками). Источник: J. Sharma и соавт. [29]. / Fig. 3. FGT, tubercles on the uterine body (indicated by arrows) [29].
Рис. 4. ТЖПО, казеомы в дугласовом пространстве (одиночная стрелка) и на брюшине (двойная стрелка). Источник: J. Sharma и соавт. [29]. / Fig. 4. FGT, caseomas in the Douglas space (single arrow) and on the peritoneum (double arrow) [29].
Наблюдали высокую (48%) частоту перипеченочных синехий (синдром Фитца–Хью–Кертиса) у больных ТЖПО [29]. Зарегистрировано увеличение числа осложнений при проведении лапароскопии у пациенток с туберкулезом половых органов по сравнению с нетуберкулезными пациентками (31% vs 4%): затруднение визуализации малого таза за счет спаечного процесса (10,3% vs 1,3%), кровотечение (2,3% vs 0%), перитонит (8% vs 1,8%). Выполнение лапароскопии при ТЖПО затруднено ввиду выраженного спаечного процесса, поэтому операцию должны выполнять опытные гинекологи.
Микробиологическое исследование патологического материала при ТЖПО методом посева на плотные питательные среды малоинформативно, в связи с чем необходимо проводить полимеразную цепную реакцию и применять другие молекулярно-диагностические методы.
Ниже приводим собственное клиническое наблюдение типичного течения ТЖПО [58].
Пациентка А., возраст 29 лет. Туберкулезом ранее не болела, контакт с туберкулезной инфекцией отрицает. В течение более чем 10 лет регулярной половой жизни беременность не наступала. Жалобы, за исключением бесплодия, отсутствуют. Комплексное обследование позволило диагностировать трихомониаз и хламидиоз, по поводу которых проведено эффективное лечение. УЗИ показало параовариальные кисты размером 19×10 и 17×12 мм. Эхоскопическая картина матки, шейки матки и вагинальных форниксов находилась в пределах нормы. Пациентке провели лечебно-диагностическую лапароскопию. Интраоперационно обнаружили адгезивный перитонит, который вначале интерпретировали как постхламидийный. Однако туберкуломы в ампулярной части фаллопиевых труб, окруженные спайками, заставили изменить мнение в пользу туберкулеза (рис. 5) и провести иссечение туберкулем и резекцию яичника.
Рис. 5. Туберкулема ампулярного отдела левой фаллопиевой трубы, окруженная спайками. Источник: собственное наблюдение (фото С.О. Дубровиной) [58]. / Fig. 5. Ampullary tuberculoma of the left fallopian tube enveloped by adhesions [58].
Патоморфологическое исследование операционного материала показало туберкулезное воспаление с очагами некроза, окруженное зоной фиброза (рис. 6). Важный нюанс: исследование соскоба эндометрия не продемонстрировало гистологических изменений, характерных для туберкулеза; идентифицировать патоген в соскобе также не удалось. Вместе с тем в резецированных тканях яичника методами молекулярно-генетической диагностики обнаружена МБТ.
Рис. 6. Туберкулез яичника. Крупные сливающиеся участки казеозного некроза, окруженные эпителиоидно- и гигантоклеточным валом, зоной продуктивной мононуклеарной инфильтрации и фиброза, с вытеснением железистых структур. Ув. 40. Окраска гематоксилином и эозином. Источник: собственное наблюдение (фото П.Н. Филимонова). / Fig. 6. Ovarian tuberculosis. Large confluent areas of caseous necrosis surrounded by an epithelioid and giant cells shaft, a zone of productive mononuclear infiltration and fibrosis, with a displacement of glandular structures. 40×. Hematoxylin and eosin staining. Source: authors’ observation (photo by P.N. Filimonov).
Бесплодие при генитальном туберкулезе
И первичное, и вторичное бесплодие возникают у больных ТЖПО в 40–80% случаев по следующим причинам [29].
- Трубные факторы: одно- и двусторонняя непроходимость маточных труб, потеря функции маточных труб из-за повреждения фимбрий, перисальпингит, вызывающий спайки и образование тубоовариальных масс, а также одно- или двусторонний гидросальпинкс с обструкцией или без нее, влияющие на оплодотворение и имплантацию эмбриона.
