Case study: urethral diverticulum with calcifications in a premenopausal woman
- Authors: Chuprinin V.D.1, Gorpenko A.A.1, Zaitsev N.V.1, Asaturova A.V.1, Buralkina N.A.1
-
Affiliations:
- Kulakov National Medical Research Center for Obstetrics, Gynecology and Perinatology
- Issue: Vol 22, No 2 (2020)
- Pages: 38-40
- Section: CLINICAL CASE
- Published: 12.05.2020
- URL: https://gynecology.orscience.ru/2079-5831/article/view/34049
- DOI: https://doi.org/10.26442/20795696.2020.2.190753
- ID: 34049
Cite item
Full Text
Abstract
Female urethral diverticulum is a fairly rare pathology, the frequency of which ranges from 0.02 to 6.00% of women worldwide. The stones inside urethra diverticulum even more rare. The most common reasons of urethral diverticula are frequent bladder catheterizations, labour trauma, infections. Clinically is may present with the dysuria, dyspareunia, dribble, urinary incontinence, vaginal discomfort. Voiding cystourethrography and cystourethroscopy are the most accurate methods of diagnosis for urethral diverticula. The presented article describes the clinical case in women with urethral diverticulum who complained on the vaginal discomfort, dyspareunia and presentation of “the brown stones” in vagina and underwent surgical excision of diverticulum with urethral reconstruction.
Full Text
Дивертикул уретры представляет собой мешковидное выпячивание стенки мочеиспускательного канала. По Международной классификации болезней 10-го пересмотра дивертикул уретры кодируется как N36.1 – уретральный дивертикул. Распространенность среди женщин составляет 0,02–6,0% [1, 2], чаще встречается в возрасте от 20 до 60 лет и среди представителей негроидной расы [3]. Редко бывают врожденные формы заболевания, чаще – приобретенные (H. Davis, R. Telinde, 1958). Причинами возникновения приобретенной формы дивертикула являются родовые травмы, частая и грубая катетеризация мочевого пузыря, абсцессы парауретральных желез, бужирование уретры, хламидийная и гонококковая инфекции (G. Hurt, 2000).
В клинической картине заболевания преобладают жалобы на частые обострения хронического цистита, болезненное и учащенное мочеиспускание, недержание мочи, примесь крови в моче [4]. Чаще всего данная патология протекает бессимптомно и диагностируется случайно во время обследования по поводу других заболеваний малого таза и мочевыделительной системы.
Типичная локализация дивертикулов уретры как правило на 6 ч условного циферблата в положении на спине. Описаны случаи расположения дивертикулов от 4 до 8 ч (H. Drutz, 1989). Как правило, дивертикулы заполняются мочой во время мочеиспускания, после чего постепенно опорожняются, вызывая подтекание мочи, что ошибочно принимается за симптомы недержания мочи [4]. В литературе имеются единичные случаи наблюдения образования камней в дивертикулах уретры [5].
Клинический случай
Пациентка Е. 49 лет обратилась в поликлиническое отделение ФГБУ «НМИЦ АГП им. В.И. Кулакова» с жалобами на наличие шаровидного образования во влагалище, периодическое выделение «мелких коричневых камней из влагалища», дискомфорт при половом акте, которые беспокоили больную в течение 6 мес. Из анамнеза установлено, что пациентка впервые обратилась за медицинской помощью к урологу. После осмотра поставлен диагноз «опущение передней стенки влагалища, цистоцеле 3-й степени» и больная направлена к гинекологу. В анамнезе пациентка имела 4 беременности: 3 медицинских аборта, одни самостоятельные самопроизвольные роды. Родился мальчик массой тела 3600 г, ростом 52 см. При гинекологическом осмотре на передней стенке влагалища пальпировалось плотное бугристое образование около 4 см (рис. 1), в связи с чем была консультирована хирургом. Назначено дообследование.
Рис. 1. Пролабирование передней стенки влагалища, дивертикул уретры.
