Isthmocele: controversial issues of terminology, diagnosis and treatment. A review
- Authors: Podzolkova N.M.1,2, Demidov A.V.3, Osadchev V.B.1,3, Babkov K.V.1,3, Denisova Y.V.1,3
-
Affiliations:
- Russian Medical Academy of Continuous Professional Education
- 2Botkin City Clinical Hospital
- Pletnev City Clinical Hospital
- Issue: Vol 26, No 2 (2024)
- Pages: 119-127
- Section: REVIEW
- Published: 10.06.2024
- URL: https://gynecology.orscience.ru/2079-5831/article/view/627153
- DOI: https://doi.org/10.26442/20795696.2024.2.202716
- ID: 627153
Cite item
Full Text
Abstract
The frequency of abdominal delivery in the world is steadily rising. Since the latter is associated with a lot of complications compared with vaginal delivery, the increase in the proportion of deliveries in women with a uterine scar through the natural birth canal is an important strategic goal of the obstetrics and gynecology community. In addition, it is established that every second patient after a cesarean section develops a defect in the scar area, which is often accompanied by various disorders of the menstrual cycle (in 25,5% of cases – abnormal uterine bleeding) and can cause secondary infertility. Both assessment of the risk of scar failure at the stage of preconceptional preparation and timely detection and treatment of isthmocele symptoms are still serious challenges facing obstetricians and gynecologists. Clinical guidelines devoted to the cesarean scar defect problem have not yet been developed. This review presents the quintessence of modern data on possible risk factors, clinical manifestations with a detailed consideration of pathophysiological mechanisms, diagnostic tools and correction methods of symptomatic isthmocele and uterine scar defect with a detailed description of indications and a comparative assessment of their effectiveness in order to standardize approaches to the diagnosis and treatment of these pathological conditions.
Keywords
Full Text
Введение
Частота операций кесарева сечения (КС) в мире неуклонно растет, повышаясь в Российской Федерации в среднем на 1% в год [1], что во многом определяется отсроченным планированием деторождения. Согласно заключению экспертной группы Всемирной организации здравоохранения доля абдоминального родоразрешения не должна превышать 10–15% [2], в связи с чем увеличение доли родов у женщин с рубцом на матке через естественные родовые пути служит важной стратегической задачей акушерско-гинекологического сообщества. Для оценки значимости данной задачи в снижении риска перинатальных осложнений следует вспомнить, что риск последних при плановой операции КС в данной когорте рожениц существенно выше, чем при попытке влагалищных родов с рубцом на матке: риск венозных тромбоэмболических осложнений выше в 3,8 раза, разрыва матки при последующих беременностях – в 42 раза, синдрома тазовой боли – в 2 раза, травмы мочевого пузыря – в 36 раз [3]. Материнская смертность при попытке вагинальных родов с рубцом на матке составляет 17 на 100 тыс. попыток в сравнении с 44 на 100 тыс. при плановом абдоминальном родоразрешении и в первую очередь ассоциирована с разрывом матки, частота которого достигает 22–75 случаев на 10 тыс. рожениц [4]. В данном контексте особую важность приобретает оценка состоятельности рубца по данным инструментальных методов исследования.
В течение последних двух десятилетий проблема дефекта области рубца стала все чаще обсуждаться в контексте аномальных маточных кровотечений (АМК), хронической тазовой боли и даже вторичного бесплодия ввиду появления убедительных доказательств их причинно-следственных связей; разработаны различные методики коррекции симптомного истмоцеле с использованием трансвагинального и трансабдоминального доступа.
Тем не менее методические рекомендации по истмоцеле, которые бы включили строгие рекомендации, касающиеся показаний и выбора терапии, на данный момент не разработаны. При этом обилие терминов, описывающих дефект рубца после КС, и сложности кодирования по Международной классификации болезней 10-го пересмотра (МКБ-10) представляют значительные трудности в унифицировании описания данного патологического состояния. Ниже представлена краткая историческая сводка развития подходов к заявленной проблематике, подробно разобраны терминологические аспекты и наиболее подходящие способы кодирования, описаны весь спектр клинических проявлений и возможности консервативного и хирургического лечения истмоцеле на основании шкалы оценки выраженности истмоцеле, предложенной М.А. Курцером и соавт. в 2020–2021 гг.
Краткая историческая справка
Одним из первых «дефекты послеоперационной раны после КС» описал посредством гистеросальпингографии (ГСГ) L. Poidevin в 1961 г. [5], выявив у 27 из 43 пациенток через 6 мес после оперативного родоразрешения небольшие морфологические дефекты внутреннего контура, что, по мнению автора, отражало процесс репарации в зоне рубца и не было расценено как фактор риска при последующих родах.
N. Burger и соавт. ввели понятие «неполноценное заживление рубца на матке», основываясь на выявлении при трансабдоминальном ультразвуковом исследовании (УЗИ) в раннем послеродовом периоде в проекции рубца особой звукопроводящей зоны различной степени эхогенности, расположенной по внутреннему контуру передней стенки матки [6].
H. Chen и соавт. впервые описали при трансвагинальном УЗИ (ТВУЗИ) область рубца как гипоэхогенную клиновидную зону, отличную от интактного миометрия, показали относительно слабую васкуляризацию этой зоны посредством допплерометрии, а также отметили тенденцию к «сглаживанию» дефекта с течением времени [7].
A. Monteagudo и соавт. ввели термин «ниша» для описания выявляемых при УЗИ дефектов рубца треугольной формы различной глубины и протяженности, ориентированных вершиной в сторону мочевого пузыря [8].
D. Ofili-Yebovi и соавт. предложили ввести понятие «неполноценный», «несостоятельный рубец» на основании определения отношения его толщины к толщине интактного миометрия при ТВУЗИ [9].
G. Gubbini и соавт. в 2008 г. внедрили понятие «истмоцеле» для описания дефекта зоны рубца в виде кармана, покрытого эндометрием, с наличием расширенных сосудов, локализующегося в перешейке матки, визуализируемого при гистероскопии [10].
Терминология
Как уже замечено, с целью описания дефекта в зоне послеоперационного рубца в литературе можно встретить множество терминов, включая следующие: «неполноценный рубец на матке», «ниша», «несостоятельный рубец после операции КС», «маточно-перитонеальная фистула», «истончение послеоперационного рубца», «истмоцеле».
В подавляющем большинстве отечественных публикаций встречается термин «несостоятельность послеоперационного рубца» на матке [11]. При этом он употребляется в самых различных значениях: вне и во время беременности, в родах и послеродовом периоде – и может описывать как морфологические, так и функциональные нарушения, зачастую не отражая их степень.
Для морфологической характеристики рубца часто используется термин «неполноценный послеоперационный рубец», который отражает гистологические особенности и степень зрелости иссеченной рубцовой ткани [11]. Однако в целом ряде публикаций он применяется для описания зоны рубца при УЗИ и ГСГ, при этом нередко термины «неполноценность» и «несостоятельность» рубца на матке взаимно заменяют друг друга. Для лучшего понимания семантической составляющей указанных терминов и более четкого разграничения областей их возможного использования следует вспомнить о том, что описание любого патологического состояния складывается из двух фундаментальных составляющих: морфологической и функциональной. Морфологической составляющей понятия, описывающего дефект на матке после операции КС, служит наличие/отсутствие «ниши», т.е. клиновидного дефекта в зоне рубца различной протяженности и глубины. Функциональная составляющая, в свою очередь, отражает наличие/отсутствие нарушений менструальной функции (дисменореи, АМК, в том числе постменструальных кровяных выделений из половых путей) и других клинических проявлений, ассоциированных с дефектом (диспареунии, хронической тазовой боли, вторичного бесплодия). Термин, призванный описать послеоперационный дефект передней стенки матки, должен включать обе эти составляющие.