- Эндокринная дисфункция, хроническая ановуляция, антигонадотропный эффект M. tuberculosis даже в цикле экстракорпорального оплодотворения, низкое качество эмбриона из-за дефекта внутреннего ооцитарного фактора и сниженной продукции прогестерона (дефект лютеиновой фазы).
- Маточные (эндометриальные) факторы: ТЖПО влияет на рецептивность эндометрия, что приводит к нарушению его васкуляризации и образованию синехий.
Описан случай преждевременных родов ребенка, у которого имелся врожденный милиарный туберкулез с множественными перфорациями кишечника [28]. Обострение латентного генитального туберкулеза при экстракорпоральном оплодотворении и беременности описано H. Huang и соавт. (2009 г.) [59]. Два случая врожденного туберкулеза зарегистрированы A. Das и соавт. (2008 г.) [60]. Из них 1-й случай представлен у ребенка в возрасте 12 дней, у матери которого зарегистрировали симптомы туберкулеза в I триместре беременности, но диагноз не поставили до тех пор, пока не появились симптомы у ребенка. M. tuberculosis обнаружили в желудочном аспирате младенца, причем молекулярно-генетическое исследование подтвердило идентичность возбудителя матери и ребенка. Во 2-м случае туберкулез диагностировали у новорожденного в возрасте 45 дней: в аспирате его желудка нашли M. tuberculosis. При этом у матери каких-либо симптомов не выявили, равно как и не обнаружили контактов с инфекцией, но в биоптате эндометрия зафиксировали признаки туберкулезного воспаления [60]. Наше собственное клиническое наблюдение [58] демонстрирует чрезвычайно редкий случай туберкулеза плаценты у молодой женщины, перенесшей генитальный туберкулез, который впервые диагностировали после срочных родов. Пациентка ранее туберкулезом не болела, контакт с туберкулезной инфекцией отрицала, во время беременности никаких жалоб, могущих хотя бы отдаленно заподозрить туберкулез, не предъявляла. Роды произошли в срок, родился здоровый доношенный ребенок. В Российской Федерации принято исследование плаценты после родов, и эта стандартная процедура позволила обнаружить туберкулез (рис. 7).
Рис. 7. Разлитое казеозное воспаление в плаценте. Источник: собственное наблюдение (фото О.П. Швецовой). / Fig. 7. Disseminated caseous inflammation in the placenta. Source: authors’ observation (photo by O.P. Shvetsova).
Заключение
Следует признать, что ТЖПО не является редким заболеванием, но его часто упускают из виду. Основных причин для поздней диагностики 2: нечеткие клинические признаки и низкий уровень настороженности. Поскольку бесплодие – это частое осложнение ТЖПО, всех инфертильных женщин необходимо обследовать на туберкулез в полном объеме: туберкулинодиагностика, ультразвуковое исследование, гистеросальпингография, в сложных случаях – диагностическая лапароскопия с обязательным взятием материала для патоморфологического и микробиологического исследований.
Раскрытие интересов. Автор декларирует отсутствие явных и потенциальных конфликтов интересов, связанных с публикацией настоящей статьи.
Disclosure of interest. The author declares that she has no competing interests.
Вклад автора. Автор декларирует соответствие своего авторства международным критериям ICMJE.
Author’s contribution. The author declares the compliance of her authorship according to the international ICMJE criteria.
Источник финансирования. Автор декларирует отсутствие внешнего финансирования для проведения исследования и публикации статьи.
Funding source. The author declares that there is no external funding for the exploration and analysis work.
Информированное согласие на публикацию. Пациентка подписала форму добровольного информированного согласия на публикацию медицинской информации.
Consent for publication. Written consent was obtained from the patient for publication of relevant medical information and all of accompanying images within the manuscript.
Об авторах
Екатерина Валерьевна Кульчавеня
ФГБУ «Новосибирский научно-исследовательский институт туберкулеза» Минздрава России; ФГБОУ ВО «Новосибирский государственный медицинский университет» Минздрава России; ЗАО «Медицинский центр ”АВИЦЕННА”»
Автор, ответственный за переписку.
