Options for the prevention of endothelial dysfunction and atherosclerotic vascular lesions in perimenopausal patients: A prospective study
- Authors: Lapina I.A.1, Dobrokhotova Y.E.1, Nikitenko Y.A.2, Tyan A.G.2, Chirvon T.G.1, Taranov V.V.1
-
Affiliations:
- Pirogov Russian National Research Medical University
- Medsi group JSC
- Issue: Vol 26, No 3 (2024)
- Pages: 237-241
- Section: ORIGINAL ARTICLE
- Published: 20.09.2024
- URL: https://gynecology.orscience.ru/2079-5831/article/view/633642
- DOI: https://doi.org/10.26442/20795696.2024.3.202845
- ID: 633642
Cite item
Full Text
Abstract
Introduction. Cardiovascular diseases are still the leading cause of death worldwide. In contrast to men, in women, cardiovascular diseases, such as coronary artery disease, acute cerebrovascular accident, and thrombosis of various localization, develop later in life. A fold rise in risk begins during the menopausal transition. Given the increase in the postmenopausal period of a woman's life, it seems interesting to search for new methods of early prevention of cardiometabolic complications already in perimenopause.
Aim. To optimize early non-hormonal prevention of endothelial dysfunction and perimenopausal cardiovascular complications.
Materials and methods. A prospective study included 50 patients aged 45–55 years in perimenopause without obesity and other somatic or gynecological disorders with menopausal syndrome of varying severity. Patients in group 1 (n=25) received combined non-hormonal treatment of menopausal symptoms and prevention of cardiovascular complications [sulodexide 250 lipasemic units (LU) 2 times a day + phytoestrogen (cimicifuga extract) 1 capsule 2 times a day]. In group 2 (n=25), patients received only phytoestrogen according to the same regimen.
Results. After 1 year of observation, the mean thickness of the intima-media complex of the common carotid artery in group 1, in which patients received complex course therapy including sulodexide (Vessel Due F), decreased by 3.7%, and in group 2 increased by 26.8%. In group 1, it was found that after 1 year of regular use, treatment contributed to a decrease in blood fibrinogen level by 11.8% and an increase in thrombin time by 24.5%, which, in combination with a decrease in prothrombin concentration and an increase in activated partial thromboplastin time by 4.7 s, indicates a pronounced therapeutic effect on the hemostasis system.
Conclusion. All markers of early atherosclerosis and vascular complications progress during postmenopause and with increasing age. However, complex protective therapy, including glycosaminoglycans sulodexide), can slow down this progression while improving patients' quality of life. Non-hormonal complex therapy can not only neutralize menopausal symptoms but also prevent long-term vascular complications caused by increasing age and the lack of estrogen-protective effect.
Full Text
Введение
Ведущей причиной смертности во всем мире по-прежнему остаются сердечно-сосудистые заболевания [1]. В отличие от мужчин у женщин кардиоваскулярные заболевания, такие как ишемическая болезнь сердца (ИБС), острое нарушение мозгового кровообращения и тромбозы различной локализации, развиваются в более позднем возрасте. Кратное увеличение риска начинается в период менопаузального перехода [2, 3]. Учитывая увеличение постменопаузального периода жизни женщины, представляется интересным поиск новых методов ранней профилактики кардиометаболических осложнений (КМО) уже в перименопаузе.
Доказано, что только в 1/2 случаев сердечно-сосудистым катастрофам предшествовало наличие принятых факторов риска: артериальной гипертонии, ожирения, увеличения индекса окружности талии к окружности бедер, высокого уровня гликированного гемоглобина и гипергликемии натощак, гиперхолестеринемии [4]. Даже при их отсутствии у значительного числа женщин развиваются изменения сосудов, связанные с эндотелиальной дисфункцией, нарастанием жесткости сосудистой стенки и снижением ее эластических свойств. Согласно результатам многоцентрового британского исследования у 2/3 женщин, внезапно умерших от ИБС, клинические симптомы заболевания отсутствовали [5].
