Асимметричное увеличение больших половых губ в детском возрасте. Серия клинических случаев
- Авторы: Батырова З.К.1, Кумыкова З.Х.1, Уварова Е.В.1,2, Бадлаева А.С.1, Асатурова А.В.1, Кулабухова П.В.1, Мамедова Ф.Ш.1,3, Чупрынин В.Д.1, Яговкина И.А.1
-
Учреждения:
- ФГБУ «Национальный медицинский исследовательский центр акушерства, гинекологии и перинатологии имени академика В.И. Кулакова» Минздрава России
- ФГАОУ ВО «Первый Московский государственный медицинский университет им. И.М. Сеченова» Минздрава России (Сеченовский Университет)
- ФГБОУ ДПО «Российская медицинская академия непрерывного профессионального образования» Минздрава России
- Выпуск: Том 26, № 4 (2024)
- Страницы: 363-367
- Раздел: КЛИНИЧЕСКИЙ СЛУЧАЙ
- Статья опубликована: 27.12.2024
- URL: https://gynecology.orscience.ru/2079-5831/article/view/633248
- DOI: https://doi.org/10.26442/20795696.2024.4.203036
- ID: 633248
Цитировать
Полный текст
Аннотация
Асимметрия больших половых губ в детском возрасте (CALME – Childhood asymmetry labium majus enlargement) – редкое, доброкачественное заболевание допубертатного возраста, характеризующееся неопухолевым односторонним разрастанием мягких тканей вульвы при отсутствии периферической капсулы. Патогенез CALME до конца не ясен. Как правило, единственный метод лечения – хирургический по причине необходимости верификации диагноза и исключения неопластического процесса. Большинство исследователей указывают на доброкачественное происхождение CALME и важность максимально консервативного подхода при наличии определенных критериев диагностики. В статье представлены клинические наблюдения CALME-синдрома у девочек с учетом современного дифференцированного подхода к ведению пациенток с этой патологией.
Ключевые слова
Полный текст
Одностороннее увеличение большой половой губы в детском возрасте является редким состоянием и требует не только клинического, но и инструментального дообследования в связи с необходимостью тщательной дифференциальной диагностики для исключения врожденных аномалий развития, воспалительных заболеваний и неопластических процессов вульвы.
Увеличение больших половых губ может становиться причиной различных доброкачественных заболеваний и злокачественных новообразований, таких как киста бартолиновой железы, гемангиома, лимфангиома, лейомиома, рабдомиома, нейрофиброма, липома, миофиброматоз, ангиофибробластома и эмбриональная рабдомиосаркома [1]. В детском возрасте перечисленные заболевания встречаются редко. Несмотря на неоднозначность клинического диагноза по причине отсутствия визуальных изменений кожи, болезненности и четких границ «образования» по данным визуальных методов диагностики, хирургическое вмешательство по поводу любого асимметричного увеличения большой половой губы в детском возрасте продолжает оставаться основным методом диагностики и лечения.
В последние годы стали появляться сообщения о клинико-патологическом состоянии, выявляемом у 20% девочек с односторонним «образованием» в области большой половой губы на основании общих признаков комплексного клинического, визуального и гистологического обследования, обозначенном акронимом CALME [2].
Асимметричное увеличение больших половых губ в детском возрасте (CALME – Childhood asymmetry labium majus enlargement) – редкое, доброкачественное заболевание допубертатного возраста, характеризующееся неопухолевым односторонним разрастанием мягких тканей вульвы при отсутствии периферической капсулы (рис. 1).
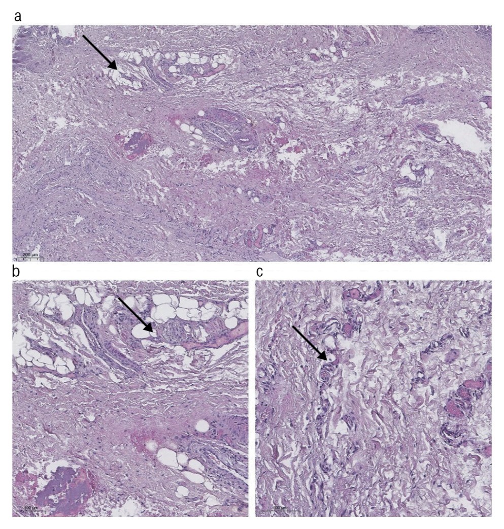
Рис. 1. Волокнистая фиброзная ткань, содержащая скопления адипоцитов и мелкие полнокровные сосуды (а, b), часть из которых с утолщенной стенкой (c). Окраска: гематоксилин-эозин.