Email: urotub@yandex.ru
ORCID iD: 0000-0001-8062-7775
https://www.researchgate.net/profile/Ekaterina_Kulchavenya
д-р мед. наук, проф., гл. науч. сотр., проф. каф. туберкулеза, науч. рук. отд-ния урологии
Россия, Новосибирск; Новосибирск; НовосибирскСписок литературы
- Васильева И.А., Тестов В.В., Стерликов С.А. Эпидемическая ситуация по туберкулезу в годы пандемии COVID-19 – 2020–2021 гг. Туберкулез и болезни легких. 2022;100(3):6-12 [Vasilyeva IA, Testov VV, Sterlikov SA. Epidemiological situation in tuberculosis during the COVID-19 pandemic – 2020–2021. Tuberculosis and Lung Diseases. 2022;100(3):6-12 (in Russian)]. doi: 10.21292/2075-1230-2022-100-3-6-12
- Кульчавеня Е.В. Внелегочный туберкулез во время пандемии COVID-19: особенности выявления и течения. Consilium Medicum. 2021;23(7):585-9 [Kulchavenya EV. Extrapulmonary tuberculosis during the COVID-19 pandemic: features of detection and course. Consilium Medicum. 2021;23(7):585-9 (in Russian)]. doi: 10.26442/20751753.2021.7.201134
- Global tuberculosis report 2021. Geneva: World Health Organization, 2021. Available at: https://www.who.int/publications/i/item/9789240037021. Accessed: 22.08.2022.
- Rodriguez-Takeuchi SY, Renjifo ME, Medina FJ. Extrapulmonary Tuberculosis: Pathophysiology and Imaging Findings. Radiographics. 2019;39(7):2023-37. doi: 10.1148/rg.2019190109
- Sharma SK, Mohan A, Kohli M. Extrapulmonary tuberculosis. Expert Rev Respir Med. 2021;15(7):931-8. doi: 10.1080/17476348.2021.1927718
- Pang Y, An J, Shu W, et al. Epidemiology of Extrapulmonary Tuberculosis among Inpatients, China, 2008–2017. Emerg Infect Dis. 2019;25(3):457-64. doi: 10.3201/eid2503.180572
- Tamura D, Kawahara Y, Mori M, Yamagata T. Multifocal and extrapulmonary tuberculosis due to immunosuppressants. Pediatr Int. 2021;63(9):1117-9. doi: 10.1111/ped.14538
- Diriba G, Tola HH, Alemu A, et al. Drug resistance and its risk factors among extrapulmonary tuberculosis in Ethiopia: A systematic review and meta-analysis. PLoS One. 2021;16(10):e0258295. doi: 10.1371/journal.pone.0258295
- Солонко И.И., Гуревич Г.Л., Скрягина Е.М., Дюсьмикеева М.И. Внелегочный туберкулез: клинико-эпидемиологическая характеристика и диагностика. Туберкулез и болезни легких. 2018;96(6):22-8 [Solonko II, Gurevich GL, Skryagina EM, Dyusmikeeva MI. Extrapulmonary tuberculosis: clinical, epidemiological characteristics and diagnostics. Tuberculosis and Lung Diseases. 2018;96(6):22-8 (in Russian)]. doi: 10.21292/2075-1230-2018-96-6-22-28
- Туберкулез в Российской Федерации, 2012/2013/2014 гг. Аналитический обзор статистических показателей, используемых в Российской Федерации и в мире. М., 2015 [Tuberkulez v Rossiiskoi Federatsii, 2012/2013/2014 gg. Analiticheskii obzor statisticheskikh pokazatelei, ispol'zuemykh v Rossiiskoi Federatsii i v mire. Moscow, 2015 (in Russian)].
- Кульчавеня Е.В., Хомяков В.Т. Туберкулез внелегочной локализации в Западной Сибири. Туберкулез и болезни легких. 2003;4(80):13-5 [Kulchavenya EV, Khomyakov VT. Tuberculosis of extrapulmonary localization in Western Siberia. Tuberculosis and Lung diseases. 2003;4(80):13-5 (in Russian)].
- Кульчавеня Е.В., Брижатюк Е.В., Ковешникова Е.Ю., Свешникова Н.Н. Новые тенденции в эпидемической ситуации по туберкулезу экстраторакальных локализаций в Сибири и на Дальнем Востоке. Туберкулез и болезни легких. 2009;10(86):27-31 [Kulchavenya EV, Brizhatyuk EV, Koveshnikova EYu, Sveshnikova NN. New trends in the epidemic situation of extrathoracic tuberculosis in Siberia and the Far East. Tuberculosis and Lung Diseases. 2009;10(86):27-31 (in Russian)].
