Pregnancy management in patients with uterine fibroids. Case report
- Authors: Dobrokhotova I.E.1, Danelian S.Z.2, Borovkova E.I.1, Nagaitseva E.A.2, Sarakhova D.K.2, Selimshaeva D.S.1, Borovskaia K.A.1
-
Affiliations:
- Pirogov Russian National Research Medical University
- City Clinical Hospital №40
- Issue: Vol 23, No 5 (2021)
- Pages: 448-453
- Section: CLINICAL CASE
- Published: 26.11.2021
- URL: https://gynecology.orscience.ru/2079-5831/article/view/88695
- DOI: https://doi.org/10.26442/20795696.2021.5.200777
- ID: 88695
Cite item
Full Text
Abstract
Uterine fibroids (UF) are the most common tumor in women of reproductive age. The growth of myomatous nodes during pregnancy is non-linear and mainly occurs in the first trimester. In most cases, UF do not burden the course of pregnancy. Large size (>5 cm), retroplacental location, and/or deformity of the uterine cavity by the myomatous node are associated with increased risks of spontaneous miscarriage, placental abruption, bleeding, preterm birth, and cesarean section. Myomectomy during pregnancy is undesirable, with the development of pain syndrome, the use of acetaminophen is safe. Indications for cesarean section in UF are the presence of a large size of fibroids that prevent delivery through the natural birth canal, “red degeneration” of myomatous nodes, torsion of the subserous myomatous node (degree 2C).
Keywords
Full Text
Введение
Миома матки (ММ), лейомиома – это доброкачественная, моноклональная, хорошо отграниченная опухоль, происходящая из гладкомышечных клеток шейки и тела матки. Частота встречаемости ММ у беременных составляет 1,6–10,7% [1–3].
Изучение потенциального влияния ММ на течение и исходы беременности, а также влияния самой беременности на миому является областью широкого научного и клинического интереса.
Изменение размеров миомы во время беременности связано с повышением уровня эстрогенов, прогестерона, хорионического гонадотропина человека и усилением маточного кровотока. Размеры миомы не изменяются (<10% изменений) в течение всей беременности у 50–60%, увеличиваются у 22–32% и уменьшаются у 8–27% женщин [2]. При исходно больших размерах миомы (>5 см) высока вероятность дальнейшего роста узла на фоне беременности, в то время как при небольших размерах опухоль чаще всего не изменяется [3]. Среднее увеличение объема миомы во время беременности составляет 12±6%, очень немногие узлы увеличиваются более чем на 25% [4]. Характер роста миомы во время беременности нелинейный, наибольшее увеличение размеров отмечено в I триместре, с незначительным дальнейшим ростом во II и III триместрах [2–4].
У 90% женщин с ММ, диагностированной в I триместре, через 3–6 мес после родов отмечается регресс размеров узлов, и только у 10% сохраняется тенденция к их увеличению [5].
ММ обычно имеет бессимптомное течение во время беременности. Развитие осложнений во время беременности зависит от размеров миоматозных узлов, их количества, расположения относительно слоев матки, а также локализации миомы относительно плаценты и нижнего сегмента матки. Среди возможных клинических проявлений во время беременности наиболее распространенными на ранних сроках являются боль, кровотечение и угроза прерывания, в более поздние сроки беременности возможны отслойка плаценты, разрыв плодных оболочек, угроза преждевременных родов [6].
Частота болевого синдрома, ассоциированного с ММ, возрастает с увеличением размеров опухоли и особенно выражена при достижении ею 7–10 см [7]. В большинстве случаев боль носит локализованный характер, крайне редко сопровождается умеренным лейкоцитозом, лихорадкой, тошнотой и рвотой. Боль обычно появляется в конце I или начале II триместра беременности, что соответствует периоду наибольшего роста миомы и вероятности развития в ней дегенеративных изменений. Боль также может быть результатом частичной обструкции питающих сосудов или перекрутом ножки узла [7]. Быстрый рост миомы сопровождается снижением перфузии ткани, ишемией, некрозом («красная дегенерация») и образованием большого количества простагландинов и провоспалительных цитокинов [8].