Fig. 1. Fibrous tissue with clusters of adipocytes and fine full-blooded vessels (a, b), some of which have a thickened wall (c). Staining: hematoxylin-eosin.
В 2005 г. S. Vargas и соавт. ввел аббревиатуру CALME у девочек раннего возраста – доброкачественное асимметричное увеличение большой половой губы при отсутствии изменений кожного покрова, на основании ряда клинических наблюдений, в том числе пересмотра гистологических препаратов удаленных «новообразований» больших половых губ у этих пациенток [3]. В последующем предложенный акроним был принят специалистами, и в настоящее время продолжают появляться публикации, описывающие данное состояние.
Следует отметить, что причина развития CALME и тактика ведения пациенток остаются дискутабельными. Патогенез CALME до конца не ясен, однако гипотеза о гормонально обусловленной гиперплазии стромы больших половых губ у девочек раннего возраста широко принята и в настоящее время является основной. Теория гиперплазии вульвы лучше всего согласуется с данными о периодах увеличения и уменьшения и даже о спонтанном регрессе одностороннего «новообразования» большой половой губы, что соответствует циклическим изменениям, происходящим в женских гормон-чувствительных тканях с учетом возраста [3–7].
Как правило, единственным методом лечения остается хирургическое по причине необходимости верификации диагноза и исключения неопластического процесса. Интересно, что по данным гистологического исследования удаленных тканей большой половой губы, как правило, описывается разрастание фиброзных и жировых тяжей, кровеносных сосудов и нервов вокруг нормальных тканей вульвы [3, 8, 9]. Фибробласты характеризуются отсутствием плеоморфизма или митотической активности на фоне отсутствия четкой капсулы и границ новообразования с наличием неизмененной экспрессии эстрогеновых рецепторов [5]. Описаны случаи положительного окрашивания эстрогеновых рецепторов в контрольной, здоровой ткани вульвы [7, 8]. Кроме того, положительное окрашивание на прогестероновые рецепторы также встречается [3, 8, 10]. Иммуногистохимия исследуемых образцов указывает на мезенхимальное ее происхождение с положительным окрашиванием на виментин или CD34 [10]. Аналогичные гистологические изменения с сопутствующей внеклеточной гиалинизацией и расширением лимфатических сосудов происходят при травмах промежности или вульвы [3]. Рецидив CALME отмечается у 50% прооперированных девочек, без признаков местных или отдаленных метастазов [8, 11, 12], в связи с чем вопрос о необходимости ускоренного хирургического лечения представляется сомнительным.
Большинство исследователей указывают на доброкачественное происхождение CALME и важность максимально консервативного подхода при наличии определенных критериев диагностики. В отечественной литературе мы не встретили публикаций, описывающих подобное состояние у девочек, в связи с чем считаем важным представить серию клинических наблюдений с гистологической верификацией диагноза для помощи практикующим врачам и накопления опыта при ведении таких пациенток.
Клиническое наблюдение №1
Больная К., 12 лет. В январе 2022 г. – травма промежности, через 3 мес отметила асимметричное увеличение большой половой губы, в связи с чем обратились к гинекологу по месту жительства.
При проведении ультразвукового исследования (УЗИ) органов малого таза (май 2022 г.) в области правой половой губы визуализируется участок неправильной овальной формы, неоднородной структуры 26×14 мм, капсулы не имеет, при цветном допплеровском картировании (ЦДК) кровоток усилен. Паховый канал справа не расширен. Грыжевых выпячиваний нет. По результатам магнитно-резонансной томографии (МРТ): МР-картина отека половой губы справа, без достоверных макроскопических признаков дополнительных образований в нативном исследовании.