- Кульчавеня Е.В., Брижатюк Е.В., Хомяков В.Т. Туберкулез экстраторакальных локализаций в Сибири и на Дальнем Востоке. Туберкулез и болезни легких. 2005;6(82):23-6 [Kulchavenya EV, Brizhatyuk EV, Khomyakov VT. Tuberculosis of extrathoracic localizations in Siberia and the Far East. Tuberculosis and Lung Diseases. 2005;6(82):23-6 (in Russian)].
- Eddabra R, Neffa M. Epidemiological profile among pulmonary and extrapulmonary tuberculosis patients in Laayoune, Morocco. Pan Afr Med J. 2020;37:56. doi: 10.11604/pamj.2020.37.56.21111
- Ossalé Abacka KB, Koné A, Akoli Ekoya O, et al. Tuberculose extrapulmonaire versus tuberculose pulmonaire: aspects épidémiologiques, diagnostiques et évolutifs. Rev Pneumol Clin. 2018;74(6):452-7 [Ossalé Abacka KB, Koné A, Akoli Ekoya O, et al. Extrapulmonary tuberculosis versus pulmonary tuberculosis: epidemiological, diagnosis and evolutive aspects. Rev Pneumol Clin. 2018;74(6):452-7 (in French)]. doi: 10.1016/j.pneumo.2018.09.008
- Sbayi A, Arfaoui A, Janah H, et al. Epidemiological characteristics and some risk factors of extrapulmonary tuberculosis in Larache, Morocco. Pan Afr Med J. 2020;36:381. doi: 10.11604/pamj.2020.36.381.24870
- Martínez L, Vázquez S, Flores MLM, et al. Tuberculosis extra-pulmonar en niños bajo 15 años de edad internados en el Centro Hospitalario Pereira Rossell, Uruguay. Rev Chilena Infectol. 2020;37(5):577-83 [Martínez L, Vázquez S, Flores MLM, et al. Extrapulmonary tuberculosis in children under the age of 15 hospitalized at the Pereira Rossell Hospital Center, Uruguay. Rev Chilena Infectol. 2020;37(5):577-83 (in Spanish)]. doi: 10.4067/S0716-10182020000500577
- Gonzales OY, Adams G, Teeter LD, et al. Extra-pulmonary manifestations in a large metropolitan area with a low incidence of tuberculosis. Int J Tuberc Lung Dis. 2003;7(12):1178-85.
- Peto HM, Pratt RH, Harrington TA, et al. Epidemiology of extrapulmonary tuberculosis in the United States, 1993–2006. Clin Infect Dis. 2009;49(9):1350-7. doi: 10.1086/605559
- Alemu A, Yesuf A, Gebrehanna E, et al. Incidence and predictors of extrapulmonary tuberculosis among people living with Human Immunodeficiency Virus in Addis Ababa, Ethiopia: A retrospective cohort study. PLoS One. 2020;15(5):e0232426. doi: 10.1371/journal.pone.0232426
- Kulchavenya E, Kholtobin D, Shevchenko S. Challenges in urogenital tuberculosis. World J Urol. 2020;38(1):89-94. doi: 10.1007/s00345-019-02767-x
- Naik SN, Chandanwale A, Kadam D, et al. Detection of genital tuberculosis among women with infertility using best clinical practices in India: An implementation study. Indian J Tuberc. 2021;68(1):85-91. doi: 10.1016/j.ijtb.2020.08.003
- Agrawal M, Roy P, Bhatia V, et al. Role of microbiological tests in diagnosis of genital tuberculosis of women with infertility: A view. Indian J Tuberc. 2019;66(2):234-9. doi: 10.1016/j.ijtb.2019.03.003
- WHO consolidated guidelines on tuberculosis. Module 2: Screening – Systematic screening for tuberculosis disease. Geneva: World Health Organization, 2021. Available at: https://www.who.int/publications/i/item/9789240022676. Accessed: 22.08.2022.
- WHO operational handbook on tuberculosis. Module 2: Screening – Systematic screening for tuberculosis disease. Geneva: World Health Organization, 2021. Available at: https://www.who.int/publications/i/item/9789240022614. Accessed: 22.08.2022.