Следует учитывать, что используемые в отношении обсуждаемого патологического состояния термины зачастую сопряжены с различной степенью дисфункции послеоперационной зоны. Так, незначительное уменьшение толщины миометрия, выявленное в области рубца при УЗИ или магнитно-резонансной томографи (МРТ), является в морфологическом плане критерием его «несостоятельности», однако даже выраженное истончение рубца далеко не всегда приводит к нарушению функции (разрыву матки в родах). Лишь в одном проспективном исследовании, включившем 162 пациенток (65 родов), выявлен более высокий риск разрыва матки у женщин со «значительным» дефектом рубца в сравнении с женщинами с «малыми» дефектами рубца (пороговые значения толщины рубца после КС, разграничивающие «значительные» и «малые» дефекты: для ТВУЗИ – ≤2,2 мм после одного КС и ≤1,9 мм после двух и более КС; для соногистерографии (СГГ) – ≤2,5 мм после одного КС и ≤2,3 мм после двух и более КС) или без ультразвуковых признаков дефектов рубца (отношение шансов – ОШ 12,7; 95% доверительный интервал – ДИ 0,9–724,0) [12]. Такое несоответствие выраженности морфологических изменений и функциональных нарушений обусловливает неприменимость термина «несостоятельность рубца» только на основании определения его толщины. Говорить о «несостоятельности» рубца корректно лишь в случаях «угрожающего» или «состоявшегося разрыва матки по рубцу» в период беременности и в родах. Термин «неполноценный рубец» следует использовать только для патоморфологического заключения на основании гистологического исследования ткани иссеченного рубца и не применять его для описания ультразвуковых или магнитно-резонансных характеристик рубца.
Для описания состояния рубца после КС по данным УЗИ, СГГ или МРТ вне беременности наиболее целесообразно использовать понятие «дефект рубца на матке после КС». Заключение следует дополнять визуальными характеристиками рубца – с формированием «ниши» (или без такового). Под «нишей», или «истмоцеле», согласно заключению Европейского общества экспертов следует понимать дефект в области послеоперационного рубца на матке глубиной более 2 мм [13]. Учитывая отсутствие методических рекомендаций, при определении тяжести дефекта можно ориентироваться на предложенные в литературе критерии разграничения «значительных» (по O. Vikhareva Osser и соавт., при толщине остаточного миометрия <2,2 при ТВУЗИ и <2,5 при СГГ [12]) и «малых» дефектов в зависимости от толщины остаточного миометрия или на предложенную Европейским обществом экспертов классификацию ниш на простые (без дополнительных ответвлений, т.е. более тонких частей, служащих продолжением полости основной ниши, направленных к серозной оболочке и имеющих меньшую ширину), простые ниши с одним ответвлением (рис. 1) и сложные ниши (с более чем одним ответвлением) [14].
Рис. 1. Простая ниша с одной ветвью [14].
Fig. 1. Simple niche with one branch [14].
При кодировании по МКБ-10 большинство специалистов с целью указания наличия рубца на матке после операции КС используют код О34.2, включенный в класс XV, описывающий различные состояния в период беременности, родов и послеродового периода, в связи с чем данный код неприменим в отношении пациенток гинекологических стационаров. В последних для уточнения наличия послеоперационного рубца врачам – акушерам-гинекологам следует использовать код N99.8 (другие нарушения мочеполовой системы после медицинских процедур), специалистам ультразвуковой диагностики и врачам-рентгенологам – код R93.5 (отклонения от нормы, выявленные при получении диагностического изображения в ходе исследования других областей живота, включая забрюшинное пространство).
Факторы риска
По данным проспективного многоцентрового когортного исследования, включившего 546 пациенток, истмоцеле диагностируется спустя 6 мес после операции КС в 44,4% случаев [14]. К настоящему времени выявлен ряд факторов, предрасполагающих к формированию истмоцеле. D. Ofili-Yebovi и соавт. впервые выявили повышение риска последнего при множественных операциях КС в анамнезе и нахождении матки в положении retroflexio [9]. При более подробном изучении предпосылок к формированию ниши в области послеоперационного рубца были выделены факторы, ассоциированные с:
- методикой ушивания разреза на матке;
- состоянием нижнего сегмента матки на момент оперативного вмешательства и расположением разреза;
- заживлением послеоперационной раны;
- другие [15].
В ряде ретроспективных исследований определено, что ушивание матки однорядным швом в сравнении с двухрядным чаще способствует формированию истмоцеле [16]. Аналогичные данные получены при сопоставлении результатов наложения непрерывного шва в сравнении с отдельными швами, что, вероятно, объясняется более выраженным ишемическим повреждением тканей в первом случае [17], а также вовлечение в шов лишь двух слоев без подлежащего эндометрия ввиду более высокого риска неполноценного заживления шва [18]. Так, в ходе проспективного рандомизированного клинического исследования техника ушивания разреза на матке служила значимым факторов развития истмоцеле (p=0,04), при этом в случае вовлечения в шов всех слоев маточной стенки частота неполноценного заживления раны с формированием дефекта оказалась значительно ниже (44,7% против 68,8%, ОШ 2,718; 95% ДИ 1,016–7,268) [18].
O. Vikhareva Osser и соавт. показали, что развитие истмоцеле ассоциировано с раскрытием шейки матки >5 см на момент проведения КС в экстренном порядке [19]. Другими предрасполагающими факторами, по данным различных авторов, служат расположение предлежащей части плода ниже плоскости входа в малый таз и продолжительность родов ≥5 ч на момент проведения экстренного КС [19], преждевременный разрыв плодных оболочек и более поздний срок родоразрешения [20]. Однако последний фактор является спорным и не подтверждался другими исследователями [18]. Что касается расположения разреза, то низкий разрез с вовлечением ткани шейки матки с большим количеством желез, вырабатывающих слизистый секрет, в состав операционного шва сопряжен со значительным замедлением репаративных процессов [21].
К факторам, замедляющим заживление послеоперационной раны на матке, помимо упомянутых выше двух и более операций КС в анамнезе и расположения матки в retroflexio служит преэклампсия, сопровождающаяся нарушением микроциркуляции [19, 20], в то время как наличие инфекционных осложнений в перинатальном периоде не показало статистически значимой ассоциации [20].
Из других факторов, которые могут вносить определенный вклад в развитие данного патологического состояния, выделяют более старший возраст матери [19], многоплодную беременность [20], гестационный сахарный диабет и высокий индекс массы тела [22], при этом согласно данным проспективного когортного исследования, включившего 401 небеременную пациентку, увеличение индекса массы тела на 1 сопряжено с повышением риска истмоцеле на 6%. К формированию ниши в области рубца предрасполагает образование спаек, например в результате недостаточного интраоперационного гемостаза [21].
Клинические проявления и их патофизиологические основы
Прежде чем перейти к рассмотрению возможных клинических симптомов истмоцеле, важно упомянуть, что для выделения данных симптомов в качестве проявлений расстройства, ассоциированного с рубцом на матке после КС, последние должны проявиться после КС, отмечаться в течение не менее 3 мес, постепенно прогрессируя.