Рекомендовано местное противовоспалительное лечение.
Через месяц ребенок осмотрен повторно в связи с неэффективностью терапии. По месту жительства проведено хирургическое удаление образования большой половой губы справа. Удаленное образование расценено как ангиофиброма.
Через 3 мес после хирургического лечения отмечен рецидив асимметричного увеличения большой половой губы справа, в связи с чем обратились на консультацию в ФГБУ «НМИЦ АГП им. акад. В.И. Кулакова».
При гинекологическом осмотре отмечалось асимметричное диффузное увеличение большой половой губы справа. Кожа большой половой губы бледно-розового цвета, без признаков воспаления, визуализируется рубец после предыдущего вмешательства. Паховые лимфоузлы не увеличены.
При УЗИ органов малого таза (октябрь 2022 г.) в проекции правой большой половой губы подкожно определяется гипоэхогенная зона без четкой капсулы размерами 10×7×7 мм, аваскулярная при ЦДК. Кзади от нее в толще жировой ткани лоцируются неизмененные лимфатические сосуды. Паховый канал справа не расширен. Грыжевых выпячиваний нет.
При МРТ органов малого таза (октябрь 2022 г.): в правой половой губе определяется зона без четких контуров размерами 11×7×17 мм, в которой дифференцируются единичные расширенные сосуды. Зон отека, участков истинного ограничения свободной диффузии не визуализируется. Патологически измененных лимфоузлов на исследованном уровне не визуализируется.
В «НМИЦ АГП им. акад. В.И. Кулакова» выполнен пересмотр гистологических препаратов ранее удаленного по месту жительства образования. Выявлен фрагмент ткани, содержащий веретеновидные клетки с гиалинозом, включением жировых клеток в виде мелких скоплений, с наличием сосудов, местами с утолщенными стенками, четких границ образования не прослеживается (см. рис. 1).
Учитывая данные за CALME-синдром и отсутствие признаков прогрессирования процесса, принято решение о динамическом наблюдении. При контрольном осмотре через 3 и 7 мес, включая результаты визуальных методов исследования, размеры и структура образования большой половой губы без динамики. Уровень онкомаркеров (В-ХГЧ, АФП, СА-125) – в пределах нормативных значений.
Клиническое наблюдение №2
Больная О., 10 лет. В 2022 г. пациентке по месту жительства удалено объемное образование большой половой губы справа. Через год после хирургического лечения отмечено асимметричное увеличение большой половой губы справа, в связи с чем обратилась для консультации в ФГБУ «НМИЦ АГП им. акад. В.И. Кулакова».
При гинекологическом осмотре: наружные половые органы сформированы соответственно возрасту и полу, отмечается асимметричное диффузное увеличение правой большой половой губы, кожа ее бледно-розового цвета, с линейным рубцом после предыдущего вмешательства, безболезненная при пальпации.
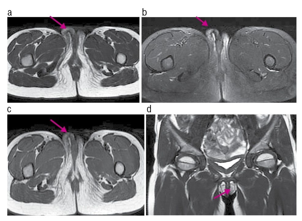
По результатам МРТ органов малого таза (январь 2024 г.): половые губы асимметричны, правая – с участками фиброзных (послеоперационных) изменений, в толще правой половой губы объемные образования, участки ограничения свободной диффузии убедительно не определяются (рис. 2).
Рис. 2. МРТ Т2-ВИ в аксиальной плоскости (а), Т2-ВИFS в аксиальной плоскости (b), Т1-ВИ в аксиальной плоскости (c), Т2-ВИ во фронтальной плоскости (d). МР-картина асимметрии половых губ с увеличением правой (указано стрелкой), с признаками наличия в толще зон фиброза.
Fig. 2. MRI T2-VI in the axial view (a), T2-VIFS in the axial view (b), T1-VI in the axial view (c), T2-VI in the frontal view (d). MR pattern of asymmetry of the labia with an enlargement in the right (indicated by the arrow), with signs of fibrosis area within the labia tissues.
