Experience of pyomyoma treatment
- Authors: Gabidullina R.I.1, Mingazetdinov M.A.2, Druzhkowa E.B.1, Sirmatova L.I.2
-
Affiliations:
- Kazan State Medical University
- City Clinical Hospital №7
- Issue: Vol 22, No 5 (2020)
- Pages: 81-83
- Section: CLINICAL CASE
- Published: 23.11.2020
- URL: https://gynecology.orscience.ru/2079-5831/article/view/43634
- DOI: https://doi.org/10.26442/20795696.2020.5.200399
- ID: 43634
Cite item
Full Text
Abstract
Uterine pyomyoma is a rare and dangerous complication of uterine fibroids, which develops as a result of myomatous node infarction with the addition of an infectious component. In the literature there are descriptions of 50 cases of pyomyomas, half of which are associated with pregnancy. Incorrect diagnosis, lack of antibacterial and surgical treatment can lead to death of the patient. This article describes a clinical case of uterine piomioma development after the first birth by Caesarean section. Method of uterine artery embolization in combination with antibiotic therapy has helped keep the uterus of a young woman. On subsequent observation, menstrual function has fully recovered.
Keywords
Full Text
Лейомиома матки является самой распространенной доброкачественной опухолью у женщин [1]. Наибольший риск развития миомы наблюдается в период от 30 до 50 лет, однако за последнее время наблюдается тенденция к ее «омоложению» [2, 3]. По данным литературы, заболевание встречается у 1–4,5% беременных. Беременности, протекающие на фоне миомы, могут сопровождаться рядом осложнений, в том числе спонтанными абортами, преждевременными родами и нарушениями родовой деятельности [4–6]. Редким, но грозным осложнением миомы матки, развивающимся вторично, вследствие инфицирования некротизированного миоматозного узла, является пиомиома [7–20]. В этом случае лейомиома подвергается воспалению, содержит гной с нейтрофилами и некротический экссудат [8]. Инфекция имеет, как правило, полимикробный характер, распространяется восходящим и/или гематогенным/лимфогенным путями [8–10]. Развитие пиомиомы у женщин в репродуктивном периоде чаще всего происходит во время беременности или в послеродовом периоде, после внутриматочных вмешательств [7, 8, 11].
Диагностика пиомиомы сложна, так как это относительно редкое заболевание и может развиваться в течение длительного периода времени [12]. Диагноз чаще всего ставится интраоперационно [11]. Пациентки обычно обращаются с жалобами на лихорадку, боли в животе при наличии в анамнезе миомы матки. Методы визуализации дают неспецифичную картину. При ультразвуковом исследовании определяется миома матки неоднородной структуры, с включением кистозных компонентов и/или воздуха [8, 9]. O. Abulafia и соавт. предположили, что патогномоничным симптомом для пиомиомы может служить гипоэхогенный ореол, окружающий миометрий [13]. Компьютерная томография лучше демонстрирует гетерогенную структуру образования с наличием жидкости с плотностью гнойного материала [14]. Магнитно-резонансная томография не показала эффективности в диагностике пиомиомы [7].
Пиомиома может привести к фатальным осложнениям, включая ее разрыв, перитонит и септический шок [15, 16]. Несмотря на широкие возможности антибактериальной терапии, смертность от этого состояния составляет от 6 до 21% [14–17]. Начиная с 1945 г. в литературе описано 50 случаев пиомиомы, половина из которых связана с беременностью [11]. Практически во всех упомянутых случаях требовалось хирургическое лечение, связанное с удалением органа (32 случая) или некротизированного узла (10 случаев) [11, 18]. Лишь в 2 случаях произведено удаление рождающихся субмукозных узлов влагалищным доступом [7, 16]. В данной статье представлен уникальный случай органосберегающего и малоинвазивного лечения пиомиомы матки методом эмболизации маточных артерий.
Клинический случай
Пациентка Е., 28 лет, поступила в гинекологическое отделение ГАУЗ ГКБ №7 Казани на 44-е сутки после первых срочных оперативных родов. На момент обращения предъявляла жалобы на повышение температуры до 39°С, кровянистые выделения с неприятным запахом из половых путей и схваткообразные боли внизу живота. До беременности у пациентки диагностирована миома матки диаметром 8 см. Беременность протекала без осложнений. Родоразрешение путем кесарева сечения в экстренном порядке.