Наиболее частым клиническим проявлением истмоцеле служат АМК, распространенность которых, согласно результатам систематического обзора и метаанализа от 2022 г., достигает 25,5%, при этом наиболее часто пациентки отмечают межменструальные кровянистые выделения в I фазе менструального цикла (МЦ), средняя продолжительность которых составляет 6,8 дня, при этом средняя длительность менструального кровотечения у женщин с симптомным ист- моцеле увеличивается до 13,4 дня [23]. Установлена связь развития постменструальных кровянистых выделений с величиной ниши: так, АМК чаще отмечаются у пациенток с крупным дефектом, нежели малым [24].
Тесная связь истмоцеле с АМК объясняется задержкой крови и менструальных выделений внутри дефекта наряду со снижением сократимости матки ввиду развития фиброзной ткани вокруг зоны рубца, что замедляет отток менструальной крови. H. Morris провел гистологическое исследование ткани 51 образца, полученного при плановых гистерэктомиях спустя 2–15 лет после операции КС, и выявил следующие патологические изменения: искривление и расширение нижнего сегмента матки (75%), «нависание» плюс-ткани эндометрия над углублением в области рубца (61%), образование полипов по контуру ниши (16%), лимфоцитарную инфильтрацию умеренной или выраженной степени (65%), остаточный шовный материал с гигантскими клетками инородных тел (92%), расширение капилляров (65%), свободные эритроциты в строме эндометрия рубца (что позволяет предположить недавнее кровоизлияние; 59%), прерывистость эндометрия рубца (37%) и ятрогенный аденомиоз, ограниченный областью рубца (28%) [25]. Помимо того, что расширению капилляров могут способствовать АМК, образование полипов, локальный аденомиоз и сама рубцовая ткань способны стать источниками межменструальных кровянистых выделений. Независимо от источника АМК обильная секреция слизистого секрета шеечными железами при низком расположении рубца также может способствовать увеличению длительности кровотечения. Для констатации связи АМК с истмоцеле необходимо исключение других возможных причин АМК по классификации PALM-COEIN.
Помимо АМК пациенток с истмоцеле могут беспокоить хроническая тазовая боль и дисменорея, при этом выраженность указанных симптомов также прямо пропорциональна глубине дефекта [26]. H. Morris утверждал, что в основе подобных клинических проявлений лежат такие патогистологические изменения области рубца, как неправильность его формы, выраженность лейкоцитарной инфильтрации, фиброз [25].
Другим важным симптомом истмоцеле, в значительной степени снижающим качество жизни гинекологических пациенток, служит вторичное бесплодие. Так, в ходе крупного метаанализа 2013 г., включавшего 750 407 женщин, выявлено увеличение интергенетического интервала и риска вторичного бесплодия у женщин с абдоминальным родоразрешением в анамнезе [27].
В том же году в рамках другого метаанализа, включавшего 85 728 пациенток, отмечено, что оперативные роды путем КС снижают вероятность наступления следующей беременности в среднем на 10% (относительный риск 0,91, 95% ДИ 0,87–0,95) [28]. В целом, по разным данным, от 4 до 40% женщин с КС в анамнезе страдают вторичным бесплодием [29].
В более свежем исследовании, в ходе которого проанализировано 1317 циклов экстракорпорального оплодотворения (ЭКО), выявлены значительное снижение уровня родов живым плодом среди беременных с предыдущими родами путем КС в сравнении с предыдущими вагинальными родами (15,9% против 23,3% соответственно, ОШ 0,63, 95% ДИ 0,45–0,87) и более низкие показатели живорождения в данной когорте пациенток в целом [30].
Каковы же патофизиологические основы нарушения фертильности у пациенток с истмоцеле? Согласно гипотезе Р. Florio и соавт. скопление крови в области послеоперационной ниши снижает качество слизи и спермы, препятствует прохождению сперматозоидов через шейку матки, что в конечном итоге препятствует оплодотворению и имплантации эмбриона [31]. По данным I. Hsu и соавт., скопление крови в истмоцеле способствует бактериальной колонизации последней, что потенцирует хронический эндометрит [29]. Полагают, что важную роль в патогенезе бесплодия также играет нарушение маточного микробиома. Например, у бесплодных женщин с инфекциями мочевыводящих путей в анамнезе отмечается высокая распространенность вирулентного и антибиотикорезистентного уропатогенного штамма Escherichia coli в верхних отделах влагалища [32], а некоторые штаммы Klebsiella могут продуцировать факторы вирулентности, такие как липополисахариды, которые воздействуют на Toll-подобные рецепторы 4 типа (TLR4), индуцируя фиброз и воспаление [33]. Рецептивность эндометрия может также нарушаться из-за избытка железа, образующегося в результате распада гемоглобина [34].
Колонизация области ниши патогенными бактериями может служить значимым фактором вторичного бесплодия. Для более детальной оценки структуры бактериальной микрофлоры области рубца I. Hsu и соавт. провели проспективное когортное исследование, которое включило 363 пациенток, обратившихся по поводу вторичного бесплодия с октября 2008 по декабрь 2013 г. [29]. Истмоцеле диагностировали при ТВУЗИ в случае наличия углубления в зоне рубца после КС глубиной более 2,5 мм. Среди обратившихся со вторичным бесплодием выделено 3 группы: группа А – пациентки с КС в анамнезе и истмоцеле по данным ТВУЗИ; группа В – пациентки с КС в анамнезе без эхо-признаков истмоцеле; группа С (контрольная) – пациентки без КС в анамнезе или каких-либо поражений. Отделяемое из области ниши для бактериологического исследования получали под ультразвуковым контролем на 7–10-й день МЦ после УЗИ матки и придатков и осмотра шейки матки в зеркалах. В ходе статистического анализа полученных данных выявлено, что ниша в области рубца оказалась статистически значимым фактором риска определения хотя бы одной бактерии при бактериологическом исследовании (p<0,001, ОШ 1,23, 95% ДИ 7,2–27,6). У пациенток с абдоминальным родоразрешением в анамнезе чаще, чем в контрольной группе, высеивались Гр+ кокки (в 90% случаев стрептококки группы В и энтерококки) и Гр- палочки (наиболее часто – Pseudomonas; p=0,0016, ОШ 1,74, 95% ДИ -20,8–-5,0), составляя примерно 90% всех идентифицированных микроорганизмов. Хронический эндометрит, частота которого достоверно выше у пациенток с рубцом на матке после КС (65,8 и 46,0% соответственно; p=0,0315) [35], потенцируется не только нарушением микробиома матки, но и усилением выработки провоспалительных цитокинов. Согласно результатам ретроспективного анализа Y. Nobuta и соавт. в когорте пациенток с рубцом достоверно выше уровни фактора некроза опухоли α и интерлейкина-1β, чем у пациенток без КС в анамнезе (p=0,0002 и 0,0217 соответственно).
Появление эндометриоза послеоперационного рубца наиболее часто объясняют непроизвольной транспортировкой клеток эндометрия при операции КС. Описаны примеры ятрогенного происхождения экстрагенитального эндометриоза, обусловленного имплантацией эндометриоидных гетеротопий после манипуляций иглами для проведения амниоцентеза и эпизиотомии [36]. Не так давно в литературе появился самостоятельный термин «эндометриоз истмоцеле», что вполне оправдано наличием еще одного патогенетического звена, ассоциированного с повышенным содержанием железа, которое обладает следующими эффектами: индукцией адгезии при воздействии на клетки мезотелия, ангиогенеза при воздействии на эндотелиоциты, пролиферации при воздействии на клетки эндометрия и потенцированием воспалительного процесса посредством активации макрофагов [37].