Всеми авторитетными сообществами менопаузальная гормональная терапия (МГТ), являющаяся «золотым стандартом» лечения климактерического синдрома (КС) и отдаленных менопаузальных расстройств, не рекомендована к приему без жалоб [1, 6, 7]. При ожирении и ряде сопутствующих заболеваний применение МГТ ограничено, но кардиоваскулярные риски в постменопаузе высоки, что диктует необходимость поиска альтернативных способов протективной терапии.
Одной из перспективных групп препаратов, влияющих на вазомоторные симптомы, являются фитоэстрогены, которые могут быть назначены в качестве вспомогательной негормональной терапии (НГТ) КС женщинам, которые отказываются от МГТ или имеют противопоказания к ней [3].
Известно, что менопауза приводит к вторичному снижению функции эндотелия, зависящему в первую очередь от возраста, а во вторую – от дефицита эстрогенов. По данным многочисленных исследований, поражение эндотелиального слоя, характерное для постменопаузального периода, провоцирует развитие вегетативных КМО у женщин [8–10]. Одним из эндотелиотропных препаратов является сулодексид, обладающий многообразными свойствами, позволяющими восстановить сосудистую стенку и предотвратить осложнения. Множественное защитное воздействие сулодексида (препарата Вессел Дуэ Ф) на сердечно-сосудистую систему способствует развитию новых терапевтических стратегий в лечении и профилактике атеросклероза, артериальной гипертензии, ИБС, острого коронарного синдрома, тромбофлебита и метаболического синдрома [3, 8]. Соответственно, целесообразным представляется добавление в состав комплексной терапии гликозаминогликанов, которые оказывают положительное влияние на сосудистую стенку [10].
Цель исследования – оптимизировать раннюю негормональную профилактику эндотелиальной дисфункции и менопаузальных сердечно-сосудистых осложнений в перименопаузе.
Материалы и методы
В проспективное исследование включены 50 пациенток в возрасте 45–55 лет в перименопаузе без ожирения и другой соматической, гинекологической патологии с КС различной степени тяжести. Терапию до начала исследования все женщины не получали. Их разделили на 2 группы по 25 человек. В группе 1 осуществляли комбинированную НГТ климактерических симптомов и профилактику кардиоваскулярных осложнений [сулодексид 250 ЛЕ 2 раза в день, продолжительность курса 2 мес с перерывом на 3 мес, всего 3 курса в год + фитоэстроген (экстракт цимицифуги) по 1 капсуле 2 раза в день, 2 мес приема и перерыв на 4 мес] по схеме в соответствии с инструкцией препаратов. Группу 2 составили 25 человек, в которой пациентки получали только фитоэстроген по аналогичной схеме.
Начало терапии у подавляющего большинства (88%) пациенток пришлось на 1-й год постменопаузы. В первые 6 мес начали получать коррекцию 60% больных, а в последующие полгода – еще 28%.
В двух контрольных точках – при включении в исследование и через 1 год – проводили комплексное обследование, в частности исследование различных гемостазиологических и метаболических показателей, динамическую оценку степени тяжести климактерических симптомов, веса, индекса массы тела, измерение артериального давления (АД), ультразвуковое исследование органов малого таза и брахиоцефальных артерий.
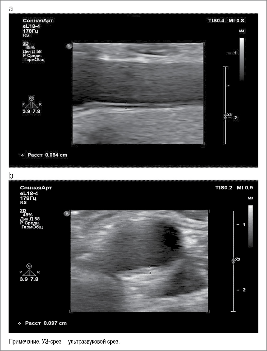
Одним из основных структурных показателей артериальной стенки является определение толщины комплекса интима–медиа (КИМ) в миллиметрах. Измерения показателей толщины КИМ производили согласно международным рекомендациям по ультрасонографии на расстоянии 1,0–1,5 см от бифуркации общей сонной артерии (ОСА).
Учитывали толщину КИМ ОСА в поперечном и продольном срезах, при этом неблагоприятным маркером считали ее величину более 1 мм. Акцент делали на появлении таких изменений, как извитость, неравномерное утолщение артерий, сужение просвета сосудов и появление атеросклеротических изменений (бляшек); рис. 1.
Рис. 1. Ультразвуковая оценка толщины КИМ ОСА: а – продольный УЗ-срез; b – поперечный УЗ-срез.