Fig. 1. Anterior vaginal wall prolapse, urethral diverticulum.
По данным магнитно-резонансной томографии (июль 2019 г.) между уретрой и передней стенкой влагалища определяется образование жидкостной структуры с фрагментами низкой интенсивности сигнала, крупных размеров. Максимальный фрагмент полулунной формы. Заключение: лизированная гематома. Данные ультразвукового исследования (июль 2019 г.) показали практически аналогичные результаты: в левой части влагалища определяется образование с жидкостным компонентом и компонентом с повышенной акустической тенью (кальцинаты?) размерами 4,8¥3,9¥4,4 см. Заключение: образование влагалища неясного генез, нельзя исключить инородное тело.
В лабораторных показателях крови и моче (биохимическом, клиническом анализах крови и мочи) отклонений от референсных значений не отмечено.
Пациентка планово госпитализирована на оперативное лечение. Дифференциальный поиск проводился между диагнозами «киста влагалища» и «дивертикул уретры». В ходе операции при цистоуретроскопии слизистая мочевого пузыря была обычного цвета, сосудистый рисунок не выражен. Устья мочеточников располагались симметрично, из них ритмично поступает светлая моча. На расстоянии 2,5 см от устья уретры определяется дефект задней стенки мочеиспускательного канала диаметром около 8 мм, через который визуализируется мелкие желтые конкременты различной формы (рис. 2). В мочевой пузырь установлен катетер Фолея. Слизистая влагалища рассечена поперечным разрезом в 4 см от устья уретры. Тупо и остро дивертикул выделен до шейки (место перехода в стенку уретры); рис. 3. После иссечения дивертикула визуализируется катетер. Дефект уретры составил 10,0¥5,0 мм. Стенка уретры ушита синтетической нитью Vicryl 4,0 в поперечном направлении 2-рядным швом, слизистая влагалища – продольным обвивным швом. Моча по катетеру светлая. При осмотре удаленного дивертикула его размеры составили 4,0¥5,0 см (рис. 4). В полости – множественные конкременты различной формы и размеров (от 1 мм до 3 см); рис. 5.
Рис. 2. Цистоуретроскопия: устье дивертикула уретры.
Fig. 2. Cystourethroscopy: the urethral diverticulum opening.
Рис. 3. Ход операции: иссечение дивертикула механическими ножницами.
Fig. 3. Surgery procedure: excision of the diverticulum with mechanical scissors.
Рис. 4. Макропрепарат: иссеченный дивертикул уретры.
Fig. 4. Macropreparation: the excised urethral diverticulum.
Рис. 5. Макропрепарат: камни в иссеченном дивертикуле уретры.
Fig. 5. Macropreparation: stones in the excised urethral diverticulum.
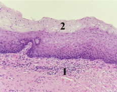
По полученным данным гистологического исследования иссеченный дивертикул представляет собой фрагмент стенки уретры, покрытый многослойным плоским неороговевающим эпителием с внутриэпидермальным отеком и формированием микрополостей (спонгиоз), очаговой воспалительной инфильтрацией в дерме (рис. 6). Морфологическая картина не противоречит клиническому диагнозу дивертикула уретры.
Рис. 6. Микропрепарат: фрагмент стенки уретры: 1 – воспалительная инфильтрация; 2 – спонгиоз эпидермиса. Окраска гематоксилином и эозином. Окуляр ×10. Объектив 20.
Fig. 6. Slide: a fragment of the urethral wall: 1 – inflammatory infiltration; 2 – spongiosa of the epidermis. Hematoxylin and eosin stain. Eyepiece ×10. Lens 20.
Послеоперационный период протекал без особенностей. Катетер Фолея удален через 6 дней после проведенной операции. Больная выписана домой в удовлетворительном состоянии.