У 20% пациенток с нишей в области послеоперационного рубца возникают трудности при переносе эмбриона в рамках протокола ЭКО, особенно в случае расположения матки в положении retroflexio [38]. Вероятность неудачной попытки ЭКО среди данных женщин выше, чем в общей популяции, в связи с чем перед вступлением в протокол следует производить детальную оценку параметров дефекта области рубца на матке с решением вопроса о необходимости его гистероскопической коррекции перед переносом.
Редким, но потенциально летальным осложнением дефекта рубца на матке после КС является беременность в рубце, причисленная к эктопическим формам.
Зарегистрированы случаи развития абсцесса послеоперационного рубца [39], что следует учитывать при проведении дифференциальной диагностики болевого синдрома, локализующегося внизу живота.
Диагностика
Главенствующая роль среди неинвазивных инструментальных методов визуализации рубца после КС сегодня, бесспорно, отводится УЗИ. Трансвагинальная эхография в двухмерном режиме дает полное представление о положении матки относительно продольной оси, области внутреннего зева и состоянии послеоперационного рубца.
Составление эхографического «портрета» рубца требует упоминания следующих его характеристик: формы, толщины, непрерывности, четкости наружных границ, объема и эхоструктуры.
Согласно консенсусу Европейского общества экспертов при оценке ниши необходимо производить следующие измерения: длины, глубины и ширины ниши, остаточной толщины миометрия, толщины прилегающего миометрия (рис. 2), расстояния между нишей и пузырно-маточным углублением (рис. 3), а также между нишей и наружным зевом (рис. 4) [14], при этом длину и глубину ниши и остаточную толщину миометрия следует оценивать в сагиттальной плоскости, ширину и наличие ответвлений – в поперечной. Возможно, под влиянием эстрадиола в середину фолликулярной фазы полость матки имеет жидкостной компонент, в связи с чем проведение УЗИ с 7 по 14-й день МЦ возможно без дополнительной внутриматочной инфузии геля или физиологического раствора с целью улучшения визуализации [40].
Рис. 2. Методика измерения толщины прилегающего миометрия [14].
Fig. 2. Methods for measuring the thickness of the adjacent myometrium [14].
Рис. 3. Методика измерения расстояния между нишей и пузырно-маточным углублением [14].
Fig. 3. Method for measuring the distance between the niche and the uterovesical pouch [14].
Рис. 4. Методика измерения расстояния между нишей и наружным зевом [14].
Fig. 4. Methods for measuring the distance between the niche and the external os [14].
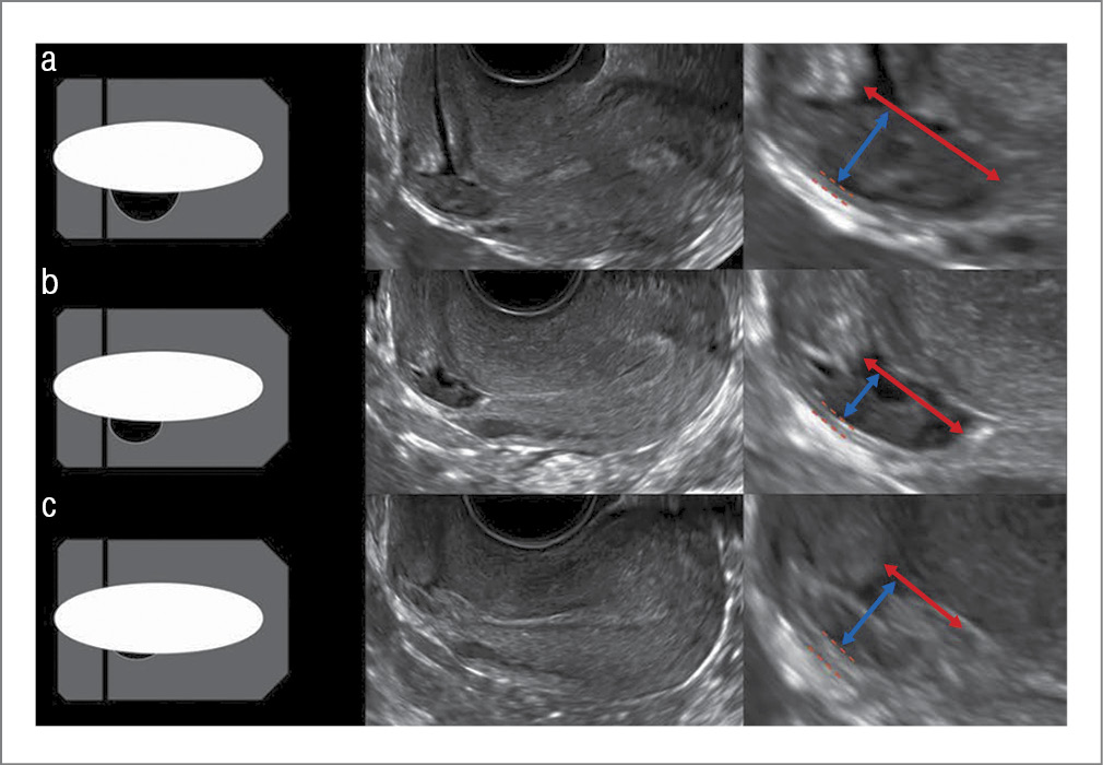
Важно отметить, что длина и глубина ниши, а также толщина остаточного миометрия могут значительно изменяться на протяжении МЦ. Так, на схематичных изображениях и ТВУЗИ матки в сагиттальной плоскости продемонстрировано изменение размера и объема маточной ниши в разные фазы МЦ у одной и той же женщины (рис. 5) [41].
Рис. 5. Динамика изменения толщины остаточного миометрия на протяжении МЦ: а – менструация; b – фолликулярная фаза; c – лютеиновая фаза [41].
Fig. 5. Change over time of the residual myometrium thickness during the menstrual cycle: a – menstruation; b – follicular phase; c – luteal phase [41].
Отношение остаточной толщины миометрия к ширине ниши во фронтальной плоскости менее 1 свидетельствует о высокой вероятности несостоятельности рубца [42].
По данным систематического обзора, проведенного S. Rober- ge и соавт. в 2012 г., точность методов визуализации дефектов рубца после КС у небеременных пациенток при ТВУЗИ оказалась ниже, чем при ГСГ и эхогистерографии (37, 58 и 59% соответственно) [43]. Эхогистерографию, т.е. трансвагинальную эхографию контрастированной специальным или физиологическим раствором полости матки, оптимально проводить в раннюю фолликулярную фазу МЦ в интервале между 6 и 12-м месяцем после КС. Дефекты послеоперационного рубца в виде «ниши», как правило, представлены гипоэхогенными образованиями треугольной или полукруглой формы.
МРТ более информативно при оценке ниши в области послеоперационного рубца, чем КТ, поскольку при последнем часто отмечается «феномен» наслаивания друг на друга находящихся в параллельных плоскостях изображений, формирующих крупные, с нечеткими границами «дефекты» миометрия, которые не подтверждаются при последующем хирургическом вмешательстве. Для несостоятельности шва характерно наличие низкоинтенсивного фокуса различной толщины, проходящего через всю толщину стенки матки – от серозного покрова до эндометрия, а также нарушение типичного, легко прослеживающегося при МРТ расположения слоев матки. Использование во время проведения исследования контрастного усиления способствует лучшей визуализации толщины дефекта.