Fig. 1. Ultrasound assessment of the thickness of the intima-media complex of the common carotid artery (IMT-CCA): a – longitudinal view; b – transverse view.
Полученные данные подвергли соответствующей статистической обработке при помощи программного обеспечения STATISTICA 13.5 (разработчик – StatSoft.Inc) и программы Excel пакета Microsoft Office 2019. Критерием статистической значимости стал p<0,05.
Результаты
В исследование включены пациентки с различной степенью тяжести проявлений КС. КС средней и тяжелой степени имели 28% пациенток от общего числа (n=50) участниц, в частности в группе 1 – 6 из 25 пациенток, в группе 2 – 8 из 25. У остальных (подавляющего большинства) выявлен КС легкой степени.
Через 1 год комплексной терапии в обеих группах отмечено статистически значимое снижение практически всех симптомов (табл. 1).
Таблица 1. Жалобы пациенток до начала исследования и через 1 год, абс. (%) Table 1. Pre-study and 1-year symptoms in the groups, abs. (%) | ||||
Жалобы | Группа 1 (n=25) | Группа 2 (n=25) | ||
до | через 1 год | до | через 1 год | |
Приливы жара | 14 (56) | 5 (20)* | 15 (60) | 7 (28)* |
Ночная потливость | 13 (52) | 5 (20)* | 13 (52) | 7 (28)* |
Чувство раздражительности и возбудимости | 15 (60) | 7 (28)* | 14 (56) | 7 (28)* |
Дисфория или депрессия | 5 (20) | 2 (8)* | 5 (20) | 2 (8)* |
Снижение либидо | 7 (28) | 2 (8)* | 7 (28) | 2 (8)* |
Давление в области головы и головные боли | 4 (16) | 3 (6)* | 3 (12) | 2 (8) |
Учащенное или усиленное сердцебиение | 8 (32) | 3 (12)* | 8 (32) | 7 (28) |
Боли в области сердца | 4 (16) | 1 (4)* | 4 (16) | 2 (8) |
Приступы паники | 6 (24) | 1 (4)* | 7 (28) | 5 (20) |
Общее среднее число по климактерической шкале Грина | 12,3±2,4 | 7,2±3,3* | 12,1±2,4 | 8,4±4,7* |
*Статистически значимые различия между группами (р<0,05). | ||||
Средние значения структурных показателей стенки ОСА (толщины КИМ) исходно статистически значимо в группах не отличались (p>0,05). Сводные значения КИМ ОСА как раннего маркера атеросклероза и повышенного риска кардиоваскулярных событий приведены в табл. 2. Через 1 год наблюдения среднее значение КИМ ОСА в группе 1, где пациентки получали комплексную курсовую терапию с добавлением эндотелиотропного препарата, снизилось на 3,7%, а в группе 2 выросло на 26,8%.
Таблица 2. Результаты ультразвукового исследования брахиоцефальных артерий в динамике в группах (М±SD) Table 2. Results of ultrasound examination of brachiocephalic arteries over time in groups (M±SD) | ||
КИМ ОСА ср., мм (норма <1) | ||
Группа 1 (n=25) | Исходно | 0,82±0,1 |
Через 1 год | 0,79±0,08* | |
Группа 2 (n=25) | Исходно | 0,82±0,2 |
Через 1 год | 0,99±0,09 | |
*Статистически значимые различия между группами. | ||
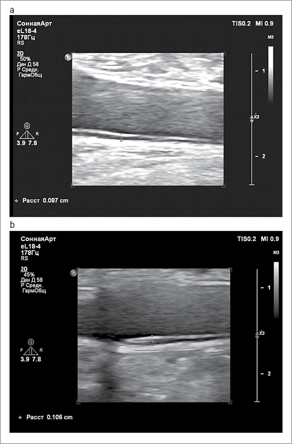
Толщина КИМ>1 мм через 1 год наблюдения выявлена только в группе 2 (рис. 2). Здесь же отмечены более выраженные атеросклеротические изменения, в том числе появление атеросклеротических бляшек.
Рис. 2. Ультразвуковая оценка толщины КИМ ОСА у пациентки из группы 2: а – при включении в исследование (0,87 мм); b – через 1 год (1,06 мм).
