Surgical management of cystic adenomyosis (adenomyoma) in a 17-year-old female patient: A clinical case
- Authors: Rukhliada N.N.1,2, Nasyrov R.A.1, Taits A.N.1, Reznik V.А.1, Krivolesova T.A.1, Dudova K.A.1,2, Krasnogorskaya O.L.1
-
Affiliations:
- Saint Petersburg State Pediatric Medical University
- Dzhanelidze Saint Petersburg Research Institute of Emergency Care
- Issue: Vol 27, No 3 (2025)
- Pages: 255-259
- Section: CLINICAL CASE
- Published: 24.09.2025
- URL: https://gynecology.orscience.ru/2079-5831/article/view/678891
- DOI: https://doi.org/10.26442/20795696.2025.3.203305
- ID: 678891
Cite item
Full Text
Abstract
Adenomyosis is a common form of endometriosis that affects fertility and is one of the leading causes of dysmenorrhea. It is typical for women aged 35–50. The most common form is diffuse adenomyosis, while focal adenomyosis, a cystic variant, is very rare, especially in patients younger than 30. The main diagnostic methods are ultrasonic examination and magnetic resonance imaging. The article presents a rare clinical case of cystic juvenile adenomyosis in a 17-year-old adolescent girl with severe primary dysmenorrhea who underwent organ-sparing surgical treatment to preserve fertility and eliminate pain. Pathohistological examination confirmed the cystic form of adenomyosis. Forty days after the surgery, painless menstruation occurred; thus, complete pain relief without hormone therapy was achieved.
Full Text
Введение
Аденомиоз – одна из часто встречающихся морфологических форм эндометриоидной болезни, обычно манифестирующая кровотечениями и дисменореей у женщин после 35–40 лет, также оказывающая значимое влияние на их фертильность [1]. Наиболее распространенная форма – диффузный аденомиоз, в то время как очаговый аденомиоз, а тем более кистозный вариант (аденомиомы в миометрии), встречается очень редко, особенно у пациенток моложе 25–30 лет [2, 3].
Морфологически заболевание характеризуется наличием инвагинации эктопической ткани базального слоя эндометрия в миометрий с гипертрофией окружающих железистые элементы миоциотов. Диагностические критерии ювенильного кистозного аденомиоза, предложенные T. Hiroyuki и соавт. (2010 г.), включают тяжелую дисменорею, возраст до 30 лет и кистозное образование диаметром более 1 см, не имеющее непосредственной связи с полостью матки и окруженное гипертрофированным миометрием [4].
Подростки с диагнозом «эндометриоз» чаще предъявляют жалобы на наличие таких симптомов, как боли (в том числе хроническая тазовая боль, ациклическая боль), дисменорея, диспареуния, гастроинтестинальные симптомы (дисхезия, тошнота, вздутие живота), дизурия [5].
В недавнем европейском исследовании, в котором приняли участие молодые женщины 14–24 лет с хронической тазовой болью в анамнезе, по результатам ультразвукового исследования (УЗИ) распространенность аденомиоза составила 46% [6].
Исследование S. Vannuccini и соавт. (2024 г.), посвященное анализу возможных причин первичной дисменореи и аномальных маточных кровотечений (АМК) у 95 подростков в возрасте от 13 до 25 лет, показало, что при ультразвуковых признаках аденомиоза частота АМК значительно выше, чем у пациентов с нормальным состоянием миометрия (38,5% против 17,4%; p=0,030). В соответствии с критериями MUSA (Morphological Uterus Sonographic Assessment – морфологическая сонографическая оценка матки) ультразвуковой диагноз «аденомиоз» поставлен 27,4% подростков, при этом наиболее распространенным оказался диффузный тип. Частые признаки – асимметрия стенки матки, гиперэхогенные интрамиометриальные островки, усиление сосудистого рисунка, прерывистая соединительная зона (Junctional Zone). Кроме того, сосуществование дисменореи и АМК в значительной степени связано с аденомиозом (отношение шансов 5,68, 95% доверительный интервал 1,65–19,5) [7].