С целью выработки клинической тактики в «НМИЦ АГП им. акад. В.И. Кулакова» выполнен пересмотр гистологических препаратов ранее удаленного по месту жительства образования (рис. 3): фрагменты волокнистой соединительной ткани с наличием скоплений адипоцитов, а также участками склерозирования, фокусы отека и разволокнения. Отмечаются мелкие, несколько эктазированные лимфатические сосуды, нервные стволики, мелкие кровоизлияния.
Рис. 3. Волокнистая фиброзная ткань с отеком, содержащая скопления адипоцитов (a), нервные стволики (b) и мелкие дилатированные сосуды, часть из которых с утолщенной стенкой (c). Окраска: гематоксилин-эозин.
Fig. 3. Fibrous tissue with edema, clusters of adipocytes (a), nerve trunks (b) and fine dilated vessels, some of which have a thickened wall (c). Staining: hematoxylin-eosin.
Учитывая данные за CALME-синдром и отсутствие признаков прогрессирования процесса, принято решение о динамическом наблюдении. При контрольном осмотре через 4 мес без динамики. Онкомаркеры (В-ХГЧ, АФП, СА-125) в пределах нормативных значений. Продолжено динамическое наблюдение.
Клиническое наблюдение №3
Больная З., 6 лет. В июле 2019 г. отмечено асимметричное увеличение большой половой губы справа. Получена консультация гинеколога по месту жительства: рекомендована местная терапия, проведена, без эффекта. Обратилась для консультации в ФГБУ «НМИЦ АГП им. акад. В.И. Кулакова».
При гинекологическом осмотре: отмечается асимметричное увеличение правой большой половой губы, в толще ее смещаемое безболезненное образование. Кожа бледно-розового цвета, без признаков воспаления (рис. 4).
Рис. 4. Внешний вид наружных половых органов пациентки.
Fig. 4. Appearance of the patient's external genitalia.
При проведении УЗИ органов малого таза в толще правой большой половой губы на глубине 3 мм от поверхности кожи определяется многокамерное образование конусовидной формы, с четкими неровными контурами, размерами 41×10×10 мм. При ЦДК в стенках образования определяется кровоток.
Выполнено оперативное лечение в объеме: удаление объемного образования большой половой губы справа.
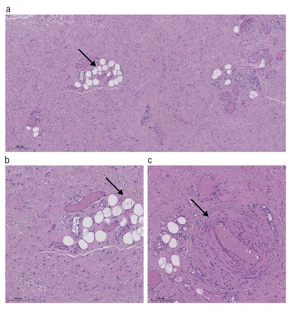
При гистологическом исследовании удаленное образование представлено фиброзной тканью с включением жировой ткани, очаговыми кровоизлияниями и очаговой лимфоидной инфильтрацией, расценено как киста влагалища, однако по результатам ретроспективного пересмотра гистологическая картина соответствует CALME-синдрому (рис. 5).
Рис. 5. Волокнистая фиброзная ткань, содержащая скопления адипоцитов и мелкие полнокровные сосуды (а–c). Окраска: гематоксилин-эозин.
Fig. 5. Fibrous tissue with clusters of adipocytes and fine full-blooded vessels (a–c). Staining: hematoxylin-eosin.
При контрольном осмотре через год после проведенного хирургического лечения данных за рецидив образования не получено.
Заключение
Таким образом, наличие асимметричного увеличения больших половых губ у девочки требует комплексного дообследования, дифференцированного подхода с предпочтительно консервативной тактикой ведения при наличии соответствующих критериев. В связи с изложенным крайне важным представляется дальнейшее накопление данных и обмен опытом, что позволит выработать единую тактику, способствующую повышению качества жизни таких пациенток.
Раскрытие интересов. Авторы декларируют отсутствие явных и потенциальных конфликтов интересов, связанных с публикацией настоящей статьи.
Disclosure of interest. The authors declare that they have no competing interests.