Fig. 2. Ultrasound assessment of the IMT-CCA in a patient from group 2: a – at enrollment (0.87 mm); b – after 1 year (1.06 mm).
Учитывая важную роль в развитии КМО, у всех пациенток оценивали в динамике расширенный липидный профиль. Исходно состояние липидного обмена у обследованных женщин характеризовалось гиперхолестеринемией, незначительным увеличением уровня общего холестерина и липопротеидов низкой плотности (ЛПНП).
Курсовой прием комплекса сулодексид + фитоэстроген в группе 1 привел к изменению липидного профиля в сторону снижения уровня общего холестерина, ЛПНП и повышения липопротеидов высокой плотности.
В группе 1 изначально повышенный уровень общего холестерина за год терапии снизился на 16,1%, тогда как в группе приема только фитоэстрогена его уровень вырос на 31% (с 5,8 до 7,6 ммоль/л). В группе 1 установлено статистически значимое снижение уровня ЛПНП на 9,09% и триглицеридов на 22,7% через 1 год наблюдения (р<0,05), а также выявлено достоверное повышение концентрации липопротеидов высокой плотности (на 40%). Изменения содержания липопротеидов очень низкой плотности на фоне лечения не произошло.
При оценке эффективности терапии рассматривали и параметры системы гемостаза, которые в группах исходно, за исключением гомоцистеина, находились в пределах референсных значений. В группе 1 при курсовой терапии с применением сулодексида через 1 год лечение способствовало снижению уровня фибриногена в крови на 11,8% и увеличению тромбинового времени на 24,5%, что в сочетании со снижением концентрации протромбина на фоне удлинения активированного частичного тромбопластинового времени на 4,7 с свидетельствует о выраженном терапевтическом эффекте в системе гемостаза (табл. 3). В группе 2, наоборот, практически все показатели, характеризующие активность коагуляционного звена и ингибиторов свертывания, на фоне наблюдения не претерпели значительных изменений, а некоторые даже ухудшились.
Таблица 3. Параметры базовой коагулограммы в группах исходно и через 1 год наблюдения (М±SD) Table 3. Basic coagulation parameters in groups at baseline and after 1 year of follow-up (M±SD) | |||||
Фибриноген, г/л | Активированное частичное тромбопластиновое время, с | Тромбиновое время, с | Протромбин, % | ||
Группа 1 (n=25) | Исходно | 3,4±0,5 | 25,2±4,5 | 15,9±1,7 | 98,4±8,3 |
Через 1 год | 3,0±0,4*/** | 29,9±3,6*/** | 19,8±2,2*/** | 91,1±10,3*/** | |
Группа 2 (n=25) | Исходно | 3,2±0,6 | 25,7±4,1 | 16,3±2,1 | 98,1±8,8 |
Через 1 год | 3,9±0,4** | 23,4±5,7* | 15,8±1,6 | 104,3±8,9 | |
*Статистически значимые различия между группами (p<0,05); **статистически значимые различия в одной группе по сравнению с исходными данными (p<0,05). | |||||
Следует отметить, что в результате применения сулодексида у пациенток группы 1 отмечено снижение маркера цитотоксического повреждения – гомоцистеина – на 34,9% (за 1 год с 12,6±1,3 до 8,2±0,4 мкмоль/л), что свидетельствует о благоприятном воздействии на эндотелий сосудов.
Показатели АД и частоты сердечных сокращений (ЧСС) представлены в табл. 4. Отмечена положительная динамика в группе 1 по сравнению с группой 2. До начала исследования диагноз «гипертоническая болезнь» не установлен в отношении всех исследуемых. В контрольной точке через 1 год наблюдения данный диагноз был правомочен у 1 (4%) и 4 (16%) пациенток групп 1 и 2 соответственно, что может говорить о протективном действии сулодексида и, соответственно, требует углубленного изучения.