Типичная клиника аденомиоза у девочек-подростков в литературе не описана: такие ювенильные манифестирующие формы заболевания очень редки.
Клинический случай
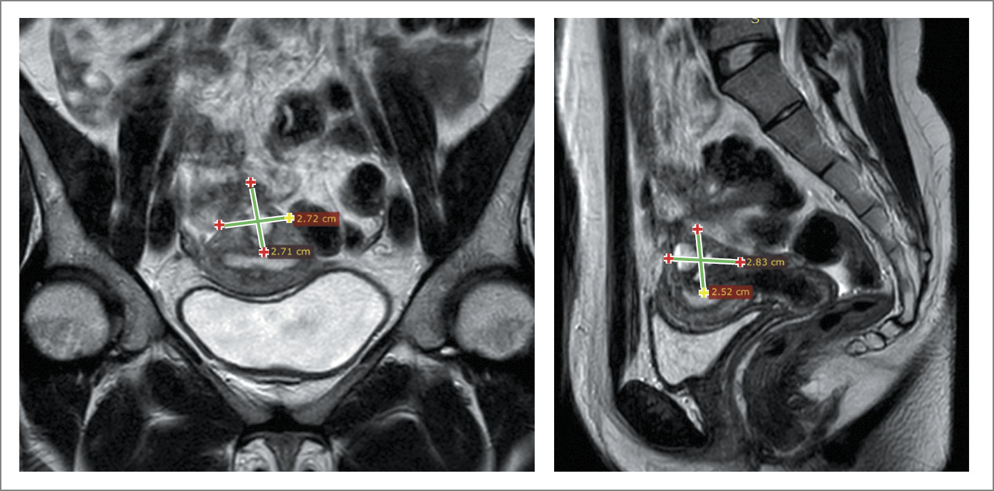
В перинатальный центр ФГБОУ ВО СПбГПМУ обратились для дистанционной консультации родители 16-летней девочки-подростка Л. Основная жалоба – сильные боли во время менструации, полностью совпадающие с днями кровотечения, без иррадиации; дисменорея началась с 14 лет с менархе, постепенно усиливалась интенсивность болевого синдрома. Менструации регулярные, нормальные по объему, по 4–5 дней, цикл 28–29 сут, межменструальных мажущих выделений пациентка не отмечала. За последние 2 года боли удавалось купировать приемом нестероидных противовоспалительных средств (кеторолак, индометацин). Ввиду развития выраженных побочных эффектов со стороны желудочно-кишечного тракта пациентка не могла принимать их более 3 сут подряд. Кроме нестероидных противовоспалительных средств никакие препараты не назначали, вопрос о гормонотерапии не рассматривался. Семейный анамнез не отягощен. Данных за наличие возможного эндометриоза у матери нет, у нее менструации безболезненные, беременность наступила самостоятельно, Б-1, Р-1. Девочка родилась доношенной, в срок 39 нед, через естественные родовые пути. Периоды неонатального и детского развития протекали без особенностей, травм и тяжелых заболеваний не было. Однако первая же пришедшая менструация оказалась очень болезненной. К гинекологу обратились только в возрасте 16 лет 7 мес, при ректальном ультразвуковом сканировании обнаружена «аномалия развития матки» (протокол в клинику СПбГПМУ не представлен). Мы рекомендовали магнитно-резонансную томографию (МРТ) органов таза для визуализации патологического процесса с учетом возможных указаний на врожденные аномалии развития полового аппарата, которая обнаружила наличие кистозного аденомиоза (рис. 1). В соответствии с критериями описания патологии тканей матки MUSA выявлены прямые признаки аденомиоза – наличие кист в миометрии, кистозное содержимое патологических очагов может быть анэхогенным, сниженной или смешанной эхогенности [8].
Рис. 1. МРТ-картина кистозного аденомиотического поражения задней стенки матки (многокамерная аденомиома матки). Визуализируется мультикистозное патологическое образование в миометрии размером 25×28×27 мм, отмечено слабое накопление контраста.