При субмукозной локализации миоматозных узлов или наличии множественной миомы значимо повышен риск прерывания беременности [9].
В основе патогенеза данного осложнения лежат 2 фактора: прежде всего это нарушение плацентации и формирование аномального маточно-плацентарного кровообращения [3, 5]. Большие субмукозные миоматозные узлы приводят к развитию децидуальной атрофии, искажению сосудистой архитектуры и кровотока в месте имплантации. Вторым фактором является быстрый рост миомы, который может привести к увеличению сократительной способности матки и локального синтеза простагландинов [10].
По данным метаанализа, при интерстициальной и субсерозной локализации узлов не выявлено связи между наличием миомы и риском раннего прерывания беременности, но возрастает вероятность преждевременных родов [2, 11–13]. Наибольший риск обнаружен у пациенток с множественной миомой, при плацентации в проекции миоматозного узла и его размере более 5 см [6, 13]. Одним из возможных провоцирующих развитие преждевременных родов механизмов является снижение активности окситоциназы в измененном миометрии, что приводит к повышению локальной чувствительности ткани к окситоцину [1].
В антенатальном периоде, при локализации плаценты в проекции миоматозного узла в 3 раза повышен риск отслойки плаценты и кровотечения [12, 14]. Подслизистая и ретроплацентарная миома, а также опухоль объемом >200 мл (7–8 см) ассоциированы с наибольшим риском отслойки плаценты. В ретроспективном анализе 6700 беременных у 57% пациенток с ретроплацентарной миомой развилась отслойка плаценты, а при миомах другой локализации данное осложнение зафиксировано только в 2,5% случаев [6].
Отслойка плаценты связана с аномальной перфузией плацентарного ложа. В исследовании L. Forssman при помощи ксенона-133 измерен регионарный маточный кровоток вне беременности. Обнаружено, что в миометрии, прилегающем к узлу, он значительно снижен [15]. Автор предположил, что в децидуальной ткани, перекрывающей миому, также уменьшен кровоток, что и приводит к ишемии, децидуальному некрозу и отслойке плаценты.
Тазовое предлежание плода чаще встречаются у пациенток с ММ. В популяционном когортном исследовании, включившем 72 тыс. женщин с одноплодной беременностью, ягодичное предлежание выявлено у 5,3% пациенток с ММ и у 3,1% без нее (отношение рисков – ОР 1,5, 95% доверительный интервал – ДИ 1,3–1,9) [2].
Пространственные ограничения из-за ММ могут вызвать развитие деформаций у плода, но это случается крайне редко. В литературе описаны случаи редукции конечностей, врожденной кривошеи и деформации головы при наличии большой подслизистой миомы [16].
Риск развития предлежания плаценты [14, 17], преэклампсии, задержки роста и антенатальной гибели плода не ассоциирован с наличием ММ, однако при размерах узла >8 см существует вероятность рождения здорового маловесного плода (<10-го процентиля) [17].
Наличие ММ влияет на силу маточных сокращений и нарушает скоординированное распространение сократительной волны по миометрию, что приводит к развитию аномалий родовой деятельности и тахисистолии (>5 сокращений за 10 мин) [18].
Другими достаточно редкими осложнениями течения беременности при наличии ММ являются диссеминированное внутрисосудистое свертывание крови, спонтанный гемоперитонеум, обструкция мочевыводящих путей с задержкой мочи или острой почечной недостаточностью и тромбоз глубоких вен [19]. Пиомиома (гнойная лейомиома) встречается крайне редко [19, 20]. Клинически она проявляется выраженной лихорадкой, лейкоцитозом, тахикардией, тазовой болью и наличием характерных ультразвуковых признаков (гетерогенная масса, газ).
Наличие ММ увеличивает частоту родоразрешения путем операции кесарева сечения, особенно при локализации узла в нижнем сегменте матки [1, 12, 14, 17, 21, 22].