Заключение
Дивертикул уретры – редкая патология с еще более редким камнеобразованием в полости дивертикула. К образованию камней в дивертикулах приводят застой мочи, ее концентрация и выпадение кристаллов мочевой кислоты в осадок, формирование камней, что, в свою очередь, приводит к растяжению дивертикула, увеличению его размеров и образует порочный круг патогенеза данного заболевания. По последним данным, одной из причин возникновения дивертикулов является повышенный тонус сфинктера уретры, в результате которого повышается давление в мочеиспускательном канале, что способствует возникновению выпячиваний в стенке уретры. Как правило, в таких случаях образование дивертикулов происходит в среднем и проксимальных отделах уретры [6].
В диагностике заболевания определяющее значение имеют инструментальные методы исследования, такие как ультразвуковое исследование, компьютерная томография, магнитно-резонансная томография. Наиболее информативными методами являются восходящая уретроцистография, при выполнении которой мочевой пузырь наполняется контрастным веществом с последующим опорожнением пузыря и визуализацией «затеков» контрастного вещества в полость дивертикула и цистоуретроскопия, при которой с помощью цистоскопа осматривается полость мочевого пузыря и мочеиспускательного канала в поисках устья дивертикула. Уретроцистография и цистоуретроскопия более точно оценивает расположение дивертиркула и определяется тактика оптимального оперативного вмешательства. Дифференциальную диагностику следует проводить между цистоцеле, кистами влагалища и новообразованиями [4]. Целесообразным является хирургическое иссечение дивертикула с последующей пластикой уретры, что приводит к разрешению заболевания.
Конфликт интересов. Авторы заявляют об отсутствии конфликта интересов.
Conflict of interests. The authors declare that there is not conflict of interests.
About the authors
Vladimir D. Chuprinin
Kulakov National Medical Research Center for Obstetrics, Gynecology and Perinatology
Author for correspondence.
Email: v_chuprynin@oparina4.ru
Cand. Sci. (Med.)
Russian Federation, MoscowAnton A. Gorpenko
Kulakov National Medical Research Center for Obstetrics, Gynecology and Perinatology
Email: tohot@me.com
Graduate Student
Russian Federation, MoscowNikon V. Zaitsev
Kulakov National Medical Research Center for Obstetrics, Gynecology and Perinatology
Email: nikon.zaitsev@gmail.com
pathologist
Russian Federation, MoscowAleksandra V. Asaturova
Kulakov National Medical Research Center for Obstetrics, Gynecology and Perinatology
Email: a_asaturova@oparina4.ru
Cand. Sci. (Med.)
Russian Federation, MoscowNatalia A. Buralkina
Kulakov National Medical Research Center for Obstetrics, Gynecology and Perinatology
Email: natalyaburalkina@yandex.ru
D. Sci. (Med.)
Russian Federation, MoscowReferences
- Anderson MJ. The incidence of diverticula in the female urethra. J Urol 1967; 98: 96–8.
- El-Nasher SA et al. Incidence of female urethral diverticulum: a population-based analysis and literature review. Int Urogynecol J 2014; 25: 73–9.
- Pincus JB, Laudano M, Leegant A, Downing K. Female Urethral Diverticula: Diagnosis, Pathology, and Surgical Outcomes at an Academic, Urban Medical Center. Urology 2019; 128: 42–6. doi: 10.1016/j.urology.2018.12.052
- Greenwell TJ, Spilotros M. Urethral diverticula in women. Nat Rev Urol 2015; 12 (12): 671–80. doi: 10.1038/nrurol.2015.230
- Kimura S, Kawaguchi Y, Momozono K, Noguchi M. Female urethral diverticulum containing large calculi. Urol Case Rep 2018; 18: 14–5. doi: 10.1016/j.eucr.2018.02.010
- Mukhtar BMB, Solomon E, Naaseri S et al. Urethral diverticula in women are associated with increased urethra-sphincter complex volumes: A potential role for high-tone nonrelaxing sphincter in their etiology? Neurourol Urodyn 2019; 38 (7): 1859–65. doi: 10.1002/nau.24080
Supplementary files