Fig. 1. MRI picture of cystic adenomyotic lesion of the posterior wall of the uterus (multi-chambered adenomyoma of the uterus). A multicystic abnormal mass was visualized in the myometrium, of 25×28×27 mm, with a low RPA uptake.
После верификации диагноза «кистозная форма аденомиоза с болевой манифестацией» пациентка Л. в возрасте 17 лет госпитализирована в гинекологическое отделение перинатального центра СПбГПМУ в мае 2024 г. для хирургического лечения. При физикальном обследовании: конституция нормостеничная, молочные железы развиты правильно. Наружные половые органы развиты правильно, per vaginum не осмотрена, virgo. При ректальном исследовании: матка и придатки безболезненные, свободно-подвижные, инфильтратов в малом тазу нет, пальпация матки в зоне аденомиомы незначительно чувствительная. По Визуальной аналоговой шкале интенсивность болей во время менструации пациентка оценивает на 8–9 баллов. Уровень СА-125 – 16 ед. (норма 0–35). При лапароскопии: матка деформирована и увеличена до размера, соответствующего 7–8-й неделе беременности, за счет трансмурального объемного образования в задней стенке матки, плотной консистенции. Признаков перитонеального поражения или других депозитов эндометриоза в ходе операции не обнаружено, аденомиоз классифицирован как изолированный. Выполнено удаление аденомиомы с применением ультразвуковой энергии (Harmonic) в пределах иссечения патологических тканей, при удалении вскрыта полость матки на протяжении 20 мм. Целостность стенки матки восстановлена двумя рядами швов из рассасывающегося материала: 1-й ряд – непрерывный, монокрилом 3.0, 2-й ряд – непрерывный серозно-мышечный наружный шов с применением V-lock 3.0 (рис. 2). Из особенностей отмечена выраженная хрящевая плотность иссекаемых тканей аденомиоза, даже несмотря на кистозное строение, а также отсутствие четкой границы между неизмененным окружающим миометрием и аденомиотическим очагом.
Рис. 2. Этапы операции аденомиомэктомии при кистозной форме аденомиоза (хирург – проф. Н.Н. Рухляда).
Fig. 2. Stages of adenomyomectomy surgery for cystic adenomyosis.
По Международной классификации болезней 10-го пересмотра такая нозология относится к классу N80.0 – эндометриоз матки. По классификации аденомиоза, указанной в клинических рекомендациях 2024 г., можно отнести данную форму к III стадии (распространение патологического процесса на всю толщу мышечной оболочки матки до ее серозного покрова) [9]. Классификация ENZIAN не универсальна для всех форм эндометриоза: описывая аденомиоз у пациентки Л., мы выставляем форму Fa (вариант глубокого эндометриоза), что не отражает степени поражения стенки матки. В нашем случае расположение аденомиомы можно классифицировать как 2–5 FIGO, по аналогии с классификацией миомы матки (в таком случае она оправданно применима). Описываемый клинический случай показывает, что именно такая классификация по FIGO расположения аденомиомы наиболее четко отражает клиническую стадию и последующий объем хирургического лечения.