Несколько исследований сообщили о повышенном риске развития послеродового кровотечения (ОР 1,8, 95% ДИ 1,4–2,2), особенно если миома >3 см в диаметре и расположена ретроплацентарно [1, 8, 12]. В большом ретроспективном исследовании показано, что частота послеродовых кровотечений у женщин с интрамуральной миомой составила 8,6%, а у женщин с подслизистой и субсерозной локализацией узлов – 4,7 и 5,6% соответственно [23].
Вопрос о целесообразности проведения предконцепционной миомэктомии решается в каждом конкретном случае и зависит от возраста пациентки, ее прошлого репродуктивного анамнеза, тяжести симптомов, размера и расположения миомы. Проведение миомэктомии во время беременности и во время кесарева сечения должно быть максимально ограничено в связи с рисками кровотечения, разрыва матки, прерывания беременности и преждевременных родов [8, 20, 24–27].
В случае развития болевого синдрома во время беременности показана госпитализация. Боль можно купировать коротким курсом ибупрофена или индометацина (25 мг перорально каждые 6 ч в течение 48 ч) [25]. Терапия нестероидными противовоспалительными препаратами (НПВП) должна быть ограничена 32 нед беременности из-за риска преждевременного закрытия артериального протока, развития неонатальной легочной гипертензии, олигогидрамниона и фетальной/неонатальной дисфункции тромбоцитов [28, 29]. Если прием НПВП продолжается более 48 ч, следует проводить еженедельную сонографическую оценку для определения объема околоплодных вод и функционирования артериального протока у плода. Если выявляются изменения, НПВП либо отменяют, либо уменьшают дозу (индометацин 25 мг каждые 12 ч) [29]. В ряде случаев успешно применяется эпидуральная аналгезия [30, 31].
В большинстве случаев женщины с ММ родоразрешаются естественным путем. Кесарево сечение проводится по стандартным акушерским показаниям. Плановое кесарево сечение может быть рекомендовано для пациенток с большими размерами узла (>8 см) и локализацией опухоли в нижнем маточном сегменте [32]. Не рекомендовано проводить плановую миомэктомию во время кесарева сечения, так как это увеличивает вероятность кровотечения. Могут быть удалены узлы с явными признаками дегенеративных изменений в случае, если не удалось избежать травматизации узла при гистеротомии или имеется узел на тонкой ножке [33].
Доказано отсутствие увеличения абсолютного риска разрыва матки при естественных родах у женщин с ранее выполненной миомэктомией без вскрытия полости матки [34]. Пациентки, у которых удалена миома на ножке, не нуждаются в специальном наблюдении во время родов.
По рекомендациям Комитета американского колледжа акушеров и гинекологов (ACOG) женщинам с предшествующей обширной миомэктомией со вскрытием полости матки рекомендовано проведение планового кесарева сечения в сроках от 37+0 до 38+6 нед [35].
Клиническое наблюдение
В консультативно-диагностическое отделение родильного дома ГКБ №40 обратилась первобеременная пациентка П. 1988 года рождения в сроке беременности 12 нед 5 дней для проведения биохимического скрининга.
В 2015 г. впервые выявлена ММ диаметром до 3 см с субсерозной локализацией узла, без динамики роста узла до наступления беременности.
При скрининговом ультразвуковом исследовании (УЗИ) выявлен конгломерат миоматозных узлов, локализованных интерстициально-субсерозно по передней стенке матки, размерами 138×87×103 мм (объем – 650 см3). При цветовом допплеровском картированим (ЦДК) выявлен умеренный периферический и центральный кровоток (среднескоростной, среднерезистентный). Структура узлов была неоднородная с участками повышенной и пониженной эхогенности с кистозными полостями. По результатам скрининга выявлен повышенный риск развития преэклампсии и задержки роста плода, в связи с чем назначена ацетилсалициловая кислота 150 мг/сут.
Течение I триместра осложнилось угрозой прерывания беременности (терапия микронизированным прогестероном 200 мг 2 раза в сутки) и рвотой беременных легкой степени (снижение массы тела на 3 кг).
Во II триместре диагностирована эссенциальная тромбоцитемия (число тромбоцитов – 550 тыс.), и по рекомендациям гематолога назначена терапия эноксапарином натрия 40 мг/сут.