- WHO consolidated guidelines on tuberculosis. Module 3: Diagnosis – Rapid diagnostics for tuberculosis detection 2021 update. Geneva: World Health Organization, 2021. Available at: https://www.who.int/publications/i/item/9789240029415. Accessed: 22.08.2022.
- WHO operational handbook on tuberculosis. Module 3: Diagnosis – Rapid diagnostics for tuberculosis detection 2021 update. Geneva: World Health Organization, 2021. Available at: https://www.who.int/publications/i/item/9789240030589. Accessed: 22.08.2022.
- Клинические рекомендации «Туберкулез у взрослых». М.: ЦЕНТРМАГ, 2022 [Klinicheskie rekomendatsii "Tuberkulez u vzroslykh". Moscow: TsENTRMAG, 2022 (in Russian)].
- Sharma JB, Sharma E, Sharma S, Dharmendra S. Female genital tuberculosis: Revisited. Indian J Med Res. 2018;148(Suppl.):S71-83. doi: 10.4103/ijmr.IJMR_648_18
- Reis-de-Carvalho C, Monteiro J, Calhaz-Jorge C. Genital tuberculosis role in female infertility in Portugal. Arch Gynecol Obstet. 2021;304(3):809-14. doi: 10.1007/s00404-020-05956-x
- Tal R, Lawal T, Granger E, et al. Genital tuberculosis screening at an academic fertility center in the United States. Am J Obstet Gynecol. 2020;223(5):737.e1-10. doi: 10.1016/j.ajog.2020.05.045
- Iyer VK, Malhotra N, Singh UB, et al. Immunohistochemical evaluation of infiltrating immune cells in endometrial biopsy of female genital tuberculosis. Eur J Obstet Gynecol Reprod Biol. 2021;267:174-8. doi: 10.1016/j.ejogrb.2021.10.031
- Bagchi B, Chatterjee S, Gon Chowdhury R. Role of latent female genital tuberculosis in recurrent early pregnancy loss: A retrospective analysis. Int J Reprod Biomed. 2019;17(12):929-34. doi: 10.18502/ijrm.v17i12.5799
- Feng Q, Hu X, Zhao J, et al. Female genital tuberculosis presented with primary infertility and persistent CA-125 elevation: A case report. Ann Med Surg (Lond). 2022;78:103683. doi: 10.1016/j.amsu.2022.103683
- Tiwari P. Genital tuberculosis screening at an academic fertility center in the United States. Am J Obstet Gynecol. 2021;224(6):632. doi: 10.1016/j.ajog.2021.02.001
- Djuwantono T, Permadi W, Septiani L, et al. Female genital tuberculosis and infertility: serial cases report in Bandung, Indonesia and literature review. BMC Res Notes. 2017;10(1):683. doi: 10.1186/s13104-017-3057-z
- Grace GA, Devaleenal DB, Natrajan M. Genital tuberculosis in females. Indian J Med Res. 2017;145(4):425-36. doi: 10.4103/ijmr.IJMR_1550_15
- Sharma JB. Current diagnosis and management of female genital tuberculosis. J Obstet Gynaecol India. 2015;65(6):362-71. doi: 10.1007/s13224-015-0780-z
- Singh N, Sumana G, Mittal S. Genital tuberculosis: A leading cause for infertility in women seeking assisted conception in North India. Arch Gynecol Obstet. 2008;278(4):325-7. doi: 10.1007/s00404-008-0590-y
- Kimura M, Araoka H, Baba H, et al. First case of sexually transmitted asymptomatic female genital tuberculosis from spousal epididymal tuberculosis diagnosed by active screening. Int J Infect Dis. 2018;73:60-2. doi: 10.1016/j.ijid.2018.05.021
- Das P, Ahuja A, Gupta SD. Incidence, etiopathogenesis and pathological aspects of genitourinary tuberculosis in India: A journey revisited. Indian J Urol. 2008;24(3):356-61. doi: 10.4103/0970-1591.42618
- Sharma JB, Sharma E, Sharma S, et al. Genital tb-diagnostic algorithm and treatment. Indian J Tuberc. 2020;67(4S):S111-8. doi: 10.1016/j.ijtb.2020.10.005