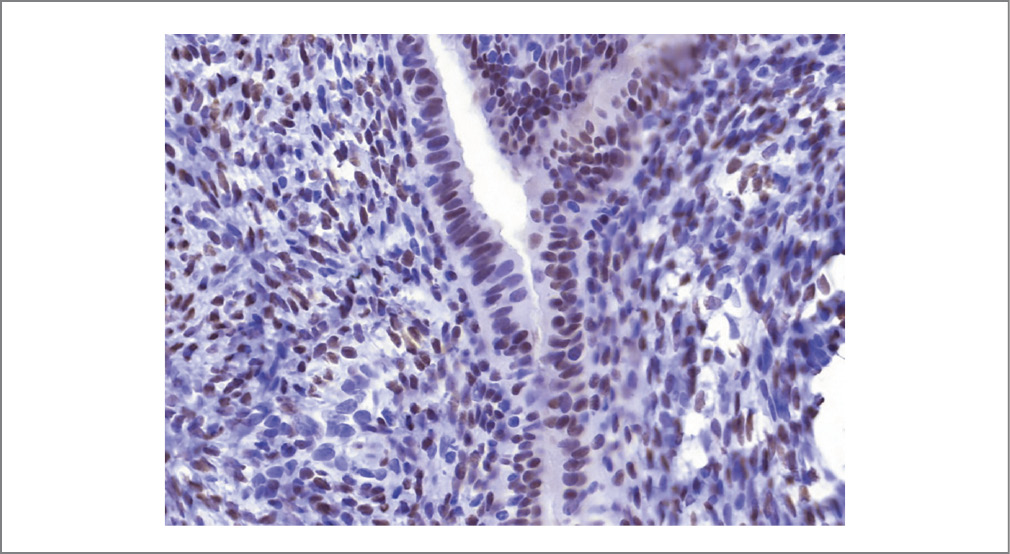
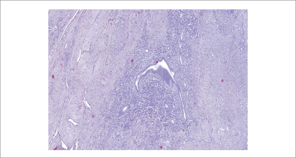
Результат патоморфологического исследования биопсийного материала (серо-розовая ткань плотно-эластичной консистенции, на разрезе белесоватого цвета, слоистого вида) представлен фрагментами новообразованной ткани, хаотично располагающимися мышечными волокнами с неравномерным разрастанием соединительной ткани, с фокусами соединительной ткани с участками, представленными эндометриоидными железами и стромой, по периферии – макрофаги, фагоцитирующие гемосидерин (рис. 3). При иммуногистохимическом исследовании выявлена умеренно выраженная экспрессия рецепторов эстрогена и прогестерона в клетках и железах эндометрия (рис. 4–8).
Рис. 3. Резецированная ткань аденомиомы. Видны полости, которые заполнены геморрагическим содержимым.
Fig. 3. Resected adenomyoma tissue. Cavities filled with hemorrhagic contents are visible.
Рис. 4. Железы эндометрия в миометрии. Диагноз: аденомиоз. Окраска гематоксилин-эозином. ×100.
Fig. 4. Endometrial glands in the myometrium. Diagnosis: adenomyosis. Hematoxylin-eosin staining. ×100.
Рис. 5. Железы эндометрия, цитогенная строма. Окраска гематоксилин-эозином. ×80.
Fig. 5. Endometrial glands, cytogenous stroma. Hematoxylin-eosin staining. ×80.
Рис. 6. Экспрессия ER в железах эндометрия. Иммуногистохимия. ×180.
Fig. 6. ER expression in the endometrial glands. Immunohistochemistry. ×180.
Рис. 7. Экспрессия PR в железах эндометрия. Иммуногистохимия. ×100.
Fig. 7. PR expression in the endometrial glands. Immunohistochemistry. ×100.
Рис. 8. Экспрессия PR в клетках эндометрия. Иммуногистохимия. ×350.
Fig. 8. PR expression in endometrial cells. Immunohistochemistry. ×350.
Аденомиотические кисты типично для аденомиоза выстланы эутопической функциональной тканью, подобной базальному слою эндометрия, и характеризуются циклическими изменениями с десквамацией эпителия и геморрагическим инфарктом прилегающих гладких мышц [10–12]. Согласно исследованию P. Acien и соавт. [13] критерии морфологической диагностики кистозного аденомиоза – патологическая полостная структура в миометрии, выстланная эндометриальным эпителием с железами и стромой, часто шоколадно-коричневое жидкое содержимое.
Послеоперационный период протекал без особенностей. Для того чтобы определить роль аденомиомы в развитии болевого синдрома, гормонотерапия не назначалась, и после операции пациентка вела дневник менструации и болей. Первая менструация, которая пришла у Л. на 23-и сутки после операции, была слабо болезненной, 3–4 балла по Визуальной аналоговой шкале. Все последующие менструации в течение 8 мес нашего наблюдения были безболезненными. Характеристика менструального цикла не изменилась. Контрольная сонография через 8 мес после операции не выявила рецидива патологии.