Несмотря на широкой спектр инструментов неинвазивной диагностики, наиболее достоверной служит визуализация дефекта посредством гистероскопии, благодаря которой диагностируется большинство случаев истмоцеле.
Выбор инструментального метода исследования определяется индивидуально и зависит как от диагностических возможностей медицинской организации, так и наличия затруднений визуализации при сонографии, противопоказаний к введению контрастного вещества и т.д.
Лечение
Как уже отмечено, истмоцеле различной степени выраженности формируется практически у 1/2 пациенток, родоразрешенных абдоминальным путем. Специфическое лечение необходимо лишь в случае симптомного истмоцеле. Инструментальная оценка характеристик ниши целесообразна на прегравидарном этапе для оценки вероятности развития несостоятельности рубца на матке и необходимости коррекции последнего, а также при привычном невынашивании и перед вступлением в протокол ЭКО для повышения шансов удачной имплантации.
В 2020–2021 гг. М.А. Курцером и соавт. предложена шкала оценки выраженности истмоцеле, призванная унифицировать тактику ведения пациенток на прегравидарном этапе (табл. 1).
Таблица 1. Шкала оценки выраженности истмоцеле, баллы Table 1. Isthmocele severity rating scale, points | |||
Параметры | 0 | 1 | 2 |
Клинические проявления (АМК, вторичное бесплодие) | – | + | |
Толщина остаточного миометрия в проекции ниши (по данным СГГ и МРТ), мм | Более 3 | 2–3 | Менее 2 |
Объем ниши, см3 | <0,1 | 0,1–1,0 | >1,0 |
Примечание. 0–2 балла – клинически малозначимая ниша; 3–4 балла – умеренно выраженная ниша; 5–6 баллов – критическая ниша. | |||
Для стандартизации методики A. Ludwin и соавт. рекомендуют проводить УЗИ матки и придатков с 17 по 25-й день МЦ и начинать с размещения в цервикальном канале между наружным и внутренним зевом баллонного катетера диаметром 5 мм, заполненного 0,5–1,5 мл физиологического раствора, с последующим введением в канал шейки матки, нишу и полость матки физиологического раствора до их полного заполнения. Объем ниши следует определять посредством 3D-ТВУЗИ с использованием программного обеспечения SonoHysteroAVC [41].
Консервативная терапия
Несмотря на сообщение M. Tahara и соавт. об эффективности применения комбинированных оральных контрацептивов, содержащих 0,5 мг норгестрела и 0,05 мг этинилэстрадиола, в течение трех МЦ в устранении межменструальных кровянистых выделений [44], новейшие данные свидетельствуют о большей эффективности гистерорезектоскопической коррекции послеоперационного дефекта в сравнении с любыми вариантами консервативного лечения, включая гормональное в виде комбинированных оральных контрацептивов, установки внутриматочной спирали с левоноргестрелом или фитотерапии [45].
Как уже сказано, одной из основных причин развития хронического эндометрита у пациенток с рубцом на матке после КС является бактериальная колонизация ниши. Это обстоятельство позволяет предположить, что с целью лечения как эндометрита, так и развивающегося на его фоне вторичного бесплодия целесообразно использовать антибактериальные препараты, однако данных об успешном лечении бесплодия, ассоциированного с хроническим эндометритом, антибиотиками не поступало. В то же время результаты целого ряда исследований свидетельствуют о высокой эффективности лечения путем хирургической коррекции истмоцеле [46].
Хирургическое лечение
Хирургическое лечение истмоцеле включает гистероскопическую коррекцию и метропластику трансвагинальным и трансабдоминальным лапароскопическим и лапаротомным доступом.
Гистероскопическая коррекция истмоцеле показана при АМК в отсутствие других его возможных причин, применима при умеренно выраженном дефекте и служит лишь симптоматическим лечением, не восстанавливает нормальную анатомию матки и не увеличивает толщину остаточного миометрия. Однозначными преимуществами данного подхода в сравнении с другими хирургическими методиками служат уменьшение времени операции и пребывания в стационаре, интраоперационной кровопотери, затрат и относительная техническая простота.
S. Vitale и соавт. рекомендуют применять гистерорезектоскопию при АМК в отсутствие у женщины репродуктивных планов и остаточной толщине миометрия в зоне дефекта не менее 2,5 мм [47]. Так, R. Harjee и соавт. в систематическом обзоре 2021 г. показали, что гистероскопическая коррекция является безопасным и эффективным методом лечения вторичного бесплодия (75% наступления клинической беременности) у пациенток с остаточной толщиной рубца более 2,5 мм [48]. S. Tsuji и соавт. в качестве порогового значения остаточной толщины миометрия для возможной гистероскопической коррекции определили 2,2 мм [49]. Гистерорезектоскопия плюс-ткани в области рубца с последующей циркулярной коагуляцией данной области достоверно снижают болевой синдром, выраженность дисменореи и АМК (p<0,001), сопровождаясь высоким уровнем удовлетворенности пациенток проведенным вмешательством [50]. Согласно результатам систематического обзора и метаанализа, включившего данные 18 исследований, улучшение или полная элиминация клинической симптоматики после подобного лечения отмечена в 78,83% (95% ДИ 72,46–85,76%), после исключения систематической погрешности – в 92,82% случаев (95% ДИ 85,17–100%), при этом частота наступления клинической беременности при диагнозе вторичного бесплодия составила 69,77% (95% ДИ 59,03–82,48%), варьируясь в различных исследованиях от 25 до 80% [51]. Ряд исследователей отмечает, что применение мини-резектоскопа (16 Fr) позволяет добиться значимых преимуществ в сравнении с традиционной гистерорезектоскопией и может активно применяться в амбулаторной клинической практике. Так, в проспективном когортном исследовании P. Casadio и соавт. от 2020 г. показано, что коррекция истмоцеле путем мини-резектоскопии без расширения цервикального канала ассоциирована не только со значительным снижением числа послеоперационных осложнений (p=0,01), но и со статистически значимым снижением длительности процедуры (p<0,001), а значит и длительности анестезии, меньшим объемом экстравазации (p<0,001), а также большей удовлетворенностью пациенток (p<0,001) [52].
При наличии репродуктивных планов у пациентки с симптомным истмоцеле, а также на этапе прегравидарной подготовки у женщин с абдоминальным родоразрешением в анамнезе при толщине остаточного миометрия менее 2,5 (2,2) мм, а также при сумме баллов, равной 5–6 по шкале оценки ист- моцеле, что соответствует критической нише, показана метропластика любым из возможных доступов. Выбор доступа должен определяться индивидуально на основании навыков хирурга, предпочтений пациентки, наличия противопоказаний к определенным видам анестезиологического пособия, лекарственной непереносимости препаратов и т.д.
Преимуществами вагинального доступа служат возможность проведения оперативного вмешательства под спинномозговой анестезией, отсутствие косметических дефектов кожных покровов, сокращение времени операции, однако для ее осуществления необходим ряд условий, главным из которых является достаточная емкость влагалища. В ходе ретроспективного анализа результатов оперативного лечения 77 пациенток показано, что эффективность влагалищной метропластики в лечении нарушений МЦ выше, чем при гистероскопической коррекции истмоцеле (93,5% против 64,5%; p<0,001) [53]. J. Baekelandt и соавт. описана методика транслюминальной мини-лапароскопически ассистированной (однопортовой) метропластики влагалищным доступом через разрез на шейке матки в проекции переднего свода после предварительной гидроотсепаровки тканей с иссечением области рубца и последующим ушиванием матки непрерывным двухрядным швом [54]. Подобная техника делает возможной проведение метропластики влагалищным доступом у пациенток, не рожавших через естественные родовые пути.