Вклад авторов. З.К. Батырова – концепция; З.Х. Кумыкова, Е.В. Уварова, А.С. Бадлаева, А.В. Асатурова, П.В. Кулабухова, Ф.Ш. Мамедова, В.Д. Чупрынин, И.А. Яговкина, З.К. Батырова – сбор и обработка материала; З.К. Батырова – написание текста; З.Х. Кумыкова – редактирование.
Authors’ contribution. Z.K. Batyrova – concept; Z.Kh. Kymykova, E.V. Uvarova, A.S. Badlaeva, A.V. Asaturova, P.V. Kulabukhova, F.Sh. Mamedova, V.D. Chuprynin, I.A. Iagovkina, Z.K. Batyrova – data collection and processing; Z.K. Batyrova – writing the article; Z.Kh. Kymykova – editing the article.
Источник финансирования. Авторы декларируют отсутствие внешнего финансирования для проведения исследования и публикации статьи.
Funding source. The authors declare that there is no external funding for the exploration and analysis work.
Информированное согласие на публикацию. Авторы получили письменные согласия законных представителей пациентов на анализ и публикацию медицинских данных и фотографий.
Consent for publication. The authors obtained the written consents of the patient's legal representatives for the analysis and publication of medical data and photographs.
Об авторах
Залина Кимовна Батырова
ФГБУ «Национальный медицинский исследовательский центр акушерства, гинекологии и перинатологии имени академика В.И. Кулакова» Минздрава России
Автор, ответственный за переписку.
Email: linadoctor@mail.ru
ORCID iD: 0000-0003-4997-6090
канд. мед. наук, ст. науч. сотр. 2-го гинекологического отд-ния
Россия, МоскваЗаира Хасановна Кумыкова
ФГБУ «Национальный медицинский исследовательский центр акушерства, гинекологии и перинатологии имени академика В.И. Кулакова» Минздрава России
Email: linadoctor@mail.ru
ORCID iD: 0000-0001-7511-1432
канд. мед. наук, ст. науч. сотр. 2-го гинекологического отд-ния
Россия, МоскваЕлена Витальевна Уварова
ФГБУ «Национальный медицинский исследовательский центр акушерства, гинекологии и перинатологии имени академика В.И. Кулакова» Минздрава России; ФГАОУ ВО «Первый Московский государственный медицинский университет им. И.М. Сеченова» Минздрава России (Сеченовский Университет)
Email: linadoctor@mail.ru
ORCID iD: 0000-0002-3105-5640
чл.-кор. РАН, д-р мед. наук., проф., зав. 2-м гинекологическим отд-нием, проф. каф. акушерства, гинекологии, перинатологии и репродуктологии
Россия, Москва; МоскваАлина Станиславовна Бадлаева
ФГБУ «Национальный медицинский исследовательский центр акушерства, гинекологии и перинатологии имени академика В.И. Кулакова» Минздрава России
Email: linadoctor@mail.ru
ORCID iD: 0000-0001-5223-9767
мл. науч. сотр. 1-го патологоанатомического отд-ния
Россия, МоскваАлександра Вячеславовна Асатурова
ФГБУ «Национальный медицинский исследовательский центр акушерства, гинекологии и перинатологии имени академика В.И. Кулакова» Минздрава России
Email: linadoctor@mail.ru
ORCID iD: 0000-0001-8739-5209
д-р мед. наук, зав. патологоанатомическим отд-нием
Россия, МоскваПолина Владимировна Кулабухова
ФГБУ «Национальный медицинский исследовательский центр акушерства, гинекологии и перинатологии имени академика В.И. Кулакова» Минздрава России
Email: linadoctor@mail.ru
ORCID iD: 0000-0002-0363-3669
канд. мед. наук, врач отд-ния лучевой диагностики
Россия, МоскваФатима Шапиевна Мамедова