Обсуждение
Кистозные образования в матке встречаются нечасто, а аденомиотические кисты – очень редко [14–16]. Кисты матки подразделяются на врожденные и приобретенные. Приобретенные кисты включают кистозную дегенерацию лейомиомы матки, кистозный аденомиоз и серозные кисты [17]. В описанном нами случае редкая кистозная форма аденомиоза манифестировала выраженной дисменореей у пациентки ювенильного возраста. Именно инвазия ткани аденомиоза в миометрий стала причиной болей: удаление аденомиомы привело к стойкому обезболивающему эффекту в течение последующих 8 мес наблюдения.
У 2/3 взрослых женщин с болевыми проявлениями эндометриоза симптомы возникли уже в подростковом возрасте. Проблема поздней диагностики аденомиоза и эндометриоза подросткового периода иногда связана с объективными факторами, такими как доступность медицинской помощи, наличие УЗИ и МРТ-диагностики. Но чаще подростки испытывают стеснение при обращении к врачу, не рассказывают родителям о проблеме. И даже в случае, когда девочка жалуется матери по поводу болезненной менструации, не всегда семья принимает решение обратиться к врачу для углубленного обследования [18, 19]. Отсутствие начала сексуальной жизни при этом является дополнительным тормозящим фактором, поскольку существует обывательское мнение, что если девочка не ведет половую жизнь, то и «болеть серьезным она, скорее всего, ничем не может», при болях самостоятельно принимаются анальгетики. От первых симптомов возникновения заболевания до верификации диагноза нередко проходит и 7–10 лет; у пациентки Л. – 2 года и 7 мес.
УЗИ – 1-я линия диагностики аденомиоза, доступно и легкоосуществимо и у пациенток virgo абдоминальным или ректальным датчиками [20]. Однако для определения степени распространения поражения в миометрии и планирования объема иссечения МРТ более точна, в том числе и потому, что позволяет хирургу самостоятельно изучить много срезов и проекций, произвести необходимые замеры; архив записи МРТ можно отправить по электронной почте для дистанционного изучения.
Заключение
Аденомиоз, как и другие формы эндометриоидной болезни, представляет определенные трудности в диагностике у девочек-подростков. Первичная дисменорея расценивается подростком и его родителями как вариант нормы. Простого физикального осмотра, особенно если пациентка virgo, зачастую недостаточно для постановки диагноза. Более широкое применение УЗИ и МРТ позволит раньше заподозрить и верифицировать диагноз эндометриоза. Описанный нами клинический случай показывает эффективность раннего хирургического лечения при аденомиозе для ликвидации первичной аменореи в случае очагового кистозного поражения миометрия.
Раскрытие интересов. Авторы декларируют отсутствие явных и потенциальных конфликтов интересов, связанных с публикацией настоящей статьи.
Disclosure of interest. The authors declare that they have no competing interests.
Вклад авторов. Авторы декларируют соответствие своего авторства международным критериям ICMJE. Все авторы в равной степени участвовали в подготовке публикации: разработка концепции статьи, получение и анализ фактических данных, написание и редактирование текста статьи, проверка и утверждение текста статьи.
Authors’ contribution. The authors declare the compliance of their authorship according to the international ICMJE criteria. All authors made a substantial contribution to the conception of the work, acquisition, analysis, interpretation of data for the work, drafting and revising the work, final approval of the version to be published and agree to be accountable for all aspects of the work.
Источник финансирования. Авторы декларируют отсутствие внешнего финансирования для проведения исследования и публикации статьи.
Funding source. The authors declare that there is no external funding for the exploration and analysis work.
Информированное согласие на публикацию. Авторы получили письменное согласие законных представителей пациента на анализ и публикацию медицинских данных и фотографий.
Consent for publication. The authors obtained the written consent of the patient's legal representatives for the analysis and publication of medical data and photographs.