Лапароскопическая метропластика является предпочтительной при толщине остаточного миометрия <2,5 мм [55], при этом согласно результатам проспективного когортного исследования эффективность данного вмешательства в отношении АМК, хронической тазовой боли и вторичного бесплодия составила 71,4, 83,3 и 83,3% соответственно [56]. Средняя толщина остаточного миометрия в области рубца возрастала с 1,77 до 6,67 мм через 3–6 мес после операции и даже после последующего КС составляла 4,49 мм. С целью лучшей визуализации области рубца ряд авторов предлагают использовать гистероскопически-ассистированную лапароскопическую метропластику, при которой проводится гистерорезектоскопическое истончение области рубца, лапароскопическая отсепаровка мочевого пузыря и иссечение рубца монополярным электродом типа крючок с последующим ушиванием матки под контролем неперфузионной (без нагнетания жидкости в полость матки) гистероскопии [57, 58]. Наиболее современным подходом к наиболее оптимальному иссечению тканей рубца служит применение в ходе лапароскопии ICG-флуоресцентной навигации [59]. Индоцианин зеленый является водорастворимым трикарбоцианиновым красителем, который имеет глубину проникновения в ткани до 5 мм и период полураспада в плазме 3–5 мин с элиминацией с желчью через 15–20 мин, в связи с чем он успешно применяется в онкологии для выявления тканей с расстройством микроперфузии и определением оптимальной границы резекции. Поскольку образование рубца на матке после КС ассоциировано с нарушением микроциркуляции в данной области, эндоскопическая инъекция индоцианина зеленого в область рубца с последующей количественной флуоресцентной ангиографией позволит наиболее адекватно визуализировать область, которую необходимо иссечь.
В целом систематический обзор, проведенный в 2020 г., показал, что все хирургические методики коррекции истмоцеле аналогичны по эффективности – уменьшают или устраняют симптомы более чем в 80% случаев (гистероскопическая коррекция – в 85,0% случаев, лапароскопическая/робот-ассистированная коррекция – в 92,77%, пластика влагалищным доступом – в 82,52%) [47]. Однако лапароскопическая коррекция в большей степени уменьшала длительность АМК в сравнении с гистероскопической коррекцией (стандартизованная разность средних 1,36, 95% ДИ 0,37–2,36; p=0,007) и пластикой вагинальным доступом (стандартизованная разность средних 1,58, 95% ДИ 0,97–2,19; p<0,0001) и в большей степени повышала толщину остаточного миометрия в зоне рубца [60]. В ходе упомянутого выше систематического обзора гистерорезектоскопия ассоциирована с наименьшим риском осложнений (0,76%; 0,20–1,66%), однако в более позднем систематическом обзоре от 2022 г., включившем данные 21 исследования, у 2,8% пациенток (4/145 родов) после гистероскопической коррекции истмоцеле зарегистрирован угрожающий или свершившийся разрыв матки, при этом в случае коррекции рубца другими методиками данных осложнений не отмечалось [61], что говорит о необходимости тщательной оценки толщины остаточного миометрия в ходе предоперационного дообследования и четкого соблюдения методики операции. При метропластике любым из предложенных доступов пациенток необходимо предупреждать, что планировать беременность следует не раньше чем через 6 мес после вмешательства [55].
Заключение
Наиболее частыми симптомами истмоцеле служат АМК и вторичное бесплодие. С целью унифицирования ведения медицинской документации, в частности формулировки диагнозов, УЗИ- и МРТ-заключений, вне беременности следует использовать понятие «дефект рубца на матке после КС», при глубине последнего более 2 мм – «истмоцеле» (код N99.8 по МКБ-10 для врачей – акушеров-гинекологов, R93.5 – для специалистов ультразвуковой диагностики и рентгенологов). Эхографическое исследование с установкой в цервикальный канал баллонного катетера и последующим введением в полость матки физиологического раствора следует осуществлять с 17 по 25-й день МЦ, в отсутствие дополнительного нагнетания жидкости – на 7–14-й дни МЦ. Лечение истмоцеле показано лишь при наличии симптомов последнего или в случае планирования беременности и вступления в протокол ЭКО с переносом эмбриона. Консервативная терапия не показала достаточной эффективности в устранении клинической симптоматики и может быть рассмотрена лишь при невозможности выполнения оперативного вмешательства. Из предлагаемых хирургических методик лечения наиболее безопасной является гистероскопическая коррекция, которая, однако, не приводит к увеличению толщины остаточного миометрия и может быть рассмотрена лишь при значении последней более 2,5 мм. При меньших показателях показана метропластика влагалищным или трансабдоминальным доступом. В целом все существующие хирургические методики коррекции истмоцеле аналогичны по эффективности – уменьшают или устраняют симптомы более чем в 80% случаев. Своевременная диагностика указанного патологического состояния и его адекватная коррекция могут стать важным инструментом как в повышении эффективности оказания гинекологической помощи, так и увеличения частоты наступления клинической беременности в программах вспомогательных репродуктивных технологий.
Раскрытие интересов. Авторы декларируют отсутствие явных и потенциальных конфликтов интересов, связанных с публикацией настоящей статьи.
Disclosure of interest. The authors declare that they have no competing interests.
Вклад авторов. Авторы декларируют соответствие своего авторства международным критериям ICMJE. Все авторы в равной степени участвовали в подготовке публикации: разработка концепции статьи, получение и анализ фактических данных, написание и редактирование текста статьи, проверка и утверждение текста статьи.
Authors’ contribution. The authors declare the compliance of their authorship according to the international ICMJE criteria. All authors made a substantial contribution to the conception of the work, acquisition, analysis, interpretation of data for the work, drafting and revising the work, final approval of the version to be published and agree to be accountable for all aspects of the work.
Источник финансирования. Авторы декларируют отсутствие внешнего финансирования для проведения исследования и публикации статьи.
Funding source. The authors declare that there is no external funding for the exploration and analysis work.
About the authors
Natalia M. Podzolkova
Russian Medical Academy of Continuous Professional Education; 2Botkin City Clinical Hospital
Email: podzolkova@gmail.com
ORCID iD: 0000-0001-9183-7030
D. Sci. (Med.), Prof., Russian Medical Academy of Continuous Professional Education, Botkin City Clinical Hospital
Russian Federation, Moscow; MoscowAnton V. Demidov
Pletnev City Clinical Hospital
Email: yuliya.sheveleva.97@mail.ru
Chief doctor, Pletnev City Clinical Hospital
Russian Federation, MoscowVasilii B. Osadchev
Russian Medical Academy of Continuous Professional Education; Pletnev City Clinical Hospital
Email: yuliya.sheveleva.97@mail.ru
ORCID iD: 0000-0001-5351-0854
Cand. Sci. (Med.), Assoc. Prof., Russian Medical Academy of Continuous Professional Education, Pletnev City Clinical Hospital
Russian Federation, Moscow; MoscowKirill V. Babkov
Russian Medical Academy of Continuous Professional Education; Pletnev City Clinical Hospital
Email: kirill.babkov@mail.ru
ORCID iD: 0000-0001-6260-2734
Cand. Sci. (Med.), Assoc. Prof., Russian Medical Academy of Continuous Professional Education, Pletnev City Clinical Hospital
Russian Federation, Moscow; MoscowYulia V. Denisova
Russian Medical Academy of Continuous Professional Education; Pletnev City Clinical Hospital
Author for correspondence.