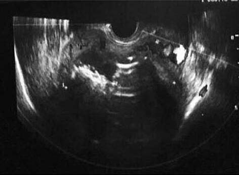
На момент госпитализации состояние пациентки было средней тяжести. Кожа и видимые слизистые чистые, несколько бледной окраски, тоны сердца ясные и ритмичные, дыхание везикулярное, артериальное давление 120/80 мм рт. ст., пульс 80 уд/мин. Живот мягкий, болезненный в нижних отделах, симптомы раздражения брюшины отрицательные. Печень и селезенка не увеличены. Симптом Пастернацкого отрицательный с обеих сторон. Осмотр в зеркалах: влагалище свободное, шейка матки цилиндрической формы, выделения обильные, зловонные, цвета мясных помоев с примесью гноя. При бимануальном исследовании: матка увеличена соответственно 15 нед беременности, бугристая, подвижная, умеренно болезненная. В общем анализе крови определялся лейкоцитоз (13,0¥109) с выраженным сдвигом лейкоформулы влево (палочек – 41, миелоцитов – 1), гемоглобин 86 г/л, фибриноген по Клаусу 6,8 г/л; D-димер 438 нг/мл, СОЭ 50 мм/ч, С-реактивный белок 85,7 мг/л, прокальцитонин 1,2 мкг/л. Бактериологическое исследование посевов крови и содержимого половых путей не позволило выявить возбудитель. При трансвагинальном ультразвуковом исследовании (УЗИ) матка – 135¥103¥119 см, в проекции матки определялось образование размерами 117¥81¥97 мм с интерстициально-субмукозным расположением, неоднородной структуры с наличием кистозных полостей и множественными линейными гиперэхогенными структурами, цервикальный канал расширен до 4 мм с изогиперэхогенным содержимым (рис. 1).
Рис. 1. Трансвагинальное УЗИ органов малого таза на момент поступления пациентки в стационар (по задней стенке визуализируется образование, расположенное интерстициально-субмукозно, неоднородной структуры).
На основании анамнеза и результатов клинико-лабораторных методов обследования был поставлен диагноз «миома тела матки больших размеров с нарушением питания узла, пиомиома матки, 44-е сутки после операции кесарева сечения, рубец на матке, анемия средней степени тяжести».
Пациентке Е. проводилась многокомпонентная антибактериальная, инфузионная и симптоматическая терапия в течение 10 дней, которая позволила добиться улучшения состояния женщины (удовлетворительного состояния), нормализации температуры тела, нормализации лабораторных показателей, однако кровянистые выделения из половых путей продолжались. Консилиумом врачей было принято решение о проведении эмболизации маточных артерий (ЭМА). Произведена селективная катетеризация с последующей ангиографией левого (рис. 2, а) и правого (рис. 3, а) передних стволов внутренних подвздошных артерий.
Рис. 2. Процедура ЭМА. Ангиограмма левой маточной артерии до введения (а) и после введения эмболизата (б).
Через катетеры, установленные последовательно в левой и правой маточной артерии, введены сферы эмболизата Contour (Boston Scientific): 1 флакон 500–700 мкр дробно. На контрольных ангиограммах: афферентные артерии к образованиям матки окклюзированы. Длительный стаз контрастированной крови в стволах левой (рис. 2, б) и правой (рис. 3, б) маточных артерий. Катетер и интрадьюсер удалены. Наложена асептическая давящая повязка. Нежелательных реакций и осложнений интраоперационно не наблюдалось.
Рис. 3. Процедура ЭМА. Ангиограмма правой маточной артерии до введения (а) и после введения эмболизата (б).
Послеоперационный период протекал на фоне умеренного болевого синдрома. Применялись анальгетики и проводилась антибактериальная терапия. Количество лейкоцитов в общем анализе крови составило на 4-е сутки после ЭМА 11×109/л, уровень прокальцитонина – 0,5 мкг/л. Гемоглобин на 7-е сутки после ЭМА увеличился до 125 г/л. По данным УЗИ отмечалось изменение локализации узла миомы с полным переходом в субмукозную. В последующем наблюдалась экспульсия узла небольшими фрагментами. Пациентка Е. выписана на 7-е сутки после ЭМА в удовлетворительном состоянии. На момент выписки матка была увеличена соответственно 7–8 нед беременности, безболезненная, выделения – сукровичные, скудные. На УЗИ: полость матки расширена до 31 мм, полость цервикального канала заполнена неоднородной массой с наличием множественных сливных, интенсивно гиперэхогенных сигналов, дающих акустическую тень.
При исследовании в динамике через 6 мес полностью восстановилась менструальная функция. Матка определялась нормальных размеров, безболезненная при пальпации. Результаты УЗИ подтверждали отсутствие миоматозных узлов.