На протяжении всего периода беременности в проекции конгломерата миоматозных узлов сохранялись тянущего характера боли, усилившиеся в 24–25 нед. Диагностирована угроза преждевременных родов, проведен стационарный курс токолитической терапии (нифедипин) и профилактика респираторного дистресс-синдрома плода (дексаметазон 24 мг).
В 24 нед беременности при УЗИ субсерозный миоматозный узел был размером 170×113×116 мм (объем – 1170 см3), неоднородной структуры с участками повышенной, пониженной эхогенности, с кистозными полостями (наибольшая – размером 74×70 мм) и интенсивным интранодулярным высокоскоростным кровотоком (36 см/с, индекс резистентности IR=0,57); рис. 1.
Рис. 1. Миома матки в 24 нед беременности: а – миоматозный узел; b – ЦДК в узле; c – кистозные полости в узле. / Fig. 1. Uterine fibroids at 24 weeks of pregnancy: a – myomatous node; b – color flow mapping in the node; c – cystic cavities in the node CFM.
В 28 нед в связи с нарастанием болевого синдрома, подозрением на нарушение питания в миоматозном узле и угрожающими ранними преждевременными родами (укорочение шейки матки до 22 мм) пациентка повторно госпитализирована. Проведен курс токолитической терапии (нифедипин), антибактериальная терапия (ампициллин 1000 мг 4 раза в сутки 5 дней) и антикоагулянтная терапия (эноксапарин натрия 40 мг).
При контрольном УЗИ отмечено увеличение размеров узла до 188×110×156 мм (объем – 370 см3) и кистозной полости до 96×70 мм, содержимое которой приобрело мелкодисперсный характер. Общая структура узла стала пониженной эхогенности, с единичными локусами ЦДК, что свидетельствовало об отеке тканей узла и вторичных изменениях в нем (рис. 2).
Рис. 2. Миома матки в 28 нед беременности: а – миоматозный узел; b – кистозная полость. / Fig. 2. Uterine fibroids (UF) at 28 weeks of pregnancy: a – myomatous node; b – cystic cavity.
В 30 и 34 нед – повторные госпитализации в связи с сохраняющимся риском преждевременных родов и жалобами пациентки.
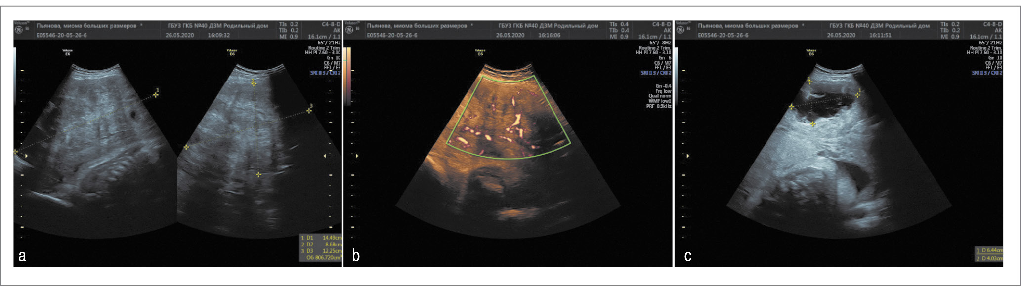
В 30 нед беременности размеры узла составили 162×98×123 мм (объем – 998 см3), кистозная полость уменьшилась до 70×74 мм, а содержимое приобрело анэхогенный характер. В 34 нед миоматозный узел уменьшился до размеров 144×86×122 мм (объем – 810 см3), кистозная полость уменьшилась до 64×40 мм (рис. 3).
Рис. 3. ММ в 34 нед беременности: а – миоматозный узел; b – ЦДК в узле; c – кистозные полости в узле. / Fig. 3. UF at 34 weeks of pregnancy: a – myomatous node; b – CFM in the node; c – cystic cavities in the node.
В 37,6 нед беременная родоразрешена путем операции кесарева сечения. Показанием для оперативного родоразрешения явилось смешанное ягодичное предлежание плода и наличие ММ больших размеров с локализацией в нижнем маточном сегменте.