- Wang Y, Shao R, He C, Chen L. Emerging progress on diagnosis and treatment of female genital tuberculosis. J Int Med Res. 2021;49(5):3000605211014999. doi: 10.1177/03000605211014999
- Gupta S, Gupta P. Etiopathogenesis, Challenges and Remedies Associated With Female Genital Tuberculosis: Potential Role of Nuclear Receptors. Front Immunol. 2020;11:02161. doi: 10.3389/fimmu.2020.02161
- Efared B, Sidibé IS, Erregad F, et al. Female genital tuberculosis: a clinicopathological report of 13 cases. J Surg Case Rep. 2019;2019(3):rjz083. doi: 10.1093/jscr/rjz083
- Zayet S, Berriche A, Ammari L, et al. Caractéristiques épidémio-cliniques de la tuberculose génitale chez la femme tunisienne: une série de 47 cas. Pan Afr Med J. 2018;30:71 [Zayet S, Berriche A, Ammari L, et al. Epidemio-clinical features of genital tuberculosis among Tunisian women: a series of 47 cases. Pan Afr Med J. 2018;30:71 (in French)]. doi: 10.11604/pamj.2018.30.71.14479
- Munne KR, Tandon D, Chauhan SL, Patil AD. Female genital tuberculosis in light of newer laboratory tests: A narrative review. Indian J Tuberc. 2020;67(1):112-20. doi: 10.1016/j.ijtb.2020.01.002
- Aggarwal A, Das CJ, Manchanda S. Imaging Spectrum of Female Genital Tuberculosis: A Comprehensive Review. Curr Probl Diagn Radiol. 2022;51(4):617-27. doi: 10.1067/j.cpradiol.2021.06.014
- Dahiya B, Kamra E, Alam D, et al. Insight into diagnosis of female genital tuberculosis. Expert Rev Mol Diagn. 2022:1-18. doi: 10.1080/14737159.2022.2016395. Epub ahead of print.
- Hoppe LE, Kettle R, Eisenhut M, et al. Tuberculosis – diagnosis, management, prevention, and control: Summary of updated NICE guidance. BMJ. 2016;352:h6747. doi: 10.1136/bmj.h6747
- Abdelrub AS, Al Harazi AH, Al-Eryani AA. Genital tuberculosis is common among females with tubal factor infertility: Observational study. Alexandria Journal of Medicine. 2015;51(4):321-4. doi: 10.1016/j.ajme.2014.11.004
- Raut VS, Mahashur AA, Sheth SS. The Mantoux test in the diagnosis of genital tuberculosis in women. Int J Gynaecol Obstet. 2001;72(2):165-9. doi: 10.1016/s0020-7292(00)00328-3
- Harzif AK, Anggraeni TD, Syaharutsa DM, Hellyanti T. Hysteroscopy Role for Female Genital Tuberculosis. Gynecol Minim Invasive Ther. 2021;10(4):243-6. doi: 10.4103/GMIT.GMIT_151_20
- Ahmadi F, Zafarani F, Shahrzad G. Hysterosalpingographic appearances of female genital tract tuberculosis: Part I. Fallopian tube. Int J Fertil Steril. 2014;7(4):245-52.
- Ahmadi F, Zafarani F, Shahrzad GS. Hysterosalpingographic appearances of female genital tract tuberculosis: Part II: Uterus. Int J Fertil Steril. 2014;8(1):13-20.
- Farrokh D, Layegh P, Afzalaghaee M, et al. Hysterosalpingographic findings in women with genital tuberculosis. Iran J Reprod Med. 2015;13(5):297-304.
- Baxi A, Neema H, Kaushal M, et al. Genital tuberculosis in infertile women: Assessment of endometrial TB PCR results with laparoscopic and hysteroscopic features. J Obstet Gynecol India. 2011;61(3):301-6. doi: 10.1007/s13224-011-0046-3
- Kulchavenya E, Dubrovina S. Typical and unusual cases of female genital tuberculosis. IDCases. 2014;1(4):92-4. doi: 10.1016/j.idcr.2014.10.001
- Huang HJ, Xiang DR, Sheng JF. Exacerbation of latent genital tuberculosis during in vitro fertilisation and pregnancy. Int J Tuberc Lung Dis. 2009;13(7):921.
- Das A, Arora J, Rana T, et al. Congenital tuberculosis: the value of laboratory investigations in diagnosis. Ann Trop Paediatr. 2008;28(2):137-41. doi: 10.1179/146532808X302161
Дополнительные файлы