Таблица 4. Показатели АД и ЧСС в динамике в группах (М±SD) Table 4. Blood pressure and heart rate over time in groups (M±SD) | |||||
Систолическое АД, мм рт. ст. | Диастолическое АД, мм рт. ст. | ЧСС ср. дневная, уд/мин | ЧСС ср. ночная, уд/мин | ||
Группа 1 (n=25) | Исходно | 121,4±10,7 | 74,5±6,2 | 72,8±7,7 | 64,4±4,1 |
Через 1 год | 124,5±11,9* | 77,6±4,1* | 75,0±6,9* | 65,1±3,7* | |
Группа 2 (n=25) | Исходно | 119,8±16,9 | 77,1±4,7 | 71,9±6,6 | 64,2±5,2 |
Через 1 год | 129,1±17,1** | 84,4±6,1** | 81,1±4,2** | 68,8±4,4** | |
*Статистически значимые различия между группами (р<0,05); **статистически значимые различия по сравнению с исходным значением в этой же группе (р<0,05). | |||||
Заключение
Исследование провели в связи с актуальностью проблемы снижения рисков прокоагулянтной активности, метаболических изменений, выявления маркеров ранних проявлений атеросклероза и последующих сердечно-сосудистых осложнений у пациенток в перименопаузе.
С течением постменопаузы и увеличением возраста все маркеры раннего атеросклероза и сосудистых осложнений прогрессируют. Однако назначение комплексной протективной терапии с включением гликозаминогликанов (препарата Вессел Дуэ Ф) может замедлить и снизить темпы данного прогрессирования, при этом улучшая качество жизни пациенток и снижая выраженность климактерических симптомов.
Применение фитоэстрогенов позволяет снизить выраженность климактерических симптомов, однако комплексная НГТ должна не только нивелировать менопаузальные жалобы, но и профилактировать отдаленные сосудистые осложнения, вызванные увеличением возраста и отсутствием эстрогенпротективного эффекта. В случае отсутствия климактерических симптомов или их проявления в легкой форме такое лечение тоже должно быть предложено с целью профилактики отдаленных последствий.
Раскрытие интересов. Авторы декларируют отсутствие явных и потенциальных конфликтов интересов, связанных с публикацией настоящей статьи.
Disclosure of interest. The authors declare that they have no competing interests.
Вклад авторов. Авторы декларируют соответствие своего авторства международным критериям ICMJE. Все авторы в равной степени участвовали в подготовке публикации: разработка концепции статьи, получение и анализ фактических данных, написание и редактирование текста статьи, проверка и утверждение текста статьи.
Authors’ contribution. The authors declare the compliance of their authorship according to the international ICMJE criteria. All authors made a substantial contribution to the conception of the work, acquisition, analysis, interpretation of data for the work, drafting and revising the work, final approval of the version to be published and agree to be accountable for all aspects of the work.
Источник финансирования. Авторы декларируют отсутствие внешнего финансирования для проведения исследования и публикации статьи.
Funding source. The authors declare that there is no external funding for the exploration and analysis work.
Соответствие принципам этики. Протокол исследования был одобрен локальным этическим комитетом ФГАОУ ВО «РНИМУ им. Н.И. Пирогова» (№204 от 01.02.2021). Одобрение и процедуру проведения протокола получали по принципам Хельсинкской конвенции.
Ethics approval. The study was approved by the local ethics committee of Pirogov Russian National Research Medical University (№204 dated 01.02.2021). The approval and procedure for the protocol were obtained in accordance with the principles of the Helsinki Convention.
Информированное согласие на публикацию. Пациентки подписали форму добровольного информированного согласия на публикацию медицинской информации.
Consent for publication. Written consent was obtained from the patients for publication of relevant medical information and all of accompanying images within the manuscript.
About the authors
Irina A. Lapina
Pirogov Russian National Research Medical University
Author for correspondence.
Email: doclapina@mail.ru
ORCID iD: 0000-0002-2875-6307
D. Sci. (Med.)
Russian Federation, MoscowYulia E. Dobrokhotova
Pirogov Russian National Research Medical University
Email: doclapina@mail.ru
ORCID iD: 0000-0002-7830-2290
D. Sci. (Med.), Prof.
Russian Federation, MoscowYana A. Nikitenko
Medsi group JSC
Email: doclapina@mail.ru
ORCID iD: 0009-0000-4908-555X
obstetrician-gynecologist, Department Head
Russian Federation, MoscowAnatoly G. Tyan
Medsi group JSC
Email: doclapina@mail.ru
ORCID iD: 0000-0003-1659-4256
Cand. Sci. (Med.)