Проведена срединная лапаротомия с обходом пупка слева, кесарево сечение в нижнем маточном сегменте, миомэктомия без вскрытия полости. Аутогемотрансфузия аппаратом Cell Saver. Рождена живая доношенная девочка массой 2950 г, ростом 50 см с оценкой по шкале Апгар 8/9 баллов.
Интраоперационно узел представлен образованием с неровной бугристой поверхностью, интимно припаянной к париетальной брюшине и большому сальнику. Узел удален методом вылущивания без вскрытия полости матки. Общая кровопотеря составила 800 мл. Аутогемотрансфузия аппаратом Cell Saver составила 250 мл.
Макропрепарат был размером 120×84 мм, весом 760 г, контуры узла неровные бугристые, на разрезе внутреннее содержимое имело кистозные полости.
Результат морфологического исследования подтвердил диагноз фибролейомиомы матки с дистрофией узла, расстройством кровообращения по типу кровоизлияний и очаговым некрозом (рис. 4).
Рис. 4. Макропрепарат миоматозного узла. / Fig. 4. Gross specimen of the myomatous node.
Послеродовый период осложнился анемией легкой степени тяжести (гемоглобин – 99 г/л), пациентка в удовлетворительном состоянии выписана на 5-е сутки.
Представленный клинический случай демонстрирует классическое течение беременности на фоне ММ с развитием типичных осложнений (угроза прерывания беременности, угроза преждевременных родов, болевой синдром), а также с характерными изменениями в самом узле.
В табл. 1 и на рис. 5 представлена динамика изменения размеров миоматозного узла в зависимости от срока гестации.
Таблица 1. Динамика изменений размеров миоматозного узла на фоне беременности / Table 1. Dynamics of changes in the size of myomatous node during pregnancy
Срок, нед | Размер, мм | Объем, см3 | Размер полости, мм | Кровотоки |
12 | 138×87×103 | 650 | Нет | – |
24 | 188×113×120 | 1300 | 74×75 | IR 0,6, 36 см/с |
25 | 180×110×120 | 1180 | 73×60×91 | – |
28 | 156×109×156 | 1370 | 96×70 | IR 0,56, 16 см/с |
30 | 150×90×100 | 1030 | 70×74 | IR 0,52, 14 см/с |
34 | 146×90×124 | 910 | 64×40 | IR 0,46, 23 см/с |
37 | 132×62×98 | 510 | 44×24 | IR 0,48, 25 см/с |
Рис. 5. Динамика изменения размеров ММ. / Fig. 5. Dynamics of changes in the size of UF.
Выводы
- Рост ММ во время беременности носит нелинейный характер, преимущественно рост происходит в I триместре.
- В большинстве случаев наличие ММ не ассоциировано с развитием акушерских осложнений и протекает бессимптомно.
- Наиболее частой жалобой пациенток является болевой синдром, частота которого коррелирует с размером миомы.
- Размер и расположение узлов являются факторами риска развития осложнений беременности: большой размер (>5 см), ретроплацентарное расположение и/или деформация полости матки связаны с повышенными рисками самопроизвольного выкидыша, отслойки плаценты, кровотечения, преждевременных родов и кесарева сечения.
- Необходимо избегать хирургического удаления миомы во время беременности.
- При развитии болевого синдрома безопасным является применение ацетаминофена.
- Показаниями к кесареву сечению при ММ являются наличие большого размера миомы, размеры и локализация которой препятствуют родам через естественные родовые пути, «красная дегенерация» миоматозных узлов, выявленная до родов, перекрут субсерозного миоматозного узла, ММ, нарушающая функции смежных органов. Если в анамнезе выполнена миомэктомия со вскрытием полости матки, рекомендовано проведение планового кесарева сечения в 37+0–38+6 нед (степень 2С). Также кесарево сечение проводят по акушерским показаниям.
- Большинство специалистов считают, что необходимо избегать миомэктомии во время кесарева сечения из-за риска кровотечения, необходимости гемотрансфузии, перевязки маточных артерий и тромбоэмболических осложнений.
Конфликт интересов. Авторы заявляют об отсутствии конфликта интересов.
Conflict of interests. The authors declare no conflict of interests.