Email: yuliya.sheveleva.97@mail.ru
ORCID iD: 0000-0003-1753-0537
Assistant, Russian Medical Academy of Continuous Professional Education, Pletnev City Clinical Hospital
Russian Federation, Moscow; MoscowReferences
- Краснопольский В.И., Буянова С.Н., Щукина Н.А., Логутова Л.С. Несостоятельность шва (рубца) на матке после КС: проблемы и решения (редакционная статья). Российский вестник акушера-гинеколога. 2015;15(3):4-8 [Krasnopolskii VI, Buianova SN, Shchukina NA, Logutova LS. Uterine suture (scar) incompetence after cesarean section: Problems and solutions (an editorial). Russian Bulletin of Obstetrician-Gynecologist. 2015;15(3):4-8 (in Russian)].
- Robson SJ, de Costa CM. Thirty years of the World Health Organization`s target caesarean section rate: time to move on. Med J Aust. 2017;206:181-5.
- Birth After Previous Caesarean Birth RCOG Green-top Guideline No. 45 October 2015. Available at: http://www.rcog.org.uk. Accessed: 08.01.2024.
- Шмаков Р.Г., Баев О.Р., Пекарев О.Г., и др. Хирургическая тактика операции кесарева сечения. Учебное пособие. М: Бином, 2019 [Shmakov RG, Baev OR, Pekarev OG, et al. Khirurgicheskaia taktika operatsii kesareva secheniia. Uchtbnoe posobie. Moscow: Binom, 2019 (in Russian)].
- Poidevin LO. The value of hysterography in the prediction of cesarean section wound defects. Am J Obstet Gynecol. 1961;81:67-71.
- Burger NF, Darazs B, Boes EG. An echographic evaluation during the early puerperium of the uterine wound after caesarean section. J Clin Ultrasound. 1982;10:271-4.
- Chen HY, Chen SJ, Hsieh FJ. Observation of cesarean section scar by transvaginal ultrasonography. Ultrasound Med Biol. 1990;16:443-7.
- Monteagudo A, Carreno C, Timor-Tritsch IE. Saline infusion sonohysterography in nonpregnant women with previous cesarean delivery: the «niche» in the scar. J Ultrasound Med. 2001;20:1105-15.
- Ofili-Yebovi D, Ben-Nagi J, Sawyer E, et al. Deficient lower segment cesarean section scars: Prevalence and risk factors. Ultrasound Obstet Gynecol. 2008;31:72-7.
- Gubbini G, Casadio P, Marra E. Resectoscopic Correction of the «Isthmocele» in Women With Postmenstrual Abnormal Uterine Bleeding and Secondary Infertility. J Min Invas Gynecol. 2008;15(2):172-5.
- Мартынов С.А., Адамян Л.В. Рубец на матке после кесарева сечения: терминологические аспекты. Гинекология. 2020;22(5):70-5 [Martynov SA, Adamyan LV. Cesarean scar defect: terminological aspects. Gynecology. 2020;22(5):70-5 (in Russian)].
- Vikhareva Osser O, Valentin L. Clinical importance of appearance of Cesarean hysterotomy scar at transvaginal ultrasonography in non-pregnant women. Obstet Gynecol. 2011;117:525-32.
- Gozzi P, Hees KA, Berg C, et al. Frequency and associated symptoms of isthmoceles in women 6 months after caesarean section: a prospective cohort study. Arch Gynecol Obstet. 2023;307(03):841-8.
- Jordans IPM, de Leeuw R, Stegwee SI, et al. A practical guideline for examining a uterine niche using ultrasonography in non-pregnant women: a modified Delphi method amongst European experts. Ultrasound Obstet Gynecol. 2018;53(1).
- Bij de Vaate AJ, Van der Voet LF, Naji O, et al. Prevalence, potential risk factors for development and symptoms related to the presence of uterine niches following cesarean section: systematic review. Ultrasound Obstet Gynecol. 2014;43(4):372-82.
- Hanacek J, Vojtech J, Urbankova I, et al. Ultrasound cesarean scar assessment one year postpartum in relation to one- or two-layer uterine suture closure. Acta Obstet Gynecol Scand. 2020;99:69-78.
- Ceci O, Cantatore C, Scioscia M, et al. Ultrasonographic and hysteroscopic outcomes of uterine scar healing after cesarean section: comparison of two types of single-layer suture. J Obstet Gynaecol Res. 2012;38:1302-7.
- Yazicioglu F, Gökdogan A, Kelekci S, et al. Incomplete healing of the uterine incision after caesarean section: is it preventable? Eur J Obstet Gynecol Reprod Biol. 2006;124(01):32-6.
- Vikhareva Osser O, Valentin L. Risk factors for incomplete healing of the uterine incision after caesarean section. BJOG. 2010;117:1119-26.
- Hayakawa H, Itakura A, Mitsui T, et al. Methods for myometrium closure and other factors impacting effects on cesarean section scars of the uterine segment detected by the ultrasonography. Acta Obstet Gynecol Scand. 2006;85(4):429-34.
- Vervoort AJ, Uittenbogaard LB, Hehenkamp WJ, et al. Why do niches develop in caesarean uterine scars? Hypotheses on the aetiology of niche development. Hum Reprod. 2015;30:2695-702.
- Antila-Långsjö RM, Mäenpää JU, Huhtala HS, et al. Cesarean scar defect: A prospective study on risk factors. Am J Obstet Gynecol. 2018;219(5):458.e1-8.
- Dosedla E, Gal P, Calda P. Association between deficient cesarean delivery scar and cesarean scar syndrome. J Clin Ultrasound. 2020;48:538-43.
- Van der Voet LF, Bij de Vaate AM, Veersema S, et al. Long-term complications of caesarean section. The niche in the scar: a prospective cohort study on niche prevalence and its relation to abnormal uterine bleeding. BJOG. 2014;121(2):236-44.
- Morris H. Surgical pathology of the lower uterine segment caesarean section scar: is the scar a source of clinical symptoms? Int J Gynecol Pathol. 1995;14(1):16-20.
- Wang CB, Chiu WW, Lee CY, et al. Cesarean scar defect: correlation between cesarean section number, defect size, clinical symptoms and uterine position. Ultrasound Obstet Gynecol. 2009;34(1):85-9.
- O’Neill SM, Kearney PM, Kenny LC, et al. Caesarean delivery and subsequent pregnancy interval: a systematic review and meta-analysis. BMC Pregnancy Childbirth. 2013;13(1):1-12.
- Gurol-Urganci I, Bou-Antoun S, Lim C, et al. Impact of caesarean section on subsequent fertility: a systematic review and meta-analysis. Hum Reprod. 2013;28(7):1943-52.
- Hsu I, Hsu L, Dorjee S, Hsu CC. Bacterial colonization at caesarean section defects in women of secondary infertility: an observational study. BMC Pregnancy Childbirth. 2022;22:135.
- Vissers J, Sluckin T, van Driel-Delprat CR, et al. Reduced pregnancy and live birth rates after in vitro fertilization in women with previous caesarean section: a retrospective cohort study. Hum Reprod. 2020;35(3):595-604.
- Florio P, Filippeschi M, Moncini I, et al. Hysteroscopic treatment of the cesarean-induced isthmocele in restoring infertility. Curr Opin Obstet Gynecol. 2012;24:180-6.