Через 1 год и 5 мес с момента проведения ЭМА пациентка Е. была приглашена на консультацию. Общее ее состояние удовлетворительное, жалоб нет, матка нормальных размеров, в retroflexio – versio, придатки матки без особенностей, однако по данным УЗИ выявлено два интерстициальных узла по задней стенке 14¥10 и 6 мм соответственно. Учитывая, что женщина планировала беременность в отдаленные сроки, рекомендована комбинированная оральная контрацепция.
Обсуждение
Пиомиома, будучи редким заболеванием, довольно трудно диагностируется. Инфицирование миоматозного узла может происходить по нескольким направлениям: прямым путем непосредственно из полости матки, из соседних структур (кишечника или мочевого пузыря), гематогенно или лимфогенно [15]. Дифференциальная диагностика пиомиомы сложна из-за сходства симптомов с другими заболеваниями, в том числе с воспалительными заболеваниями органов малого таза, что особенно актуально в послеродовом периоде, с инфицированной внематочной беременностью и новообразованиями женской половой системы [17, 19]. Пиомиома должна быть исключена в каждом случае, где есть триада симптомов: миома матки в анамнезе, боль в нижних отделах живота и признаки воспалительного процесса при отсутствии очевидного источника инфекции [16]. Неоднородность ткани миомы с наличием кистозных полостей с множественными гиперэхогенными включениями по данным УЗИ на фоне маркеров воспаления и лихорадки, гноевидные выделения из половых путей с резким зловонным запахом, а также длительность заболевания позволили предположить у данной пациентки наличие пиомиомы. Основной целью лечения на первоначальном этапе явилось максимально возможное купирование инфекционного процесса. В дальнейшем предполагалось удаление лейомиомы. Выбор способа лечения определился наличием обильных кровянистых выделений из половых путей. Известно, что ЭМА позволяет провести органосохраняющее лечение как маточных кровотечений, так и миомы матки, поэтому был выбран этот метод. Вместе с тем необходимо отметить, что сам метод, по данным литературы, явился причиной развития пиомиомы в 10 случаях [20]. У пациентки Е. эндоваскулярная ЭМА дала возможность остановки маточного кровотечения и способствовала, как и ожидалось, переходу узла в субмукозное расположение с его последующей фрагментацией и экспульсией. Как известно, противопоказанием для ЭМА является воспалительный процесс. В данной ситуации воспалительный процесс был локальным и хорошо поддавался антибактериальной терапии, возможно, и за счет опорожнения участков гнойного расплавления тканей миомы через влагалище. Цель лечения была достигнута без каких-либо осложнений. Матка была сохранена и при обследовании в динамике имела нормальные размеры. Приведенный клинический случай является безусловно редким и неординарным, однако надеемся, позволит своевременно поставить диагноз и избежать осложнений при развитии пиомиомы матки у других пациенток.
About the authors
Rushania I. Gabidullina
Kazan State Medical University
Author for correspondence.
Email: ru.gabidullina@yandex.ru
ORCID iD: 0000-0002-7567-6043
D. Sci. (Med.), Prof., Kazan State Medical University
Russian Federation, KazanMarat A. Mingazetdinov
City Clinical Hospital №7
Email: ru.gabidullina@yandex.ru
Head of the Angiosugery Department, City Clinical Hospital №7
Russian Federation, KazanEvgenya B. Druzhkowa
Kazan State Medical University
Email: evgenya.druzhkowa@yandex.ru
ORCID iD: 0000-0001-5283-1904
Medical Resident, Kazan State Medical University
Russian Federation, KazanLiaisan I. Sirmatova
City Clinical Hospital №7
Email: ru.gabidullina@yandex.ru
Head of the Center of Endosurgery in Gynecology, City Clinical Hospital №7
Russian Federation, KazanReferences
- Lee SR, Kim YJ, Kim KG. A Fast 3-Dimensional Magnetic Resonance Imaging Reconstruction for Surgical Planning of Uterine Myomectomy. J Korean Med Sci 2018; 33 (2): e12. doi: 10.3346/jkms.2018.33.e12
- Дьяченко Д.Т., Степовая А.М., Добрягина С.А. К вопросу об этиопатогенезе лейомиом матки и новых подходов к лечению. Известия Российской Военно-медицинской академии. 2019; 1 (S1): 142–5. [Dyachenko D.T., Stepovaya A.M., Dobryagina S.A. To the question about etiopathogenesis of the uterine leyomi and new approaches to the treatment. Journal Bulletin of the Russian Military Medical Academy. 2019; 1 (S1): 142–5 (in Russian).]
- Лютина К.В., Тюлькин Р.В., Мильчаков Д.Е. Гендерные изменения в структуре заболеваемости доброкачественными гормонзависимыми опухолями в первой половине XXI века. Междунар. научно-исследовательский журн. 2017; 4–3: 166–9. [Lyutina K.V., Tyulkin R.V., Milchakov D.E. Gender changes in morbidity rate of benign hormone-dependent tumors in the first half of the 21st century. International research journal. 2017; 4–3: 166–9 (in Russian).]