About the authors
Iuliia E. Dobrokhotova
Pirogov Russian National Research Medical University
Email: pr.dobrohotova@mail.ru
D. Sci. (Med.), Prof.
Russian Federation, MoscowSonia Zh. Danelian
City Clinical Hospital №40
Email: gkb40-rd@zdrav.mos.ru
ORCID iD: 0000-0002-8594-6406
Cand. Sci. (Med.)
Russian Federation, MoscowEkaterina I. Borovkova
Pirogov Russian National Research Medical University
Author for correspondence.
Email: Katyanikitina@mail.ru
ORCID iD: 0000-0001-7140-262X
SPIN-code: 8897-8605
D. Sci. (Med.), Assoc. Prof.
Russian Federation, MoscowElena A. Nagaitseva
City Clinical Hospital №40
Email: gkb40-rd@zdrav.mos.ru
Cand. Sci. (Med.)
Russian Federation, MoscowDzhamilia Kh. Sarakhova
City Clinical Hospital №40
Email: gkb40-rd@zdrav.mos.ru
Cand. Sci. (Med.)
Russian Federation, MoscowDinara S. Selimshaeva
Pirogov Russian National Research Medical University
Email: selimshaeva97@gmail.com
Clinical Resident
Russian Federation, MoscowKseniia A. Borovskaia
Pirogov Russian National Research Medical University
Email: xeniasaluk@gmail.com
Clinical Resident
Russian Federation, MoscowReferences
- Qidwai GI, Caughey AB, Jacoby AF. Obstetric outcomes in women with sonographically identified uterine leiomyomata. Obstet Gynecol. 2006; 107:376.
- Доброхотова Ю.Э., Ильина И.Ю., Гончаров И.Ю. Миома матки. Безоперационное лечение. РМЖ. Мать и дитя. 2018;2(1):3–6 [Dobrokhotova IuE, Il’ina IIu, Goncharov IIu. Mioma matki. Bezoperatsionnoe lechenie. RMZh. Mat’ i ditia. 2018;2(1):3–6 (in Russian)].
- Terry KL, De Vivo I, Hankinson SE, Missmer SA. Reproductive characteristics and risk of uterine leiomyomata. Fertil Steril. 2010;94:2703.
- Ciavattini A, Delli Carpini G, Clemente N, et al. Growth trend of small uterine fibroids and human chorionic gonadotropin serum levels in early pregnancy: an observational study. Fertil Steril. 2016;05:1255.
- Laughlin SK, Hartmann KE, Baird DD. Postpartum factors and natural fibroid regression. Am J Obstet Gynecol. 2011;204:496.e1.
- Lam SJ, Best S, Kumar S. The impact of fibroid characteristics on pregnancy outcome. Am J Obstet Gynecol. 2014;211:395.e1.
- Parker WH. Etiology, symptomatology, and diagnosis of uterine myomas. Fertil Steril. 2007;87:725.
- De Carolis S, Fatigante G, Ferrazzani S, et al. Uterine myomectomy in pregnant women. Fetal Diagn Ther. 2001;16:116.
- Benson CB, Chow JS, Chang-Lee W, et al. Outcome of pregnancies in women with uterine leiomyomas identified by sonography in the first trimester. J Clin Ultrasound. 2001;29:261.
- Доброхотова Ю.Э., Ибрагимова Д.М., Сапрыкина Л.В. Миома матки. М.: ГЭОТАР-Медиа, 2018 [Dobrokhotova IuE, Ibragimova DM, Saprykina LV. Uterine fibroids. Moscow: GEOTAR-Media, 2018 (in Russian)].
- Sundermann AC, Velez Edwards DR, Bray MJ, et al. Leiomyomas in Pregnancy and Spontaneous Abortion: A Systematic Review and Meta-analysis. Obstet Gynecol. 2017;130:1065.
- Klatsky PC, Tran ND, Caughey AB, Fujimoto VY. Fibroids and reproductive outcomes: a systematic literature review from conception to delivery. Am J Obstet Gynecol. 2008;198:357.