ФГБУ «Национальный медицинский исследовательский центр акушерства, гинекологии и перинатологии имени академика В.И. Кулакова» Минздрава России; ФГБОУ ДПО «Российская медицинская академия непрерывного профессионального образования» Минздрава России
Email: linadoctor@mail.ru
ORCID iD: 0000-0003-1136-7222
канд. мед. наук, врач отд. ультразвуковой диагностики в неонатологии и педиатрии, ассистент каф. лучевой диагностики детского возраста
Россия, Москва; МоскваВладимир Дмитриевич Чупрынин
ФГБУ «Национальный медицинский исследовательский центр акушерства, гинекологии и перинатологии имени академика В.И. Кулакова» Минздрава России
Email: linadoctor@mail.ru
ORCID iD: 0000-0002-2997-9019
канд. мед. наук, зав. хирургическим отд-нием
Россия, МоскваИрина Александровна Яговкина
ФГБУ «Национальный медицинский исследовательский центр акушерства, гинекологии и перинатологии имени академика В.И. Кулакова» Минздрава России
Email: linadoctor@mail.ru
ORCID iD: 0009-0000-5121-9609
врач-ординатор
Россия, МоскваСписок литературы
- Goldrat O, Lingier P, Massez A, Noël JC. Prepubertal Vulvar Fibroma: Neoplasm or Physiological Condition? J Pediatr Adolesc Gynecol. 2016;29(5):e67-70. doi: 10.1016/j.jpag.2016.02.003
- Батырова З.К., Уварова Е.В., Кумыкова З.Х. CALME, или доброкачественная асимметрия большой половой губы, в детском возрасте. В помощь практикующему врачу. Репродуктивное здоровье детей и подростков. 2024;20(1):52-6 [Batyrova ZK, Uvarova EV, Kumykova ZKh. CALME, or benign asymmetry of the labia majora in childhood. To help a practicing doctor. Pediatric and Adolescent Reproductive Health. 2024;20(1):52-6 (in Russian)]. doi: 10.33029/1816-2134-2024-20-1-52-56
- Vargas SO, Kozakewich HP, Boyd TK, et al. Childhood asymmetric labium majus enlargement: Mimicking a neoplasm. Am J Surg Pathol. 2005;29:1007-16. PMID: 16006794
- Lowry DL, Guido RS. The vulvar mass in the prepubertal child. J Pediatr Adolesc Gynecol. 2000;13(2):75-8. doi: 10.1016/s1083-3188(00)00007-3
- Altchek A, Deligdisch L, Norton K, et al. Prepubertal unilateral fibrous hyperplasia of the labium majus: Report of eight cases and review of the literature. Obstet Gynecol. 2007;110(1):103-8. doi: 10.1097/01.AOG.0000266979.42237.cc
- Salvatori C, Testa I, Prestipino M, et al. Childhood Asymmetry Labium Majus Enlargement (CALME): Description of Two Cases. Int J Environ Res Public Health. 2018;15(7):1525. doi: 10.3390/ijerph15071525
- Gu MJ, Kim SY. Childhood asymmetry labium majus enlargement. Korean J Pathol. 2011;45:529.
- Sechi A, Patrizi A, Vara G, et al. Keep CALME (childhood asymmetry labium majus enlargement) and follow up. J Dtsch Dermatol Ges. 2021;19(9):1276-81. doi: 10.1111/ddg.14528
- Iwasa Y, Fletcher CD. Distinctive prepubertal vulval fibroma: A hitherto unrecognized mesenchymal tumor of prepubertal girls: Analysis of 11 cases. Am J Surg Pathol. 2004;28(12):1601-8. doi: 10.1097/00000478-200412000-00008
- Oh JT, Choi SH, Ahn SG, et al. Vulvar lipomas in children: An analysis of 7 cases. J Pediatr Surg. 2009;44(10):1920-3. doi: 10.1016/j.jpedsurg.2009.02.063
- Manson CM, Hirsch PJ, Coyne JD. Postoperative spindle cell nodule of the vulva. Histopathology. 1995;26(6):571-4. doi: 10.1111/j.1365-2559.1995.tb00277.x
- Soyer T, Hançerliogullari O, Pelin Cil A, et al. Childhood asymmetric labium majus enlargement: is a conservative approach available? J Pediatr Adolesc Gynecol. 2009;22(2):e9–11.
Дополнительные файлы