- Царева С.Н., Лешкович А.С., Вариго Н.В. Влияние прегравидарной подготовки на течение беременности и родов у женщин с миомой матки. Мед. журн. 2020; 2: 115–7. [Tsareva S.N., Leshkovich A.S., Varigo N.V. Influence of pre-preparatory preparation on the course of pregnancy and delivery in women with myoma uterus. Medical Journal. 2020; 2: 115–7 (in Russian).]
- Фоминова Г.В., Ляличкина Н.А., Косенко Ю.Ю. и др. Течение гестационного процесса и родоразрешение пациенток с миомой матки. Совр. проблемы науки и образования. 2018; 4: 138. [Fominova G.V., Lyalichkina N.A., Kosenko Y.Y. et al. During the gestational process and delivery in patients with uterine myoma. Modern problems of science and education. 2018; 4: 138 (in Russian).]
- Sheiner E, Bashiri A, Levy A et al. Obstetric characteristics and perinatal outcome of pregnancies with uterine leiomyomas. J Reprod Med 2004; 49: 182e6.
- Read S, Mullins J. Spontaneous Ruptured Pyomyoma in a Nulligravid Female: A Case Report and Review of the Literature. Case Rep Obstet Gynecol 2018; 2: 1026287. doi: 10.1155/2018/1026287
- Ono H, Kanematsu M, Kato H et al. MR imaging findings of uterine pyomyoma: radiologic-pathologic correlation. Abdominal Imaging 2014; 39 (4): 797–801.
- Bagga R, Rai R, Kalra J et al. An Unusual Cause of Postabortal Fever Requiring Prompt Surgical Intervention: A Pyomyoma and its Imaging Features. Oman Med J 2017; 32 (1): 73–6. doi: 10.5001/omj.2017.14
- Greenspoon JS, Ault M, James BA et al. Pyomyoma associated with polymicrobial bacteremia and fatal septic shock: Case report and review of the literature. Obstet Gynecol Sur 1990; 45 (9): 563–69.
- Iwahashi N, Mabuchi Y, Shiro M et al. Large uterine pyomyoma in a perimenopausal female: A case report and review of 50 reported cases in the literature. Molecular and Clinical Oncology 2016; 5 (5): 527–31. doi: 10.3892/mco.2016.1005
- Karcaaltincaba M, Sudakoff GS. CT of a ruptured pyomyoma. Am J Roentgenol 2003; 181 (5): 1375–77. doi: 10.2214/ajr.181.5.1811375
- Abulafia O, Shah T, Salame G et al. Sonographic features associated with post-uterine artery embolization pyomyoma. J Ultrasound Med 2010; 29 (5): 839–42. doi: 10.7863/jum.2010.29.5.839
- Chen ZHY, Tsai HD, Sun MJ. Pyomyoma: a rare and life-threatening complication of uterine leiomyoma. Taiwan J Obstet Gynecol 2010; 49 (3): 351–6.
- Yeat S-K, Chong K-M, Pan H-S et al. Impending sepsis due to a ruptured pyomyoma with purulent peritonitis: a case report and literature review. Taiwan J Obstet Gynecol 2005; 44 (1): 75–9.
- DeMaio A, Doyle M. Pyomyoma as a Rare Source of Postpartum Sepsis. Case Rep Obstet Gynecol 2015; 2015: 263518. doi: 10.1155/2015/263518
- Kaler M, Gailer R, Iskaros J et al. Postpartum Pyomyoma, a Rare Complication of Sepsis Associated with Chorioamnionitis and Massive Postpartum Haemorrhage Treated with an Intrauterine Balloon. Case Rep Obstet Gynecol 2015; 2015: 609205. doi: 10.1155/2015/609205
- Shiota M, Kotani Y, Ami K et al. Uterus-sparing myomectomy for uterine pyomyoma following cesarean section. Taiwan J Obstet Gynecol 2013; 52 (1): 140–1.
- Sirha R, Miskin A, Abdelmagied A. Postnatal pyomyoma: a diagnostic dilemma. BMJ Case Rep 2013; 2013: bcr2013201137. doi: 10.1136/bcr-2013-201137
- Yu Q, Gabriel G, Hoffman M et al. Uterine-sparing management of pyomyoma after uterine fibroid embolization. Radiol Case Rep 2019; 14 (8): 1031–5. doi: 10.1016/j.radcr.2019.05.009
Supplementary files