- Girault A, Le Ray C, Chapron C, et al. Leiomyomatous uterus and preterm birth: an exposed/unexposed monocentric cohort study. Am J Obstet Gynecol. 2018;219:410.e1.
- Coronado GD, Marshall LM, Schwartz SM. Complications in pregnancy, labor, and delivery with uterine leiomyomas: a population-based study. Obstet Gynecol. 2000;95:764.
- Forssman L. Distribution of blood flow in myomatous uteri as measured by locally injected 133Xenon. Acta Obstet Gynecol Scand. 1976;55:101.
- Romero R, Chervenak FA, DeVore G, et al. Fetal head deformation and congenital torticollis associated with a uterine tumor. Am J Obstet Gynecol. 1981;141:839.
- Koike T, Minakami H, Kosuge S, et al. Uterine leiomyoma in pregnancy: its influence on obstetric performance. J Obstet Gynaecol Res. 1999;25:309.
- Sheiner E, Biderman-Madar T, Katz M, et al. Higher rates of tachysystole among patients with clinically apparent uterine leiomyomas. Am J Obstet Gynecol. 2004;191:945.
- Nguyen QH, Gruenewald SM. Sonographic appearance of a postpartum pyomyoma with gas production. J Clin Ultrasound. 2008;36:186.
- Laubach M, Breugelmans M, Leyder M, et al. Nonsurgical treatment of pyomyoma in the postpartum period. Surg Infect (Larchmt). 2011;12:65.
- Vergani P, Locatelli A, Ghidini A, et al. Large uterine leiomyomata and risk of cesarean delivery. Obstet Gynecol. 2007;109:410.
- Michels KA, Velez Edwards DR, Baird DD, et al. Uterine leiomyomata and cesarean birth risk: a prospective cohort with standardized imaging. Ann Epidemiol. 2014;24:122.
- Zhao R, Wang X, Zou L, et al. Adverse obstetric outcomes in pregnant women with uterine fibroids in China: A multicenter survey involving 112,403 deliveries. PLoS One. 2017;12:e0187821.
- Mason TC, Adair J, Lee YC. Postpartum pyomyoma. J Natl Med Assoc. 2005;97:826.
- Kobayashi F, Kondoh E, Hamanishi J, et al. Pyomayoma during pregnancy: a case report and review of the literature. J Obstet Gynaecol Res. 2013;39:383.
- Lin YH, Hwang JL, Huang LW, Chen HJ. Pyomyoma after a cesarean section. Acta Obstet Gynecol Scand. 2002;81:571.
- Wittich AC, Salminen ER, Yancey MK, Markenson GR. Myomectomy during early pregnancy. Mil Med. 2000;165:162.
- Celik C, Acar A, Ciçek N, et al. Can myomectomy be performed during pregnancy? Gynecol Obstet Invest. 2002;53:79.
- Vitale SG, Tropea A, Rossetti D, et al. Management of uterine leiomyomas in pregnancy: review of literature. Updates Surg. 2013;65:179.
- Tower AM, Cronin B. Myomectomy after a vaginal delivery to treat postpartum hemorrhage resulting from an intracavitary leiomyoma. Obstet Gynecol. 2015;125:1110.
- Kwon SY, Lee G, Kim YS. Management of severely painful uterine leiomyoma in a pregnant woman with epidural block using a subcutaneous injection port. Acta Obstet Gynecol Scand. 2014;93:839.
- Moridaira T, Yamamoto G, Hiraishi M, et al. A case of continuous epidural anesthesia for pain relief in a pregnant woman with uterine myoma in the second trimester of pregnancy. Masui. 2013;62:1253 (in Japanes).
- Ehigiegba AE, Ande AB, Ojobo SI. Myomectomy during cesarean section. Int J Gynaecol Obstet. 2001;75:21.
- Pergialiotis V, Sinanidis I, Louloudis IE, et al. Perioperative Complications of Cesarean Delivery Myomectomy: A Meta-analysis. Obstet Gynecol. 2017;130:1295.
- ACOG Committee Opinion No. 764: Medically Indicated Late-Preterm and Early-Term Deliveries. Obstet Gynecol. 2019;133:e151.
Supplementary files