About the authors
N. N. Rukhliada
Saint Petersburg State Pediatric Medical University; Dzhanelidze Saint Petersburg Research Institute of Emergency Care
Author for correspondence.
Email: nickolasr@mail.ru
ORCID iD: 0000-0002-3548-0468
D. Sci. (Med.), Prof., Saint Petersburg State Pediatric Medical University, Dzhanelidze Saint Petersburg Research Institute of Emergency Care
Russian Federation, Saint Petersburg; Saint PetersburgR. A. Nasyrov
Saint Petersburg State Pediatric Medical University
Email: nickolasr@mail.ru
ORCID iD: 0000-0001-8120-2816
D. Sci. (Med.), Prof., Saint Petersburg State Pediatric Medical University
Russian Federation, Saint PetersburgA. N. Taits
Saint Petersburg State Pediatric Medical University
Email: nickolasr@mail.ru
ORCID iD: 0000-0003-3296-1829
Cand. Sci. (Med.), Assoc. Prof., Saint Petersburg State Pediatric Medical University
Russian Federation, Saint PetersburgV. А. Reznik
Saint Petersburg State Pediatric Medical University
Email: nickolasr@mail.ru
ORCID iD: 0000-0002-2776-6239
D. Sci. (Med.), Saint Petersburg State Pediatric Medical University
Russian Federation, Saint PetersburgT. A. Krivolesova
Saint Petersburg State Pediatric Medical University
Email: nickolasr@mail.ru
ORCID iD: 0000-0003-3559-4876
Cand. Sci. (Med.), Saint Petersburg State Pediatric Medical University
Russian Federation, Saint PetersburgK. A. Dudova
Saint Petersburg State Pediatric Medical University; Dzhanelidze Saint Petersburg Research Institute of Emergency Care
Email: nickolasr@mail.ru
ORCID iD: 0000-0002-4821-1662
Аssistant, Saint Petersburg State Pediatric Medical University, Dzhanelidze Saint Petersburg Research Institute of Emergency Care
Russian Federation, Saint Petersburg; Saint PetersburgO. L. Krasnogorskaya
Saint Petersburg State Pediatric Medical University
Email: nickolasr@mail.ru
ORCID iD: 0000-0001-6256-0669
SPIN-code: 2460-4480
Cand. Sci. (Med.), Saint Petersburg State Pediatric Medical University
Russian Federation, Saint PetersburgReferences
- Шкляр А.А., Адамян Л.В., Коган Е.А., и др. Клинико-морфологические особенности диффузной и узловой форм аденомиоза. Проблемы репродукции. 2015;21(1):74-9 [Shklyar AA, Adamyan LV, Kogan EA. The clinical and morphological features of nodular and diffuse forms of adenomyosis. Problemy reproduktsii. 2015;21(1):74-9 (in Russian)]. doi: 10.17116/repro20152174-79
- Цвелев Ю.В., Рухляда Н.Н. Предоперационная диагностика манифестных форм аденомиоза матки. Акушерство и гинекология. 2003;(6):58-60 [Tsvelev IuV, Rukhliada NN. Predoperatsionnaia diagnostika manifestnykh form adenomioza matki. Akusherstvo i ginekologiia. 2003;(6):58-60 (in Russian)]. EDN: YZTJSH
- Унанян А.Л., Сидорова И.С., Коган Е.А. Активный и неактивный аденомиоз: вопросы патогенеза и патогенетической терапии. Акушерство и гинекология. 2013;(4):10-3 [Unanyan AL, Sidorova IS, Kogan EA. Active and inactive adenomyosis: problems in the pathogenesis and pathogenetic rherapy. Akusherstvo i ginekologiia. 2013;(4):10-3 (in Russian)]. EDN: QAWKSN
- Hiroyuki T, Mari K, Iwacho K, et al. Diagnosis, laparoscopic management, and histopathologic findings of juvenile cystic adenomyoma: a review of nine cases. Fertil Steril. 2010;94:862-8. doi: 10.1016/j.fertnstert.2009.05.010