Russian Federation, MoscowTatiana G. Chirvon
Pirogov Russian National Research Medical University
Email: doclapina@mail.ru
ORCID iD: 0000-0002-8302-7510
Cand. Sci. (Med.)
Russian Federation, MoscowVladislav V. Taranov
Pirogov Russian National Research Medical University
Email: doclapina@mail.ru
ORCID iD: 0000-0003-2338-2884
Cand. Sci. (Med.)
Russian Federation, MoscowReferences
- Шляхто Е.В., Сухих Г.Т., Серов В.Н., и др. Российские критерии приемлемости назначения менопаузальной гормональной терапии пациенткам с сердечно-сосудистыми и метаболическими заболеваниями. Согласительный документ РКО, РОАГ, РАЭ, ЕАТ, РАФ. Проблемы эндокринологии. 2023;69(5):115-36 [Shlyakhto EV, Sukhikh GT, Serov VN, et al. Russian eligibility criteria prescribing menopausal hormonal hormones therapy for patients with cardiovascular and metabolic diseases. Consensus document of the Russian Cardiological Society, Russian Society of Obstetricians and Gynecologists, Russian Association of Endocrinologists, Eurasian Association of Therapists, Association of Phlebologists of Russia. Problems of Endocrinology. 2023;69(5):115-36 (in Russian)]. doi: 10.14341/probl13394
- Coccheri S, Mannello F. Development and use of sulodexide in vascular diseases: implications for treatment. Drug Des Devel Ther. 2013;8:49-65. doi: 10.2147/DDDT.S6762
- Das DK, Maulik N. Resveratrol in cardioprotection: a therapeutic promise of alternative medicine. Mol Interv. 2006;6(1):36-47. doi: 10.1124/mi.6.1.7
- Khan SJ, Kapoor E, Faubion SS, Kling JM. Vasomotor Symptoms During Menopause: A Practical Guide on Current Treatments and Future Perspectives. Int J Womens Health. 2023;15:273-87. doi: 10.2147/IJWH.S365808
- Manson JE, Chlebowski RT, Stefanick ML, et al. Menopausal hormone therapy and health outcomes during the intervention and extended poststopping phases of the Women’s Health Initiative randomized trials. JAMA. 2013;310(13):1353-68. doi: 10.1001/jama.2013.278040
- ACOG Practice Bulletin No. 141: management of menopausal symptoms. Obstet Gynecol. 2014;123(1):202-16. doi: 10.1097/01.AOG.0000441353.20693.78
- ACOG Committee on Clinical Practice Guidelines–Gynecology. Obstet Gynecol. 2022;139(4):698-717. doi: 10.1097/AOG.0000000000004730
- Лапина И.А., Озолиня Л.А., Доброхотова Ю.Э., и др. Комплексная оценка влияния гликозаминогликанов на систему гемостаза у пациенток с синдромом поликистозных яичников. Вопросы гинекологии, акушерства и перинатологии. 2019;18(5):35-41 [Lapina IA, Ozolinya LA, Dobrokhotova YuE, et al. Complex assessment of the effect of glycosaminoglycans on the system of haemostasis in patients with polycystic ovary syndrome. Gynecology, Obstetrics and Perinatology. 2019;18(5):35-41 (in Russian)]. doi: 10.20953/1726-1678-2019-5-35-41
- Доброхотова Ю.Э., Лапина И.А., Тян А.Г., и др. Комбинированное лечение пациентов постменопаузального периода с пролапсом тазовых органов и генитоуринарным синдромом. Гинекология. 2024;26(1):68-74 [Dobrokhotova YuE, Lapina IA, Tyan AG, et al. Combined treatment of postmenopausal patients with pelvic organ prolapse and genitourinary syndrome. Gynecology. 2024;26(1):68-74 (in Russian)]. doi: 10.26442/20795696.2024.1.202641
- Van Haare J, Kooi ME, van Teeffelen JW, et al. Metformin and sulodexide restore cardiac microvascular perfusion capacity in diet-induced obese rats. Cardiovasc Diabetol. 2017;16(1):47. doi: 10.1186/s12933-017-0525-7
Supplementary files