- Dehkordi FS, Tavakoli-Far B, Jafariaskari S, et al. Uropathogenic Escherichia coli in the high vaginal swab samples of fertile and infertile women: virulence factors, O-serogroups, and phenotyping and genotyping characterization of antibiotic resistance. N Microbes N Infect. 2020;38:100824.
- Clegg S, Murphy CN. Epidemiology and virulence of Klebsiella pneumoniae. Microbiol Spectr. 2016;4(1).
- Defrère S, Lousse J-C, Gonzalez-Ramos R, et al. Potential involvement of iron in the pathogenesis of peritoneal endometriosis. Mol Hum Reprod. 2008;14(7):377-85.
- Nobuta Y, Tsuji S, Kitazawa J, et al. Decreased Fertility in Women with Cesarean Scar Syndrome Is Associated with Chronic Inflammation in the Uterine Cavity. Tohoku J ExperimMed. 2022;258(3):237.
- Буянова С.Н., Щукина Н.А., Бабунашвили Е.Л., и др. Эндометриоз рубца после лапаротомии: ультразвуковая диагностика, хирургическое лечение, патологоанатомическое обоснование. Российский вестник акушера-гинеколога. 2017;17(4):49-53 [Buianova SN, Shchukina NA, Babunashvili EL, et al. Scar endometriosis after laparotomy: Ultrasound diagnosis, surgical treatment, a post-mortem rationale. Russian Bulletin of Obstetrician-Gynecologist. 2017;17(4):49-53 (in Russian)].
- Defrere S, Lousse JC, Gonzalez-Ramos R, et al. Potential involvement of iron in the pathogenesis of peritoneal endometriosis. Molecular Human Reproduction. 2008;14(7):377-85.
- Vervoort A, Vissers J, Hehenkamp W, et al. The effect of laparoscopic resection of large niches in the uterine caesarean scar on symptoms, ultrasound findings and quality of life: a prospective cohort study. BJOG. 2018;125(3):317-25.
- Kulshrestha V, Agarwal N, Kachhawa G. Post-caesarean Niche (Isthmocele) in Uterine Scar: An Update. J Obstet Gynecol India. 2020;70(6):440-6.
- Reed BG, Carr BR. The Normal Menstrual Cycle and the Control of Ovulation.. In: De Groot LJ, Chrousos G, Dungan K, et al, editors. Endotext. South Dartmouth (MA): MDText.com, Inc.; 2000–2015. Available at: https://www.ncbi.nlm.nih.gov/books/NBK279054/. Accessed: 09.01.2024.
- Ludwin A, Martins WP, Ludwin I. Evaluation of uterine niche by three-dimensional sonohysterography and volumetric quantification: techniques and scoring classification system. Ultrasound Obstet Gynecol. 2019;53(1):139-43.
- Alalfy M, Osman OM, Salama S, et al. Evaluation of the Cesarean Scar Niche In Women With Secondary Infertility Undergoing ICSI Using 2D Sonohysterography Versus 3D Sonohysterography and Setting a Standard Criteria; Alalfy Simple Rules for Scar Assessment by Ultrasound To Prevent Health Problems for Women. Int J Women’s Health. 2020;12:965-74.
- Roberge S, Boutin A, Chaillet N, et al. Systematic review of cesarean scar assessment in the nonpregnant state: imaging techniques and uterine scar defect. Am J Perinatol. 2012;29(6):465-71.
- Tahara M, Shimizu T, Shimoura H. Preliminary report of treatment with oral contraceptive pills for intermenstrual vaginal bleeding secondary to a cesarean section scar. Fertil Steril. 2006;86(2):477-9.
- Kremer TG, Ghiorzi IB, Dibi RP. Isthmocele: an overview of diagnosis and treatment. Revista Da Associação Médica Brasileira. 2019;65(5):714-21.
- Gubbini G, Centini G, Nascetti D, et al. Surgical Hysteroscopic Treatment of Cesarean-Induced Isthmocele in Restoring Fertility: Prospective Study. J Minim Invas Gynecol. 2011;18(2):234-7.
- Vitale SG, Ludwin A, Vilos GA, et al. From hysteroscopy to laparoendoscopic surgery: What is the best surgical approach for symptomatic isthmocele? A systematic review and meta-analysis. Arch Gynecol Obstet. 2020;301:33-52.
- Harjee R, Khinda J, Bedaiwy MA. Reproductive outcomes following surgical management for Isthmoceles: A systematic review. J Minim Invasive Gynecol. 2021;28:1291-302.
- Tsuji S, Nobuta Y, Hanada T, et al. Prevalence, definition, and etiology of cesarean scar defect and treatment of cesarean scar disorder: A narrative review. Reprod Med Biol. 2023;22(1):e12532.
- Casadio P, Raffone A, Alletto A, et al. Postoperative morphologic changes of the isthmocele and clinical impact in patients treated. by channel-like (360°) hysteroscopic technique. Int J Gynaecol Obstet. 2023;160(1):326-33.
- Mutairi B. Hysteroscopy in the Treatment of Myometrial Scar Defect (Diverticulum) Following Cesarean Section Delivery: A Systematic Review. Cureus. 2020;12(11):e11317.
- Casadio P, Gubbini G, Franchini M, et al. Comparison of Hysteroscopic Cesarean Scar Defect Repair with 26 Fr Resectoscope and 16 Fr Mini resectoscope: A Prospective Pilot Study. J Minim Invasive Gynecol. 2021;28(2):314-9.
- Xie H, Wu Y, Yu F, et al. A comparison of vaginal surgery and operative hysteroscopy for the treatment of cesarean-induced isthmocele: a retrospective review. Gynecol Obstet Invest. 2014;77:78-83.
- Baekelandt J, Kapurubandara S. A novel approach using vaginal natural orifice transluminal endoscopic surgery to repair a symptomatic uterine isthmocele. Fertil Steril. 2023;119(2):328-30.
- Setúbal A, Alves J, Osório F, Sidiropoulou Z. Demonstration of Isthmocele Surgical Repair. J Minim Invasive Gynecol. 2021;28(3):389-90.
- Karampelas S, Salem Wehbe G, de Landsheere L, et al. Laparoscopic isthmocele repair: efficacy and benefits before and after subsequent cesarean section. J Clin Med. 2021;24:10:5785.
- Suarez Salvador E, Haladjian MC, Bradbury M, et al. Laparoscopic Isthmocele Repair with Hysteroscopic Assistance. J Minim Invasive Gynecol. 2018;25(4):576-7.
- Sako Y, Hirata T, Momoeda M. Hysteroscopy-guided laparoscopic resection of a cesarean scar defect in 5 steps: the usefulness of nonperfusion hysteroscopy. Fertil Steril. 2022;118(6):1196-8.
- Hernández A, de Zulueta PR, Spagnolo E, et al. Deep learning to measure the in-tensity of indocyanine green in endometriosis surgeries with intestinal resection. J Pers Med. 2022;12(6):982.
- He Y, Zhong J, Zhou W, et al. Four Surgical Strategies for the Treatment of Caesarean Scar Defect: A Systematic Review and Network Meta-Analysis. J Minim Invasive Gynecol. 2020;27(3):593-602.
- Verberkt C, Klein Meuleman SJM, Ket JCF, et al. Fertility and pregnancy outcomes after a uterine niche resection in women with and without infertility: A systematic review and meta-analysis. F&S Reviews. 2022;3:174-89.
Supplementary files