- Arya S, Burks HR. Juvenile cystic adenomyoma, a rare diagnostic challenge: Case Reports and literature review. F S Rep. 2021;2(2):166-71. doi: 10.1016/j.xfre.2021.02.002
- Zannoni L, Del Forno S, Raimondo D, et al. Adenomyosis and endometriosis in adolescents and young women with pelvic pain: prevalence and risk factors. Minerva Pediatrics. 2020;76(1):57-63. doi: 10.23736/s2724-5276.20.05842-9
- Vannuccini S, Meleca C, Toscano F, et al. Adenomyosis diagnosis among adolescents and young women with dysmenorrhoea and heavy menstrual bleeding. Reprod Biomed Online. 2024;48(5):103768. doi: 10.1016/j.rbmo.2023.103768
- Harmsen MJ, Van den Bosch T, de Leeuw RA, et al. Consensus on revised definitions of Morphological Uterus Sonographic Assessment (MUSA) features of adenomyosis: results of modified Delphi procedure. Ultrasound Obstet Gynecol. 2022;60(1):118-31. doi: 10.1002/uog.24786
- Nichols DH, Clarke-Pearson DL. Gynecologic, Obstetric, & Related Surgery. Mosby, 1999.
- Takeuchi H, Kitade M, Kikuchi I, et al. Diagnosis, laparoscopic management, and histopathologic findings of juvenile cystic adenomyoma: a review of nine cases. Fertil Steril. 2010;94(3):862-8. doi: 10.1016/j.fertnstert.2009.05.010
- Manta L, Suciu N, Constantin A, et al. Focal adenomyosis (intramural endometriotic cyst) in a very young patient – differential diagnosis with uterine fibromatosis. J Med Life. 2016;9(2):180-2.
- Erbil D, Funda G, Bahadir S, Seçil M. Juvenile cystic adenomyosis mimicking uterine malformation: a case report. Arch Gynecol Obstet. 2008;278(6):593-5. doi: 10.1007/s00404-008-0618-3
- Acién P, Acién M, Fernández F, et al. The cavitated accessory uterine mass: a Müllerian anomaly in women with an otherwise normal uterus. Obstet Gynecol. 2010;116(5):1101-9. doi: 10.1097/AOG.0b013e3181f7e735
- Mollion M, Host A, Faller E, et al. Report of two cases of Accessory Cavitated Uterine Mass (ACUM): Diagnostic challenge for MRI. Radiol Case Rep. 2021;16(11):3465-9. doi: 10.1016/j.radcr.2021.07.071
- Grimbizis GF, Mikos T, Tarlatzis B. Uterussparing operative treatment for adenomyosis. Fertil Steril. 2014;101(2):472-87. doi: 10.1016/j.fertnstert.2013.10.025
- Рухляда Н.Н. Диагностика и лечение манифестного аденомиоза. СПб.: Элби, 2004 [Rukhliada NN. Diagnostika i lechenie manifestnogo adenomioza. Saint Petersburg: Elbi, 2004 (in Russian)].
- Simionescu C, Mărgăritescu C, Stepan A, et al. Uterine pseudotumors. Rom J Morphol Embryol. 2011;52(3):743-58.
- Cucinella G, Billone V, Pitruzzella I, et al. Adenomyotic cyst in a 25year old woman: case report. J Minim Invasive Gynecol. 2013;20(6):894-8. doi: 10.1016/j.jmig.2013.04.022
- Zhao CZ, Wang B, Zhong CY, et al. Management of uterine cystic adenomyosis by laparoscopic surgery: case report. BMC Womens Health. 2021;21(1):263. doi: 10.1186/s12905-021-01341-1
- Zheng L, Shan L, Cai F. Uterine adenomyotic cyst with markedly elevated serum CA19 9 and CA125 levels: A case report. Exp Ther Med. 2022;24(5):665. doi: 10.3892/etm.2022.11601
Supplementary files











